医影在线

标题: CT5147:头颅,请大家看看 [打印本页]

作者: 漫步云端    时间: 2006-11-5 10:46
标题: CT5147:头颅,请大家看看
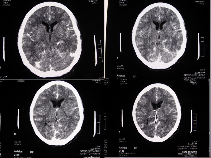
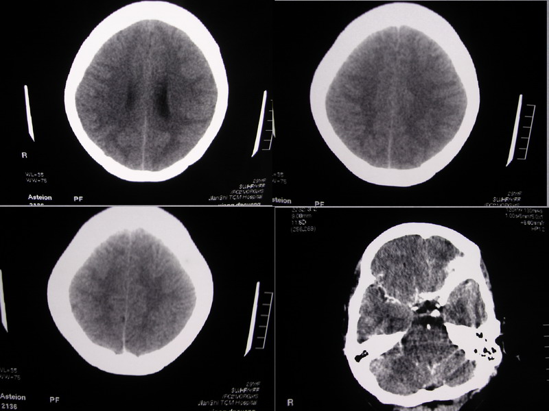
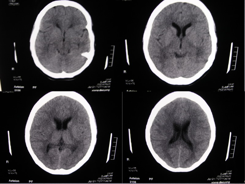
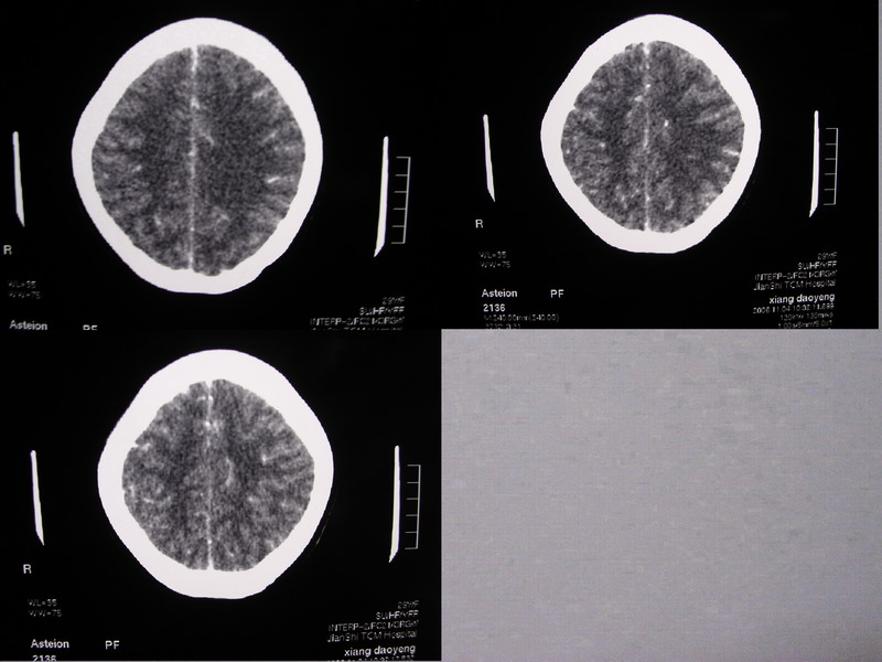
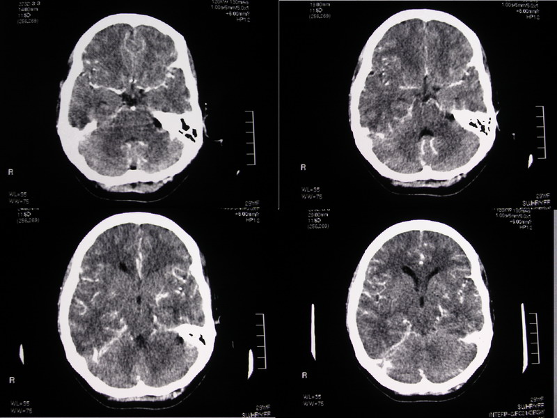
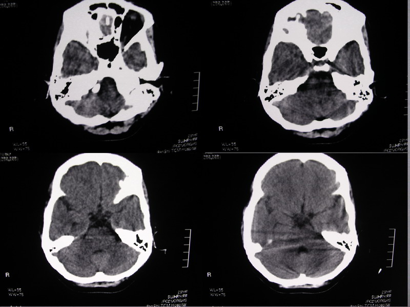
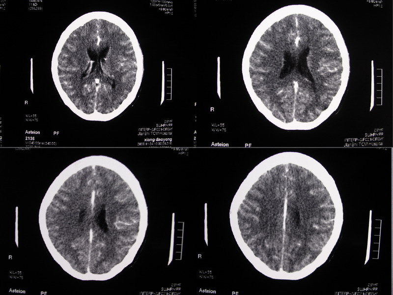
向××,女,29岁,二十天前高热,抗炎治疗后双眼斜视,肌无力,双下肢张力ii级。











