医影在线
标题: CT5388:鼻塞、耳鸣3个月,涕中带血2周,颈部可触及肿大淋 [打印本页]
作者: zjzjr 时间: 2006-11-25 02:13
标题: CT5388:鼻塞、耳鸣3个月,涕中带血2周,颈部可触及肿大淋












[本贴已被 jiajie 于 2006-11-24 22:10:54 修改过]
作者: 天高云淡 时间: 2006-11-25 02:21
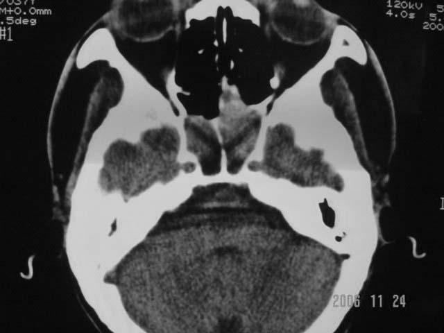
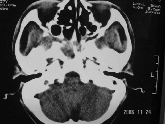
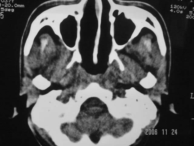
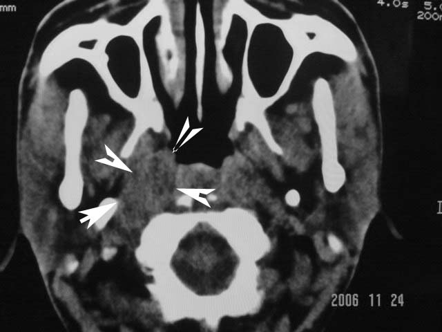
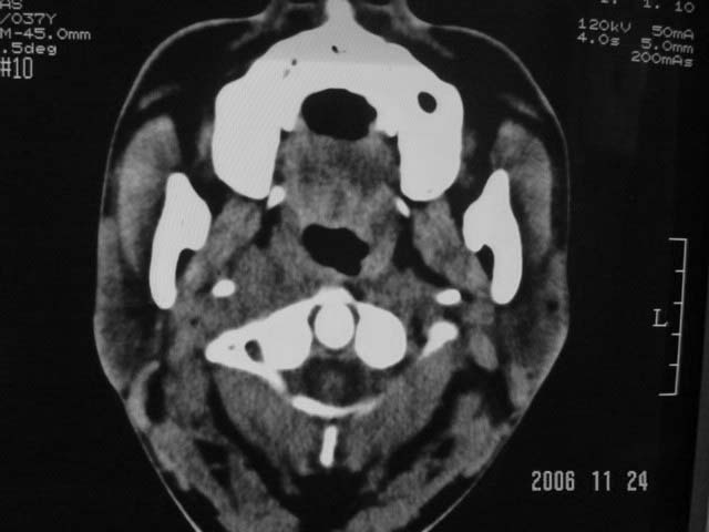
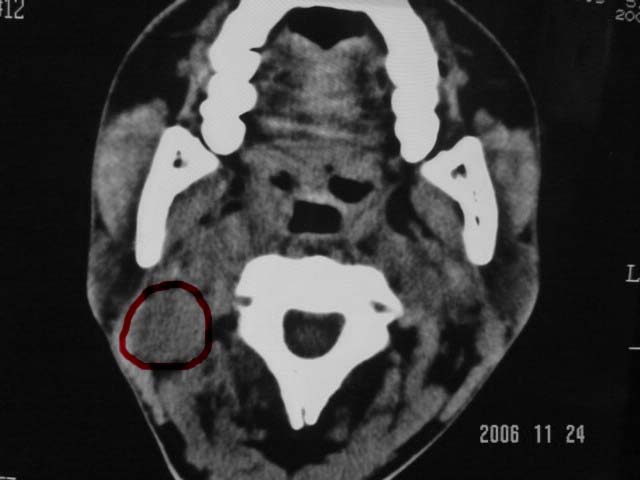
右侧鼻咽部软组织肿块,颅底骨质破坏,右侧颈部淋巴结肿大;诊断:鼻咽ca、右颈部淋巴结转移、颅底侵犯
作者: 余辉 时间: 2006-11-25 02:27
右侧鼻口咽侧后壁不规则增厚,内可见密度不均匀性椭圆形软组织块影,边界欠清,咽旁间隙尚清.右颈部可见圆形软组织块影,鼻塞、耳鸣3个月,涕中带血2周,颈部可触及肿大淋巴结,考虑鼻咽癌,颈部淋巴转移.
