医影在线
标题: x1182:[求助]腕部多发囊性病变 [打印本页]
作者: rf 时间: 2006-11-14 04:16
标题: x1182:[求助]腕部多发囊性病变
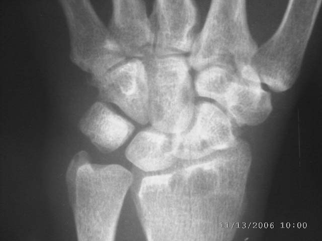
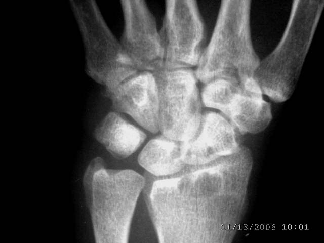
女45,右腕部夜间痛,晨僵感,局部皮温高,尺骨茎宊处轻度软组织肿胀2年余。自小感觉右手温觉和痛觉差。

[本贴已被 zhw974247 于 2006-11-13 23:02:52 修改过]
[本贴已被 zhw974247 于 2006-11-13 23:39:30 修改过]
[本贴已被 zhw974247 于 2006-11-13 23:41:59 修改过]
作者: 子期 时间: 2006-11-14 04:44
右桡骨下端、舟骨,月骨,三角骨,头状骨,尺骨茎突均可见囊状低密度影,尺侧软组织似稍肿胀。患者虽然为女45,右腕部夜间痛,晨僵感,局部皮温高,尺骨茎宊处轻度软组织肿胀2年余。但类风湿似乎不象,我认为应考虑结核。
作者: rf 时间: 2006-11-14 04:48
标题: 回复:[求助]腕部多发囊性病变


[本贴已被 zhw974247 于 2006-11-13 23:08:42 修改过]
作者: lkc8963 时间: 2006-11-14 06:12
有没有皮下结节,指间关节有受累吗?
作者: 火中金 时间: 2006-11-14 06:16
偶考虑为类风湿性关节炎,请指正.
作者: zhw974247 时间: 2006-11-14 07:16
右桡骨下端、舟骨,月骨,三角骨,头状骨,尺骨茎突均可见囊状低密度影,尺侧软组织似稍肿胀。患者虽然为女45,右腕部夜间痛,晨僵感,局部皮温高,尺骨茎宊处轻度软组织肿胀2年余。我认为应考虑结核。(依据可见吻状破坏),自小感觉右手温觉和痛觉差,症状像神经性骨关节病,但影像不像。
作者: jiangjing 时间: 2006-11-14 07:25
支持---首先考虑骨结核
作者: jinguoji 时间: 2006-11-14 08:08
首先考虑骨结核
作者: elity69 时间: 2006-11-14 09:13
骨破坏发生于关节承重面,考虑骨结核可能性大.
作者: 7312 时间: 2006-11-14 16:09
支持类风湿性关节炎
作者: 森哥 时间: 2006-11-14 17:22
影像及临床均支持类风湿性关节炎
作者: dyqct 时间: 2006-11-14 19:08
支持腕关节结核。
作者: haha215315 时间: 2006-11-14 20:24
类风湿性关节炎.
作者: yang356 时间: 2006-11-15 01:32
会不会是神经系统病变,期待结果
作者: zyx168 时间: 2006-11-15 01:48
考虑右腕关节结核
作者: 清风无痕 时间: 2006-11-15 02:35
正常14楼的意见。
作者: ☆芝麻糖☆ 时间: 2006-11-15 03:46
支持类风湿性关节炎
作者: heidaoren 时间: 2006-11-15 16:13
考虑结核的可能性大些.
作者: hnyzdjb 时间: 2006-11-15 19:53
首先考虑骨结核
作者: zhangkening 时间: 2006-11-18 23:06
桡骨远端囊状改变象骨巨.
作者: lzdyjg 时间: 2006-11-19 07:54
诊断思路可参考以下链接:
http://www.radida.com/radinet/read.php?tid=17532&page=3
再补充点鉴别诊断思路:透析性骨关节病.透析性骨关节病容易在腕关节处出现淀粉样变性,造成出现腕管综合症,实际本病例的临床症状就是腕管综合症的表现,腕骨也可以出现同本病例的类似x光表现,当然透析病史很重要,且一般要10年以上出现透析性骨关节病的可能性大.实际上本病例很早即有症状,故骨内腱鞘囊肿形成较早,范围可能没现在广而已.
作者: chief321 时间: 2006-11-19 18:41
考虑骨结核可能性大
作者: shibing 时间: 2012-12-11 10:45
影像及临床均支持类风湿性关节炎
| 欢迎光临 医影在线 (http://bbs.radida.com/bbs/) |
Powered by Discuz! X3.2 |