









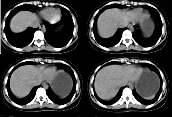
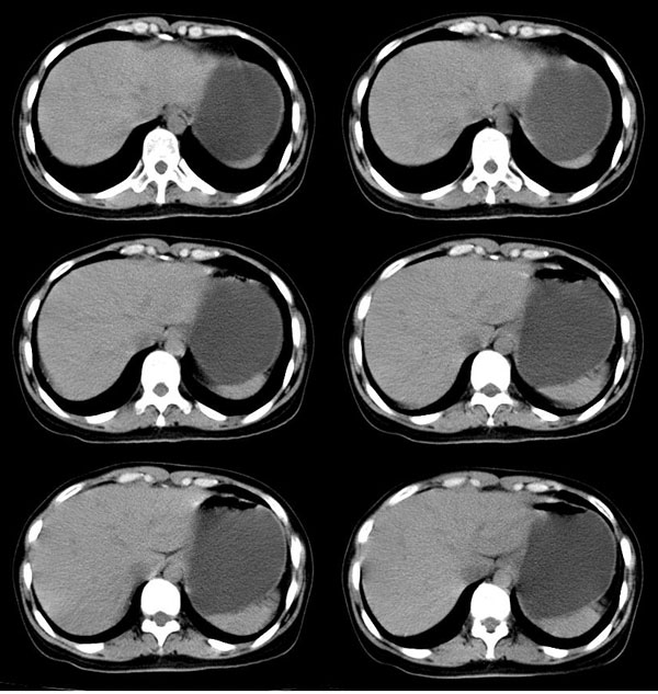
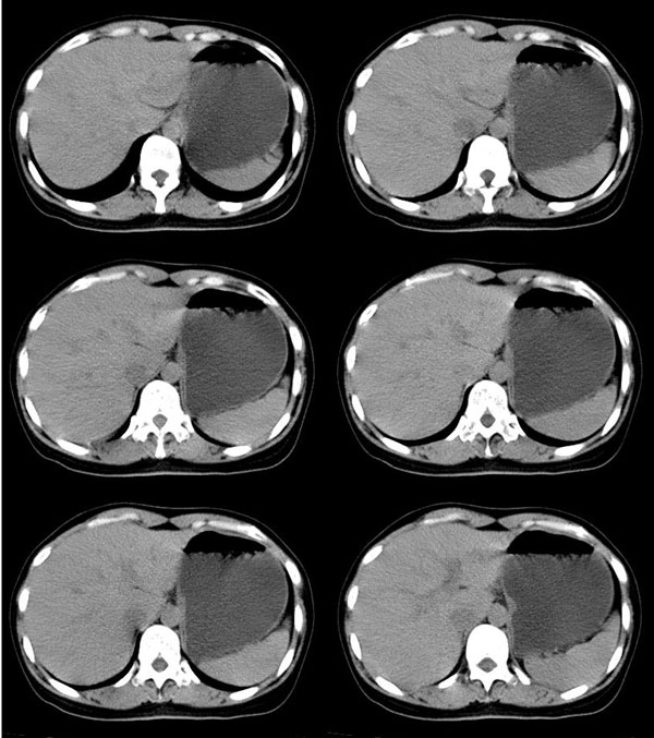
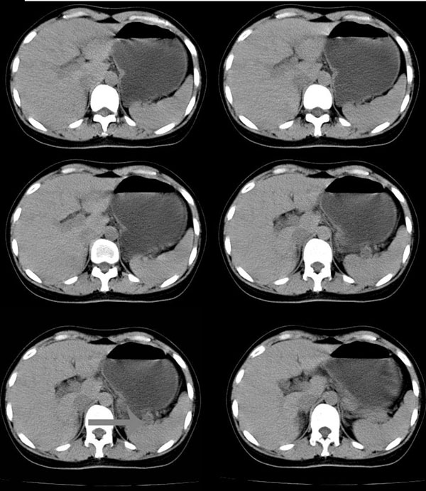
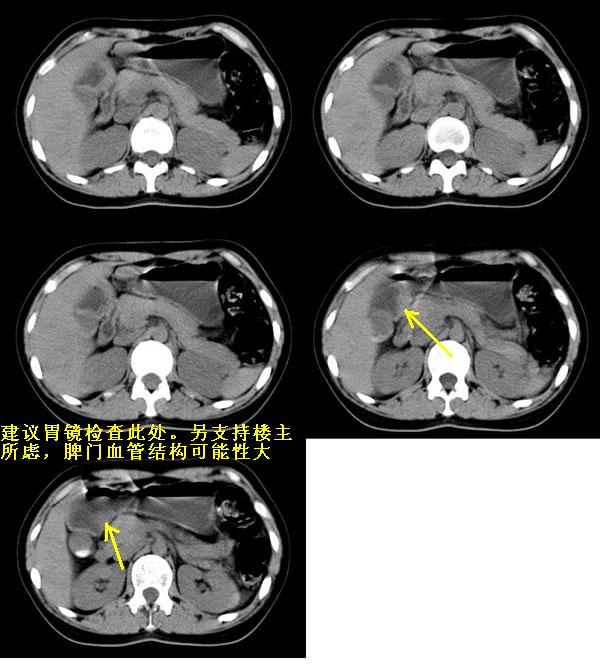
以下是引用无泪之城在2006-11-9 20:01:00的发言:[br]考虑副脾,建议增强,请把增强片传上来
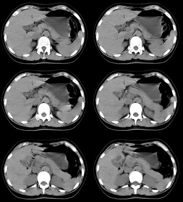
以下是引用guzhongliangddd在2006-11-9 17:55:00的发言:[br]请重点讨论图中箭头所示{脾门部,我首先考虑的是1:血管结构2:胰尾组织??)[br][br][本贴已被 guzhongliangddd 于 2006-11-9 18:01:50 修改过]

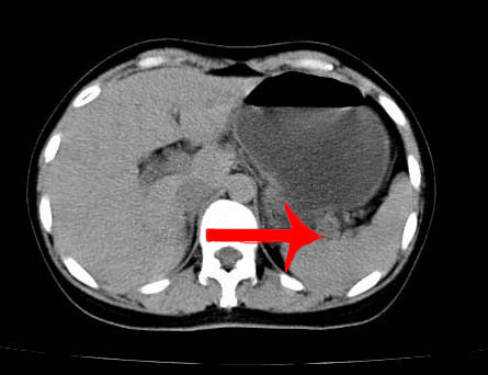
以下是引用西北偏北在2006-11-9 20:15:00的发言:[br]箭头所指结构边缘不光整,不支持副脾,考虑胰尾容积层面或血管,做个增强吧.
| 欢迎光临 医影在线 (http://bbs.radida.com/bbs/) | Powered by Discuz! X3.2 |