医影在线
标题: CT5389:[原创]胸部CT平扫 [打印本页]
作者: 同 时间: 2006-11-25 02:56
标题: CT5389:[原创]胸部CT平扫
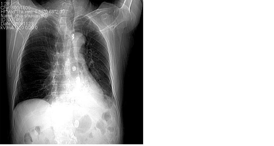
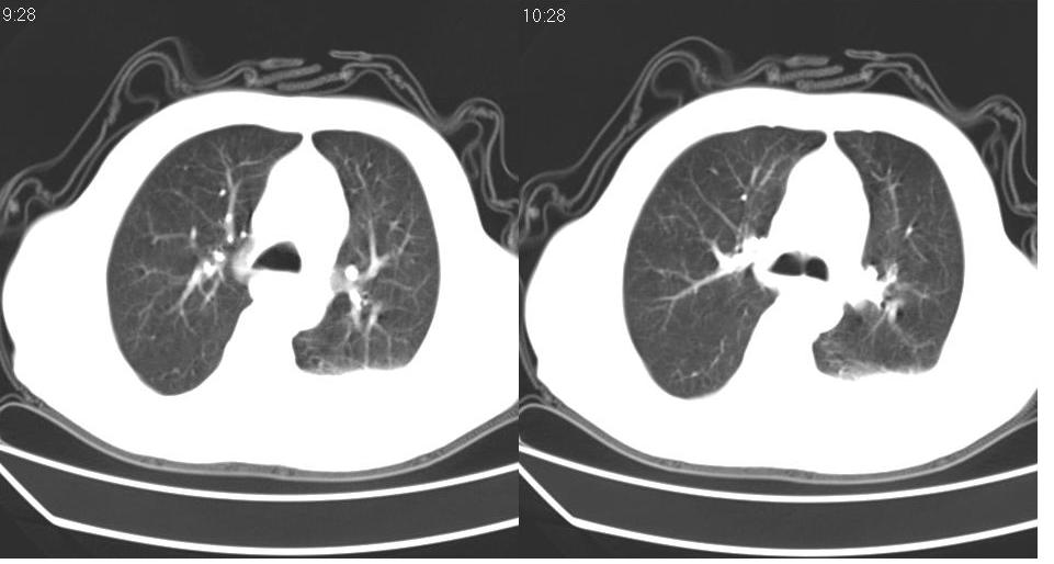
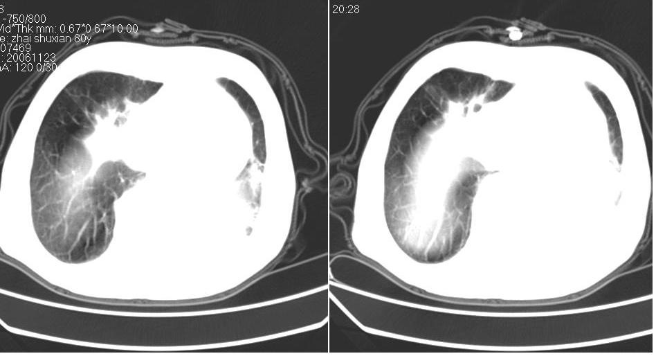
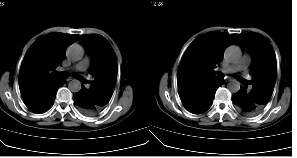
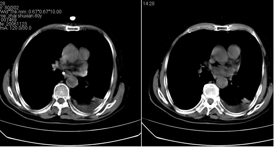
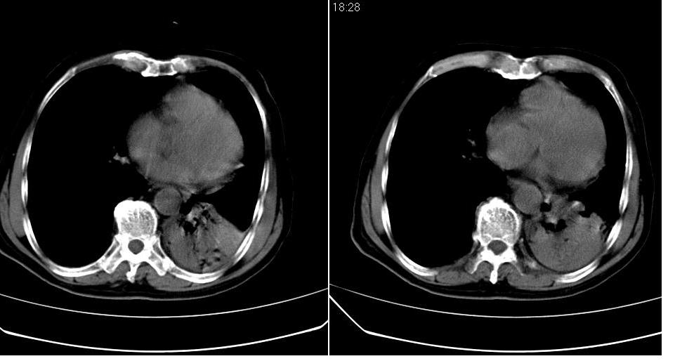
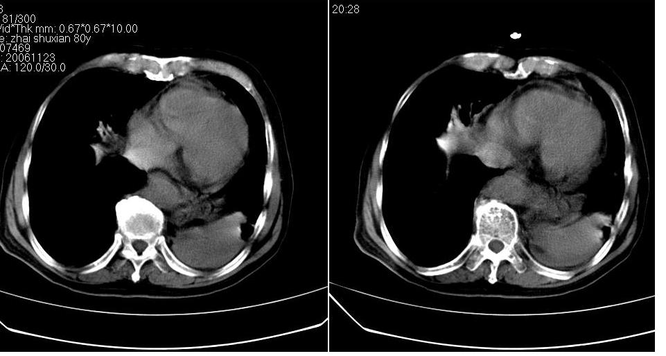
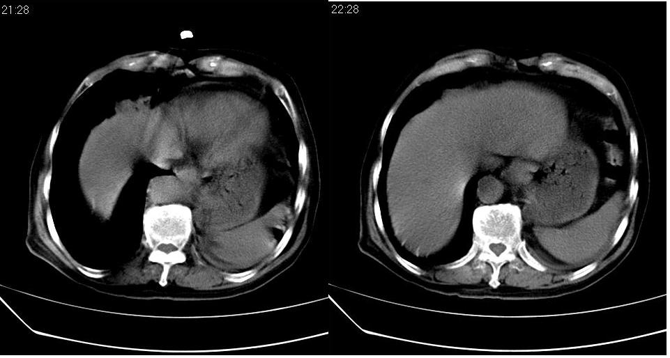
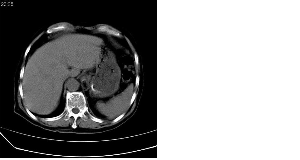
男 80岁,外院病人,有脑梗塞病史,近两个月发热,体温38.5度左右,抗炎后体温正常,药物停有发热。
























[本贴已被 jiajie 于 2006-11-24 22:11:16 修改过]
作者: zhanglixian1985 时间: 2006-11-25 03:07
炎症吧
作者: 黑哥 时间: 2006-11-25 03:08
左下病变ct值是多少?
作者: dyqct 时间: 2006-11-25 03:47
左肺下叶略萎陷、实变,内可见含气支气管征。左舌叶、中叶亦见少许斑片状高密度区,边界不清。纵隔未见肿大淋巴结影。
