医影在线

标题: CT5333:[原创]盆腔CT平扫 [打印本页]

作者: 同    时间: 2006-11-20 04:24
标题: CT5333:[原创]盆腔CT平扫
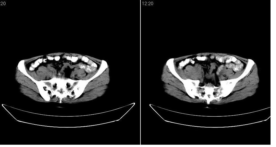
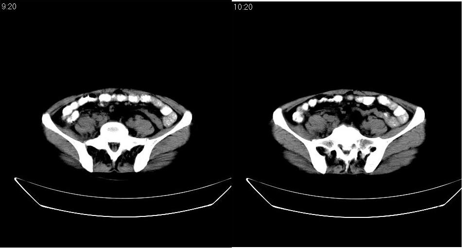
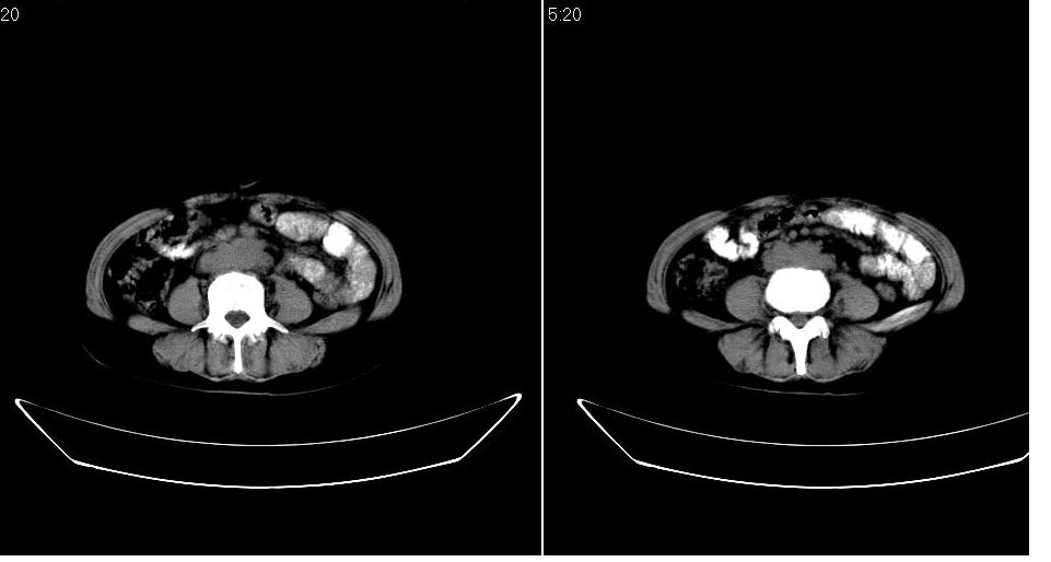
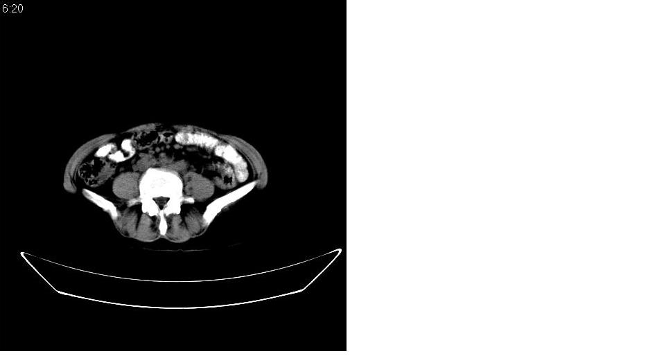
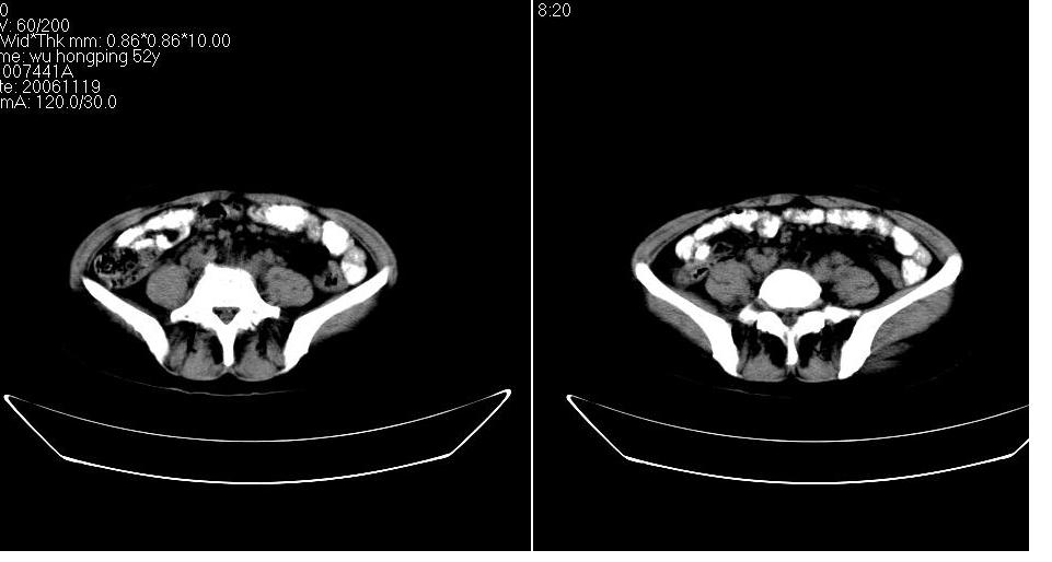
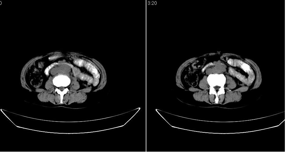
女 53岁,大便每天四到五次,变细,伴有粘液,病人家属说,去年五月在外院行子宫肌瘤术。












