










































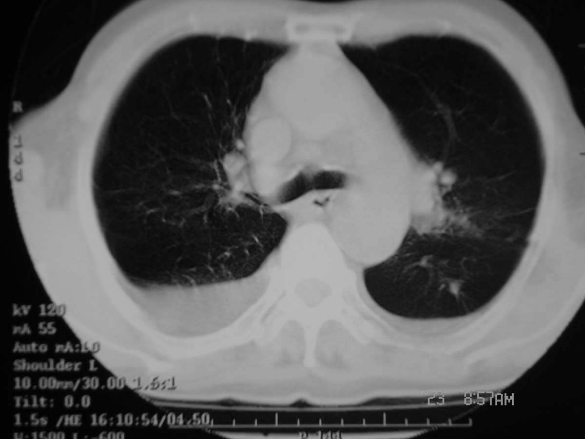
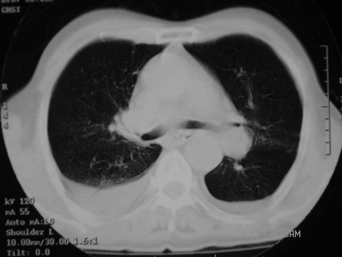
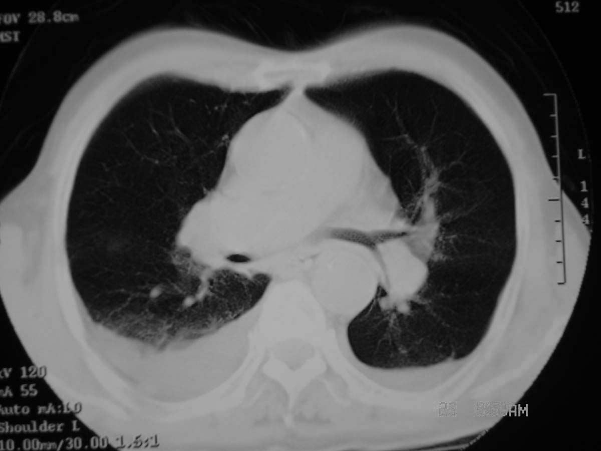
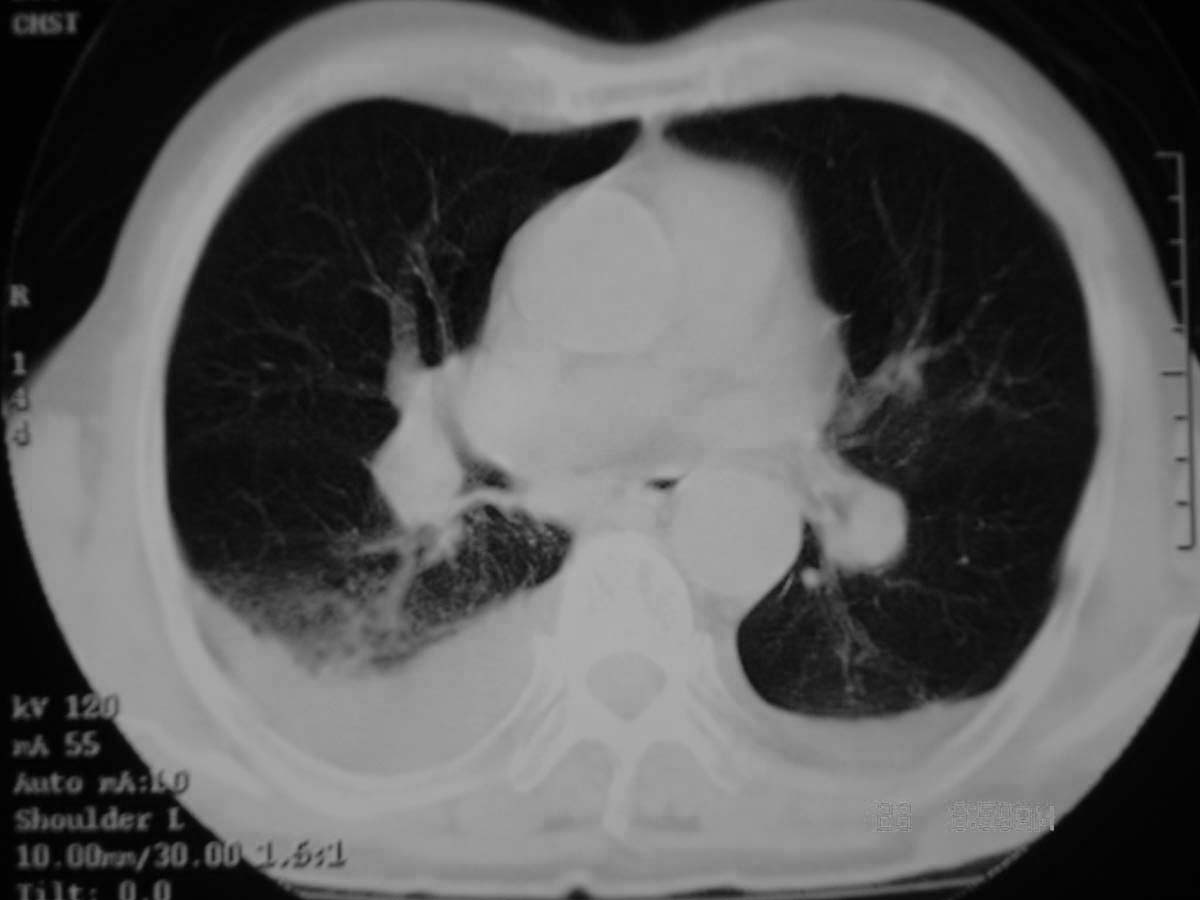
