医影在线
标题: CT5394:突发剑突下疼痛2天。 [打印本页]
作者: zjzjr 时间: 2006-11-25 04:19
标题: CT5394:突发剑突下疼痛2天。























[本贴已被 jiajie 于 2006-11-24 22:12:45 修改过]
作者: zjzjr 时间: 2006-11-25 04:48
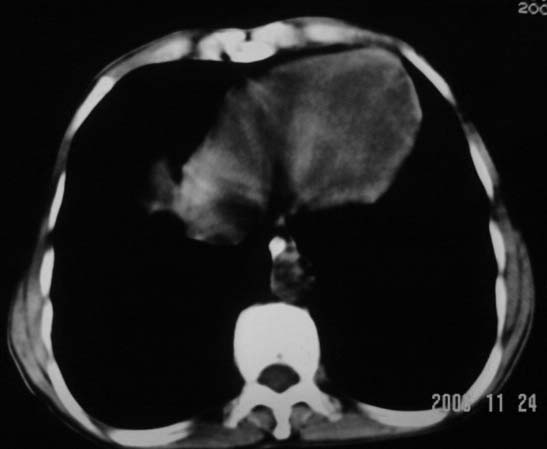
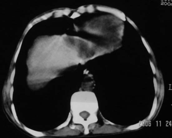
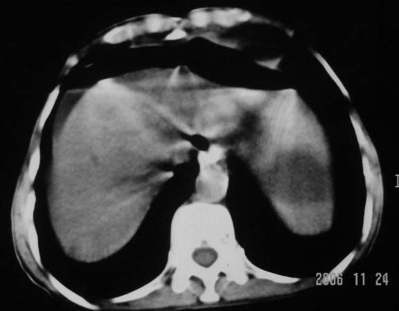
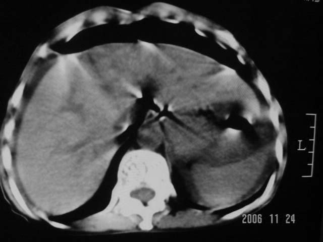
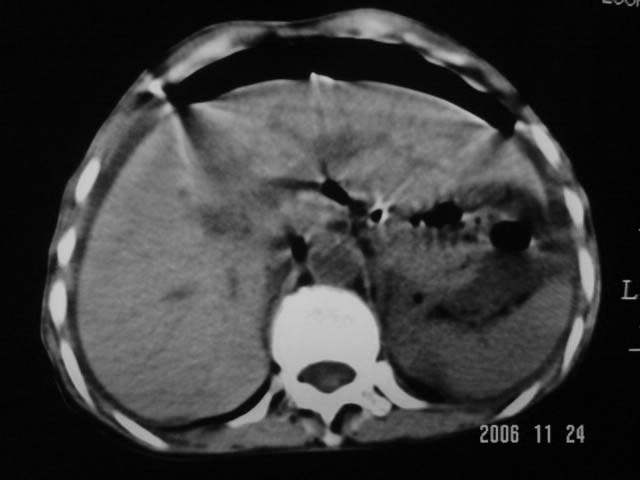
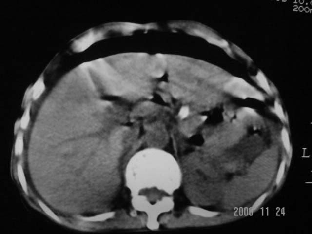
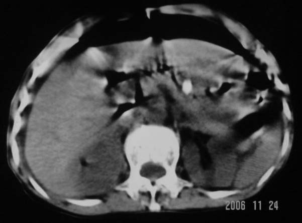
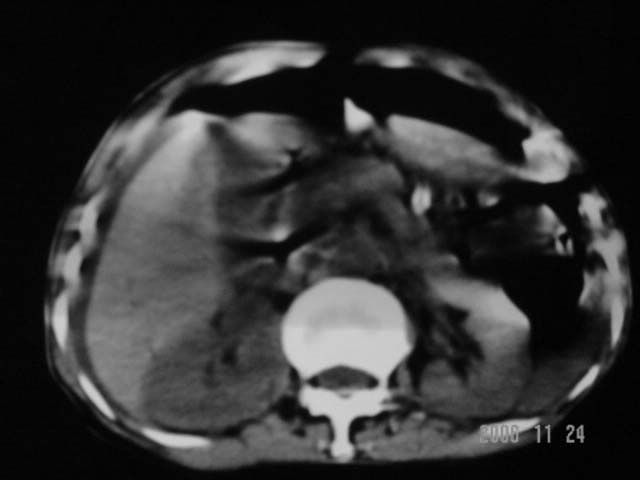
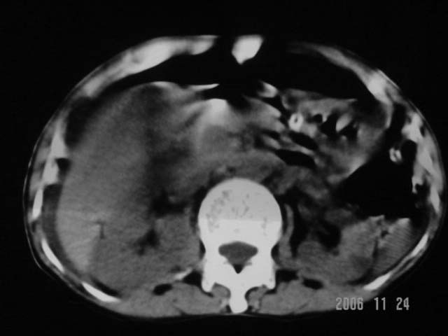
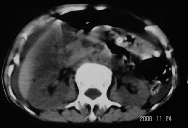
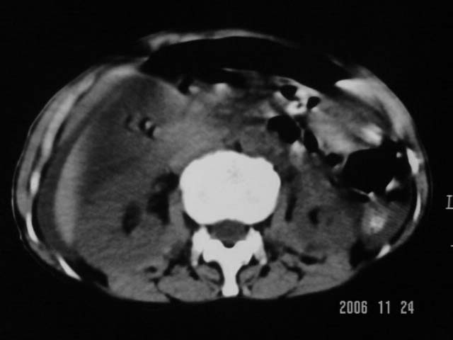
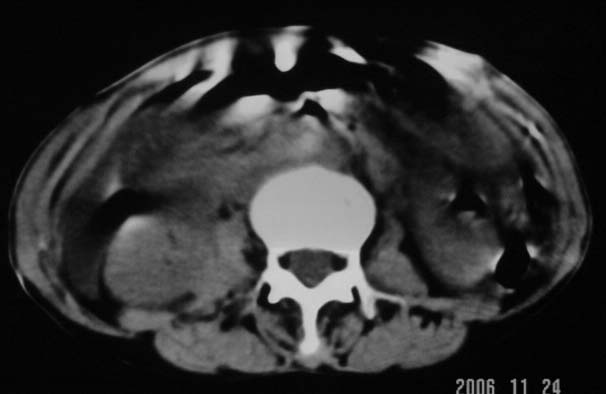
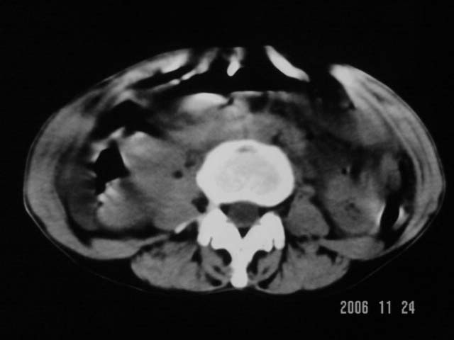
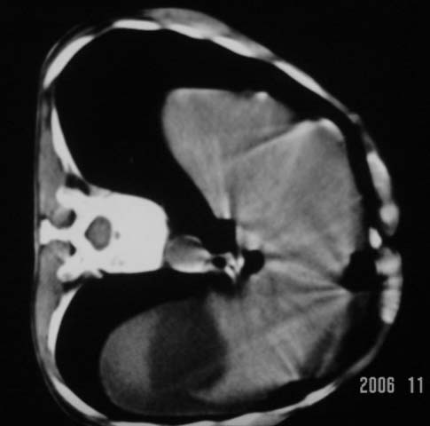
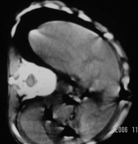
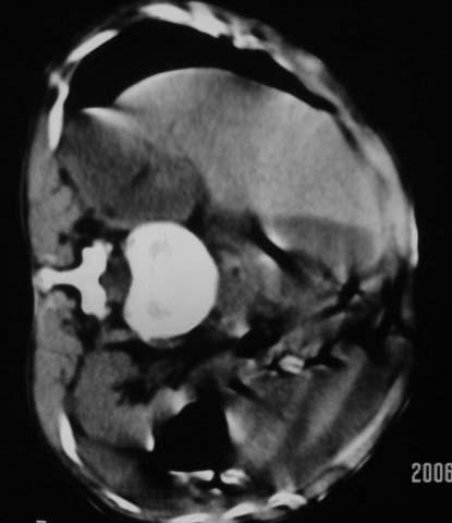
仰卧位见:肝前间隙及肝脾间隙内可见新月形气体密度影,边缘清楚,侧卧位见气体随体位改变而移动,ct值约-929hu。膈下、肝下间隙及部分肠间隙可见液性密度影。考虑:1、上腹部空腔脏器穿孔,以胃穿孔可能性大。2、少量腹水。
作者: 晓杰 时间: 2006-11-25 04:50
