医影在线
标题: X1156:胸片! [打印本页]
作者: 眼睛 时间: 2006-11-4 18:43
标题: X1156:胸片!
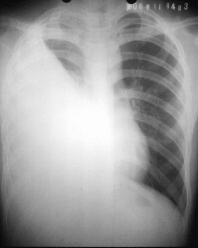
患者/男/17y/因右侧胸痛,发热不退来院拍了个平片!片子质量不好主老师们给个意见吧!谢谢你们!


[本贴已被 jiajie 于 2006-11-4 17:46:52 修改过]
作者: 眼睛 时间: 2006-11-4 18:44
标题: 谢谢!
右侧膈角清晰可见! 左侧肺未见明显异常!请大家给个意见吧!我想给他做个ct! 是不是以先抗炎治一个啊???
[本贴已被 眼睛 于 2006-11-4 10:45:01 修改过]
作者: 张嘉航 时间: 2006-11-4 18:53
右侧胸腔大量积液伴胸膜肥厚,建议ct检查
作者: haha215315 时间: 2006-11-4 19:42
右侧胸腔大量积液伴胸膜肥厚,建议ct检查
作者: yang356 时间: 2006-11-4 20:26
就平片看右胸大量积液伴胸膜增厚,原因待查,应该照个侧位,建议ct
作者: shilong 时间: 2006-11-4 20:44
是不是:包裹性寻腔积液
作者: 眼睛 时间: 2006-11-4 20:45
标题: 谢谢了
穿刺抽出1000ml 米黄色液体! 现在送病理啦!谢谢!
[本贴已被 眼睛 于 2006-11-4 12:46:05 修改过]
作者: zhw974247 时间: 2006-11-4 21:43
标题: 回复:胸片!
以下是引用haha215315在2006-11-4 11:42:00的发言:[br]右侧胸腔大量积液伴胸膜肥厚,建议ct检查
考虑为结核性。
作者: jinguoji 时间: 2006-11-4 22:29
右侧胸腔大量包裹性积液伴胸膜肥厚,建议ct检查
作者: wansheng 时间: 2006-11-4 23:19
标题: 回复:胸片!
以下是引用jinguoji在2006-11-4 14:29:00的发言:[br]右侧胸腔大量包裹性积液伴胸膜肥厚,建议ct检查 [br] [br]
作者: zyx168 时间: 2006-11-5 00:04
右侧胸膜炎并右侧大量胸腔包裹性积液(年轻患者,应是结核性的)
作者: huxi 时间: 2006-11-5 00:24
右胸第1前肋间以下肺野密度均匀一致性增高,内上缘清晰,右隔面/肋隔角消失,其内可见肋骨影,肋间隙无明显改变,胸廓无塌陷,纵隔/气管无移位,考虑右侧大量包裹性积液。
作者: 潘X 时间: 2006-11-5 01:31
右侧中下野及外带大片状具外内低弧形边缘的致密影,气管,纵隔向左侧偏移,是一个典型的右侧大量胸腔积液!!!应该考虑为结核性的,治疗是先控制症状,然后抽液并服用抗结核药物。
作者: zhangxiangjun 时间: 2006-11-5 02:56
典型的胸水 至于是什么性质 的那就有待病理考证。
作者: jiangjing 时间: 2006-11-5 05:17
右侧胸腔大量积液伴胸膜肥厚[胸腔积液量大,气管稍左移,心脏无明显移位]。
作者: 仲景传人 时间: 2006-11-5 06:36
右胸腔大量积液,性质交给病理吧!
作者: liuyue 时间: 2006-11-5 09:00
右侧胸腔大量包裹性积液伴胸膜肥厚.
作者: dengmin 时间: 2006-11-5 09:31
右侧大量胸腔积液
作者: zylcq608 时间: 2006-11-5 20:21
就正位片看右胸大量积液伴胸膜增厚,应该照个侧位,建议ct
作者: shangyong 时间: 2006-11-5 20:45
右侧大量胸腔积液而病人是年青人考虑结核
作者: elity69 时间: 2006-11-6 02:07
外高内低的狐形致密影,右侧胸腔大量积液伴胸膜肥厚,建议ct检查
作者: 苏美灵 时间: 2006-11-6 04:04
右侧大量胸腔积液建议抗炎穿刺后复诊,必要时ct进查.