考虑:1、肺感染;
2、建议严格抗炎治疗后复查。
作者: jiangjing 时间: 2006-11-25 04:26
左下肺体积缩小,密度增高,见片增密影。边界模糊,见支气管充气像,肺门纵隔无异示,心脏气管左移,左侧胸腔少量积液。考虑肺部感染伴部分肺不张[有脑梗塞病史坠积性肺炎可能]
作者: jinguoji 时间: 2006-11-25 04:33
考虑左肺下叶炎症,建议抗炎治疗后复查。
作者: x-man 时间: 2006-11-25 04:42
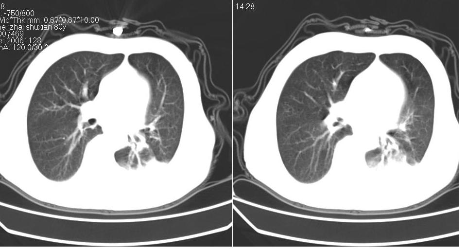
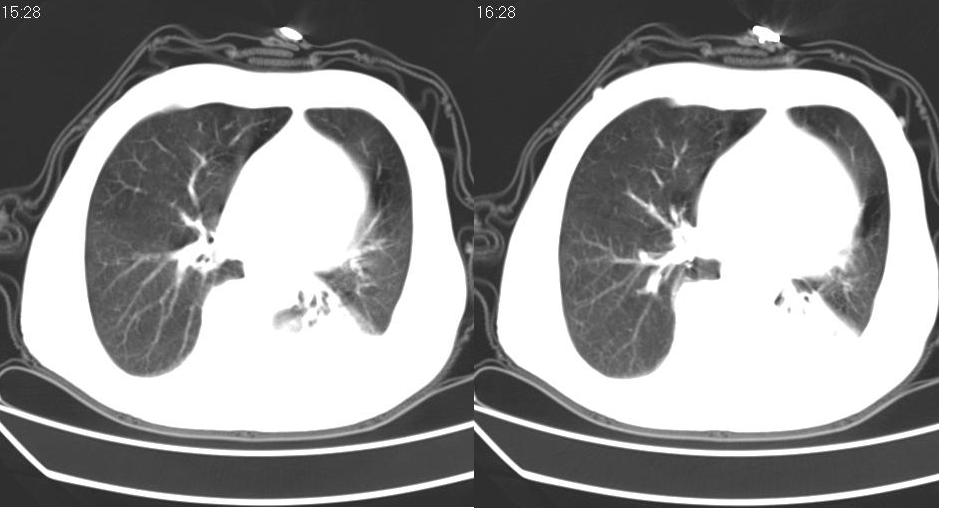
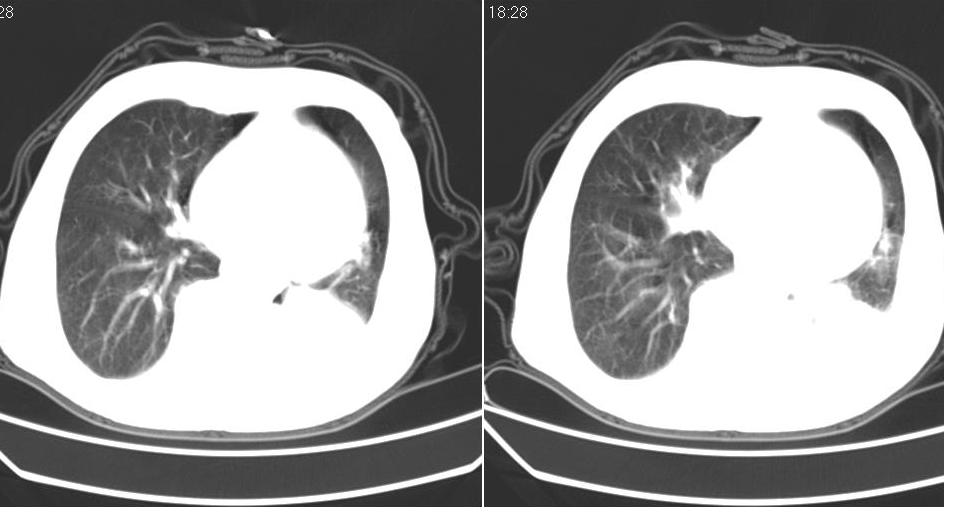
1、左肺下叶后基底段炎症并膨胀不全。
2、左侧胸腔积液。
作者: xclzq_910 时间: 2006-11-25 04:46
左肺下叶体积缩小,成类楔形软组织影,其内可见部分含气支气管影,相应左侧肺门区未见明显肿块,考虑炎性病变,建议抗炎后短期复查
作者: 宝天曼 时间: 2006-11-25 05:00
考虑:1、肺感染可能性大
2、建议严格抗炎治疗后复查
作者: liuwensi 时间: 2006-11-25 05:45
1、左肺下叶后基底段炎症并膨胀不全。
2、左侧胸腔积液。
3.两肺慢支改变。
作者: ssmmxx 时间: 2006-11-25 05:45
1、左肺下叶后基底段炎症并膨胀不全。
2、左侧胸腔积液。
作者: 卜一 时间: 2006-11-25 06:00
