医影在线
标题: CT5251:头颅内常见现象,请教各位老师 [打印本页]
作者: hhcckk 时间: 2006-11-13 16:43
标题: CT5251:头颅内常见现象,请教各位老师
患者男性,83岁,一周前因为头晕晕倒在地,临床诊断tia,治疗一段时间后症状有所好转












[本贴已被 jiajie 于 2006-11-13 12:00:03 修改过]
作者: yemin92007 时间: 2006-11-13 17:02
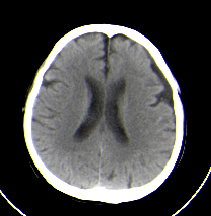
本例左侧额颞部内板下新月形低密度影分布,邻近脑组织轻度受压;脑萎缩应该有脑沟相对宽深的表现,而本例病人额叶的脑沟是受压闭塞的。所以考虑为硬膜下积液。
作者: dyqct 时间: 2006-11-13 17:23
支持左额颞顶区硬膜下积液。
作者: hnqyyjh 时间: 2006-11-13 17:34
肯定是硬膜下积液
作者: 守望可可 时间: 2006-11-13 18:10
标题: 回复:头颅内常见现象,请教各位老师

作者: 卜一 时间: 2006-11-13 18:20
支持左额颞顶区硬膜下积液。
作者: haha215315 时间: 2006-11-13 18:20
考虑为硬膜下积液。
作者: 九头鸟 时间: 2006-11-13 18:25
标题: 回复:头颅内常见现象,请教各位老师
以下是引用yemin92007在2006-11-13 9:02:00的发言:[br]本例左侧额颞部内板下新月形低密度影分布,邻近脑组织轻度受压;脑萎缩应该有脑沟相对宽深的表现,而本例病人额叶的脑沟是受压闭塞的。所以考虑为硬膜下积液。
分析得透彻,支持
作者: 0778小鱼儿 时间: 2006-11-13 18:34
应该首先考虑的是硬膜下积液、
作者: hnyzdjb 时间: 2006-11-13 18:54
脑萎缩
作者: lyb999 时间: 2006-11-13 18:58
硬膜下积液
作者: zyx168 时间: 2006-11-13 19:08
左侧额颞部颅骨内板下新月形液性密度影,
意见:左侧额颞部硬膜下积液.
作者: lpc0ct 时间: 2006-11-13 19:40
左侧额颞部颅骨内板下新月形液性密度影,
意见:左侧额颞部硬膜下积液.
作者: realzyc 时间: 2006-11-13 19:46
左侧额颞部颅骨内板下新月形液性密度影,
意见:左侧额颞部硬膜下积液.
作者: kbzyycm 时间: 2006-11-13 20:42
左额颞顶区硬膜下积液。
作者: jinguoji 时间: 2006-11-13 20:58
硬膜下积液。
作者: liuyue 时间: 2006-11-13 21:14
应该首先考虑的是硬膜下积液.
作者: ysxyy 时间: 2006-11-13 21:37
硬膜下积液吧;
脑回变平直,脑沟变窄不清晰,不考虑脑萎缩.
作者: 逸风 时间: 2006-11-13 21:49
标题: 回复:ct5251:头颅内常见现象,请教各位老师
以下是引用ysxyy在2006-11-13 13:37:00的发言:[br]硬膜下积液吧;[br]脑回变平直,脑沟变窄不清晰,不考虑脑萎缩.
作者: 蜂儿 时间: 2006-11-13 21:55
左额颞顶区硬膜下积液
作者: ssmmxx 时间: 2006-11-13 23:56
1.左额颞顶区硬膜下积液
2. 脑萎缩
作者: 红中发财 时间: 2006-11-13 23:59
标题: 回复:ct5251:头颅内常见现象,请教各位老师
以下是引用守望可可西里在2006-11-13 10:10:00的发言:[br]
[br]
作者: wqs571018 时间: 2006-11-14 02:44
左额颞部硬膜下积液.
作者: 奕帆 时间: 2006-11-14 03:04
硬膜下积液
作者: 艺术家 时间: 2006-11-14 03:20
守望可可西里说让我佩服
作者: jiangjing 时间: 2006-11-14 03:47
支持
本例左侧额颞部内板下新月形低密度影分布,邻近脑组织轻度受压;脑萎缩应该有脑沟相对宽深的表现,而本例病人额叶的脑沟是受压闭塞的。所以考虑为硬膜下积液
作者: 拾荒者 时间: 2006-11-14 04:20
支持左侧额颞部硬膜下积液。
作者: yzt222 时间: 2006-11-14 04:24
因为有外伤,还是考虑硬膜下积液
作者: hhcckk 时间: 2006-11-14 04:35
谢谢各位老师,特别是守望可可西里 yemin92007老师
收益非浅
作者: zjzjr 时间: 2006-11-14 06:18
支持额颞顶区硬膜下积液.
作者: 蓝星 时间: 2006-11-14 06:50
考虑为硬膜下积液
作者: shibing 时间: 2015-6-29 15:51
脑萎缩
| 欢迎光临 医影在线 (http://bbs.radida.com/bbs/) |
Powered by Discuz! X3.2 |