医影在线
标题: CT5395:男、60岁,皮肤、巩膜黄染伴上腹部疼痛20天 [打印本页]
作者: zjzjr 时间: 2006-11-25 04:39
标题: CT5395:男、60岁,皮肤、巩膜黄染伴上腹部疼痛20天


















[本贴已被 jiajie 于 2006-11-24 22:14:49 修改过]
作者: zjzjr 时间: 2006-11-25 04:50
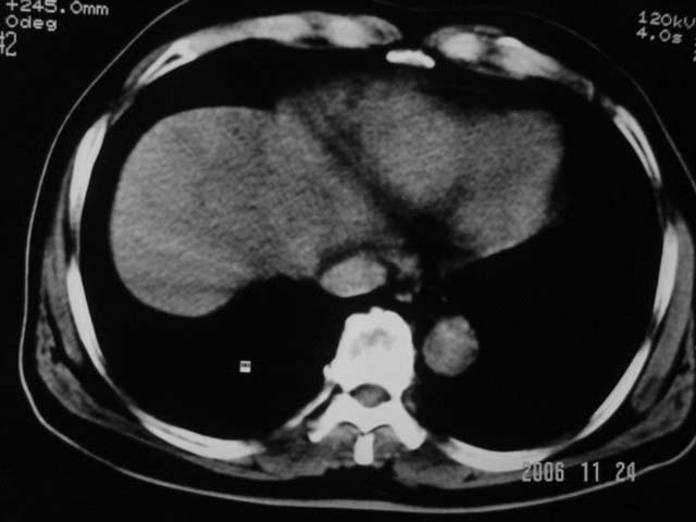
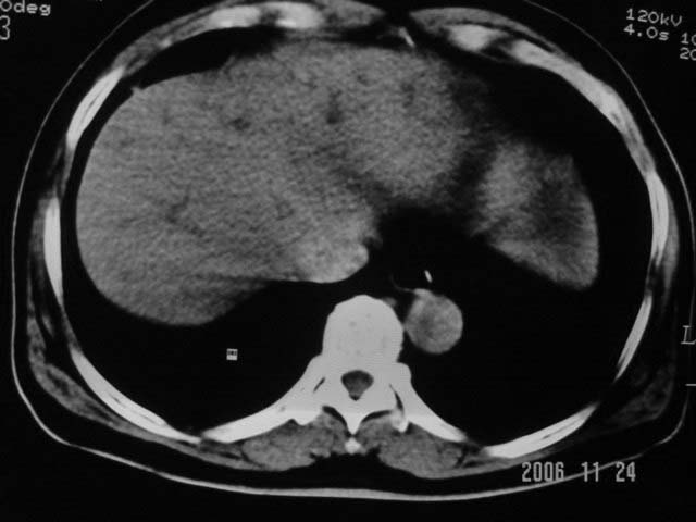
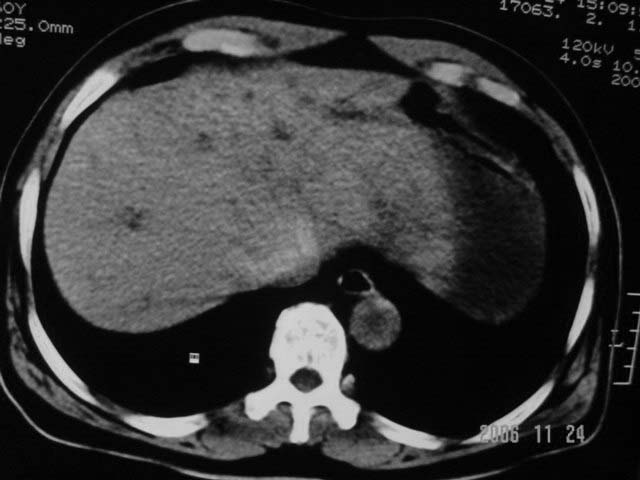
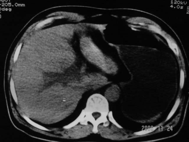
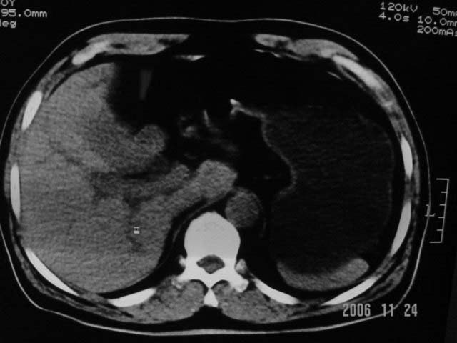
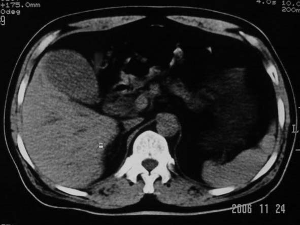
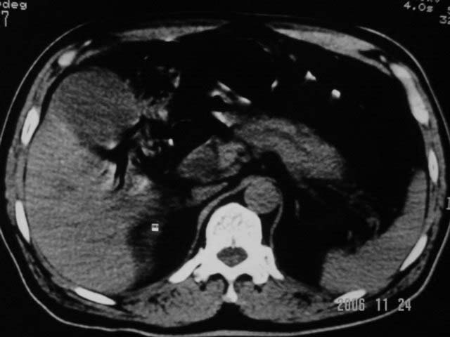
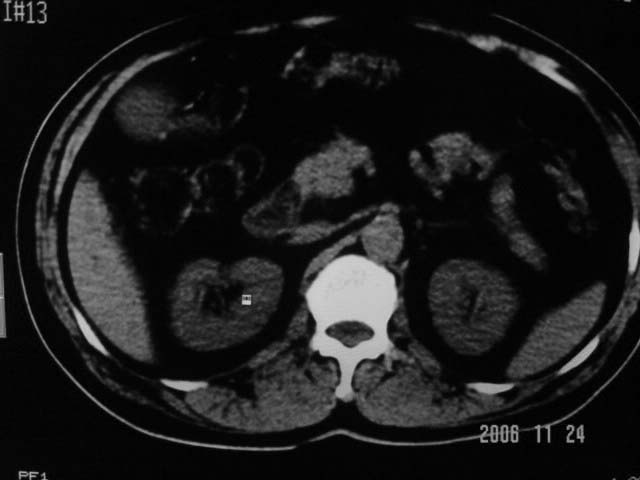
劳烦各位老师看一下最后一幅箭头指的地方是不是胆总管结石.ct值约63hu.
作者: 晓杰 时间: 2006-11-25 04:56
支持楼主:1、胆总管结石; 2、胆囊增大,胆囊炎?
作者: jiangjing 时间: 2006-11-25 05:08
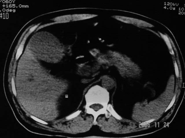
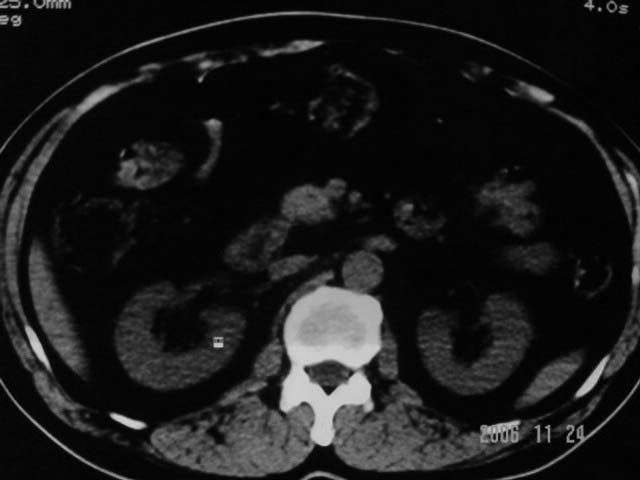
感觉不是结石可能,与上一层面联系应该是门脉区影像,图像显示不佳,胆总管显示不清[特别是胰头以上段],目前影像只能说肝内外胆管扩张,胰管扩张,胆囊扩大。提示胆总管远端梗阻。可考虑肿瘤或结石所致
请结合临床及进一步检查。
作者: xclzq_910 时间: 2006-11-25 05:18
胆总管内结节状高密度灶,边缘隐约可见低密度环绕,首先考虑结石伴肝内胆管扩张; 2、胆囊增大,胆囊炎
不过最好与超声结合或增强扫描
作者: 宝天曼 时间: 2006-11-25 05:20
支持楼主:1、胆总管结石; 2、胆囊增大,胆囊炎?
作者: 流星1234 时间: 2006-11-25 05:55
肝内外胆管及胰管均示有扩张,胆囊增大.提示胆总管远端梗阻,可考虑肿瘤或结石或肿瘤伴结石,建议强化扫描
