医影在线
标题: x1211:典型病例,大家分享 [打印本页]
作者: 余辉 时间: 2006-11-23 18:21
标题: x1211:典型病例,大家分享
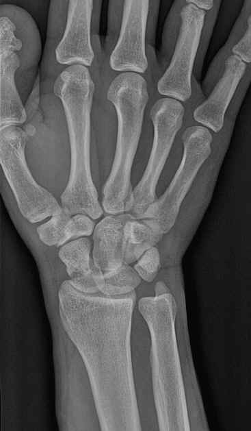
男,36岁,外伤后左腕部肿痛2小时。



[本贴已被 cefcmj 于 2006-11-23 13:39:53 修改过]
作者: anbo5502 时间: 2006-11-23 20:15
thank you.
作者: 徐中佑 时间: 2006-11-23 20:59
左舟骨骨折伴有左月骨半脱位。
作者: zyx168 时间: 2006-11-23 21:47
标题: 回复:x1211:典型病例,大家分享
以下是引用徐中佑在2006-11-23 12:59:00的发言:[br]左舟骨骨折伴有左月骨半脱位。
典型
作者: dyqct 时间: 2006-11-23 22:32
考虑:1、左舟骨骨折;
2、月骨半脱位;
3、软组织内金属异物。
经典。
作者: sdqzwyx 时间: 2006-11-23 22:37
*腕骨解剖特点:
正位片上,前后排腕骨后缘形成光滑的弧线;前后排腕骨不重叠;头、钩、月、三角骨间形成十字间隙。
月骨于正位片上为楔形、侧位片上为月牙形,窝状关节面朝前、且与头状骨紧贴。
侧位片上,桡骨纵轴通过月骨和头骨;前排腕骨自下而上分别为大、小、头、钩骨,后排自下而上为舟、月(豆)、三角骨。
**腕骨常见脱位分型及x线表现:
1).月骨脱位:正位片示月骨由四边形便成三角形或橘瓣状,并向尺侧移位。侧位月骨前移、旋转,窝状关节前空虚。
2). 经舟骨月骨脱位:除月骨脱位外,同时伴有舟骨骨折,且骨折近段随月骨一起向前脱位,骨折远段仍处于原位置。
3). 月骨周围脱位:表现为腕关节缩短,头骨与桡骨距离变近,头骨、钩骨与月骨部分重叠,月骨形态及位置基本正常。
4 ).经舟骨月骨周围脱位:表现为月骨周围脱位拌舟骨骨折,且骨折远段随头骨向后脱位,而骨折近段与桡骨、月骨关系保持正常。
5 ).混合性脱位:月骨周围脱位,月骨也有半脱位。甚至有腕骨骨折、尺桡骨骨折、尺桡下关节脱位等。
作者: sdqzwyx 时间: 2006-11-23 22:45
标题: 回复:x1211:典型病例,大家分享
此例我感觉是“经舟骨月骨周围脱位”,我曾发布过一例,如下图:


下面一例“月骨脱位病例”,请大家比较一下:

[本贴已被 sdqzwyx 于 2006-11-23 14:47:04 修改过]
作者: elity69 时间: 2006-11-23 22:59
考虑:1、左舟骨骨折;
2、月骨半脱位;
3、软组织内金属异物。
作者: 小小医生 时间: 2006-11-23 23:08
学习中!!谢谢!
作者: zxyceo 时间: 2006-11-24 00:28
支持7楼
作者: 向武昌 时间: 2006-11-24 02:40
7楼小妹正确/准确+异物.
作者: 落叶 时间: 2006-11-24 02:53
支持5楼结果,谢谢6楼精辟阐述,学习了
作者: zhw974247 时间: 2006-11-24 02:54
我赞同是1、“经舟骨月骨周围脱位”,表现为月骨周围脱位拌舟骨骨折,且骨折远段随头骨向后脱位,而骨折近段与桡骨、月骨关系保持正常。2、软组织内金属异物。
作者: jiangjing 时间: 2006-11-24 04:01
zhichi -----经舟骨月骨周围脱位.7楼的您分析得很漂亮!
作者: 仲景传人 时间: 2006-11-24 04:10
引用dyqct发言
考虑:1、左舟骨骨折;
2、月骨半脱位;
3、软组织内金属异物。
经典。
作者: marco 时间: 2006-11-24 05:14
1、左舟骨骨折;
2、月骨半脱位;
3、软组织内金属异物。
作者: zhangkening 时间: 2006-11-24 05:20
简直是太典型了.谢谢
作者: 天边的云 时间: 2006-11-24 05:27
谢谢6楼
作者: 木子 时间: 2006-11-24 08:06
多谢详细讲解
作者: shibing 时间: 2012-12-12 07:56
左舟骨骨折伴有左月骨半脱位。
作者: zqzwq 时间: 2012-12-14 11:27
学习中!!谢谢!
作者: 剑神 时间: 2012-12-15 09:25
建议蝶式位
| 欢迎光临 医影在线 (http://bbs.radida.com/bbs/) |
Powered by Discuz! X3.2 |