医影在线

标题: CT5196:颅内占位,请欣赏、点评 [打印本页]

作者: yanfenglanzhou    时间: 2006-11-9 06:20
标题: CT5196:颅内占位,请欣赏、点评
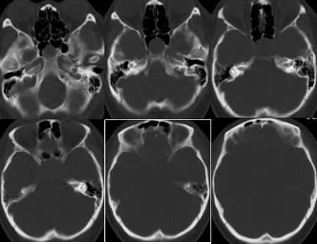
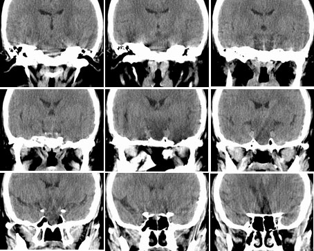
性别  女    年龄 45
阵发性头痛伴视物不清两年余









[本贴已被 翁志蓬 于 2006-11-8 23:48:48 修改过]

作者: guduchunmeng    时间: 2006-11-9 06:28
当然要首先考虑垂体瘤了。为什么不强化/难道是mr了??
作者: xclzq_910    时间: 2006-11-9 06:31
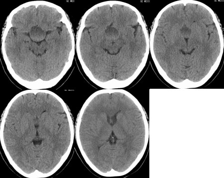
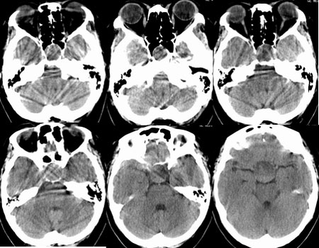
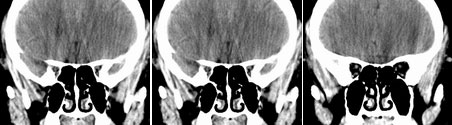
鞍区垂体窝内见一巨大类椭圆性软组织块影,前后床突受压移位、变薄,鞍底凹陷,应当能明确诊断垂体瘤。不过最好能做个mri看看视神经受累情况
作者: 守望可可    时间: 2006-11-9 06:55
支持楼上各位老师,考虑垂体腺瘤。
作者: ssmmxx    时间: 2006-11-9 07:10
考虑垂体腺瘤。
作者: 奕帆    时间: 2006-11-9 07:35
支持:垂体大腺瘤。
作者: 逸风    时间: 2006-11-9 07:41
标题: 回复:颅内占位,请欣赏、点评
以下是引用奕帆在2006-11-8 23:35:00的发言:[br]支持:垂体大腺瘤。

作者: jiangjing    时间: 2006-11-9 07:44
考虑垂体瘤
作者: shenhs    时间: 2006-11-9 07:47
考虑垂体腺瘤
作者: 眼睛    时间: 2006-11-9 08:41
考虑垂体瘤建议强化ct
作者: 卜一    时间: 2006-11-9 13:39
鞍区垂体窝内占位首先考虑垂体瘤。
作者: 宝天曼    时间: 2006-11-9 14:56
支持:垂体大腺瘤。
作者: 郭凯    时间: 2006-11-9 15:51
标题: 回复:ct5196:颅内占位,请欣赏、点评
以下是引用xclzq_910在2006-11-8 22:31:00的发言:[br]鞍区垂体窝内见一巨大类椭圆性软组织块影,前后床突受压移位、变薄,鞍底凹陷,应当能明确诊断垂体瘤。不过最好能做个mri看看视神经受累情况

作者: dyqct    时间: 2006-11-9 17:05
典型的垂体大腺瘤。
作者: d5d6x7111    时间: 2006-11-9 17:09
考虑垂体瘤
作者: 1983    时间: 2006-11-9 17:10
考虑垂体腺瘤。
作者: zyx168    时间: 2006-11-9 18:04
蝶鞍内圆形密度不均匀,包膜完整肿块影,前床突与鞍底变薄.
意见:垂体大腺瘤.
作者: haha215315    时间: 2006-11-9 18:15
鞍区垂体窝内占位首先考虑垂体瘤。
作者: 日本东芝CT    时间: 2006-11-9 20:16
支持:垂体大腺瘤。
作者: yang4132    时间: 2006-11-9 20:39
垂体瘤。
作者: jinguoji    时间: 2006-11-9 22:36
考虑垂体腺瘤。
作者: wnlyq8688    时间: 2006-11-10 00:42
考虑垂体腺瘤建议强化ct
作者: mzj-329    时间: 2006-11-10 02:01
垂体腺瘤
作者: 拾荒者    时间: 2006-11-10 03:04
鞍区垂体窝内见一巨大类椭圆性软组织块影,前后床突受压移位、变薄,鞍底凹陷,应当能明确诊断垂体瘤。不过最好能做个mri看看视神经受累情况  
  
支持。
作者: 晓杰    时间: 2006-11-10 03:17
鞍区垂体窝内见一巨大类椭圆性软组织块影,前后床突受压移位、变薄,鞍底凹陷,应当能明确诊断垂体瘤。不过最好能做个mri看看视神经受累情况
作者: ssm999    时间: 2006-11-10 05:13
本病例单凭ct检查是很难定位准确的,是鞍上病变侵犯鞍内、还是鞍内病变向鞍上生长?
1、如果鞍内肿瘤突破鞍隔,向鞍上生长,考虑垂体腺瘤,其典型表现是肿瘤呈"8"字征。
2、如果是鞍上肿瘤侵犯鞍内,要考虑鞍区脑膜瘤、生殖细胞瘤、实性颅咽管瘤(多为囊性、少数也可实性)、转移瘤、垂体柄胶质细胞瘤。
作者: jssqcdm    时间: 2006-11-10 06:04
考虑垂体腺瘤.
作者: shibing    时间: 2015-6-29 08:46
考虑垂体腺瘤




欢迎光临 医影在线 (http://bbs.radida.com/bbs/) Powered by Discuz! X3.2