医影在线
标题: CT5208:肝囊性占位:囊肿?但壁钙化第一次见,请老师指导 [打印本页]
作者: 中山医 时间: 2006-11-10 03:13
标题: CT5208:肝囊性占位:囊肿?但壁钙化第一次见,请老师指导
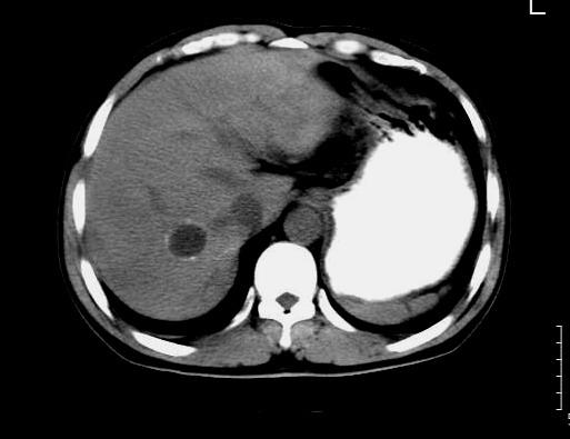
男,44岁,解黒便18天,胃镜:胃小角溃疡性质待查,表浅性胃炎。b超肝右叶占位。ct平扫肝右叶见一囊性占位,ct值:18hu,壁呈带状高密度钙化,增强扫描未见强化。考虑:囊肿?但壁钙化第一次见,不能确定,病人是南方石山地区,未到过牧区,能否排除包虫?
平扫ct值:
18hu.


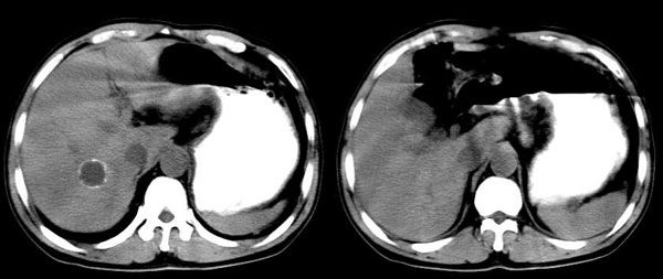
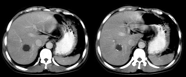
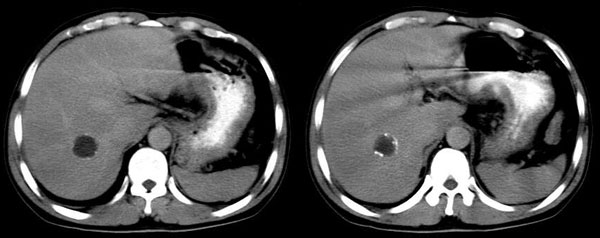
增强扫描:病灶未强化。

