医影在线

标题: CT5150:左上肺空洞病变,肺撕裂伤? [打印本页]

作者: sunhua666    时间: 2006-11-5 21:10
标题: CT5150:左上肺空洞病变,肺撕裂伤?
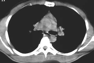
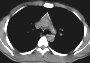
左侧锁骨骨折,患者主诉未伤及胸部,无其他病史。







[本贴已被 jiajie 于 2006-11-5 16:44:50 修改过]

作者: zyx168    时间: 2006-11-5 21:57
不是肺撕裂伤,应考虑:1,左上肺周围型肺癌可能性大;
                             2,左上肺继发型结核(结核球0.
作者: zyx168    时间: 2006-11-5 22:00
不是肺撕裂伤,应考虑:1,左上肺周围型肺癌可能性大;
                             2,左上肺继发型结核(结核球)不排除.
作者: lhycrazy    时间: 2006-11-5 22:04
初秋的天,冰冷的夜
回忆慢慢袭来
真心的爱就像落叶
为何却要分开
灰色的天独自彷徨
城市的老地方
真的孤单走过忧伤
心碎还要逞强
想为你披件外衣
天凉要爱惜自己
没有人比我更疼你
告诉你在每个
想你的夜里
我哭的好无力
就让秋风带走我的思念
带走我的泪
我还一直静静守候在
相约的地点
求求老天淋湿我的双眼
冰冻我的心
让我不再苦苦奢求你还
回来我身边 我身边
灰色的天独自彷徨
城市的老地方
真的孤单走过忧伤
心碎还要逞强
想为你披件外衣
天凉要爱惜自己
没有人比我更疼你
告诉你在每个
想你的夜里
我哭的好无力
就让秋风带走我的思念
带走我的泪
我还一直静静守候在
相约的地点
求求老天淋湿我的双眼
冰冻我的心
让我不再苦苦奢求你还
回来我身边
就让秋风带走我的思念
带走我的泪
我还一直静静守候在
相约的地点
求求老天淋湿我的双眼
冰冻我的心
让我不再苦苦奢求你还
回来我身边 我身边
就让秋风带走我的思念
带走我的泪
我还一直静静守候在
相约的地点
作者: 守望可可    时间: 2006-11-5 22:09
  楼上的兄弟,不知道您为什么考虑周围型肺癌或结核球,除了没有该部位的外伤史外,您能有其他的证据吗?
  该病灶在纵隔窗没有显示,说明是渗出性病变,而且肺窗看起来也显得它非常淡薄。能造成锁骨骨折,说明受伤时所受冲击力不小。在大冲击力的情况下,胸部发生碰撞的机会非常大,很多患者在受伤后都说不清自己究竟是怎么着地以及究竟是何种姿势受伤。
  所以我认为应该首先考虑创伤性湿肺,只是需要楼主详细询问病史,排除炎性感染的可能。
作者: 刘明    时间: 2006-11-5 22:33
病灶在纵隔窗没有显示,考虑是渗出性病变,结合外伤史我认为应该首先考虑创伤性湿肺
作者: ssmmxx    时间: 2006-11-5 23:21
首先考虑创伤性湿肺
作者: 马乙    时间: 2006-11-5 23:24
呵呵 我只是个新手来向大家学习的 请多多指教 !
作者: fengpeng    时间: 2006-11-5 23:25
没有详细的病史,影象上是渗出性改变,中心病灶有空洞存在结核  湿肺 都有可能,那肺泡癌可以除外吗?
作者: 流星1234    时间: 2006-11-5 23:31
考虑肺撕裂伤
作者: 千里草    时间: 2006-11-5 23:37
病灶在纵隔窗没有显示,考虑是渗出性病变,结合外伤史我认为应该首先考虑创伤性湿肺
作者: jiangjing    时间: 2006-11-5 23:45
不考虑空洞。支持肺挫伤,肺部感染待排。
作者: 乡医    时间: 2006-11-6 01:29
创伤性湿肺短期内有明显的变化,请把复查的图片继续上传.
作者: lzdyjg    时间: 2006-11-6 01:37
一句话,有明确的外伤史,就要诊断肺挫伤.短期随访起到鉴别诊断作用.
作者: liuyue    时间: 2006-11-6 01:46
结合外伤史应该首先考虑创伤性湿肺
作者: wangzhongliang    时间: 2006-11-6 02:18
考虑创伤性湿肺,建议治疗后复查。
作者: 卜一    时间: 2006-11-6 02:45
从病灶特点分析应该是渗出性病灶,但有一点不好解释.病灶中心有空洞,而且不规则,空洞边缘似见硬化或钙化.因此考虑:肺挫伤同时不除外特殊感染性病灶.
作者: 同    时间: 2006-11-6 02:57
多考虑外伤性湿肺。
作者: 13081830109    时间: 2006-11-6 03:06
考虑创伤性湿肺,建议治疗后复查。
作者: jinguoji    时间: 2006-11-6 03:58
考虑是渗出性病变,结合外伤史我认为应该首先考虑创伤性湿肺,建议治疗后复查。
作者: anbo5502    时间: 2006-11-6 04:06
雷主任曾讲过,肺挫伤和创伤性湿肺是两个概念。此患者还是考虑肺挫伤,透视即可复查。
作者: 宝天曼    时间: 2006-11-6 04:07
首先考虑创伤性湿肺
作者: 高山流水-1    时间: 2006-11-6 04:08
渗出性病变,应该首先考虑创伤性湿肺,建议治疗后复查。
作者: YaoYY    时间: 2006-11-6 04:09
同意5楼分析.考虑创伤性湿肺.
作者: wxy7406    时间: 2006-11-6 04:33
有明确的外伤史,病灶呈渗出性改变,密度较低,边缘呈晕圈状改变,周围未见明显的异常血管影及纤维索条影和卫星灶。所以考虑是创伤性湿胸。
作者: 拾荒者    时间: 2006-11-6 04:38
同意楼上分析,可短期治疗复查。
作者: zwx    时间: 2006-11-6 05:20
首先考虑创伤性湿肺
作者: dyqct    时间: 2006-11-6 05:22
支持创伤性湿肺,建议短期内随访。
作者: my    时间: 2006-11-6 06:56
考虑创伤性湿肺
作者: 如醉卧风    时间: 2006-11-6 07:15
病灶周围显示渗出性病变,考虑与外伤有关是对的.但要问清时间呀.
作者: shenhs    时间: 2006-11-6 08:52
首先考虑创伤性湿肺
作者: fumaogui    时间: 2006-11-6 16:59
考虑创伤性湿肺,不排除真菌性肺感染.复查吧,湿肺吸收较快.
作者: haha215315    时间: 2006-11-6 17:31
首先考虑创伤性湿肺.
作者: 逸风    时间: 2006-11-6 17:42
左肺上叶前段磨玻璃样结节,中心可见小结节样高密度影及空泡影,我个人觉得首先考虑恶性结节,结合病史,不能完全排除肺挫伤!建议薄层扫描后多方位重建,观察与支气管关系;定期复查,追踪观察(此类病变可能很长时间内不会发生改变),如果结节样高密度成分增多,建议手术切除.
作者: shibing    时间: 2015-6-29 08:41
考虑肺撕裂伤




欢迎光临 医影在线 (http://bbs.radida.com/bbs/) Powered by Discuz! X3.2