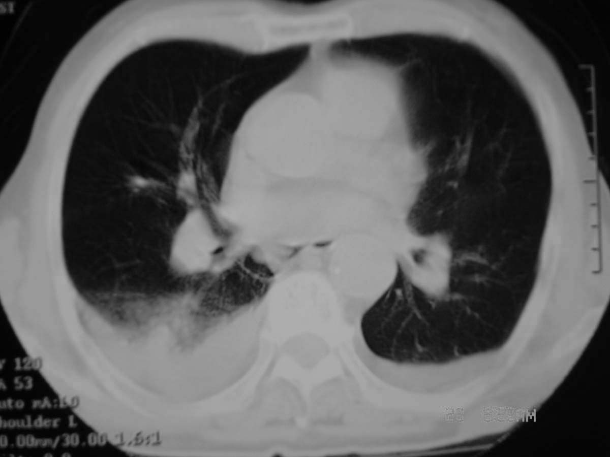
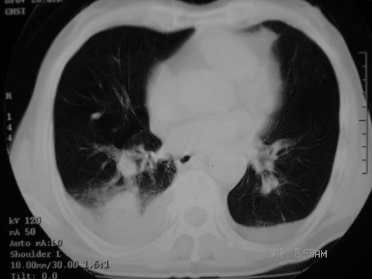
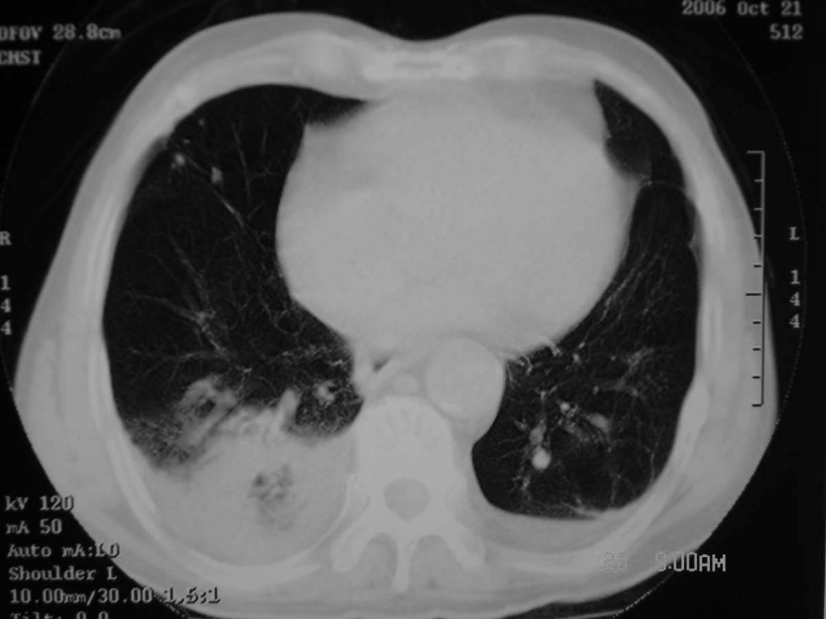
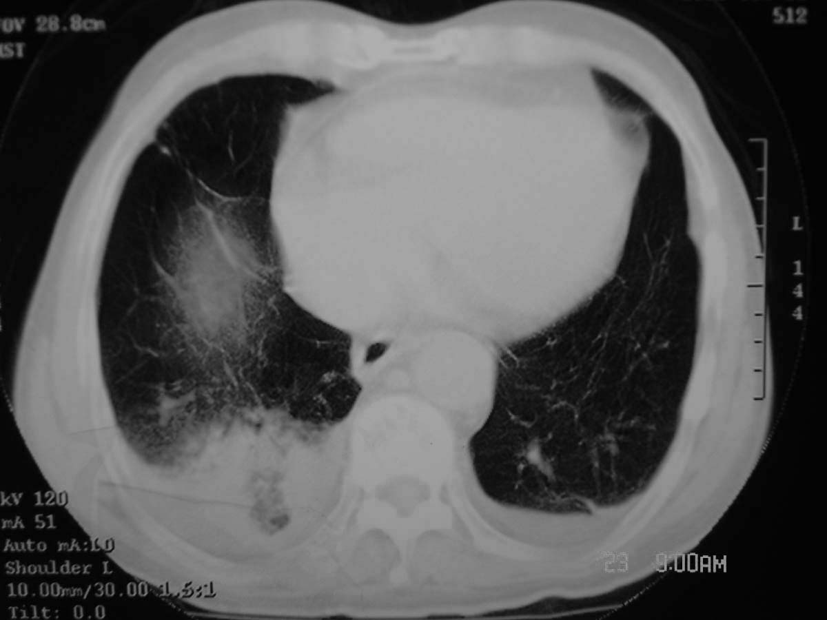
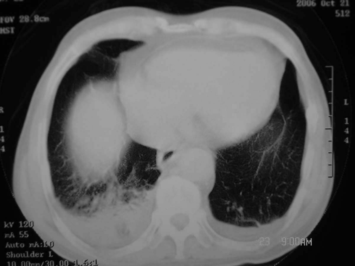
