
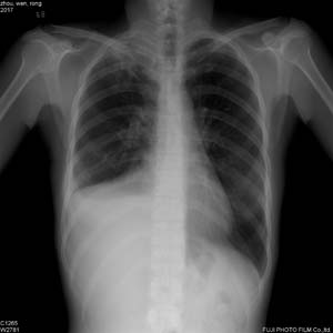
以下是引用dyqct在2006-11-25 21:53:00的发言:[br]右“膈”明显升高,外侧升高。右上肺野见多数条状高密度影,边界尚清楚。[br]考虑:1、右肺底积液;[br] 2、右上肺陈旧性肺结核;[br] 3、建议加照卧位或右侧卧位。
以下是引用731208在2006-11-25 21:44:00的发言:[br]1.右上肺陈旧病变[br]2.右肺底积液
以下是引用dyqct在2006-11-25 21:53:00的发言:[br]右“膈”明显升高,外侧升高。右上肺野见多数条状高密度影,边界尚清楚。[br]考虑:1、右肺底积液;[br] 2、右上肺陈旧性肺结核;[br] 3、建议加照卧位或右侧卧位。
以下是引用dyqct在2006-11-25 21:53:00的发言:[br]右“膈”明显升高,外侧升高。右上肺野见多数条状高密度影,边界尚清楚。[br]考虑:1、右肺底积液;[br] 2、右上肺陈旧性肺结核;[br] 3、建议加照卧位或右侧卧位。
| 欢迎光临 医影在线 (http://bbs.radida.com/bbs/) | Powered by Discuz! X3.2 |