医影在线
标题: CT5263:[原创]颅脑CT [打印本页]
作者: zjzjr 时间: 2006-11-14 03:52
标题: CT5263:[原创]颅脑CT
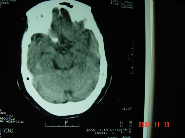
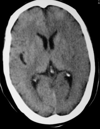
失语及右侧肢体无力3小时









[本贴已被 翁志蓬 于 2006-11-14 11:19:12 修改过]
作者: guzhongliangddd 时间: 2006-11-14 04:01
标题: 回复:[原创]颅脑ct


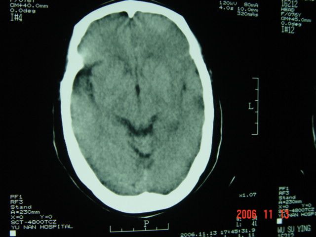
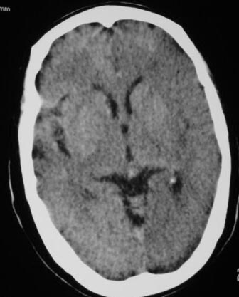
左侧大脑半球与对侧相比较密度普遍密度降低,结合临床首先考虑是脑梗塞早期,必要时复查或mri。
左侧脑表面脑变窄,左外侧裂池受压变窄。
[本贴已被 guzhongliangddd 于 2006-11-13 20:03:02 修改过]
作者: zyywph 时间: 2006-11-14 04:11
左侧大脑半球密度减低,左外侧裂消失。脑梗塞急性期
作者: 尚峰 时间: 2006-11-14 04:14
脑栓塞。
作者: hhcckk 时间: 2006-11-14 04:15
标题: 回复:[原创]颅脑ct

作者: 尚峰 时间: 2006-11-14 04:16
脑栓塞。
作者: 13081830109 时间: 2006-11-14 04:18
左侧大脑半球与对侧相比较密度普遍密度降低,结合临床首先考虑是脑梗塞早期
作者: yzt222 时间: 2006-11-14 04:20
中动脉梗塞
作者: wq123 时间: 2006-11-14 04:23
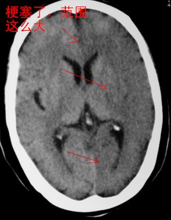
面积这么大,在我们血栓专科也不多见
作者: 摄像头 时间: 2006-11-14 04:43
面积这么大,确实少见
作者: ssmmxx 时间: 2006-11-14 04:54
左侧大脑半球密度减低,左外侧裂消失。脑梗塞
作者: 蜂儿 时间: 2006-11-14 05:16
左侧大脑半球密度减低,左外侧裂消失。脑梗塞
作者: 同 时间: 2006-11-14 05:18
支持脑梗塞诊断
作者: 卜一 时间: 2006-11-14 05:44
左侧侧裂池消失,脑沟变浅.典型的一侧大脑半球缺血改变.可以诊断:左侧大面积脑梗塞.
作者: fengsx 时间: 2006-11-14 05:57
左侧大脑半球密度普遍降低,脑沟池消失,考虑大面积梗塞
作者: 蓝星 时间: 2006-11-14 06:05
左侧大脑半球密度减低,左外侧裂消失。脑梗塞急性期
作者: 蓝星 时间: 2006-11-14 06:13
左侧大脑半球密度减低,左外侧裂消失。脑梗塞急性期
作者: wxy7406 时间: 2006-11-14 07:00
左侧脑梗塞早期改变。
作者: 郭凯 时间: 2006-11-14 07:08
标题: [讨论]颅脑病变!
左侧大脑半球大片密度减低影,脑沟变浅,外侧裂变窄,中线结构无明显移位。左侧大面积脑梗塞,大脑中动脉堵塞所致,愈后不好呀!应早期溶栓啊。
[emb9][emb25][emb20]
[本贴已被 郭凯 于 2006-11-13 23:09:42 修改过]
作者: 守望可可 时间: 2006-11-14 07:26
标题: 回复:[原创]颅脑ct
以下是引用guzhongliangddd在2006-11-13 20:01:00的发言:[br]
[br]
[br]左侧大脑半球与对侧相比较密度普遍密度降低,结合临床首先考虑是脑梗塞早期,必要时复查或mri。[br]左侧脑表面脑变窄,左外侧裂池受压变窄。[br][br][本贴已被 guzhongliangddd 于 2006-11-13 20:03:02 修改过]
支持、学习!
作者: elity69 时间: 2006-11-14 07:51
脑梗塞面积这么大,确实少见
作者: 光线 时间: 2006-11-14 08:11
是梗塞,不看2楼老师的图,还真不敢随便下结论。
作者: 宝天曼 时间: 2006-11-14 13:33
左侧大脑半球密度减低,左外侧裂消失。脑栓塞急性期
作者: yang4132 时间: 2006-11-14 16:52
左侧大脑中动脉 阻塞。
作者: dyqct 时间: 2006-11-14 16:55
典型的左侧大脑半球早期缺血性脑梗塞(符合大脑前动脉、中动脉、大脑后动脉供血区。)
作者: zyx168 时间: 2006-11-14 18:44
左侧颞顶叶皮层与白质呈大片状低密度影,左侧脑室颞角,及侧裂池受压变小.中线居中.
意见:左侧颞顶叶大面积梗塞(脑膜中动脉梗塞),
作者: 逸风 时间: 2006-11-14 20:14
学习了,谢谢楼主~~
作者: 拾荒者 时间: 2006-11-14 20:35
典型的左侧大脑半球缺血性脑梗塞早期表现[左侧大脑半球皮质密度减低与脑白质密度一致(脑皮质征),左侧豆状核轮廓模糊,密度与脑白质一致(豆状核征),结合临床有失语及右侧肢体无力3小时]。
作者: 月色撩人 时间: 2006-11-24 04:06
左侧大脑半球密度减低,左外侧裂消失。脑梗塞
作者: zhw974247 时间: 2006-11-24 04:11
标题: 回复:ct5263:[原创]颅脑ct
以下是引用dyqct在2006-11-14 8:55:00的发言:[br]典型的左侧大脑半球早期缺血性脑梗塞(符合大脑前动脉、中动脉、大脑后动脉供血区。)
作者: jinguoji 时间: 2006-11-24 17:35
左侧大脑半球与对侧相比较密度普遍密度降低,结合临床首先考虑是脑梗塞急性期.
作者: shibing 时间: 2015-6-29 15:41
中动脉梗塞
| 欢迎光临 医影在线 (http://bbs.radida.com/bbs/) |
Powered by Discuz! X3.2 |