作者: dyqct 时间: 2006-11-25 05:55
标题: 回复:男、60岁,皮肤、巩膜黄染伴上腹部疼痛20天
以下是引用jiangjing在2006-11-24 21:08:00的发言:[br]感觉不是结石可能,与上一层面联系应该是门脉区影像,图像显示不佳,胆总管显示不清[特别是胰头以上段],目前影像只能说肝内外胆管扩张,胰管扩张,胆囊扩大。提示胆总管远端梗阻。可考虑肿瘤或结石所致[br]请结合临床及进一步检查。
另外图像太黑.
作者: ssmmxx 时间: 2006-11-25 05:56
胆总管远端梗阻。可考虑肿瘤或结石所致
建议超声检查
作者: 阿圣 时间: 2006-11-25 06:01
胆总管下端结石
作者: 卜一 时间: 2006-11-25 06:18
支持楼主:1、胆总管结石; 2、胆囊增大.肝内胆管扩张.
作者: chry3 时间: 2006-11-25 06:29
考虑胆总管结石致肝内外胆管扩张,胆囊增大,不像是肿瘤
作者: jackyking 时间: 2006-11-25 06:35
支持胆总管下段结石并肝内外胆管扩张。
作者: wxy7406 时间: 2006-11-25 06:53
不能肯定是结石,增强吧。
作者: docterli 时间: 2006-11-25 07:50
1.肝内外胆管扩张,楼主箭头所示处多系结石.
2.图象太黑,窗位太高,窗宽太窄,解剖结构显示欠佳 .
作者: 子期 时间: 2006-11-25 07:52
是结石伴梗阻.
作者: haha215315 时间: 2006-11-25 16:54
胆总管远端梗阻。可考虑肿瘤或结石所致.
作者: hhcckk 时间: 2006-11-25 17:22
楼主的箭头标的太棒了,不看最后一副图,我都没看到胆管下端有问题,象结石
作者: 守望可可 时间: 2006-11-25 17:38
标题: 回复:ct5395:男、60岁,皮肤、巩膜黄染伴上腹部疼痛20天


作者: realzyc 时间: 2006-11-25 21:11
支持楼主:1、胆总管结石; 2、胆囊增大,胆囊炎,图像质量不好,太黑
作者: ysxyy 时间: 2006-11-27 02:56
标题: 回复:ct5395:男、60岁,皮肤、巩膜黄染伴上腹部疼痛20天


建议作强化后再说,胆总管下段好像不太对劲.
作者: shibing 时间: 2015-6-30 09:10
胆总管下端结石
| 欢迎光临 医影在线 (http://bbs.radida.com/bbs/) |
Powered by Discuz! X3.2 |