[本贴已被 翁志蓬 于 2006-11-19 23:15:01 修改过]

作者: chenqiong    时间: 2006-11-20 04:44
腹膜后多发肿大淋巴结肿大并融合改变;右侧回盲部可见团块样软组织影,不规则;
淋巴瘤?回盲部占位,,淋巴瘤肠道改变?建议进一步检查.
作者: xclzq_910    时间: 2006-11-20 05:11
腹膜后诸多淋巴结,右侧髂窝软组织块影,综合患者大便次数、形状改变,考虑结肠回盲部肿瘤
作者: 子期    时间: 2006-11-20 05:30
考虑淋巴瘤可能性大。
作者: 守望可可    时间: 2006-11-20 05:54
标题: 回复:[原创]盆腔ct平扫

作者: xn2ylwg    时间: 2006-11-20 06:11
考虑回盲部肿瘤.
作者: gejunjian    时间: 2006-11-20 06:39
考虑回盲部肿瘤并腹膜后淋巴结转移,建议钡剂灌肠或增强检查。
作者: 晓杰    时间: 2006-11-20 06:41
考虑回盲部肿瘤并腹膜后淋巴结转移,建议钡剂灌肠或增强检查。
作者: liuyue    时间: 2006-11-20 06:49
同意支持大家的分析
作者: 宝天曼    时间: 2006-11-20 14:03
考虑回盲部肿瘤并腹膜后淋巴结转移,建议钡剂灌肠或增强检查。
作者: 卜一    时间: 2006-11-20 14:17
回盲部恶性占位伴腹膜后淋巴结肿大.
作者: hhcckk    时间: 2006-11-20 17:01
盆腔内的肿块与升结肠没有什么关系,我考虑1来于小肠 2就是个融合的盆腔淋巴结 不能解释的是病人为什么大便变细,黏液便,会不会是直肠有浸润,我看直肠壁好象有点厚
作者: jinguoji    时间: 2006-11-20 17:22
回盲部可见团块样软组织影,不规则;腹膜后多发肿大淋巴结肿大并融合改变;考虑回盲部肿瘤并腹膜后淋巴结转移,建议钡剂灌肠或增强检查.
作者: zyx168    时间: 2006-11-20 17:27
双侧盆腔均可见不规则形软组织肿块影,似为结节状影融合而成,但以右侧为甚,腹主动脉与下腔静脉周围亦可见多个肿大淋巴结.
结合临床手术史考虑:盆腔与腹膜后多发性淋巴结转移(原发灶可能是原来的\"子宫肌瘤\"恶变或并非\"子宫肌瘤\";回盲部肿瘤不排除)
作者: haha215315    时间: 2006-11-20 20:39
考虑回盲部肿瘤并腹膜后淋巴结转移,建议钡剂灌肠或增强检查。
作者: 拾荒者    时间: 2006-11-21 03:14
标题: 回复:ct5333:[原创]盆腔ct平扫
以下是引用zyx168在2006-11-20 9:27:00的发言:[br]双侧盆腔均可见不规则形软组织肿块影,似为结节状影融合而成,但以右侧为甚,腹主动脉与下腔静脉周围亦可见多个肿大淋巴结.[br]结合临床手术史考虑:盆腔与腹膜后多发性淋巴结转移(原发灶可能是原来的\"子宫肌瘤\"恶变或并非\"子宫肌瘤\";回盲部肿瘤不排除)[br]

支持。大便次数多可能系腹膜后肿大淋巴结累及肠腔所致。另外,可钡灌肠检查,进一步观察直肠及其他结肠有否异常。
作者: shibing    时间: 2015-6-29 16:59
考虑回盲部肿瘤并腹膜后淋巴结转移,建议钡剂灌肠或增强检查。




欢迎光临 医影在线 (http://bbs.radida.com/bbs/) Powered by Discuz! X3.2