医影在线

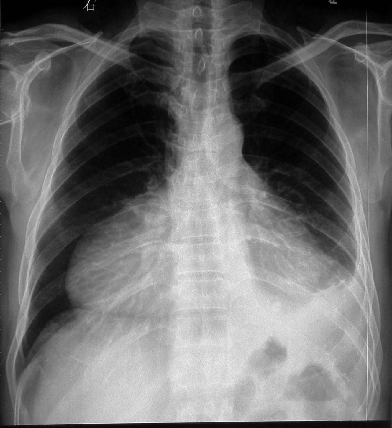
标题: CL0316:【】心包囊肿 [打印本页]

作者: 放牧人    时间: 2006-11-2 23:22
标题: CL0316:【】心包囊肿






[本贴已被 翁志蓬 于 2008-10-1 0:17:51 修改过]

作者: 子期    时间: 2006-11-3 01:16
不知老师用什么证实的是心包囊肿而不是其它?
作者: zyx168    时间: 2006-11-3 02:26
要有ct片更直观.
作者: 放牧人    时间: 2006-11-3 04:36
大家谅解.ct.b超!
作者: dyqct    时间: 2006-11-3 17:33
好病例,谢谢楼主。
作者: 高仕福    时间: 2006-11-4 06:10
请上传ct及b超影像
作者: jinguoji    时间: 2006-11-6 04:11
ct片更直观  请上传ct及b超影像
作者: 天地睹狭    时间: 2006-11-13 05:32
please sent ctfilm and b images to us ,because they are reasons that mean  your result.
作者: radio8201    时间: 2006-12-23 02:02
有ct?
作者: 拾荒者    时间: 2007-1-1 04:50
支持心包囊肿,不过确诊还真得靠其他检查。
作者: wqgui    时间: 2007-1-11 05:08
平片诊断是困难的 要做ct b超了
作者: hexue    时间: 2009-6-20 08:00
谢谢 学习了
作者: yuhongjun    时间: 2010-1-2 17:28
ct片更直观  请上传ct及b超影像
作者: shibing    时间: 2012-6-10 08:59
心包囊肿




欢迎光临 医影在线 (http://bbs.radida.com/bbs/) Powered by Discuz! X3.2