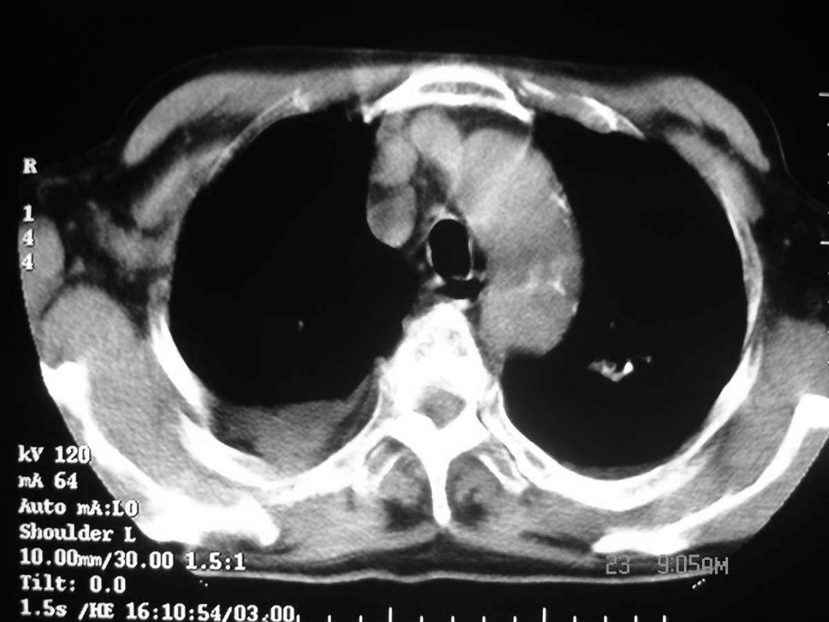
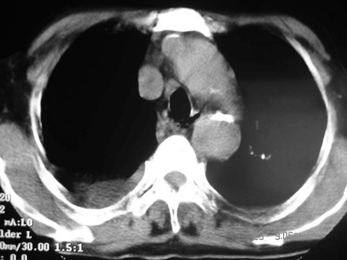
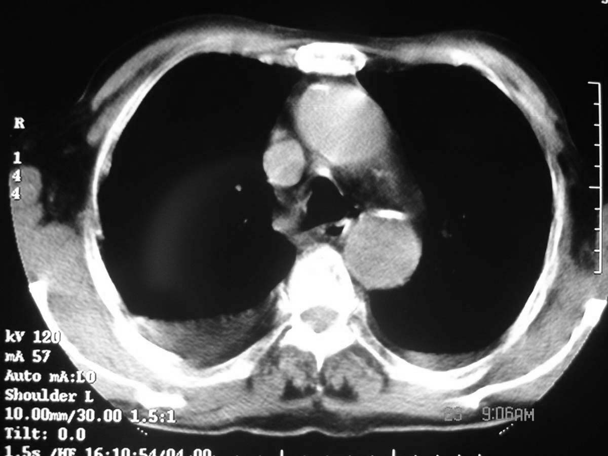
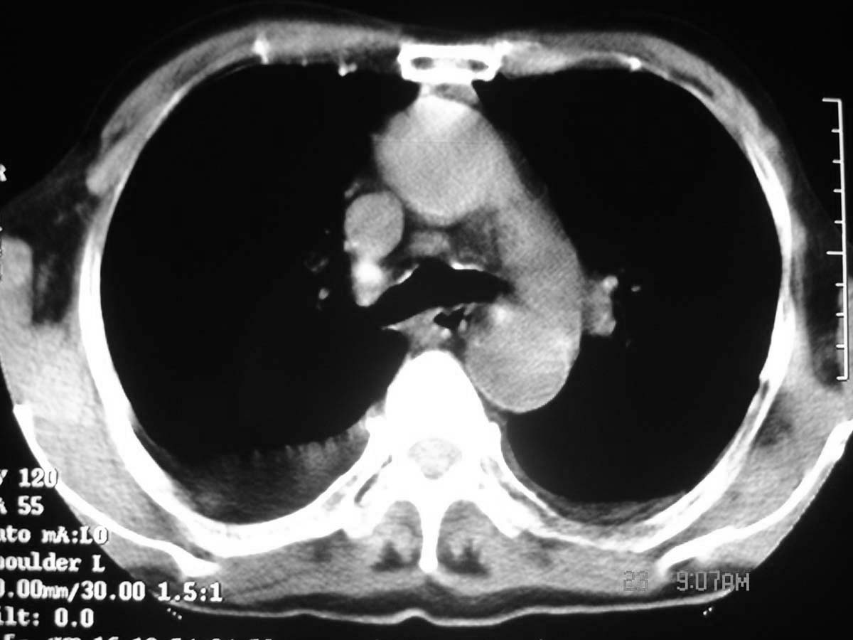
