


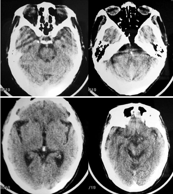
以下是引用卜一在2006-11-11 18:14:00的发言:[br]多发性腔梗,脑白质脱髓鞘变性,脑萎缩(老年性脑内三联征),考虑:皮层下动脉硬化性脑病.
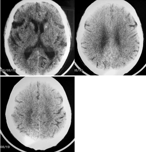
以下是引用卜一在2006-11-11 18:14:00的发言:[br]多发性腔梗,脑白质脱髓鞘变性,脑萎缩(老年性脑内三联征),考虑:皮层下动脉硬化性脑病.
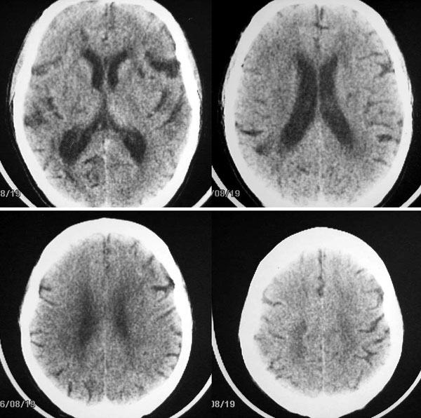
以下是引用卜一在2006-11-11 18:14:00的发言:[br]多发性腔梗,脑白质脱髓鞘变性,脑萎缩(老年性脑内三联征),考虑:皮层下动脉硬化性脑病.
| 欢迎光临 医影在线 (http://bbs.radida.com/bbs/) | Powered by Discuz! X3.2 |