医影在线
标题: CT5387:颅脑外伤 [打印本页]
作者: xcc106 时间: 2006-11-25 01:41
标题: CT5387:颅脑外伤
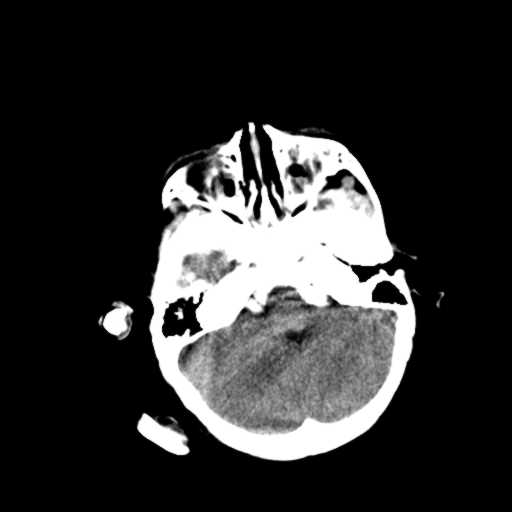
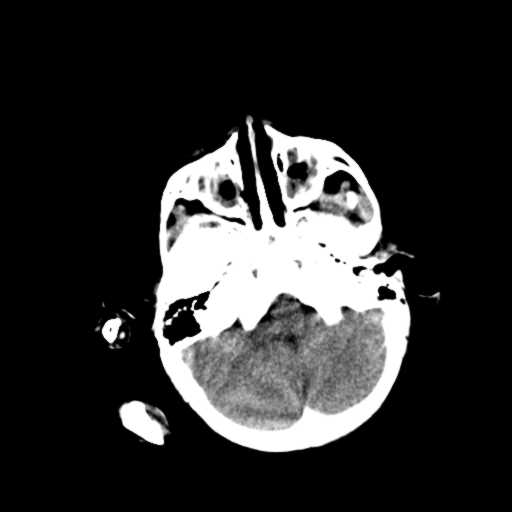
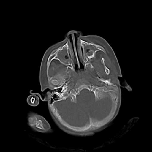
m,3y,外伤一天,无明显其它症状.








[本贴已被 jiajie 于 2006-11-24 18:49:33 修改过]
作者: 守望可可 时间: 2006-11-25 02:08
有点迷糊了:楼主兄弟要我们做什么?图片没有发全,该继续扫描的没有继续往下扫,不明白。能看的清楚是:
1.双侧上颌窦、筛窦炎。
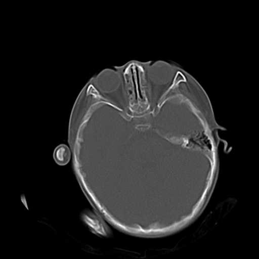
2.左侧上颌窦后壁部分骨质缺损,内有一牙齿样高密度,周围似乎无明显囊肿形成(没有继续往下扫描,而且只有骨窗,不便观察)。暂考虑左侧上颌窦牙源性囊肿可能。
3.小脑以及右侧颞叶无明显异常,颅盖以及颅底诸骨未见明显骨折,双侧枕骨内板蛛网膜粒压迹多、略深。
作者: 余辉 时间: 2006-11-25 02:15
1.右小脑半球外侧影为手指产生的伪影?硬膜外血肿?
2.鼻窦炎
作者: jiangjing 时间: 2006-11-25 02:43
双侧上颌窦及筛窦炎。左侧眶内板及肌锥外间隙约模糊,左侧内直肌较右侧稍扩大。建议左眼眶hrct扫描排除损伤可能
作者: wqs571018 时间: 2006-11-25 03:01
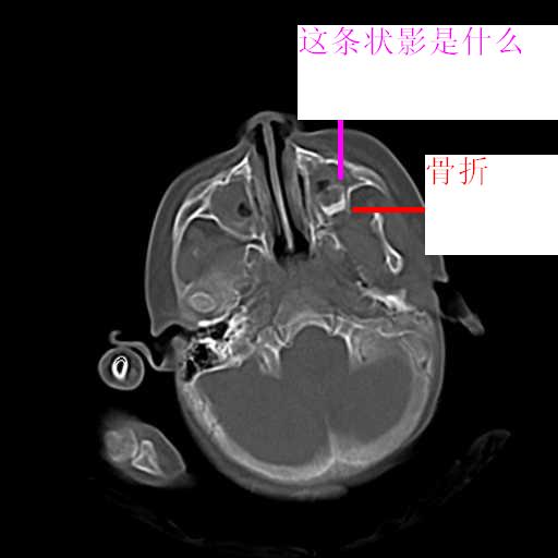
双上颌窦炎,筛窦炎.左上颌窦内是什麽?