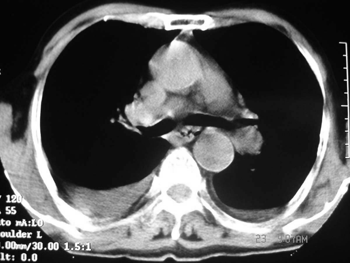
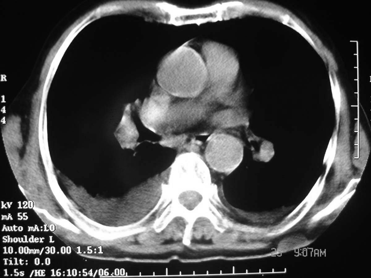
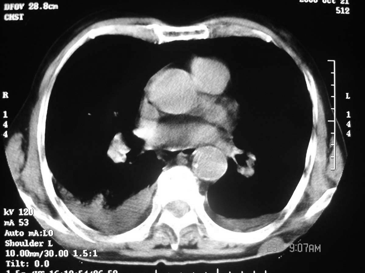
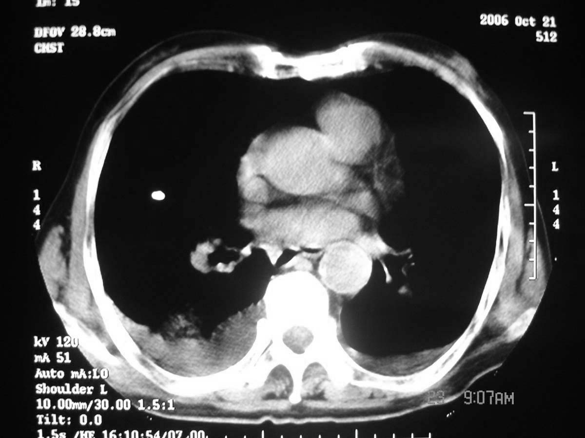
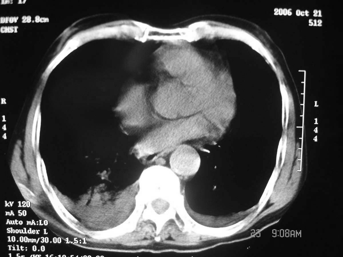
