医影在线
标题: CT5329:重发上颌窦片,薄层 [打印本页]
作者: 147258lzg 时间: 2006-11-19 21:37
标题: CT5329:重发上颌窦片,薄层
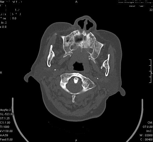
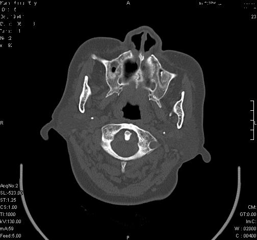
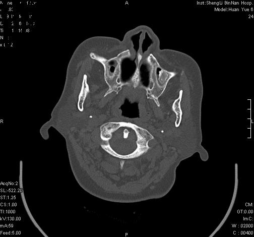
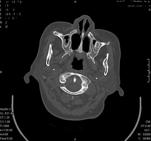
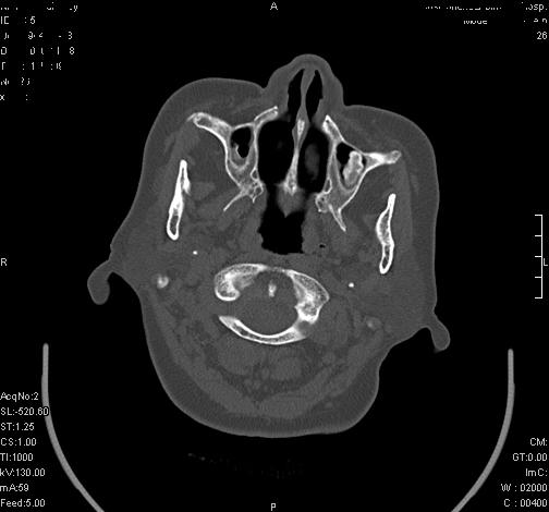
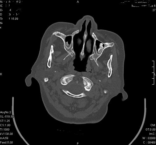
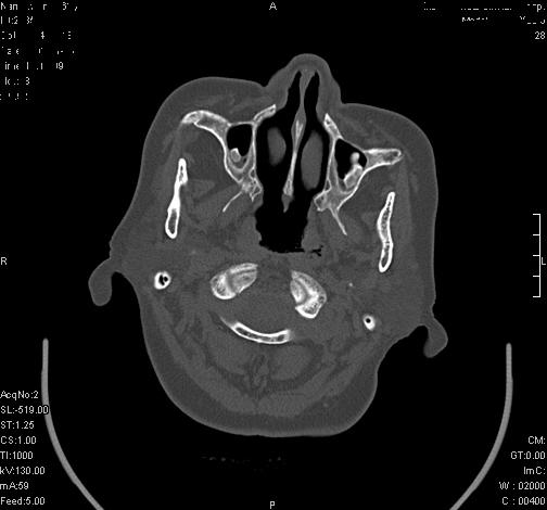
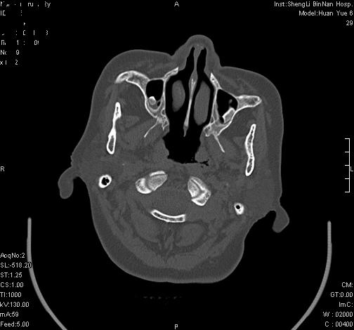
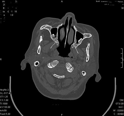
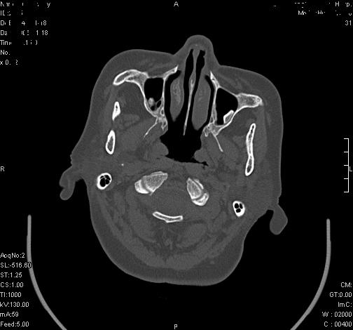
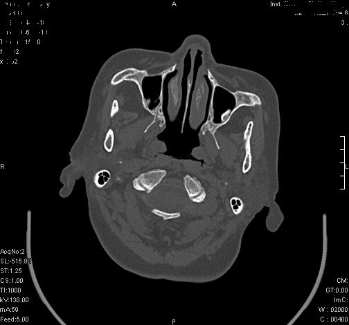
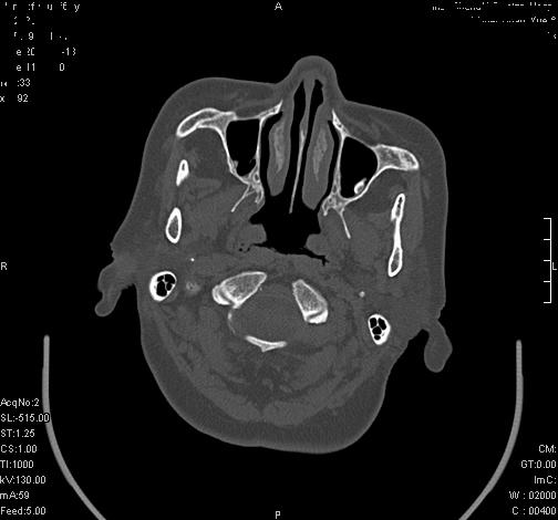
上次发的片子,不够细微。误导了大家,请大家再重新看一下,思路会更清晰。













[本贴已被 jiajie 于 2006-11-19 17:17:54 修改过]
作者: FSP 时间: 2006-11-19 22:40
双上颌窦高密度,其内见水样密度.考虑双上颌窦骨瘤伴上颌窦炎.
