医影在线
标题: x1245:又是胸片,不多见的 [打印本页]
作者: jiaju 时间: 2006-11-26 23:52
标题: x1245:又是胸片,不多见的
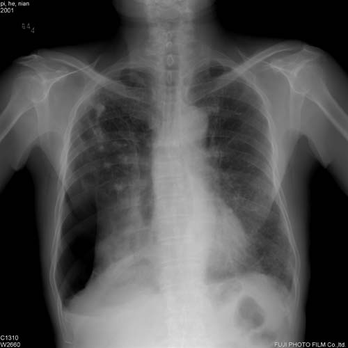
此病人咳嗽\胸闷一周,伴随发热两天.

[本贴已被 cefcmj 于 2006-11-26 16:03:24 修改过]
作者: cefcmj 时间: 2006-11-27 00:22
右肺感染伴陈旧性结核;肺气肿;右侧自发性液气胸。
作者: 颜学斌 时间: 2006-11-27 01:49
右侧气胸部分气体位于右上纵隔胸膜腔,右下肺萎陷且密度不均匀还应考虑肺内或者胸膜病变,建议结合侧位片,右上肺结核以纤维增殖灶和钙化灶为主,
作者: zyx168 时间: 2006-11-27 01:49
标题: 回复:x1245:又是胸片,不多见的
以下是引用cefcmj在2006-11-26 16:22:00的发言:[br]右肺感染伴陈旧性结核;肺气肿;右侧自发性液气胸。
另外,纵隔气肿.
作者: 仲景传人 时间: 2006-11-27 03:10
右肺感染伴陈旧性结核;肺气肿;右侧自发性液气胸(多房性,胸膜粘连所至)
作者: lth7110 时间: 2006-11-27 03:19
右肺感染伴陈旧性结核,右上胸膜粘连;肺气肿;右侧自发性液气胸。
作者: dyqct 时间: 2006-11-27 03:38
右肺感染伴陈旧性结核;慢性支气管炎合併肺气肿;右侧自发性液气胸。
作者: xiazhuzhu 时间: 2006-11-27 03:45
自发性气胸 肺气肿 陈旧结核
作者: yuanhang_2006 时间: 2006-11-27 04:29
慢阻肺,陈旧性肺结核,自发性液气胸
作者: wxy7406 时间: 2006-11-27 04:29
不多见是不是指右侧间位结肠。
作者: wz86100315 时间: 2006-11-27 06:16
注意右上肺野 从空气重力学 考虑巨大肺大泡 少量胸腔积液
右肺感染伴陈旧性结核
作者: jiangjing 时间: 2006-11-27 07:13
考虑 肺部感染伴右肺陈旧性结核;肺气肿;右侧自发性液气胸
作者: zjzjr 时间: 2006-11-27 16:22
右肺感染伴陈旧性结核;肺气肿;右侧自发性液气胸。
作者: xiaoniu 时间: 2006-11-27 17:14
标题: 回复:x1245:又是胸片,不多见的
以下是引用dyqct在2006-11-26 19:38:00的发言:[br]右肺感染伴陈旧性结核;慢性支气管炎合併肺气肿;右侧自发性液气胸。 [br] [br]
支持!

作者: sdw662 时间: 2006-11-27 18:17
右肺感染伴陈旧性结核;肺气肿;右侧自发性液气胸.
作者: sjing 时间: 2006-11-27 18:23
标题: 回复:x1245:又是胸片,不多见的
以下是引用sdw662在2006-11-27 10:17:00的发言:[br]右肺感染伴陈旧性结核;肺气肿;右侧自发性液气胸.
作者: 清风无痕 时间: 2006-11-27 19:14
支持2楼的意见。
作者: 731208 时间: 2006-11-27 23:40
考虑 肺部感染伴右肺陈旧性结核;肺气肿;右侧自发性液气胸
作者: 落叶 时间: 2006-11-28 02:54
右肺陈旧性肺结核伴肺部感染,肺气肿,右侧自发性液气胸.
作者: 碧水蓝天 时间: 2006-11-28 04:58
右肺陈旧结核伴气胸,咋不多见?俺医院小,你更小么?10楼老兄,间位结肠再那里?标一下!
作者: wenhui8899 时间: 2006-11-28 06:40
标题: 回复:x1245:又是胸片,不多见的
i]dy以下是引用[qct在2006-11-26 19:38:00的发言:[br]右肺感染伴陈旧性结核;慢性支气管炎合併肺气肿;右侧自发性液气胸。 [br] [br]
作者: 潘X 时间: 2006-11-28 08:32
慢支并感染,右上陈旧性肺结核,右液气胸。
作者: chen123 时间: 2006-11-28 16:55
陈旧性肺结核,老年性肺炎,右肺巨大性肺大泡
作者: crp111 时间: 2006-11-28 18:17
陈旧性肺结核,老年性肺炎,肺气肿,右肺巨大性肺大泡
作者: hhcckk 时间: 2006-11-28 18:53
标题: 回复:x1245:又是胸片,不多见的

作者: jinguoji 时间: 2006-11-28 19:04
右肺陈旧性肺结核伴肺部感染,肺气肿,右侧自发性液气胸.
作者: zhangkening 时间: 2006-11-28 20:04
同意2楼意见.
作者: 艺术家 时间: 2006-11-29 03:20
不说
作者: 张应强 时间: 2006-11-29 04:24
ding
作者: 吴克权 时间: 2006-11-29 04:44
是多房性气胸??
作者: mujianbao 时间: 2012-11-2 17:45
右侧自发性液气胸。 陈旧性肺结核
作者: liangjingijn 时间: 2012-11-3 14:16
右肺感染伴陈旧性结核;肺气肿;右侧自发性液气胸
| 欢迎光临 医影在线 (http://bbs.radida.com/bbs/) |
Powered by Discuz! X3.2 |