标题: 回复:突发剑突下疼痛2天。
支持楼上分析:以下是引用zjzjr在2006-11-24 20:48:00的发言:[br]仰卧位见:肝前间隙及肝脾间隙内可见新月形气体密度影,边缘清楚,侧卧位见气体随体位改变而移动,ct值约-929hu。膈下、肝下间隙及部分肠间隙可见液性密度影。考虑:1、上腹部空腔脏器穿孔,以胃穿孔可能性大。2、少量腹水。
作者: xclzq_910 时间: 2006-11-25 05:03
以下是引用zjzjr在2006-11-24 20:48:00的发言:
仰卧位见:肝前间隙及肝脾间隙内可见新月形气体密度影,边缘清楚,侧卧位见气体随体位改变而移动,ct值约-929hu。膈下、肝下间隙及部分肠间隙可见液性密度影。考虑:1、上腹部空腔脏器穿孔,结合临床,首先考虑胃穿孔可能性大。2、少量腹水
作者: 宝天曼 时间: 2006-11-25 05:08
肝前间隙及肝脾间隙内可见新月形气体密度影,边缘清楚,侧卧位见气体随体位改变而移动,
考虑:1、消化道穿空
作者: jiangjing 时间: 2006-11-25 05:12
以下是引用zjzjr在2006-11-24 20:48:00的发言:
仰卧位见:肝前间隙及肝脾间隙内可见新月形气体密度影,边缘清楚,侧卧位见气体随体位改变而移动,ct值约-929hu。膈下、肝下间隙及部分肠间隙可见液性密度影。考虑:1、上腹部空腔脏器穿孔,结合临床,首先考虑胃穿孔可能性大。2、少量腹水
补充--肝门及肝肾间隙以见积气显示。
作者: 13081830109 时间: 2006-11-25 05:21
以下是引用zjzjr在2006-11-24 20:48:00的发言:
仰卧位见:肝前间隙及肝脾间隙内可见新月形气体密度影,边缘清楚,侧卧位见气体随体位改变而移动,ct值约-929hu。膈下、肝下间隙及部分肠间隙可见液性密度影。考虑:1、上腹部空腔脏器穿孔,结合临床,首先考虑胃穿孔可能性大。2、少量腹水
作者: dyqct 时间: 2006-11-25 05:52
支持消化道空腔脏器穿孔(腹腔内大量游离气体影,小网膜囊内亦见气体影),少量腹水。
作者: ssmmxx 时间: 2006-11-25 05:53
支持胃穿孔
作者: 流星1234 时间: 2006-11-25 05:58
