医影在线
标题: CT5364:肝内囊性病变 [打印本页]
作者: fs 时间: 2006-11-23 00:29
标题: CT5364:肝内囊性病变
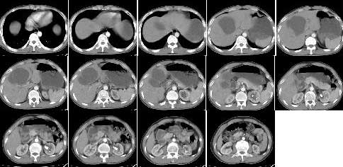
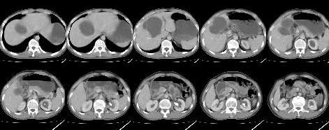
m 42 肝内囊性病变2月,之前有多发外伤


[本贴已被 jiajie 于 2006-11-22 19:40:24 修改过]
作者: 守望可可 时间: 2006-11-23 00:53
如果病史明确,可以考虑外伤性胆汁性肝囊肿。
作者: ssmmxx 时间: 2006-11-23 00:55
肝囊肿
作者: hhcckk 时间: 2006-11-23 01:58
标题: 回复:ct5364:ab
以下是引用守望可可西里在2006-11-22 16:53:00的发言:[br]如果病史明确,可以考虑外伤性胆汁性肝囊肿。
支持,但要排除肝单纯性囊肿
作者: 宝天曼 时间: 2006-11-23 02:07
结合病史考虑外伤性胆汁性肝囊肿
(在受伤时做b超有无异常要是当时没做b超应和先天肝囊肿胆总管囊肿区别)
作者: wangzhongliang 时间: 2006-11-23 02:12
肝囊肿
作者: sdqzwyx 时间: 2006-11-23 02:16
标题: 回复:ct5364:ab
以下是引用守望可可西里在2006-11-22 16:53:00的发言:[br]如果病史明确,可以考虑外伤性胆汁性肝囊肿。
支持!但单纯囊肿也不能完全除外;另外右肾可见小囊肿;左肾盂示扩张,其内示密度增高影(钙化或造影剂存留,建议对比平扫),考虑左肾盂旁囊肿。
作者: dyqct 时间: 2006-11-23 03:38
标题: 回复:ct5364:ab
以下是引用sdqzwyx在2006-11-22 18:16:00的发言:[br][quote]以下是引用守望可可西里在2006-11-22 16:53:00的发言:[br]如果病史明确,可以考虑外伤性胆汁性肝囊肿。
[br]支持!但单纯囊肿也不能完全除外;另外右肾可见小囊肿;左肾盂示扩张,其内示密度增高影(钙化或造影剂存留,建议对比平扫),考虑左肾盂旁囊肿。[/quote]
作者: 同 时间: 2006-11-23 04:02
支持2楼守望可可西里诊断。
作者: zyx168 时间: 2006-11-23 04:05
1,胆汁性肝囊肿(外伤性);
2,左肾盂旁囊肿.
作者: zwx 时间: 2006-11-23 04:10
支持dyqct老师的意见
作者: jinguoji 时间: 2006-11-23 04:27
肝囊肿
作者: 晓杰 时间: 2006-11-23 04:38
支持:如果病史明确,可以考虑外伤性胆汁性肝囊肿
作者: wxy7406 时间: 2006-11-23 04:48
左肾可能有结石和肾积水。肝内的病灶要结合外伤时的检查结果。
作者: ysxyy 时间: 2006-11-23 04:56
不知外伤后有没有查腹部,肝脏有没有外伤性改变,如出血\\挫伤等,如果有的话可考虑为外伤后囊腔形成,至于是胆汁性肝囊肿还是其它性质的囊肿,有待进一步检查;
如果当时外伤后没有查过腹部,或者说肝脏并没有出血挫伤,那么我们所说的只能是猜测而已;
作者: jiangjing 时间: 2006-11-23 05:04
考虑肝囊肿,外伤所致假性囊肿待排。双肾囊肿
作者: 乡医 时间: 2006-11-23 05:17
1,胆汁性肝囊肿(外伤性);要看外伤是的情况.
2,左肾盂旁囊肿.
作者: 光线 时间: 2006-11-23 05:26
支持楼上。
作者: 拾荒者 时间: 2006-11-23 05:29
标题: 回复:ct5364:肝内囊性病变
以下是引用hhcckk在2006-11-22 17:58:00的发言:[br][quote]以下是引用守望可可西里在2006-11-22 16:53:00的发言:[br]如果病史明确,可以考虑外伤性胆汁性肝囊肿。
[br]支持,但要排除肝单纯性囊肿[/quote]
作者: fengsx 时间: 2006-11-23 05:42
如果病史明确,可以考虑外伤性胆汁性肝囊肿。[/quote]
支持!但单纯囊肿也不能完全除外;另外右肾可见小囊肿;左肾盂示扩张,其内示密度增高影(钙化或造影剂存留,建议对比平扫),考虑左肾盂旁囊肿。
作者: 流星1234 时间: 2006-11-23 05:54
标题: 回复:ct5364:肝内囊性病变
以下是引用sdqzwyx在2006-11-22 18:16:00的发言:[br][quote]以下是引用守望可可西里在2006-11-22 16:53:00的发言:[br]如果病史明确,可以考虑外伤性胆汁性肝囊肿。
[br]支持!但单纯囊肿也不能完全除外;另外右肾可见小囊肿;左肾盂示扩张,其内示密度增高影(钙化或造影剂存留,建议对比平扫),考虑左肾盂旁囊肿。
作者: wlq66556 时间: 2006-11-23 06:05
支持7楼
作者: 许协成 时间: 2006-11-23 07:00
尽管图象小,各人都看得很细.我补充一点左肾积水和届石.
作者: 雪狼141 时间: 2006-11-23 07:46
标题: 回复:ct5364:肝内囊性病变
以下是引用dyqct在2006-11-22 19:38:00的发言:[br][quote]以下是引用sdqzwyx在2006-11-22 18:16:00的发言:[br][quote]以下是引用守望可可西里在2006-11-22 16:53:00的发言:[br]如果病史明确,可以考虑外伤性胆汁性肝囊肿。
[br]支持!但单纯囊肿也不能完全除外;另外右肾可见小囊肿;左肾盂示扩张,其内示密度增高影(钙化或造影剂存留,建议对比平扫),考虑左肾盂旁囊肿。[/quote][br][/quote]
作者: zgyycds 时间: 2006-11-23 08:22
同意
作者: 卜一 时间: 2006-11-23 17:08
支持2楼守望可可西里诊断。
作者: shibing 时间: 2015-6-30 08:57
1,胆汁性肝囊肿(外伤性);
2,左肾盂旁囊肿.
| 欢迎光临 医影在线 (http://bbs.radida.com/bbs/) |
Powered by Discuz! X3.2 |