







以下是引用zyx168在2006-11-9 12:11:00的发言:[br]考虑脑裂发育畸形
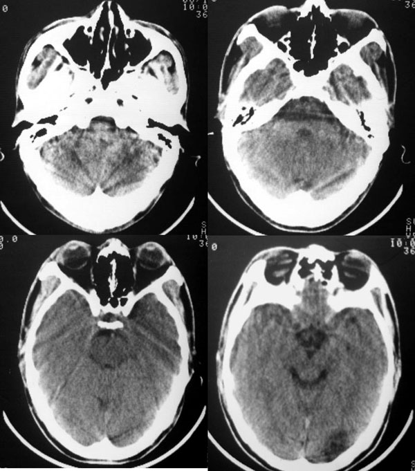
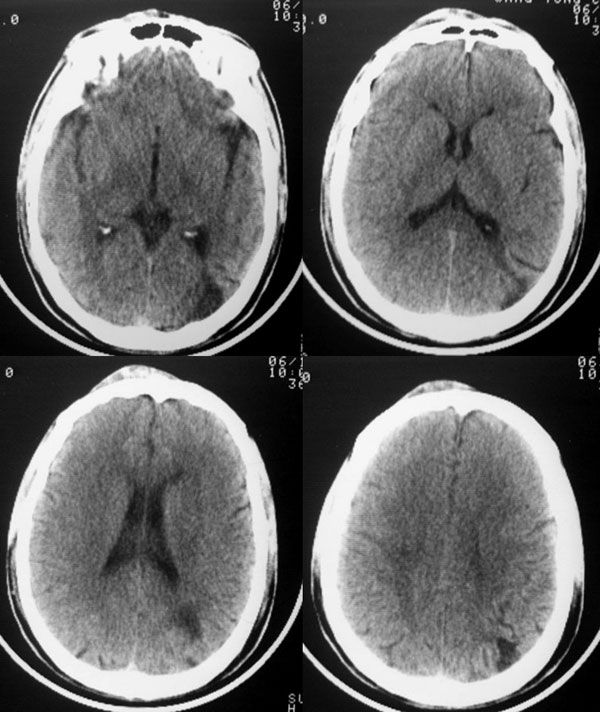
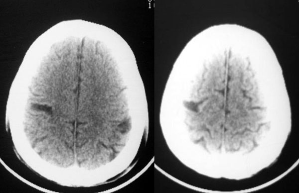
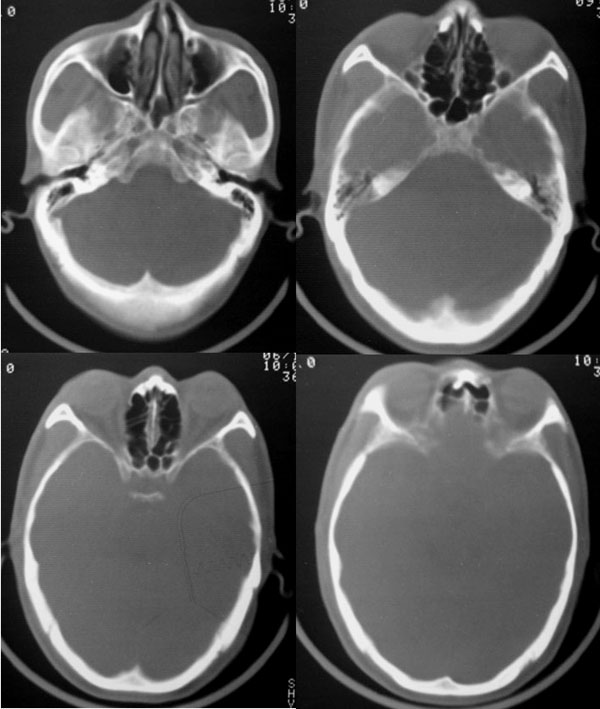
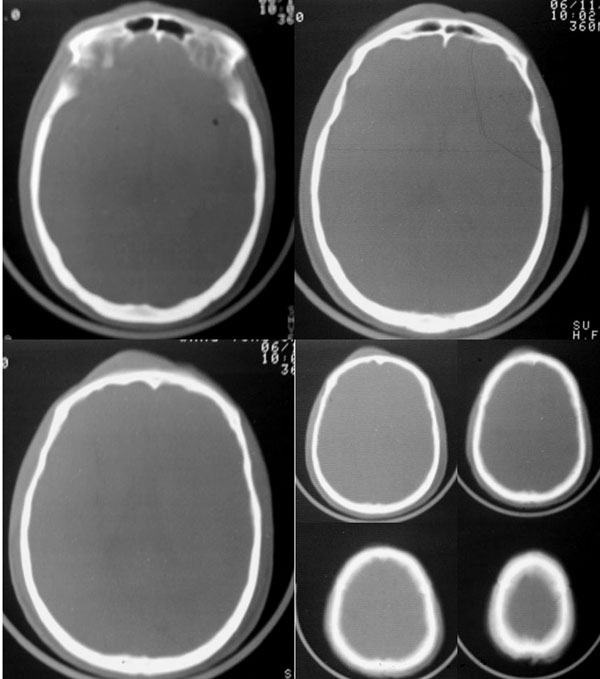
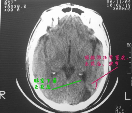
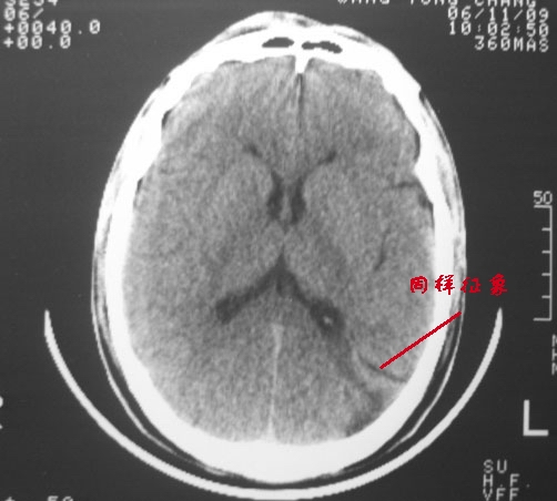
以下是引用dyqct在2006-11-9 15:04:00的发言:[br]左枕叶、双顶叶各见一处似三角形低密度区,边界尚清楚,无占位效应,累及皮质,白质侧未见灰质影。余所见未见异常。[br]考虑:1、脑软化灶;[br] 2、不支持脑裂畸形,该病病变区两侧应有灰质带——即灰质异位,临床上常有顽固性颠痫。当然了脑软化灶也偶会出现颠痫。
以下是引用守望可可西里在2006-11-9 15:06:00的发言:[br][br] 1.左侧枕叶低密度与侧脑室相通,考虑开唇型脑裂畸形。[br] 2.双侧顶叶低密度考虑局部脑沟异常扩大,发育问题。
以下是引用dyqct在2006-11-9 15:04:00的发言:[br]左枕叶、双顶叶各见一处似三角形低密度区,边界尚清楚,无占位效应,累及皮质,白质侧未见灰质影。余所见未见异常。[br]考虑:1、脑软化灶;[br] 2、不支持脑裂畸形,该病病变区两侧应有灰质带——即灰质异位,临床上常有顽固性颠痫。当然了脑软化灶也偶会出现颠痫。
| 欢迎光临 医影在线 (http://bbs.radida.com/bbs/) | Powered by Discuz! X3.2 |