医影在线
标题: CT5203:误诊病例,有增强及复查,有结果! [打印本页]
作者: wang728 时间: 2006-11-9 23:33
标题: CT5203:误诊病例,有增强及复查,有结果!
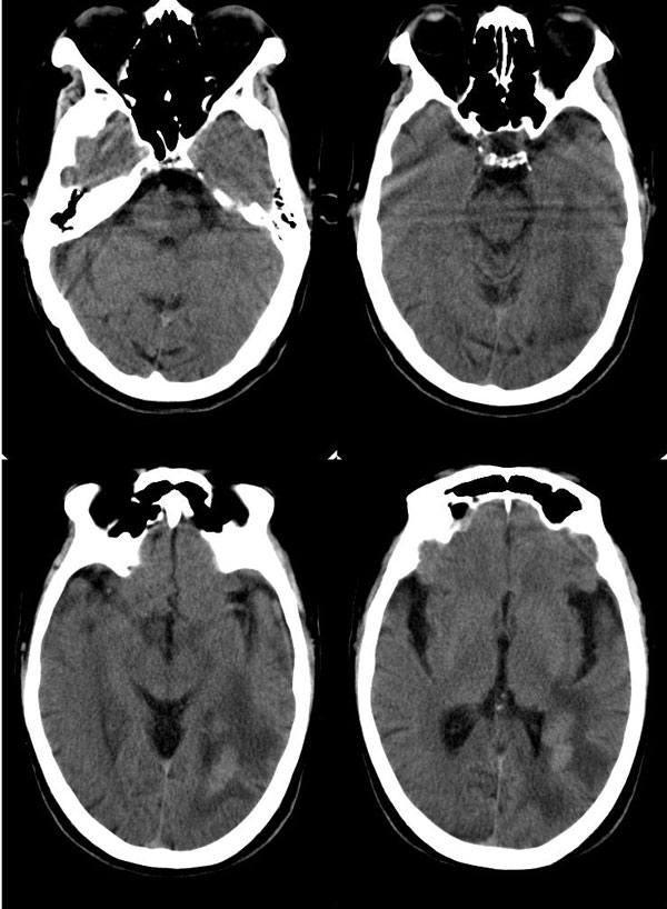
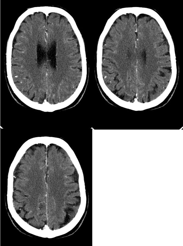
病人头晕12天,无视力障碍及肢体活动障碍






[本贴已被 翁志蓬 于 2006-11-9 17:53:05 修改过]
作者: wang728 时间: 2006-11-9 23:52
标题: 补充病例
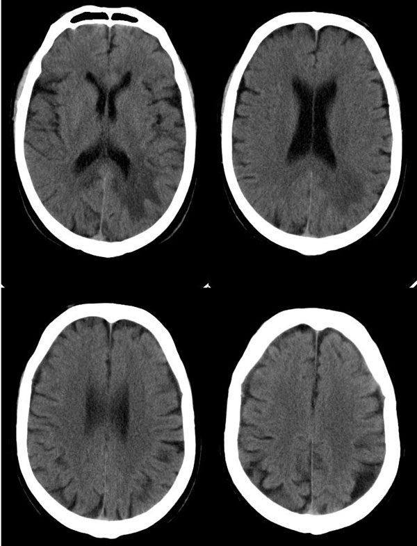
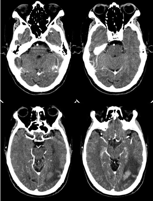
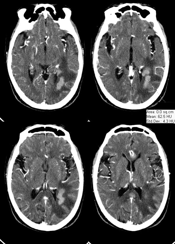
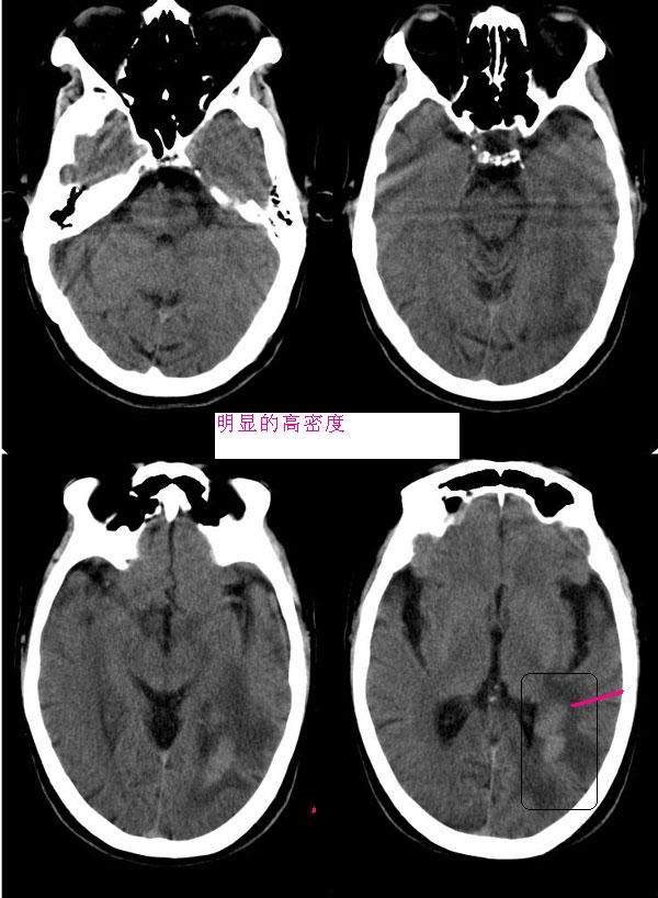
病灶平扫ct值约38hu,强化后明显强化,ct值约63hu,有一层ct值约72hu,病史:病人,男75,血压120/75,不高,头晕12天,平时体健,当时曾作胸x线片,正常。腹部ct,肝多发囊肿。经治疗(林格液+甘露醇)未用营养液及化疗药,当时诊断转移瘤。12天复查片如下








[本贴已被 wang728 于 2006-11-22 9:37:30 修改过]
作者: suncl 时间: 2006-11-10 01:34
年龄?转移瘤?
作者: mzj-329 时间: 2006-11-10 02:39
小病灶大水肿,占位效应不强,考虑转移瘤.立查胸部.
作者: xclzq_910 时间: 2006-11-10 02:47
左侧颞叶及胼胝体多发病灶,水肿带不规则,可见\"指套征\",应当考虑转移瘤.建议查胸片
作者: hejie 时间: 2006-11-10 02:48
