























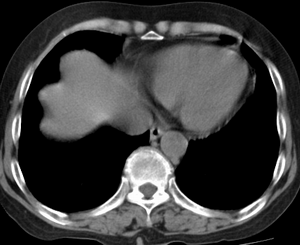
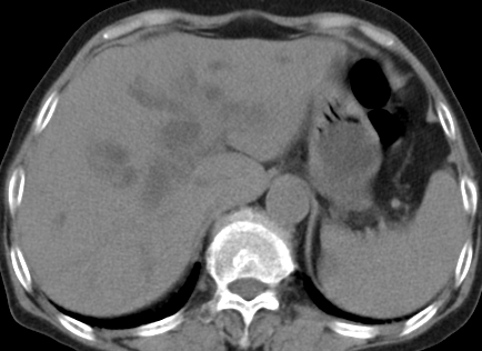
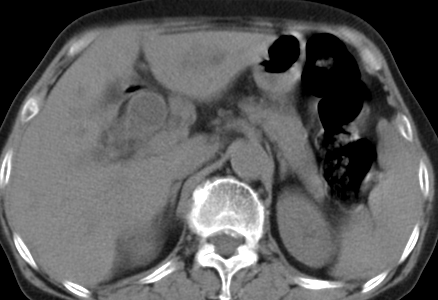
以下是引用齐原在2006-11-8 23:21:00的发言:[br]肝脏体积增大.肝表凸凹不平,肝内胆管扩张,胆总管扩张,胆总管末端突然截断,胰腺勾突增大,形态不规则.胰管扩张.考虑胰头癌.并低位梗阻性胆系扩张,胆囊炎.脾大.建议增强


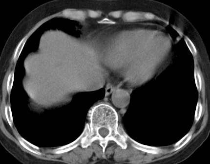
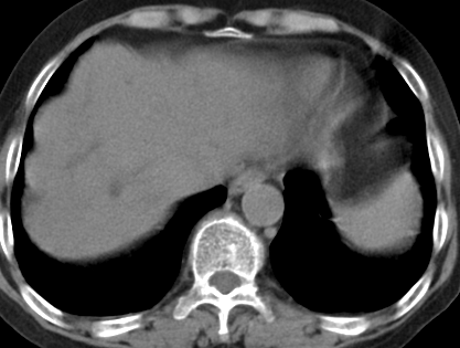
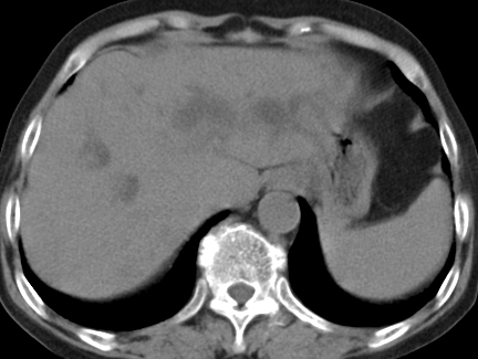
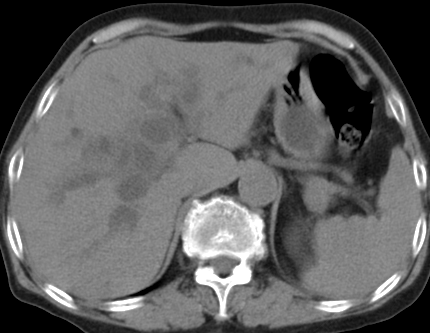
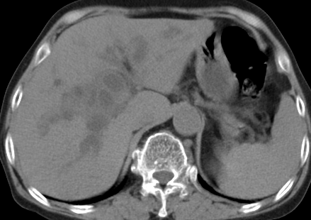
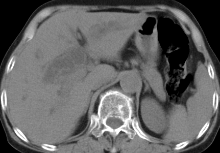
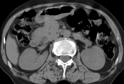
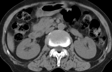
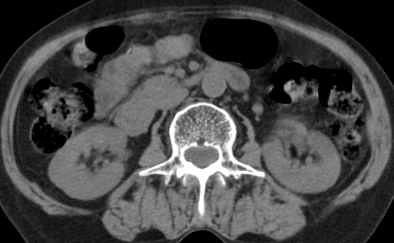
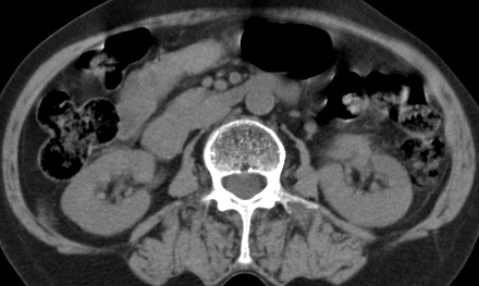
以下是引用dyqct在2006-11-9 9:14:00的发言:[br]肝大,表面呈波浪状,肝内外胆管扩张,胆总管下端腔内见小结节状等密度影,胰管轻度扩张。胆囊显示不清。[br]考虑:1、胆总管下端占位性病变(等密度结石?壶腹部肿瘤?);[br] 2、肝硬化?[br] 3、建议增强扫描进一步检查。
以下是引用dyqct在2006-11-9 9:14:00的发言:[br]肝大,表面呈波浪状,肝内外胆管扩张,胆总管下端腔内见小结节状等密度影,胰管轻度扩张。胆囊显示不清。[br]考虑:1、胆总管下端占位性病变(等密度结石?壶腹部肿瘤?);[br] 2、肝硬化?[br] 3、建议增强扫描进一步检查。
以下是引用dyqct在2006-11-9 9:14:00的发言:[br]肝大,表面呈波浪状,肝内外胆管扩张,胆总管下端腔内见小结节状等密度影,胰管轻度扩张。胆囊显示不清。[br]考虑:1、胆总管下端占位性病变(等密度结石?壶腹部肿瘤?);[br] 2、肝硬化?[br] 3、建议增强扫描进一步检查。
| 欢迎光临 医影在线 (http://bbs.radida.com/bbs/) | Powered by Discuz! X3.2 |