作者: dyqct 时间: 2006-11-25 03:23
不解!
考虑:双侧上颌窦、筛窦炎。
作者: zhanglixian1985 时间: 2006-11-25 03:28
主要双侧上颌窦和筛窦炎症吧
作者: zwei 时间: 2006-11-25 03:29
双侧上颌窦及筛窦炎.
作者: yang4132 时间: 2006-11-25 03:31
看影象是筛窦、上颌窦炎,三岁小儿是不是还没气化好?
作者: jinguoji 时间: 2006-11-25 04:22
双侧上颌窦和筛窦炎症
作者: elity69 时间: 2006-11-25 04:29
双上颌窦炎,筛窦炎.左上颌窦内是什麽?
作者: zhoucan076 时间: 2006-11-25 04:32
双侧上颌窦及筛窦炎.
作者: 宝天曼 时间: 2006-11-25 04:57
双侧上颌窦及筛窦炎
作者: 拾荒者 时间: 2006-11-25 05:11
标题: 回复:ct5387:颅脑外伤
以下是引用守望可可西里在2006-11-24 18:08:00的发言:[br][br] 有点迷糊了:楼主兄弟要我们做什么?图片没有发全,该继续扫描的没有继续往下扫,不明白。能看的清楚是:[br] 1.双侧上颌窦、筛窦炎。[br] 2.左侧上颌窦后壁部分骨质缺损,内有一牙齿样高密度,周围似乎无明显囊肿形成(没有继续往下扫描,而且只有骨窗,不便观察)。暂考虑左侧上颌窦牙源性囊肿可能。[br] 3.小脑以及右侧颞叶无明显异常,颅盖以及颅底诸骨未见明显骨折,双侧枕骨内板蛛网膜粒压迹多、略深。
支持。
作者: ssmmxx 时间: 2006-11-25 05:39
支持双侧上颌窦和筛窦炎
作者: 晓杰 时间: 2006-11-25 05:40
双侧上颌窦和筛窦炎症
作者: 卜一 时间: 2006-11-25 05:51
右侧颅底后可疑颅窝骨折.
作者: wxy7406 时间: 2006-11-25 05:57
副鼻窦炎。和外伤没有关系的。
作者: 流星1234 时间: 2006-11-25 06:19
看影像是付鼻窦炎,三岁小儿是不是还没气化好?这样严重的付鼻窦炎临床症状也有表现
作者: chry3 时间: 2006-11-25 06:57
三岁小儿,副鼻窦炎?外伤,左上颌窦后壁骨质正常么?
作者: docterli 时间: 2006-11-25 08:21
1.慢性鼻窦炎.
2.搂主还是把你的疑问提出来吧,没发现与外伤有关的征象
作者: xcc106 时间: 2006-11-26 05:06
正如有的战友所说的,是不是存在副鼻窦发育不全的可能呢?本例无副鼻窦症状,只有颅脑外伤,与其无关。请问诸位战友:三岁的小孩子出现这样的的情况该报炎症还是报发育不全呢?这样的情况好象彼多。
作者: 拾荒者 时间: 2006-11-26 05:32
小儿副鼻窦没扫过,外伤病人,既然没有症状,副鼻窦表现就什么都不要报,免得给家属增加心理负担,从发育方面考虑也只能是未发育完全,而不是发育不全。
作者: 清风照影来 时间: 2006-11-26 05:44
标题: 回复:ct5387:颅脑外伤

双侧双颌窦及筛窦内可见密度增高影,考虑付鼻窦炎,上颌窦后壁骨折.
作者: shibing 时间: 2015-6-30 09:13
双侧上颌窦和筛窦炎症
| 欢迎光临 医影在线 (http://bbs.radida.com/bbs/) |
Powered by Discuz! X3.2 |