

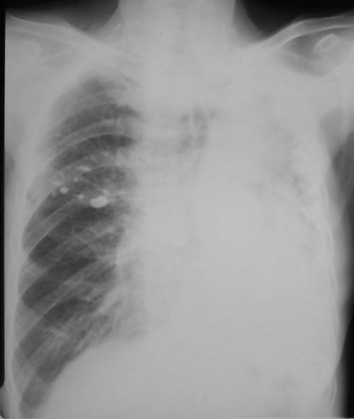
以下是引用jiangjing在2006-11-3 20:25:00的发言:[br]左侧胸廓塌陷,纵隔向左侧移位,左肺密度增高,但在上肺野可见部分含气肺组织影,左侧膈面消失,右上肺见多发班点状钙化灶,右肺代偿性肺气肿,右肺部分经纵隔疝入左侧胸腔,左侧胸膜增厚。考虑,肺结核致左肺毁损[肺硬化],右侧钙化灶,左侧胸膜增厚,右肺肺气肿。建议ct检查排除左肺新生物所致肺不张。
以下是引用dyqct在2006-11-3 21:48:00的发言:[br]支持:1、左肺结核致左肺毁损[肺硬化];[br] 2、右上肺陈旧性肺结核;[br] 3、建议ct进一步检查。
以下是引用jian-5587在2006-11-3 19:10:00的发言:[br]左侧胸廓塌陷,纵隔向左侧移位,左肺密度增高,但在上野见多发小斑片状气体密度影,左侧膈肌消失,考虑左肺占位所致肺不张可能性大,不排除左肺结核所致可能,建议进一步检查.右上肺陈旧结核病灶.
以下是引用jiangjing在2006-11-3 20:25:00的发言:[br]左侧胸廓塌陷,纵隔向左侧移位,左肺密度增高,但在上肺野可见部分含气肺组织影,左侧膈面消失,右上肺见多发班点状钙化灶,右肺待赏性肺气肿,右肺部分经纵隔疝入左侧胸腔,左侧胸膜增厚。考虑,肺结核致左肺毁损[肺硬化],右侧钙化灶,左侧胸膜增厚,右肺肺气肿。建议ct检查排除左肺新生物所致肺不张。
以下是引用jiangjing在2006-11-3 20:25:00的发言:[br]左侧胸廓塌陷,纵隔向左侧移位,左肺密度增高,但在上肺野可见部分含气肺组织影,左侧膈面消失,右上肺见多发班点状钙化灶,右肺待赏性肺气肿,右肺部分经纵隔疝入左侧胸腔,左侧胸膜增厚。考虑,肺结核致左肺毁损[肺硬化],右侧钙化灶,左侧胸膜增厚,右肺肺气肿。建议ct检查排除左肺新生物所致肺不张。
| 欢迎光临 医影在线 (http://bbs.radida.com/bbs/) | Powered by Discuz! X3.2 |