作者: wangzhongliang 时间: 2006-11-6 06:08
右大量胸腔积液,这么多胸水,且纵隔及心影移位不明显,为什么没有考虑有肺不张呢,请各战批评指正。
作者: ssmmxx 时间: 2006-11-6 06:54
右侧胸腔大量积液,建议ct检查
作者: 如醉卧风 时间: 2006-11-6 07:38
标题: 回复:x1156:胸片!
以下是引用yang356在2006-11-4 12:26:00的发言:[br]就平片看右胸大量积液伴胸膜增厚,原因待查,应该照个侧位,建议ct
作者: gzx521th 时间: 2006-11-6 20:51
我考虑有不张 胸腔积液 建议增强ct 待排占位
作者: jian-5587 时间: 2006-11-7 03:50
右侧胸腔大量积液伴肺中下叶不张及右肺上叶膨胀不全,性质待查,请结合临床或进一步检查.
作者: liyuming 时间: 2006-11-7 04:41
右侧胸腔大量包裹性积液伴胸膜肥厚,建议ct检查
作者: 碧水蓝天 时间: 2006-11-7 05:41
这么多人说有胸膜肥厚,有什么x线征象提示呢
作者: zhangkening 时间: 2006-11-8 02:04
纵隔未见明显移位,右侧肺野大片密度增高影,右心缘、右肋膈角及膈面显示不清,考虑胸腔积液伴肺不张情况,建议ct看一下是不是支气管结核。
作者: shiqingfa 时间: 2006-11-8 04:38
标题: 回复:x1156:胸片!
以下是引用zhangkening在2006-11-7 18:04:00的发言:[br]纵隔未见明显移位,右侧肺野大片密度增高影,右心缘、右肋膈角及膈面显示不清,考虑胸腔积液伴肺不张情况,建议ct看一下是不是支气管结核。
作者: ☆芝麻糖☆ 时间: 2006-11-8 07:06
同意右侧胸腔大量包裹性积液伴胸膜肥厚,建议ct检查
作者: 大心心 时间: 2006-11-8 07:25
是积液的话上缘呈斜行外高内低表现,可能是包裹性积液,但右下缘密度不是很高,我考虑是右肺不张,胸腔积液不除外,建议ct明确
作者: manhaton 时间: 2006-11-9 00:03
标题: 回复:x1156:胸片!
以下是引用haha215315在2006-11-4 11:42:00的发言:[br]右侧胸腔大量积液伴胸膜肥厚,建议ct检查
作者: chmb 时间: 2006-11-9 00:04
右侧胸腔积液,包裹形成,伴肺不张,病人年青,考虑结核性胸膜炎可能性大
作者: jssqcdm 时间: 2006-11-9 06:01
右侧胸腔大量包裹性积液伴胸膜肥厚。
作者: yrjw 时间: 2007-8-14 18:44
右侧胸腔大量包裹性积液伴胸膜肥厚,
作者: fzbsg4567 时间: 2007-8-14 22:20
我很想知道病理结果。
作者: nihaohe 时间: 2007-8-15 05:29
右侧大量胸腔积液,考虑结核性胸膜炎伴右侧大量胸腔积液,建议抗结核治疗后复查。
作者: ml2007 时间: 2007-8-15 05:57
右侧大量胸腔积液,考虑结核性胸膜炎伴右侧大量胸腔积液,建议抗结核治疗后复查
作者: yrjw 时间: 2007-8-26 07:02
右侧大量胸腔积液(癌性可能)
作者: yuhongjun 时间: 2007-8-26 13:27
右侧胸腔大量包裹性积液伴胸膜肥厚,建议ct检查
作者: shibing 时间: 2013-5-7 08:03
建议ct检查
| 欢迎光临 医影在线 (http://bbs.radida.com/bbs/) |
Powered by Discuz! X3.2 |