医影在线

标题: CT5202:[原创]头部平扫~~请大家一起研究哈!!谢谢!! [打印本页]

作者: andymaomao    时间: 2006-11-9 19:44
标题: CT5202:[原创]头部平扫~~请大家一起研究哈!!谢谢!!
反复头昏1年余...








[本贴已被 翁志蓬 于 2006-11-9 19:16:54 修改过]

作者: zyx168    时间: 2006-11-9 20:17
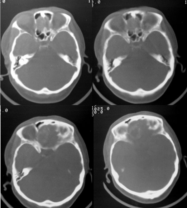
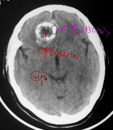
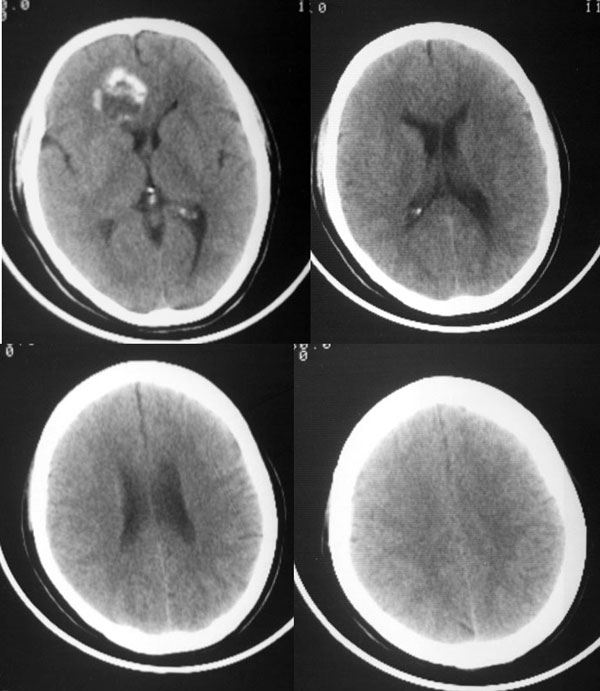
右额叶内圆形结节状环形钙化块影,周边无水肿.
考虑:i级星形胶质细胞瘤.
作者: yang4132    时间: 2006-11-9 20:36
右前颅窝底圆形钙化影突向额叶内,周围无明显水肿,战位效应轻,考虑脑膜瘤。
作者: 宝天曼    时间: 2006-11-9 21:20
考虑脑膜瘤可能性大
作者: 北极星    时间: 2006-11-9 21:27
支持脑膜瘤
作者: jinguoji    时间: 2006-11-9 22:16
考虑脑膜瘤可能性大
作者: maliang01    时间: 2006-11-9 22:21
支持脑膜瘤
作者: wang728    时间: 2006-11-9 22:38
结核肉芽肿?感染后钙化?
作者: 卜一    时间: 2006-11-9 22:55
支持脑膜瘤并钙化.
作者: dyqct    时间: 2006-11-9 22:56
支持脑膜瘤;建议做增强扫描或冠状扫描进一步检查。
作者: 守望可可    时间: 2006-11-9 23:18
标题: 回复:[原创]头部平扫~~请大家一起研究哈!!谢谢!!
以下是引用yang4132在2006-11-9 12:36:00的发言:[br]右前颅窝底圆形钙化影突向额叶内,周围无明显水肿,战位效应轻,考虑脑膜瘤。

大家一致的支持你!
作者: 逸风    时间: 2006-11-9 23:37
标题: 回复:[原创]头部平扫~~请大家一起研究哈!!谢谢!!
不支持脑膜瘤!!
平扫前颅底区类圆形骨样高密度影,中心可见低密度影,病变向上生长突入额叶,向下生长突入筛窦,说明病灶来源于额骨水平部,脑膜瘤只能引起颅底骨质的增厚,突入筛窦的几率不大.所以我认为应该首先考虑前颅底骨软骨瘤可能大.如果病变不是来源于颅底骨质,首先应该考虑颅咽管瘤或脑膜瘤.
作者: yxyxjs    时间: 2006-11-9 23:42
支持脑膜瘤!
作者: 奕帆    时间: 2006-11-10 00:00
楼主的这个题目实在有点难!脑膜瘤有可能,胶质细胞瘤有可能,感染病灶钙化也有可能,骨软骨瘤也有可能,转移瘤也有可能.........再多给点病史呀!
作者: 眼睛    时间: 2006-11-10 00:45
迷茫了!支持什么也不说个理由! 不服!那位老师能说的有道有理有根据啊? 谢谢!!
作者: 艺术家    时间: 2006-11-10 02:01
考虑脑膜瘤,除外脑转移瘤?
作者: 同    时间: 2006-11-10 03:00
首先考虑脑膜瘤
作者: 晓杰    时间: 2006-11-10 03:34
支持脑膜瘤;建议做增强扫描或冠状扫描进一步检查。
作者: xclzq_910    时间: 2006-11-10 03:55
右前颅窝底圆形钙化影突向额叶内,周围无明显水肿,占位效应轻,考虑脑膜瘤。
作者: 子期    时间: 2006-11-10 04:50
先考虑胶质瘤,不完全除外颅咽管瘤.
作者: 云中漫步者    时间: 2006-11-10 05:03
前颅窝底肿块,以钙化为主,周围无明显水肿,占位效应轻。考虑:骨软骨瘤或脑膜瘤。
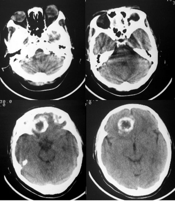
大家看四张骨窗片:病灶最大截面在筛窦,并以此为中心向上侵入额叶,向两侧侵入双眼眶,双眼眶内侧壁亦见骨质吸收破坏,依此可确立病变位于脑外。在此部位符合上述特点的肿瘤,能想到的有骨软骨瘤或脑膜瘤,从常见病考虑,以脑膜瘤可能性大。
作者: 拾荒者    时间: 2006-11-10 05:13
支持脑膜瘤;建议做增强扫描或冠状扫描进一步检查。
作者: lkc8963    时间: 2006-11-10 06:57
前颅窝底钙化性脑外肿块,右侧前床突轻度硬化,按发病部位来讲,最支持脑膜瘤。
颅咽管瘤位置太靠前且本例中央区更象软组织密度;骨软骨瘤多发生于鞍区且密度多不会如此混杂;海绵状血管瘤钙化形态多呈散发少呈如此规则环状强化,且多发于鞍区硬膜外;筛窦源性肿瘤主体应位于窦腔,窦腔骨质多有改变如嗅母;明显脑外特征则不支持脑内肿瘤如胶质瘤了。
作者: 无泪之城    时间: 2006-11-10 08:50
脑膜瘤可能性大
作者: lyb999    时间: 2006-11-10 18:16
1脑膜瘤,2少突胶质瘤。
作者: haha215315    时间: 2006-11-11 17:54
支持脑膜瘤并钙化。
作者: shibing    时间: 2015-6-29 08:43
支持脑膜瘤




欢迎光临 医影在线 (http://bbs.radida.com/bbs/) Powered by Discuz! X3.2