医影在线

标题: CT5221B:修改过的胸片!!! [打印本页]

作者: 陈医生123    时间: 2006-11-12 00:42
标题: CT5221B:修改过的胸片!!!
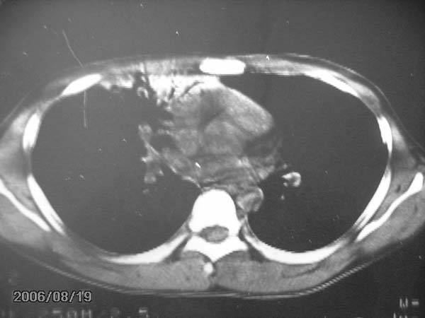
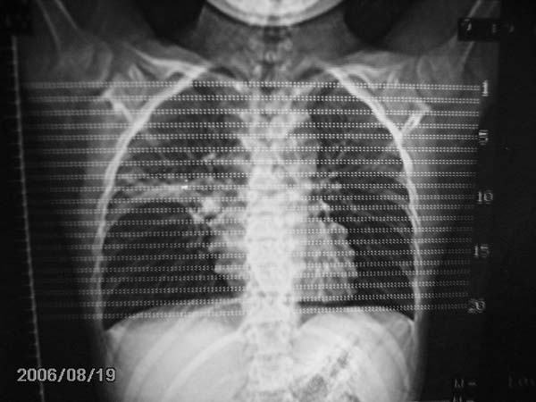
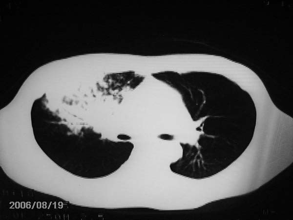
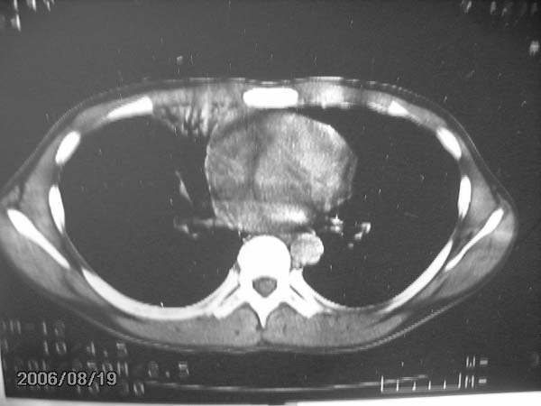
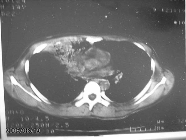
男,13岁,发烧半月,干咳无痰,正规使用抗生素半月,现在仍是午后低烧!!!未做痰检




























[本贴已被 翁志蓬 于 2006-11-11 20:10:40 修改过]

作者: 奕帆    时间: 2006-11-12 00:55
结合临床考虑:右肺中叶结核可能性大.
作者: 医博云天    时间: 2006-11-12 01:24
图片太黑 大叶性肺炎
作者: kbzyycm    时间: 2006-11-12 01:46
右肺中叶结核可能性大
作者: 无泪之城    时间: 2006-11-12 01:57
右肺结核,右肺中叶不张
作者: hhcckk    时间: 2006-11-12 02:10
右侧肺门淋巴结好象有增大,会不会是个原发综合症合并感染
作者: 卜一    时间: 2006-11-12 02:17
右肺结核,合并感染。
作者: zyx168    时间: 2006-11-12 02:33
右中肺呈大片状密度欠均匀影,内见含气支气管.
结合病史,考虑:右中肺大叶性肺炎(吸收期).
作者: jian-5587    时间: 2006-11-12 02:45
右肺中叶大片状密度增高影,内密度不均匀,右肺门处增大,应该是淋巴结肿大,结合临床首先考虑原发性肺结合可能性大,不排除合并感染可能,建议治疗后复查.
作者: 宝天曼    时间: 2006-11-12 03:03
结合病史考虑右肺中叶结核可能性大
作者: wangzhongliang    时间: 2006-11-12 03:29
考虑右肺中叶大中性肺炎,建议治疗后复查。
作者: ssmmxx    时间: 2006-11-12 04:36
右肺结核,干酪性肺炎形成
作者: sunhua666    时间: 2006-11-12 05:30
看上去像是肺结核,让患者进一步再查查吧!
图片照得太黑了,看不太清楚。
作者: 晓杰    时间: 2006-11-12 05:39
结合临床考虑:右肺中叶结核可能性大.
作者: 拾荒者    时间: 2006-11-12 06:22
图片还是看不太清,应尽快ppd试验及痰检,如无异常,可纤维支气管镜检排除异物可能。
作者: dyqct    时间: 2006-11-12 16:55
前段病变以炎症为多,应继续抗炎治疗,一般炎性病灶需1个月后才遂渐完全吸收。
作者: lzz1009    时间: 2006-11-12 17:22
灶内密度不均,似乎有囊状,条状影,考虑右中叶综合症; 从照片中看不出有无钙化灶,若明显则考虑结核性。
作者: 龙在野    时间: 2006-11-12 17:31
肺结核中叶综合征
作者: 九头鸟    时间: 2006-11-12 20:19
考虑中叶综合征(右肺门肿大淋巴结伴中叶阻塞性炎症)
作者: jinguoji    时间: 2006-11-12 22:08
考虑右肺中叶大中性肺炎,建议治疗后复查。
作者: 陈医生123    时间: 2006-11-14 23:55
谢谢大家的讨论,这个病人至今还没有做痰检,因为没痰.有了结果我一定通报
作者: shibing    时间: 2015-6-29 15:26
结合病史考虑右肺中叶结核可能性大




欢迎光临 医影在线 (http://bbs.radida.com/bbs/) Powered by Discuz! X3.2