医影在线

标题: CT5210:[讨论]颅脑占位 [打印本页]

作者: 美丽天使    时间: 2006-11-10 03:47
标题: CT5210:[讨论]颅脑占位
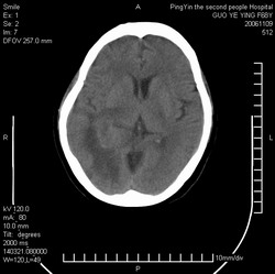
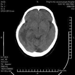
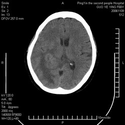
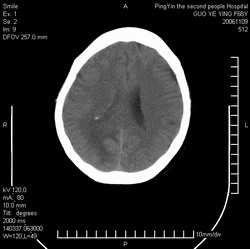
郭*,61岁 ,头痛半月并有复视










[本贴已被 jiajie 于 2006-11-9 20:10:20 修改过]

作者: 无泪之城    时间: 2006-11-10 03:54
考虑转移瘤,请检查其他部位是否有病变
作者: 晓杰    时间: 2006-11-10 03:57
右侧颞枕叶见形态不规则等密度灶,灶周可见水肿灶,考虑:1、胶质瘤?2、转移瘤?建议做增强或mri检查
作者: 光线    时间: 2006-11-10 04:03
同意楼上意见。
作者: 子期    时间: 2006-11-10 04:07
老年人先考虑转移,另外不除外淋巴瘤
作者: 医博云天    时间: 2006-11-10 04:17
淋巴瘤相对较少,还是首先考虑转移瘤吧。

增强,查原发灶,
作者: zhanglixian1985    时间: 2006-11-10 04:19
先做个增强吧   考虑转移瘤
作者: xclzq_910    时间: 2006-11-10 04:20
右侧颞枕叶见形态不规则等密度灶,灶周可见水肿灶,首先考虑胶质瘤
作者: zwx    时间: 2006-11-10 04:48
做增强吧,鉴别一下,转移瘤可能
作者: jssqcdm    时间: 2006-11-10 04:55
,考虑:1.转移瘤?2.胶质瘤?
作者: 1983    时间: 2006-11-10 05:08
考虑转移瘤 建议增强
作者: 13081830109    时间: 2006-11-10 05:23
右侧颞枕叶见形态不规则等密度灶,灶周可见水肿灶,考虑:1、胶质瘤?2、转移瘤?建议做增强或mri检查
作者: dyqct    时间: 2006-11-10 05:50
支持转移瘤,做个增强,并查胸部。
作者: jiangjing    时间: 2006-11-10 06:07
右侧颞枕叶见形态不规则等密度灶,中心见低密度影,灶周可见水肿明显,右侧脑室受压变窄,考虑胶质瘤或转移瘤。请作增强或mri检查
作者: ssmmxx    时间: 2006-11-10 06:33
考虑转移瘤 建议增强
作者: wxy7406    时间: 2006-11-10 06:49
首先考虑胶质瘤,建议进一步检查以除外转移瘤可能。
作者: 如醉卧风    时间: 2006-11-10 06:55
可见两个大小不等环形结节灶伴瘤周水肿.
意见:转移瘤.
作者: szmdxj    时间: 2006-11-10 06:58
有增强的图象吗?或者mr图象!平扫对鉴别诊断意义不大。
作者: 守望可可    时间: 2006-11-10 07:12
标题: 回复:ct5210:[讨论]颅脑占位
以下是引用晓杰在2006-11-9 19:57:00的发言:[br]右侧颞枕叶见形态不规则等密度灶,灶周可见水肿灶,考虑:1、胶质瘤?2、转移瘤?建议做增强或mri检查

暂时只有这样考虑了
作者: lkc8963    时间: 2006-11-10 07:16
平扫观察右侧至少有3个结节伴周围水肿,首先考虑转移。先查肺部吧。
作者: 1390528    时间: 2006-11-10 07:22
增强在说吧!
作者: 卜一    时间: 2006-11-10 14:14
做个增强再说吧!
作者: liuyue    时间: 2006-11-10 15:21
右侧颞枕叶见形态不规则等密度灶,灶周可见水肿灶,考虑:1、胶质瘤?2、转移瘤?建议做增强或mri检查
作者: yzt222    时间: 2006-11-10 16:07
标题: 回复:ct5210:[讨论]颅脑占位
以下是引用liuyue在2006-11-10 7:21:00的发言:[br]右侧颞枕叶见形态不规则等密度灶,灶周可见水肿灶,考虑:1、胶质瘤?2、转移瘤?建议做增强或mri检查

作者: sun123456    时间: 2006-11-10 16:10
右侧颞枕叶示结节状影,外缘示片状低密度影,相应脑室未见明显受压,考虑转移瘤。
作者: wnlyq8688    时间: 2006-11-10 16:41
右侧颞枕叶见形态不规则等密度灶,灶周可见水肿灶,考虑:1、胶质瘤?2、转移瘤?建议做增强或mri检查
作者: haha215315    时间: 2006-11-10 17:25
右侧颞枕叶见形态不规则等密度灶,灶周可见水肿灶,考虑:1、胶质瘤?2、转移瘤?建议做增强或mri检查.
作者: zyx168    时间: 2006-11-10 18:17
右侧脑实质内多发结节影并指状水肿.
意见:考虑多发转移瘤.
作者: w_jianhua    时间: 2006-11-10 18:32
1.转移瘤2。淋巴瘤,建议增强并查肺
作者: ningxray    时间: 2006-11-10 18:49
首先考虑胶质瘤,做增强吧,鉴别一下
作者: mridoctor    时间: 2006-11-10 19:54
1.转移瘤,2.胶母;增强!!!!!
作者: cyl186    时间: 2006-11-11 02:34
先考虑转移,另外不除外淋巴瘤
作者: 拾荒者    时间: 2006-11-11 02:35
右侧颞枕叶见多个形态不规则等密度灶,中心见低密度影,灶周可见水肿明显,右侧脑室受压变窄,考虑转移瘤或胶质瘤。请作增强或mri检查
作者: zylcq608    时间: 2006-11-11 03:00
胶质瘤?建议做增强或mri检查.
作者: liumeng0524    时间: 2006-11-11 03:04
做个增强吧!转移?
作者: shibing    时间: 2015-6-29 14:48
,考虑:1.转移瘤?2.胶质瘤?




欢迎光临 医影在线 (http://bbs.radida.com/bbs/) Powered by Discuz! X3.2