胼胝体见多个明显强化结节影,周围水肿轻,左颞枕交界区见呈腊肠状强化灶,周围水肿明显,多发病灶均有占位效应,首先考虑淋巴瘤,水肿轻,位置深,强化明显,其次转移瘤?
此病人应该是老年人:脑沟脑回加深增宽,尤其是双侧外侧裂池增宽明显.
作者: 同 时间: 2006-11-10 03:02
标题: 回复:ct5203:误诊病例,有增强及复查,有结果!
以下是引用suncl在2006-11-9 17:34:00的发言:[br]年龄?转移瘤?
作者: 眼睛 时间: 2006-11-10 03:24
胼胝体见多个明显强化结节影,周围水肿轻,左颞枕交界区见呈腊肠状强化灶,周围水肿明显,多发病灶均有占位效应,首先考虑淋巴瘤(水肿轻,位置深,强化明显)其次转移瘤? 建议追问病史?
作者: zyx168 时间: 2006-11-10 03:29
平扫:左侧颞枕叶内(左侧脑室后角旁)片状或楔形低密度影,内见条片状略高密度影,脑室无受压征象.
增强:条片状影均匀强化.
意见:考虑左侧颞枕叶梗塞.
作者: 晓杰 时间: 2006-11-10 03:32
转移瘤?淋巴瘤?
作者: 许协成 时间: 2006-11-10 04:05
左颞枕部脑梗塞并少量出血.
作者: 西北偏北 时间: 2006-11-10 04:06
首先考虑淋巴瘤,需除外转移瘤!
作者: 子期 时间: 2006-11-10 04:26
先考虑转移,不完全除外淋巴瘤..
作者: wxy7406 时间: 2006-11-10 04:51
脑沟脑回加深增宽证像,特别是双侧外侧裂池增宽明显,因该是老年患者。
胼胝体见多个明显强化结节影,周围见低密度水肿灶;左颞枕交界区见呈腊肠状强化灶,增强后强化明显,周围指状水肿。多发病灶均有占位效应,水肿轻,位置深,强化明显。
首先考虑淋巴瘤,转其次移瘤。
作者: 拾荒者 时间: 2006-11-10 05:28
标题: 回复:ct5203:误诊病例,有增强及复查,有结果!
