医影在线

标题: CT5256:腰椎片!!! [打印本页]

作者: 陈医生123    时间: 2006-11-14 00:09
标题: CT5256:腰椎片!!!
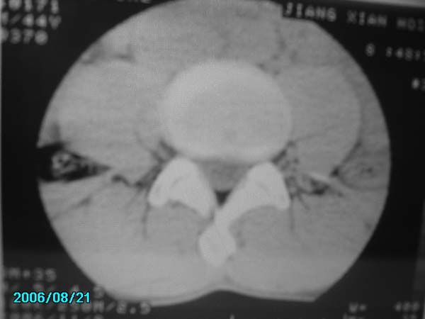
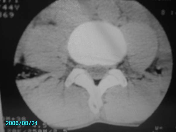
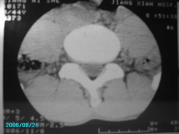
男,40岁,腰疼半年














[本贴已被 翁志蓬 于 2006-11-14 11:11:54 修改过]

作者: dyqct    时间: 2006-11-14 00:16
腰4-5椎间盘后缘变平直,可考虑椎间盘轻度突出。余未见异常。
作者: yemin92007    时间: 2006-11-14 00:24
未见明显异常。
作者: hhcckk    时间: 2006-11-14 00:35
标题: 回复:腰椎片!!!

作者: LRJ    时间: 2006-11-14 01:16
没有看到什么
作者: woaixct    时间: 2006-11-14 01:30
标题: 回复:腰椎片!!!
l4/5椎间盘膨出。


作者: 我爱影像    时间: 2006-11-14 02:03
未见明显异常。
作者: usa911go    时间: 2006-11-14 02:06
没啥异常
作者: jinguoji    时间: 2006-11-14 02:12
腰4-5椎间盘轻度突出。余未见异常。
作者: zyx168    时间: 2006-11-14 02:18
未见异常
作者: zwx    时间: 2006-11-14 02:27
未见异常
作者: shilong    时间: 2006-11-14 02:51
l5-s1右侧后突出
作者: wqs571018    时间: 2006-11-14 03:01
标题: 回复:腰椎片!!!
以下是引用woaixct在2006-11-13 17:30:00的发言:[br]l4/5椎间盘膨出。[br][br][br]

作者: jiangjing    时间: 2006-11-14 03:19
腰椎侧弯,l4-5椎间盘膨出。
作者: 宝天曼    时间: 2006-11-14 03:49
未见明显异常。
作者: 13081830109    时间: 2006-11-14 03:59
腰4-5椎间盘后缘变平直,可考虑椎间盘轻度突出。余未见异常。
  我还看见了指纹
作者: wxy7406    时间: 2006-11-14 05:36
腰4-5、腰5-骶1椎间盘后缘变平直,可考虑椎间盘轻度突出。余未见异常
作者: elity69    时间: 2006-11-14 05:44
腰4-5椎间盘轻度突出。余未见异常
作者: 守望可可    时间: 2006-11-14 06:44
  除有第3-5腰椎椎体后缘中央血管沟显示外,诸椎间盘比较正常。我也象13081830109战友那样看见了指纹,呵呵。
作者: 光线    时间: 2006-11-14 08:38
部分层面有轻度彭出。
作者: haogandian    时间: 2006-11-14 16:27
标题: 回复:腰椎片!!!
以下是引用守望可可西里在2006-11-13 22:44:00的发言:[br][br]  除有第3-5腰椎椎体后缘中央血管沟显示外,诸椎间盘比较正常。我也象13081830109战友那样看见了指纹,呵呵。

作者: wansheng    时间: 2006-11-14 16:30
真的没看出啥问题。
作者: 拾荒者    时间: 2006-11-15 05:29
未见异常。
作者: xclzq_910    时间: 2006-11-15 06:35
不会就是要我们看椎间盘吧?
作者: shibing    时间: 2015-6-29 15:48
未见异常




欢迎光临 医影在线 (http://bbs.radida.com/bbs/) Powered by Discuz! X3.2