[本贴已被 jiajie 于 2006-11-5 16:26:15 修改过]

作者: 守望可可    时间: 2006-11-5 15:51
  奇怪啊!临床症状那么典型,为什么没有什么脑炎的迹象?二十天了,应该有表现的,是我眼拙?但小脑蚓部以及左侧颅中窝均属正常我应该没有看错,大汗淋漓!渴望老师们指点迷津!
作者: dyqct    时间: 2006-11-5 17:16
除侧脑室额角轻度扩大外,余未见异常。
作者: 卜一    时间: 2006-11-5 18:27
感觉胼胝体有异常,但看不出异常影像特征,建议行mri进一步确诊.
作者: ssmmxx    时间: 2006-11-5 19:07
未见异常。
作者: zylcq608    时间: 2006-11-5 19:08
未见明显异常。
作者: zyx168    时间: 2006-11-5 20:07
未见明显异常病灶.
作者: 眼睛    时间: 2006-11-5 20:42
未见明显异常病灶.
作者: jinguoji    时间: 2006-11-5 20:55
未见明显异常。
作者: haha215315    时间: 2006-11-5 21:00
未见明显异常病灶
作者: 飘雪    时间: 2006-11-5 21:18
未见明显异常病灶
作者: 飘雪    时间: 2006-11-5 21:20
未见明显异常病灶
作者: yemin92007    时间: 2006-11-5 21:26
还是未见异常。
作者: 马乙    时间: 2006-11-5 23:40
没看出什么明显异常的
作者: 流星1234    时间: 2006-11-5 23:40
未见异常
作者: jiangjing    时间: 2006-11-6 00:02
侧脑室稍扩大,余未见确切异常强化征,请结合脑脊液及脑脊髓mri检查
作者: 胡生启    时间: 2006-11-6 00:41
未见明显异常病灶
作者: 青莲居士    时间: 2006-11-6 00:44
双下肢无力,芦脑看没有什么问题?回不回是腰椎的问题呀/
作者: 青莲居士    时间: 2006-11-6 01:23
我看没什么呀
作者: liuyue    时间: 2006-11-6 01:41
侧脑室稍扩大,余未见明显异常强化征。
作者: 东北    时间: 2006-11-6 03:35
未见明显异常。
作者: 宝天曼    时间: 2006-11-6 03:59
未见明显异常病灶
作者: 拾荒者    时间: 2006-11-6 04:09
未见异常。
作者: wxy7406    时间: 2006-11-6 04:22
可能是因为图片太小了,总感觉左侧颞叶和右侧额叶前部看的不是很舒服。
作者: wangzhongliang    时间: 2006-11-6 04:46
未见明显异常.
作者: doctorw    时间: 2006-11-6 05:31
应该建议患者再做mri检查
作者: marco    时间: 2006-11-6 07:24
未见明显异常病灶
作者: 如醉卧风    时间: 2006-11-6 07:31
双侧脑室有轻度扩大,增强看脑沟裂显示还是模糊的.时间较长应该考虑脑膜炎.
作者: shenhs    时间: 2006-11-6 08:37
看不出有什么异常,建议行mri检查.
作者: sun123456    时间: 2006-11-6 16:42
未见异常。
作者: d5d6x7111    时间: 2006-11-6 17:31
应该建议患者再做mri检查
作者: shibing    时间: 2015-6-29 08:42
未见明显异常。




欢迎光临 医影在线 (http://bbs.radida.com/bbs/) Powered by Discuz! X3.2