左下肺体积缩小,密度增高,并见大片状致密影,边界模糊,其内见支气管充气像,肺门纵隔无异常,心脏气管左移,左侧胸腔少量积液。考虑:左肺炎性病变伴不张。
作者: wxy7406 时间: 2006-11-25 06:23
和我发的这个病很类似,大家看看
http://www.radida.com/radinet/read.php?tid=16670
作者: chry3 时间: 2006-11-25 06:47
左肺下叶感染,肺膨胀不全,左胸腔积液,不能排除结核性病变
作者: 拾荒者 时间: 2006-11-25 07:03
标题: 回复:ct5389:[原创]胸部ct平扫
以下是引用jiangjing在2006-11-24 20:26:00的发言:[br]左下肺体积缩小,密度增高,见片增密影。边界模糊,见支气管充气像,肺门纵隔无异示,心脏气管左移,左侧胸腔少量积液。考虑肺部感染伴部分肺不张[有脑梗塞病史坠积性肺炎可能]
支持。
作者: ysxyy 时间: 2006-11-27 03:42
标题: 回复:ct5389:[原创]胸部ct平扫
以下是引用卜一在2006-11-24 22:00:00的发言:[br][br] 左下肺体积缩小,密度增高,并见大片状致密影,边界模糊,其内见支气管充气像,肺门纵隔无异常,心脏气管左移,左侧胸腔少量积液。考虑:左肺炎性病变伴不张。 [br]
作者: shibing 时间: 2015-6-30 09:13
1、左肺下叶后基底段炎症并膨胀不全。
2、左侧胸腔积液。
3.两肺慢支改变。
| 欢迎光临 医影在线 (http://bbs.radida.com/bbs/) |
Powered by Discuz! X3.2 |