医影在线

标题: CT5393:[求助] [打印本页]

作者: wmsyy    时间: 2006-11-25 04:18
标题: CT5393:[求助]
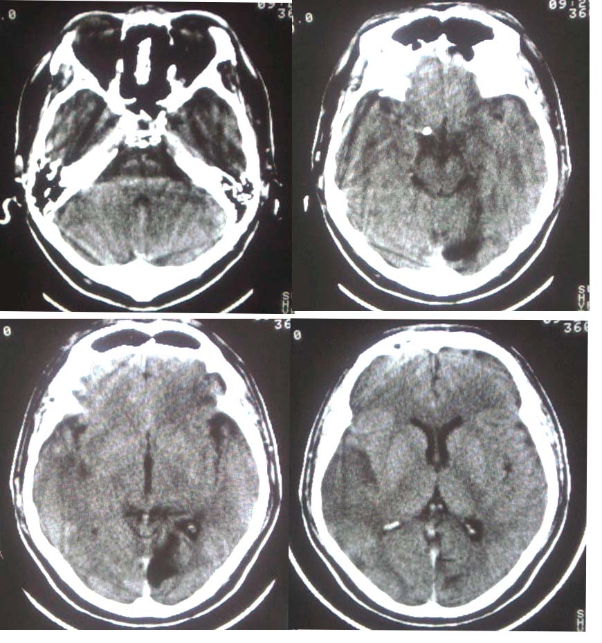
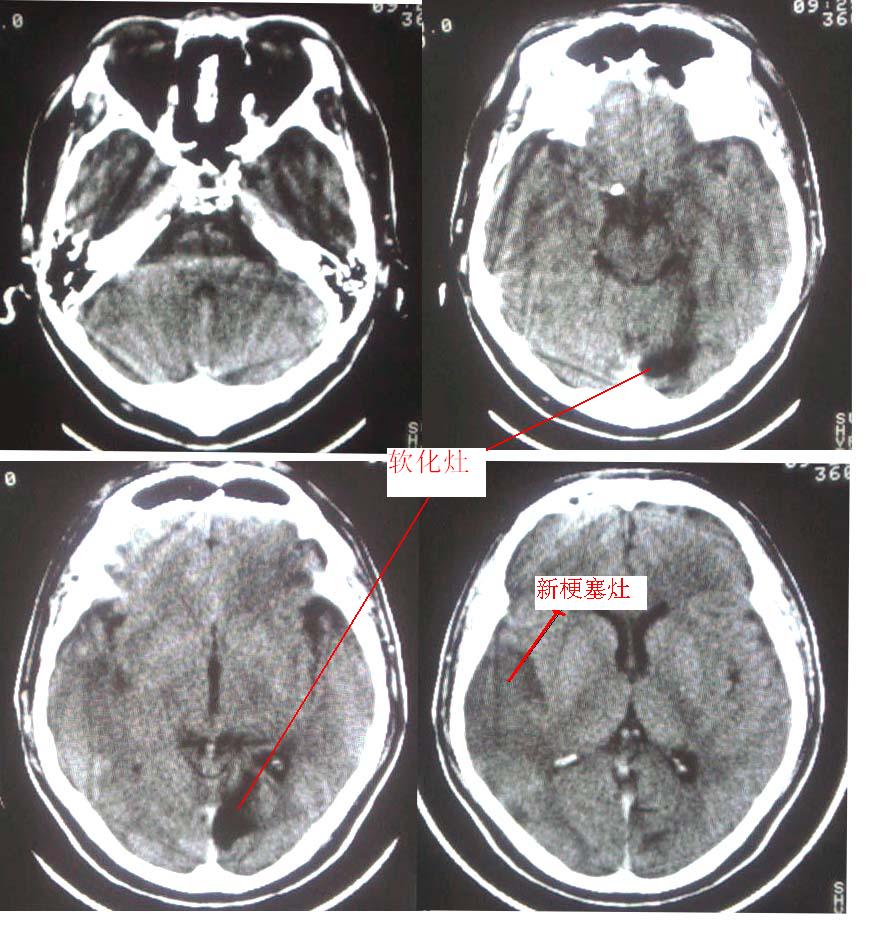
这是一个49岁 男性患者,近两天头痛,自感言语不利。既往有脑梗塞病使。麻烦各位老师看看有没有新的病灶。谢谢!





[本贴已被 jiajie 于 2006-11-24 22:12:13 修改过]

作者: wmsyy    时间: 2006-11-25 04:20
对不起,图片发颠倒了
作者: zjzjr    时间: 2006-11-25 04:53
是新发病灶,另外左枕叶可见软化灶形成.
作者: jiangjing    时间: 2006-11-25 05:13
zhichi     是新发病灶,另外左枕叶可见软化灶形成.
作者: 13081830109    时间: 2006-11-25 05:17

作者: suncl    时间: 2006-11-25 05:23
支持  
新发病灶
作者: 晓杰    时间: 2006-11-25 05:25
标题: 回复:[求助]
[

作者: 宝天曼    时间: 2006-11-25 05:26
支持  
新发病灶
作者: wmsyy    时间: 2006-11-25 05:42
谢谢各位老师的指点,
作者: dyqct    时间: 2006-11-25 05:46
支持7楼意见。
作者: ssmmxx    时间: 2006-11-25 05:51
支持  
新发病灶
作者: 阿圣    时间: 2006-11-25 05:59
应该是有的吧
作者: 卜一    时间: 2006-11-25 06:12
支持:新发病灶.
作者: elity69    时间: 2006-11-25 06:34
是新发病灶,另外左枕叶可见软化灶形成
作者: chry3    时间: 2006-11-25 06:35
从密度考虑是新病灶
作者: wxy7406    时间: 2006-11-25 06:37
右侧颞叶的低密度应考虑是新发病灶。
作者: hhcckk    时间: 2006-11-25 17:27
标题: 回复:ct5393:[求助]
以下是引用晓杰在2006-11-24 21:25:00的发言:[br][[br][br]

支持,新病灶密度不是很低,境界不很清楚
作者: 拾荒者    时间: 2006-11-26 05:36
支持:新发病灶.
作者: 清风照影来    时间: 2006-11-26 07:19
支持
作者: shenhs    时间: 2006-11-26 08:24
支持  
新发病灶
作者: jinguoji    时间: 2006-11-30 20:44
支持:新发病灶.
作者: 守望可可    时间: 2006-12-1 00:01
支持大家,呵呵
作者: shibing    时间: 2015-6-30 09:11
是新发病灶




欢迎光临 医影在线 (http://bbs.radida.com/bbs/) Powered by Discuz! X3.2