以下是引用wxy7406在2006-11-9 20:51:00的发言:[br]脑沟脑回加深增宽征象,特别是双侧外侧裂池增宽明显,应该是老年患者。[br]胼胝体见多个明显强化结节影,周围见低密度水肿灶;左颞枕交界区见呈腊肠状强化灶,增强后强化明显,周围指状水肿。多发病灶均有占位效应,水肿轻,位置深,强化明显。[br]首先考虑淋巴瘤,其次转移瘤。
作者: dyqct 时间: 2006-11-10 05:36
胼胝体膝部及压部各见一明显强化结节影,周围水肿轻,左颞枕交界区见呈腊肠状强化灶,周围水肿明显,多发病灶均有占位效应。
考虑:1、转移瘤;
2、淋巴瘤?
3、脑萎缩。
作者: 云中漫步者 时间: 2006-11-10 05:48
左颞枕交界区及胼胝体多发明显而均匀强化的实性肿块。
沟脑回加深增宽证像,特别是双侧外侧裂池增宽明显,因是老年患者,病灶位置深且都在侧脑室旁,呈腊肠状,边界清,有轻占位和水肿。
首先考虑淋巴瘤;转移瘤也可考虑,但病灶虽为多发,但位置深在,与其好发于大脑皮质及皮质下区的特点不符。
作者: jssqcdm 时间: 2006-11-10 06:37
小病灶大水肿,占位效应不强,考虑转移瘤.
作者: 守望可可 时间: 2006-11-10 07:41
标题: 回复:ct5203:误诊病例,有增强及复查,有结果!
以下是引用云中漫步者在2006-11-9 21:48:00的发言:[br]左颞枕交界区及胼胝体多发明显而均匀强化的实性肿块。[br]沟脑回加深增宽证像,特别是双侧外侧裂池增宽明显,因是老年患者,病灶位置深且都在侧脑室旁,呈腊肠状,边界清,有轻占位和水肿。[br]首先考虑淋巴瘤;转移瘤也可考虑,但病灶虽为多发,但位置深在,与其好发于大脑皮质及皮质下区的特点不符。
强烈支持!
作者: 清风照影来 时间: 2006-11-23 02:16
标题: 回复:ct5203:误诊病例,有增强及复查,有结果!


作者: yhb 时间: 2006-11-23 03:27
梗塞灶出血
作者: 守望可可 时间: 2006-11-23 08:52
标题: 回复:ct5203:误诊病例,有增强及复查,有结果!
以下是引用守望可可西里在2006-11-9 23:41:00的发言:[br][quote]以下是引用云中漫步者在2006-11-9 21:48:00的发言:[br]左颞枕交界区及胼胝体多发明显而均匀强化的实性肿块。[br]沟脑回加深增宽证像,特别是双侧外侧裂池增宽明显,因是老年患者,病灶位置深且都在侧脑室旁,呈腊肠状,边界清,有轻占位和水肿。[br]首先考虑淋巴瘤;转移瘤也可考虑,但病灶虽为多发,但位置深在,与其好发于大脑皮质及皮质下区的特点不符。
[br]强烈支持![/quote]
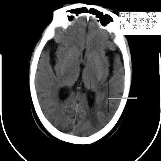
真的不可思议啊,难道是我们的确诊断错误,是颅内多发性出血灶?但为何前次会明显强化呢?
不对,还做过什么治疗?病人连做了2次ct扫描,是不是淋巴瘤受x线照射后病灶缩小、吸收的原因?不能大意,建议跟踪复查。
我还是坚持原来的意见,首先考虑淋巴瘤。
作者: 拾荒者 时间: 2006-11-23 20:29
这么长时间了,怎么还没有结果?怎么误诊的?第二次ct见高密度灶消失,不过第一次有强化不应该是出血,还是考虑淋巴瘤。
作者: 蚂蚁 时间: 2007-1-25 04:40
真真的好病例,分析得更好,谢谢楼主.
作者: 狙击手 时间: 2007-1-25 06:51
精彩!为可可西里老师的坚持鼓掌!
作者: 清风照影来 时间: 2007-1-25 07:33
谢谢楼主的好病例与好分析
作者: wwwwtyy 时间: 2007-1-25 09:10
典型
作者: dlwcz 时间: 2007-1-26 04:57
病灶短期内经过治疗有明显变化。脑桥左侧部可见腔隙性脑梗塞,左枕叶病变考虑出血性脑梗塞可能性大。
作者: shibing 时间: 2015-6-29 08:43
转移瘤?
| 欢迎光临 医影在线 (http://bbs.radida.com/bbs/) |
Powered by Discuz! X3.2 |