作者: zhangyang66 时间: 2006-11-25 02:31
同意以上诊断
作者: 同 时间: 2006-11-25 03:13
考虑鼻咽癌伴右颈部淋巴结肿大。
作者: zhanglixian1985 时间: 2006-11-25 03:21
同意2 楼诊断
作者: dyqct 时间: 2006-11-25 03:31
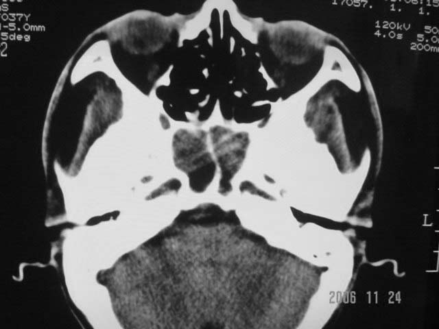
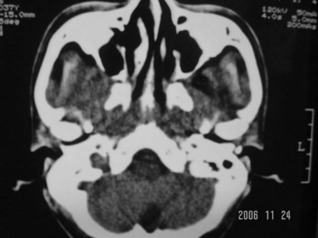
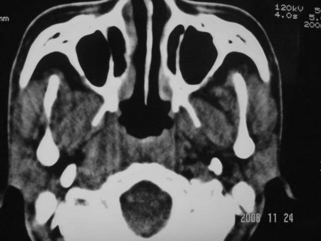
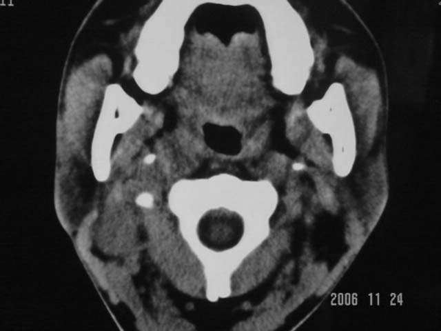
右侧鼻咽后壁不规则增厚,内可见密度不均匀性椭圆形软组织块影,边界欠清,咽旁间隙尚清.右侧下方可见圆形软组织块影,双侧蝶窦呈均一高密度。
考虑:1、右侧鼻咽癌伴颈部淋巴结转移;
2、双侧蝶窦炎。
作者: 宋振波 时间: 2006-11-25 03:33
考虑鼻咽癌,颈部淋巴转移.
作者: yang4132 时间: 2006-11-25 03:36
鼻烟癌颅底受侵,颈部淋巴结转移。
作者: zwei 时间: 2006-11-25 03:41
右侧鼻咽部软组织肿块,颅底骨质破坏,右侧颈部淋巴结肿大;诊断:右侧鼻咽ca伴右颈部淋巴结转移、颅底侵犯.
作者: jinguoji 时间: 2006-11-25 04:30
右侧鼻咽后壁不规则增厚,内可见软组织肿块,右侧颈部淋巴结肿大;双侧蝶窦呈均一高密度。
诊断:鼻咽ca伴右颈部淋巴结转移
双侧蝶窦炎
作者: zhoucan076 时间: 2006-11-25 04:31
考虑鼻咽癌,颈部淋巴转移.