延时4分钟

[本贴已被 中山医 于 2006-11-9 19:16:22 修改过]
[本贴已被 jiajie 于 2006-11-9 19:58:32 修改过]
[本贴已被 翁志蓬 于 2006-11-9 20:05:25 修改过]
作者: 晓杰 时间: 2006-11-10 03:28
肝包虫病?脓肿晚期?患者有过高烧吗?
作者: 中山医 时间: 2006-11-10 03:40
患者以消化道出血入院,近段时间未发热,肝功能各项正常,常规b趋检查发现占位。
作者: 艺术家 时间: 2006-11-10 03:41
象慢性肝脓肿
作者: 许协成 时间: 2006-11-10 03:54
脂肪肝并肝囊肿.
作者: 光线 时间: 2006-11-10 04:09
呵呵,那天我们也遇见这么一例,病人也没有具体的肝脓肿病史,
但是重ct表现来看,符合肝脓肿治疗后浓壁钙化。望各位老师
指教!
作者: 子期 时间: 2006-11-10 04:13
我认为不能排除转移瘤.来源于消化道特别结肠的肿瘤常可见钙化.
作者: jssqcdm 时间: 2006-11-10 04:40
肝囊肿伴囊壁钙化。
作者: 医博云天 时间: 2006-11-10 04:48
肝囊肿,壁钙化。
作者: 守望可可 时间: 2006-11-10 05:33
肝囊肿壁的钙化虽然少见,但的确可以有。我国放射界的先驱唐庆尧老师在二十世纪六十年代就曾经有《非寄生虫性肝囊肿钙化一例报告》等研究。
“病人是南方石山地区,未到过牧区”这例既然没有确切的疫区生活史,如果再无“血常规嗜酸细胞增高,凯松皮肤试验及补体结合试验阳性”等情况,则完全可以确定此病例就是肝囊肿,不必犹豫。
作者: dyqct 时间: 2006-11-10 05:44
支持楼主意见,囊肿壁可以钙化.
作者: wxy7406 时间: 2006-11-10 05:54
我认为优先考虑寄生虫,寄生虫是我们最常见的囊肿壁钙化,虽没有疫区生活史,但也不能除外因食肉引起的可能,非寄生虫钙化毕紧少见。
作者: szmdxj 时间: 2006-11-10 06:36
肝囊肿,班囊壁钙化。肝脓肿壁要厚的多,即使治疗后内部密度应该不均,可有分隔。
作者: ssmmxx 时间: 2006-11-10 06:36
肝囊肿伴囊壁钙化。
作者: 如醉卧风 时间: 2006-11-10 07:05
肝囊肿.
作者: 中山医 时间: 2006-11-10 07:15
谢谢各位老师指点。
作者: jinguoji 时间: 2006-11-10 07:29
肝囊肿
作者: dbndp 时间: 2006-11-10 09:23
标题: 回复:ct5208:肝囊性占位:囊肿?但壁钙化第一次见,请老
[quote]以下是引用光线在2006-11-9 20:09:00的发言:我也遇见这么一例,病人有具体的肝脓肿病史,符合肝脓肿治疗后浓壁钙化。支持。
作者: 卜一 时间: 2006-11-10 14:09
无临床症状首先应考虑:肝囊肿,壁钙化。
作者: liuyue 时间: 2006-11-10 15:00
肝囊肿,壁钙化。
作者: wnlyq8688 时间: 2006-11-10 16:37
肝囊肿,壁钙化
作者: haha215315 时间: 2006-11-10 17:20
肝囊肿,壁钙化。
作者: zyx168 时间: 2006-11-10 17:57
右肝后叶内圆形囊状影,包膜完整,断续钙化.
意见:右肝囊肿并钙化
作者: 拾荒者 时间: 2006-11-11 03:02
标题: 回复:ct5208:肝囊性占位:囊肿?但壁钙化第一次见,请老
以下是引用守望可可西里在2006-11-9 21:33:00的发言:[br][br] 肝囊肿壁的钙化虽然少见,但的确可以有。我国放射界的先驱唐庆尧老师在二十世纪六十年代就曾经有《非寄生虫性肝囊肿钙化一例报告》等研究。[br] “病人是南方石山地区,未到过牧区”这例既然没有确切的疫区生活史,如果再无“血常规嗜酸细胞增高,凯松皮肤试验及补体结合试验阳性”等情况,则完全可以确定此病例就是肝囊肿,不必犹豫。
谢谢,学习了。
作者: zylcq608 时间: 2006-11-11 03:26
支持2楼意见
作者: 光线 时间: 2006-11-11 08:33
真心感谢守望可可西里老师。
作者: shenhs 时间: 2006-11-11 09:16
支持肝囊肿,壁钙化
作者: shibing 时间: 2015-6-29 14:48
肝囊肿壁的钙化虽然少见,但的确可以有。我国放射界的先驱唐庆尧老师在二十世纪六十年代就曾经有《非寄生虫性肝囊肿钙化一例报告》等研究。
“病人是南方石山地区,未到过牧区”这例既然没有确切的疫区生活史,如果再无“血常规嗜酸细胞增高,凯松皮肤试验及补体结合试验阳性”等情况,则完全可以确定此病例就是肝囊肿,不必犹豫。
| 欢迎光临 医影在线 (http://bbs.radida.com/bbs/) |
Powered by Discuz! X3.2 |