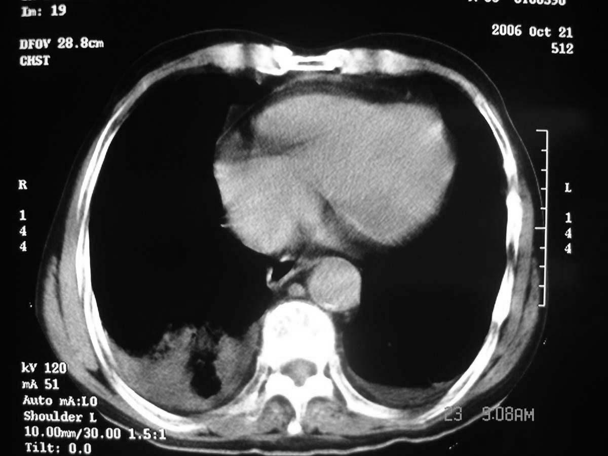
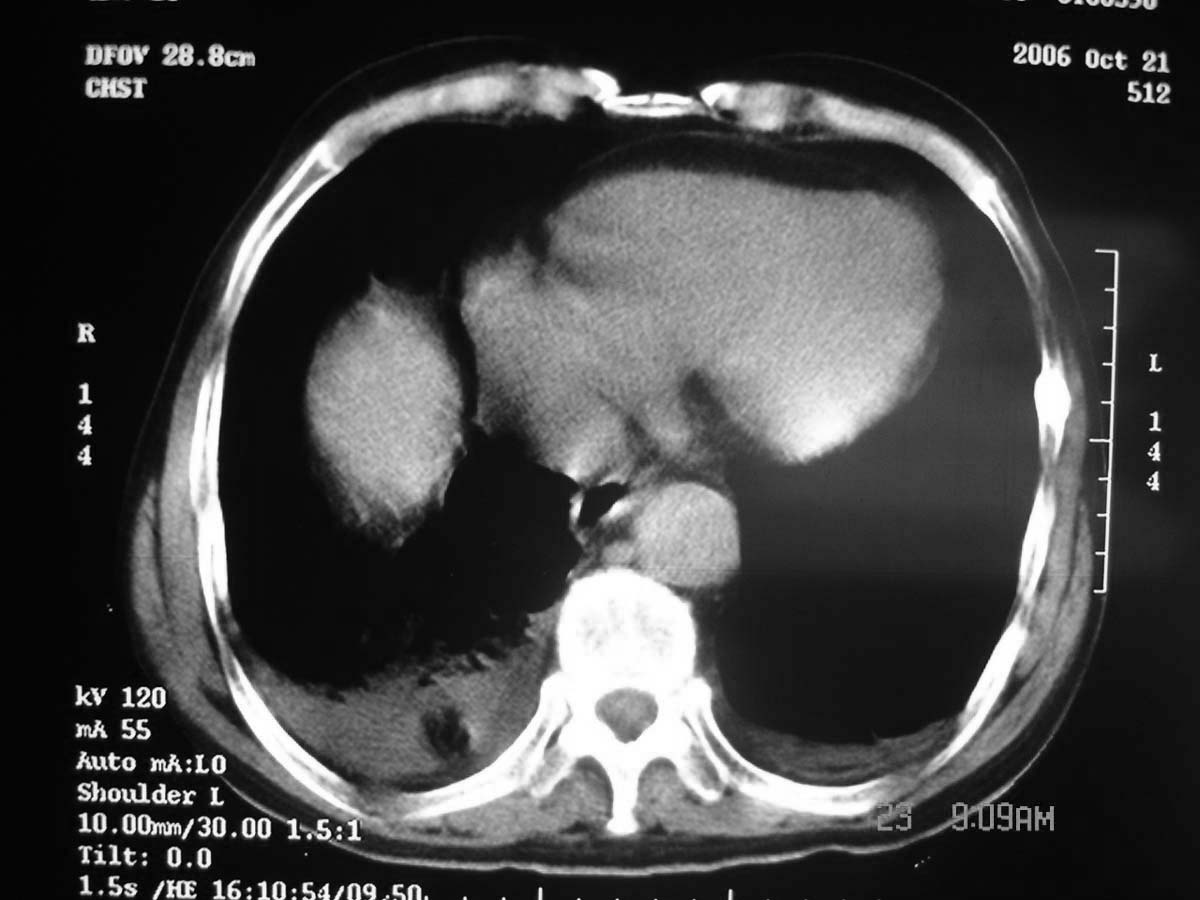
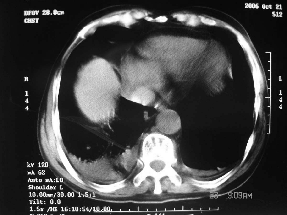
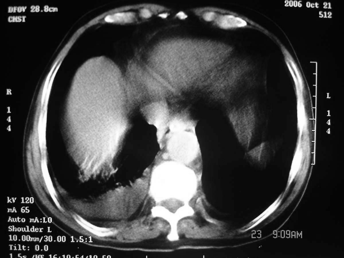
以下是引用守望可可西里在2006-11-23 14:33:00的发言:[br][br] 