作者: elity69 时间: 2006-11-25 04:42
右侧鼻咽后壁不规则增厚,内可见密度不均匀性椭圆形软组织块影,边界欠清,咽旁间隙尚清.右侧下方可见圆形软组织块影,双侧蝶窦呈均一高密度。
考虑:1、右侧鼻咽癌伴颈部淋巴结转移;
2、双侧蝶窦炎。
作者: x-man 时间: 2006-11-25 04:46
典型右侧鼻咽ca伴颈部淋巴结转移,中颅底骨侵蚀。
作者: jiangjing 时间: 2006-11-25 04:47
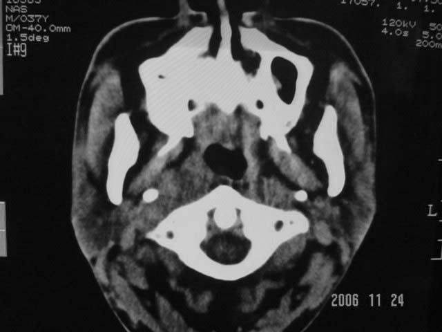
右侧鼻咽侧后壁不规则增厚,咽隐窝变钝,咽旁间隙变狭窄,见组织结节影[哨兵征],蝶骨似破坏,蝶窦内充塞软组织影,翼内外肌上分间隙模糊,右颈后三角区淋巴结肿大,右侧乳突增高气房消失。考虑鼻咽癌伴蝶窦侵犯及淋巴结转移,右侧浆液性中耳炎。其他恶性病变待排。
作者: 宝天曼 时间: 2006-11-25 04:59
右侧鼻口咽侧后壁不规则增厚,内可见密度不均匀性椭圆形软组织块影,边界欠清,咽旁间隙尚清.右颈部可见圆形软组织块影,鼻塞、耳鸣3个月,涕中带血2周,颈部可触及肿大淋巴结,
考虑鼻咽癌拌颈部淋巴转移.
作者: kbzyycm 时间: 2006-11-25 05:24
考虑鼻咽癌,颈部淋巴转移.
作者: 晓杰 时间: 2006-11-25 05:34
右侧鼻咽后壁不规则增厚,内可见密度不均匀性椭圆形软组织块影,边界欠清,咽旁间隙尚清.右侧下方可见圆形软组织块影,双侧蝶窦呈均一高密度。
考虑:1、右侧鼻咽癌伴颈部淋巴结转移;
2、双侧蝶窦炎。
作者: liuwensi 时间: 2006-11-25 05:41
考虑鼻咽癌伴右颈部淋巴结肿大。
作者: ssmmxx 时间: 2006-11-25 05:41
考虑鼻咽癌伴右颈部淋巴结肿大。
作者: 卜一 时间: 2006-11-25 05:55
考虑鼻咽癌伴右颈部淋巴结肿大。
支持!
作者: wxy7406 时间: 2006-11-25 05:56
高度怀疑右侧鼻咽癌。
作者: chry3 时间: 2006-11-25 06:51
标题: 回复:ct5388:鼻塞、耳鸣3个月,涕中带血2周,颈部可触及肿
以下是引用dyqct在2006-11-24 19:31:00的发言:[br]右侧鼻咽后壁不规则增厚,内可见密度不均匀性椭圆形软组织块影,边界欠清,咽旁间隙尚清.右侧下方可见圆形软组织块影,双侧蝶窦呈均一高密度。[br]考虑:1、右侧鼻咽癌伴颈部淋巴结转移;[br] 2、双侧蝶窦炎。
作者: 拾荒者 时间: 2006-11-25 06:56
标题: 回复:ct5388:鼻塞、耳鸣3个月,涕中带血2周,颈部可触及肿
[quote]以下是引用jiangjing在2006-11-24 20:47:00的发言:[br]右侧鼻咽侧后壁不规则增厚,咽隐窝变钝,咽旁间隙变狭窄,见组织结节影[哨兵征],蝶骨似破坏,蝶窦内充塞软组织影,翼内外肌上分间隙模糊,右颈后三角区淋巴结肿大,右侧乳突增高气房消失。结合病人鼻塞、耳鸣3个月,涕中带血2周,颈部可触及肿大淋巴结。考虑鼻咽癌伴蝶窦侵犯及淋巴结转移,右侧浆液性中耳炎。
作者: docterli 时间: 2006-11-25 08:11
右侧鼻咽癌伴同侧颈部淋巴结转移可能性大.要是有骨窗,能看到更多征象,有助于诊断
作者: hhcckk 时间: 2006-11-25 17:39
鼻咽癌伴右颈部淋巴结肿大,典型
作者: realzyc 时间: 2006-11-25 21:12
右侧鼻口咽侧后壁不规则增厚,内可见密度不均匀性椭圆形软组织块影,边界欠清,咽旁间隙尚清.右颈部可见圆形软组织块影,鼻塞、耳鸣3个月,涕中带血2周,颈部可触及肿大淋巴结,考虑鼻咽癌,颈部淋巴转移.
作者: shibing 时间: 2015-6-30 09:13
鼻烟癌颅底受侵,颈部淋巴结转移。
| 欢迎光临 医影在线 (http://bbs.radida.com/bbs/) |
Powered by Discuz! X3.2 |