消化道穿孔并急性腹膜炎
作者: 阿圣 时间: 2006-11-25 06:00
腹腔游离气体,穿孔。
作者: 卜一 时间: 2006-11-25 06:15
以下是引用zjzjr在2006-11-24 20:48:00的发言:
仰卧位见:肝前间隙及肝脾间隙内可见新月形气体密度影,边缘清楚,侧卧位见气体随体位改变而移动,ct值约-929hu。膈下、肝下间隙及部分肠间隙可见液性密度影。考虑:1、上腹部空腔脏器穿孔,结合临床,首先考虑胃穿孔可能性大。2、少量腹水
分析的非常准确,支持!
作者: chry3 时间: 2006-11-25 06:33
腹部空腔脏器穿孔
作者: elity69 时间: 2006-11-25 06:39
支持消化道空腔脏器穿孔(腹腔内大量游离气体影,小网膜囊内亦见气体影),少量腹水。
作者: wxy7406 时间: 2006-11-25 06:47
上消化道穿孔。
作者: docterli 时间: 2006-11-25 08:01
腹腔积液,气腹.空腔脏器穿孔!
作者: hhcckk 时间: 2006-11-25 17:24
穿孔了,片子典型,症状典型
作者: 拾荒者 时间: 2006-11-26 05:15
以下是引用zjzjr在2006-11-24 20:48:00的发言:
仰卧位见:肝前间隙及肝脾间隙内可见新月形气体密度影,边缘清楚,侧卧位见气体随体位改变而移动,ct值约-929hu。膈下、肝下间隙及部分肠间隙可见液性密度影。考虑:1、上腹部空腔脏器穿孔,结合临床,首先考虑胃穿孔可能性大。2、少量腹水
分析的非常准确,支持!
作者: xueyuan 时间: 2006-11-26 05:40
可见游离气体,上消化道穿孔,少量腹水,腹膜炎
作者: ysxyy 时间: 2006-11-27 03:09
空腔脏器穿孔应该没有问题.
作者: zhw974247 时间: 2006-11-27 03:24
支持消化道空腔脏器穿孔(腹腔内大量游离气体影,小网膜囊内亦见气体影),少量腹水。
作者: shibing 时间: 2015-6-30 09:10
消化道穿孔并急性腹膜炎
| 欢迎光临 医影在线 (http://bbs.radida.com/bbs/) |
Powered by Discuz! X3.2 |