作者: 余辉 时间: 2006-11-19 22:47
双上颌窦高密度,左侧病灶下部与左上颌窦底部骨质相延续,支持双上颌窦骨瘤
作者: 守望可可 时间: 2006-11-19 22:55
经楼主补充图片,才明白楼主的用意。
双侧上颌窦上部黏膜明显增厚、窦腔缩小,偏后侧窦壁骨质毛糙、模糊,窦腔内见条块状钙化。结合双侧鼻甲黏膜明显增厚,以及临床症状,
考虑:双侧上颌窦霉菌性鼻窦炎
作者: dyqct 时间: 2006-11-19 23:24
支持:双侧上颌窦霉菌性鼻窦炎。
作者: zjzjr 时间: 2006-11-19 23:36
标题: 回复:重发上颌窦片,薄层
以下是引用dyqct在2006-11-19 15:24:00的发言:[br]支持:双侧上颌窦霉菌性鼻窦炎。
作者: shilong 时间: 2006-11-20 00:30
支持:双侧上颌窦霉菌性鼻窦炎
作者: zyx168 时间: 2006-11-20 03:10
双侧上颌窦密度增高,粘膜增厚,内见条片状钙化,窦壁无增生与破坏征象,双侧鼻甲粘膜肥厚.
意见:双侧霉菌性上颌窦炎.
作者: 艺术家 时间: 2006-11-20 03:20
双侧上颌窦霉菌性鼻窦炎
作者: 宝天曼 时间: 2006-11-20 03:23
持:双侧上颌窦霉菌性鼻窦炎。
作者: zjr 时间: 2006-11-20 03:32
温习:真菌性鼻旁窦ct特征 1)非侵袭性病变者可涉及到鼻腔和鼻窦,多为单侧,上颌窦最多见.2)ct示窦腔内软组织增生影,可呈息肉状,+c可强化3)增生软组织影内可见散在斑片状或沙砾状钙化区,此为其典型特点,4)
非侵袭性病变可见窦壁骨质增生,破坏少见;侵袭性病变可见窦壁骨质破坏.
作者: zjr 时间: 2006-11-20 04:13
非侵袭性真菌性鼻窦炎
作者: 拾荒者 时间: 2006-11-20 04:44
支持:双侧上颌窦霉菌性鼻窦炎
作者: 光线 时间: 2006-11-20 05:06
支持双测上颌窦霉菌性鼻窦炎。双测少见。
作者: 同 时间: 2006-11-20 05:29
双侧上颌窦霉菌性鼻窦炎。
作者: wangzhanshuang 时间: 2006-11-20 05:56
支持:双侧上颌窦霉菌性鼻窦炎
作者: xn2ylwg 时间: 2006-11-20 06:23
支持:双侧上颌窦霉菌性鼻窦炎
作者: 晓杰 时间: 2006-11-20 06:44
支持:双侧上颌窦霉菌性鼻窦炎
作者: luoshaojun 时间: 2006-11-20 07:37
支持:双侧上颌窦霉菌性鼻窦炎
作者: fengsx 时间: 2006-11-20 08:35
支持上颌窦霉菌性鼻窦炎
作者: chen123 时间: 2006-11-20 16:38
双侧上颌窦内骨质样密度影以左侧为甚,窦壁粘膜稍增厚,首先考虑又侧上颌窦骨瘤(混合型),并双上颌窦炎(轻度)
作者: jinguoji 时间: 2006-11-20 17:39
双侧霉菌性上颌窦炎.
作者: haha215315 时间: 2006-11-20 18:47
双侧上颌窦霉菌性鼻窦炎.
作者: elity69 时间: 2006-11-25 04:22
真菌性鼻旁窦ct特征 1)非侵袭性病变者可涉及到鼻腔和鼻窦,多为单侧,上颌窦最多见.2)ct示窦腔内软组织增生影,可呈息肉状,+c可强化3)增生软组织影内可见散在斑片状或沙砾状钙化区,此为其典型特点,4)
非侵袭性病变可见窦壁骨质增生,破坏少见;侵袭性病变可见窦壁骨质破坏.
作者: 阿圣 时间: 2006-11-25 06:31
如此好的机器,为何不来点冠状面和失状面重建的图象呢,或许会提供更多的信息供大家参考。
作者: swyyy2007 时间: 2007-2-15 01:31
学习了,谢谢可可西里老师的分析
作者: 碧水蓝天 时间: 2007-2-15 04:26
标题: 回复:ct5329:重发上颌窦片,薄层
以下是引用fengsx在2006-11-20 0:35:00的发言:[br]支持上颌窦霉菌性鼻窦炎
作者: shibing 时间: 2015-6-29 17:08
双侧上颌窦霉菌性鼻窦炎。
| 欢迎光临 医影在线 (http://bbs.radida.com/bbs/) |
Powered by Discuz! X3.2 |