糖尿病病人很容易继发结核,病人又有双侧胸膜增厚、粘连、胸腔积液以及双上肺的斑片状、条索状影结核病灶影,以一元论考虑,右下肺病变首先考虑干酪性肺炎,可以正规抗炎治疗后复查,排除一般的肺炎。
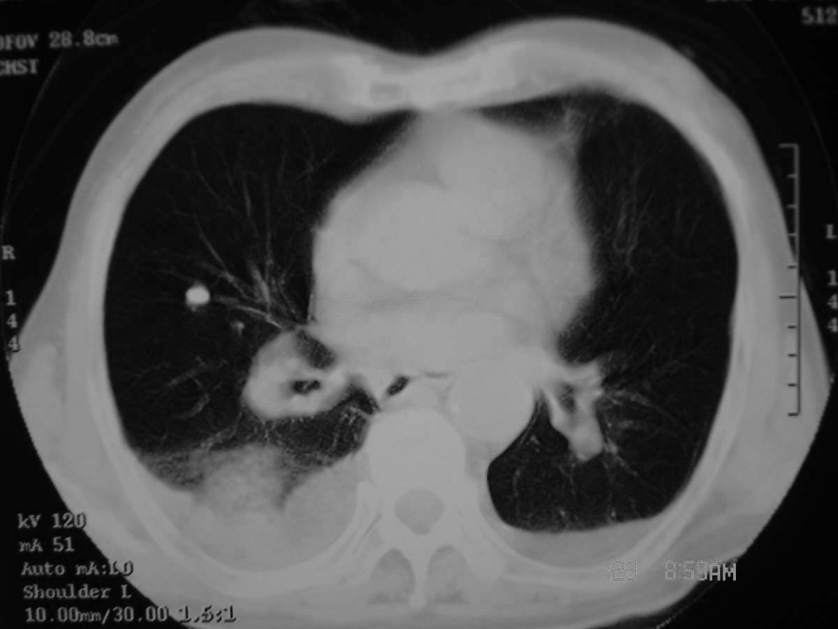
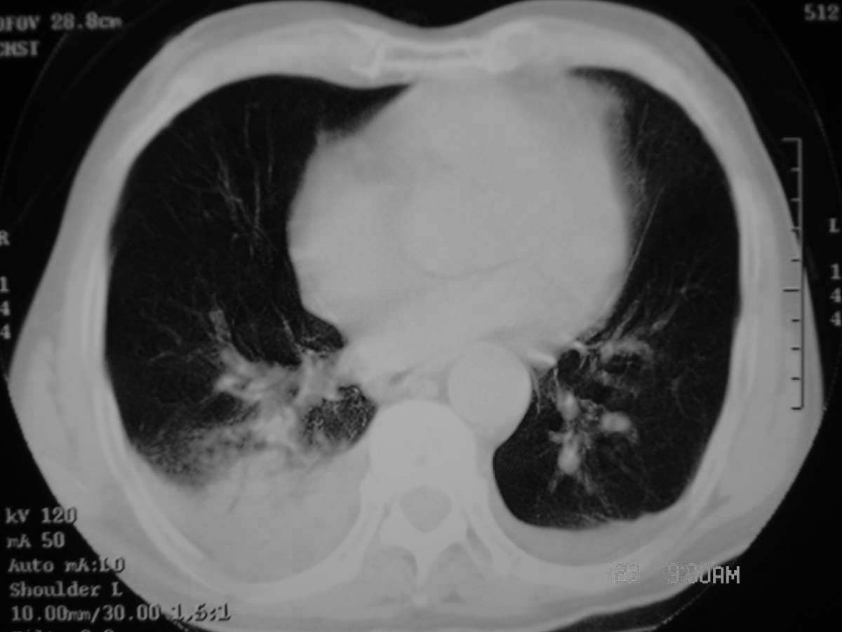
以下是引用守望可可西里在2006-11-23 14:33:00的发言:[br][br] 糖尿病病人很容易继发结核,病人又有双侧胸膜增厚、粘连、胸腔积液以及双上肺的斑片状、条索状影结核病灶影,以一元论考虑,右下肺病变首先考虑干酪性肺炎,可以正规抗炎治疗后复查,排除一般的肺炎。
| 欢迎光临 医影在线 (http://bbs.radida.com/bbs/) | Powered by Discuz! X3.2 |