医影在线
标题: CT5391:[原创]纵隔病变 [打印本页]
作者: lizhjie 时间: 2006-11-25 03:23
标题: CT5391:[原创]纵隔病变
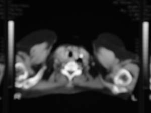
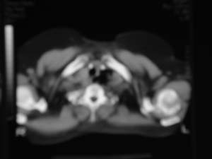
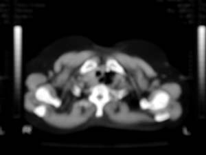
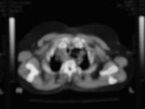
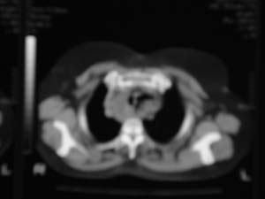
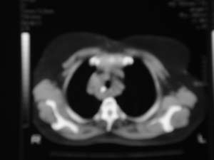
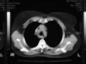
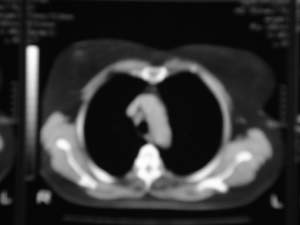
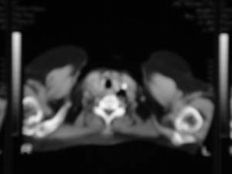
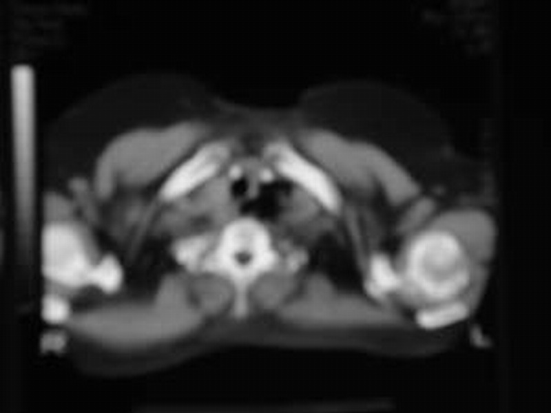
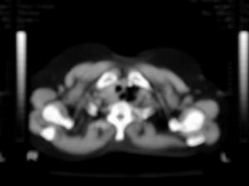
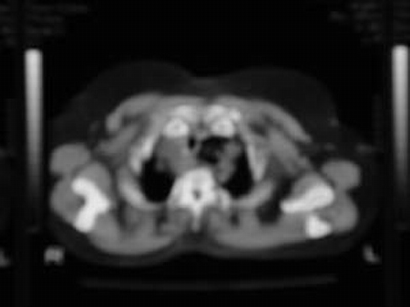
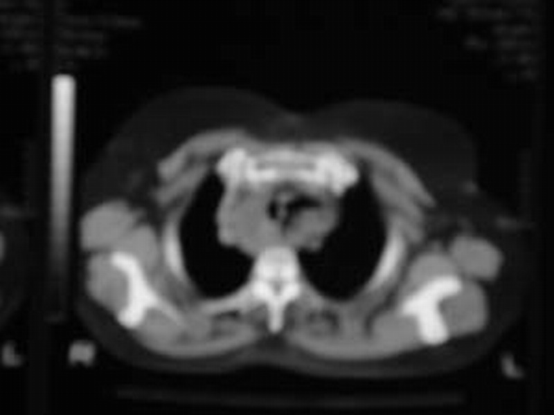
女,68岁.体检发现,无不适.











[本贴已被 jiajie 于 2006-11-24 22:11:37 修改过]
作者: dyqct 时间: 2006-11-25 03:38
小老弟,图像照的不清呀,很难看。还应该有肺窗。
作者: yang4132 时间: 2006-11-25 03:46
上纵隔气管左旁是脂肪密度吧,似有片状软组织影,畸胎瘤?
作者: 漫步云端 时间: 2006-11-25 04:01
纵隔气管左旁是脂肪密度吧,似有片状软组织影,畸胎瘤?
作者: jiangjing 时间: 2006-11-25 04:12
上纵隔气管左旁是脂肪密度吧,似有片状软组织影,气管约右移,考虑---1畸胎瘤。2脂肪瘤或局部脂肪沉积。
作者: jinguoji 时间: 2006-11-25 04:14
图像不清,很难看。请哪位战友帮调整下,谢谢!
作者: suncl 时间: 2006-11-25 04:59
标题: 回复:[原创]纵隔病变



作者: 宝天曼 时间: 2006-11-25 05:04
图像不清,很难看。请哪位战友帮调整下,谢谢!
作者: suncl 时间: 2006-11-25 05:16
标题: 回复:[原创]纵隔病变
以下是引用jinguoji在2006-11-24 20:14:00的发言:[br]图像不清,很难看。请哪位战友帮调整下,谢谢!











作者: ssmmxx 时间: 2006-11-25 05:49
图像照的不清呀,很难看。还应该有肺窗。畸胎瘤?
作者: 阿圣 时间: 2006-11-25 05:58
图象有点虚,不好看
作者: lizhjie 时间: 2006-11-25 06:18
不好意思,让大家受累了.明天我再重新照.
作者: elity69 时间: 2006-11-25 06:30
图象有点虚,不好看
作者: wxy7406 时间: 2006-11-25 06:36
直接用手握相机拍的吧?图相糊了。建议直接从工作站下或固定相机。
作者: chry3 时间: 2006-11-25 06:38
似乎起源于甲状腺,顺气管向下爬行
作者: hhcckk 时间: 2006-11-25 17:30
雾里看花,感觉象双主动脉弓
作者: 守望可可 时间: 2006-11-25 17:58
标题: 回复:ct5391:[原创]纵隔病变
以下是引用suncl在2006-11-24 20:59:00的发言:[br][br]
[br]
[br]
[br]
感谢suncl战友调的图像,好看多了。不过,您的诊断我不是很支持。
气管右旁的病灶我考虑是胸内甲状腺肿,它与颈部甲状腺一脉相连。左旁的病灶因为没有肺窗,首先考虑左肺尖部胸膜粘连并包裹的部分肺组织,食管问题的可能性应该比较小。
作者: 拾荒者 时间: 2006-11-26 05:24
支持-- 上纵隔气管左旁是脂肪密度吧,似有片状软组织影,气管略右移,考虑---1畸胎瘤。2脂肪瘤或局部脂肪沉积。
作者: shibing 时间: 2015-6-30 09:12
气管右旁的病灶我考虑是胸内甲状腺肿,它与颈部甲状腺一脉相连。左旁的病灶因为没有肺窗,首先考虑左肺尖部胸膜粘连并包裹的部分肺组织,食管问题的可能性应该比较小。
| 欢迎光临 医影在线 (http://bbs.radida.com/bbs/) |
Powered by Discuz! X3.2 |