医影在线
标题: CT5331:右肺病变 [打印本页]
作者: 美人 时间: 2006-11-20 00:29
标题: CT5331:右肺病变
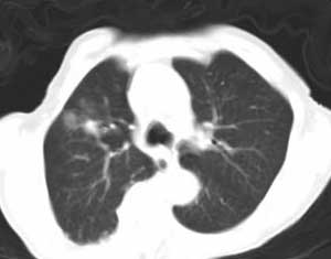
患者,女,69y,居住农村,胸闷,咳嗦,自述无发热,有慢支。患者消瘦,体制弱。




































[本贴已被 jiajie 于 2006-11-19 17:51:16 修改过]
作者: shilong 时间: 2006-11-20 00:37
左上肺森出性炎性阴影,kao lv :gan lao xing fei yan
作者: 守望可可 时间: 2006-11-20 00:46
又癌住了一个,恐怕还是穷人吧,唉.....
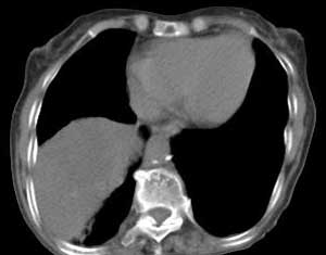
右肺门肿块影,中间段支气管以及右下叶支气管被浸润、堵塞,伴纵隔内淋巴结转移以及阻塞性肺炎。右肺中心型肺癌,堵的还很实在啊
作者: 余辉 时间: 2006-11-20 00:48
考虑右中叶中央型肺癌合并右上肺肺内转移,胸膜转移.右中叶肺不张
作者: dongjianchun 时间: 2006-11-20 01:10
右肺下叶中心性肺癌右肺上叶炎症请结合支气管镜检
作者: 医博云天 时间: 2006-11-20 01:13
右肺下叶中心性肺癌,阻塞性肺炎。
作者: 齐原 时间: 2006-11-20 01:48
右肺下叶中心性肺癌,阻塞性肺炎
作者: clinic72 时间: 2006-11-20 02:43
赞成
作者: hhcckk 时间: 2006-11-20 02:59
中央型肺ca伴肺不张,可以做支气管镜取病理
作者: 艺术家 时间: 2006-11-20 03:03
好嘛亦赞成
作者: zyx168 时间: 2006-11-20 03:26
1,右侧中央型肺癌并右下肺不张及纵隔淋巴结转移;
2,慢支,肺气肿;
3,右上肺陈旧性结核.
作者: 宝天曼 时间: 2006-11-20 03:34
考虑右肺下叶中心性肺癌右肺上叶炎症请结合支气管镜检
作者: liuyue 时间: 2006-11-20 03:52
1 右侧中央型肺癌并右下肺不张及纵隔淋巴结转移;
2 慢支,肺气肿;
3 右上肺病变. 性质:肺癌?转移?炎症?
作者: 木子 时间: 2006-11-20 04:07
肺癌伴阻塞性肺炎
作者: 卜一 时间: 2006-11-20 04:54
右肺下叶中心性肺癌,阻塞性肺炎及段性肺不胀。纵隔淋巴结转移。右上肺陈旧性肺结核。
作者: 拾荒者 时间: 2006-11-20 04:56
标题: 回复:ct5331:右肺病变
以下是引用守望可可西里在2006-11-19 16:46:00的发言:[br][br] 又癌住了一个,恐怕还是穷人吧,唉.....[br] 右肺门肿块影,中间段支气管以及右下叶支气管被浸润、堵塞,伴纵隔内淋巴结转移以及阻塞性肺炎。右肺中心型肺癌,堵的还很实在啊
作者: 光线 时间: 2006-11-20 04:56
同意右肺中央型肺癌。
作者: xclzq_910 时间: 2006-11-20 04:57
右肺下叶中心性肺癌,阻塞性不张
作者: chenqiong 时间: 2006-11-20 05:12
好象有钙化,考虑右下肺中央型肺癌(鳞癌)伴阻塞性改变,纵隔淋巴结转移;
右上肺渗出性改变;慢支肺气肿;胸廓畸形伴肺心病改变.
作者: zhoucan076 时间: 2006-11-20 05:14
右肺下叶中心性肺癌,阻塞性肺炎及段性肺不张。纵隔淋巴结转移.
作者: dyqct 时间: 2006-11-20 05:28
支持右中心型肺癌伴阻塞性肺炎。
作者: zhangchunxi 时间: 2006-11-20 05:32
支持肺癌
作者: 同 时间: 2006-11-20 05:33
支持战友们的分析及诊断。
作者: zwx 时间: 2006-11-20 05:36
支持右肺下叶中心性肺癌,阻塞性肺炎
作者: anbo5502 时间: 2006-11-20 05:39
标题: 回复:ct5331:右肺病变
以下是引用卜一在2006-11-19 20:54:00的发言:[br]右肺下叶中心性肺癌,阻塞性肺炎及段性肺不胀。纵隔淋巴结转移。右上肺陈旧性肺结核。
作者: 晓杰 时间: 2006-11-20 06:55
中央型肺ca伴肺不张、阻塞性肺炎、建议做支气管镜取病理
作者: jinguoji 时间: 2006-11-20 17:30
右肺下叶中心性肺癌,阻塞性肺炎及肺不张,纵隔淋巴结转移.
作者: hnqyyjh 时间: 2006-11-20 17:34
标题: 回复:ct5331:右肺病变
右中叶中央型肺癌合并右上肺肺内转移,胸膜转移.右中叶肺不张、肺内转移
作者: tzw136 时间: 2006-11-20 17:53
右中心型肺癌伴阻塞性肺炎
作者: mlxq3086 时间: 2006-11-20 18:03
首先考虑肺ca!
作者: whylovezhang 时间: 2006-11-20 19:08
还是右肺中央型肺ca,并肺不张
作者: shibing 时间: 2015-6-29 17:07
中央型肺ca
| 欢迎光临 医影在线 (http://bbs.radida.com/bbs/) |
Powered by Discuz! X3.2 |