医影在线
标题: CT5417:Z[求助]腹部增强(结果已回,胆总管结石) [打印本页]
作者: ctc2800 时间: 2006-11-27 20:50
标题: CT5417:Z[求助]腹部增强(结果已回,胆总管结石)
(查看结果:http://www.radida.com/bbs/forum.php?mod=viewthread&tid=20952)
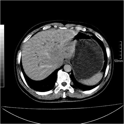
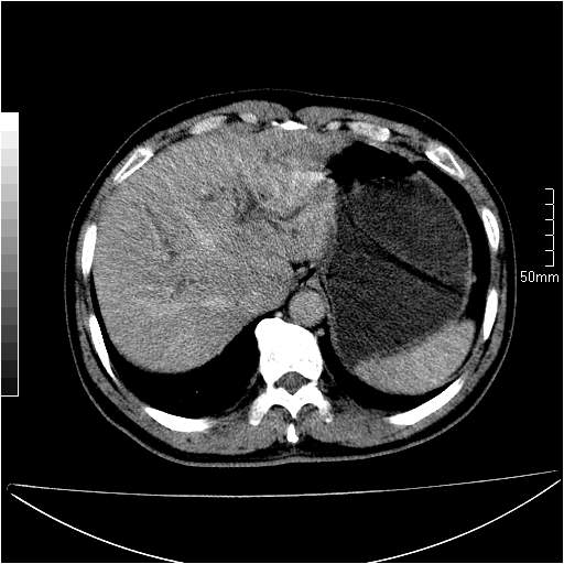
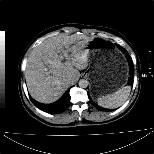
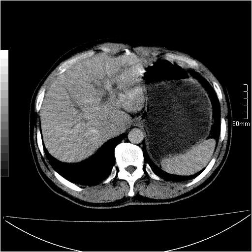
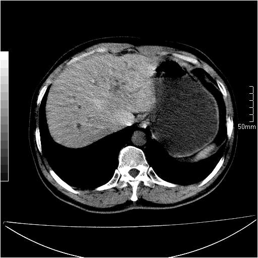
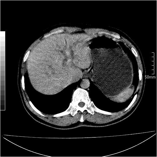
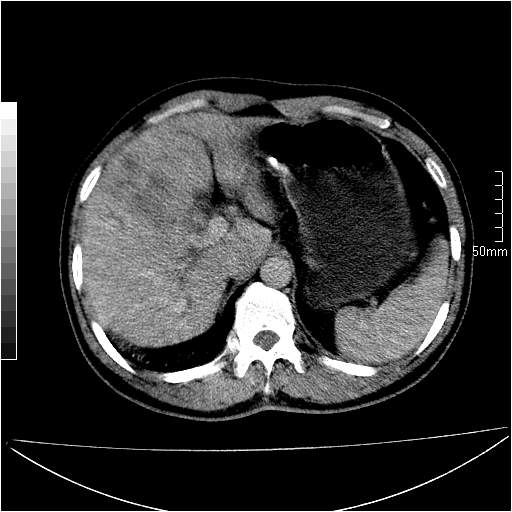
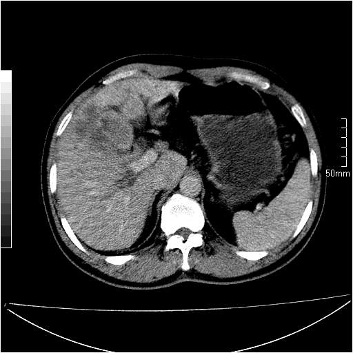
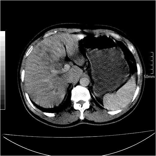
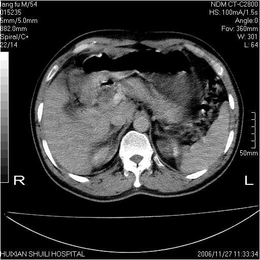
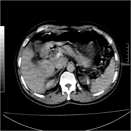
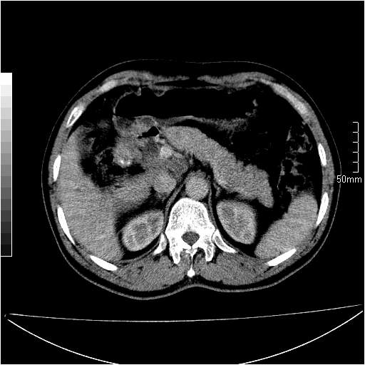
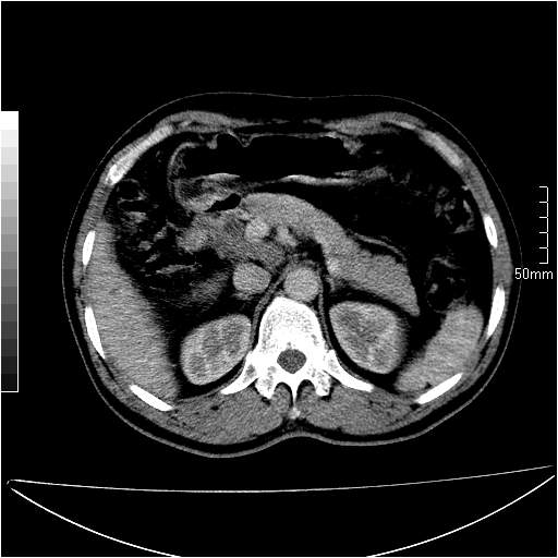
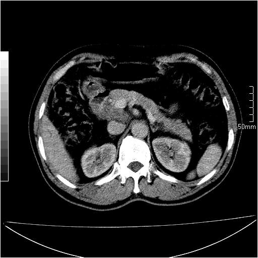
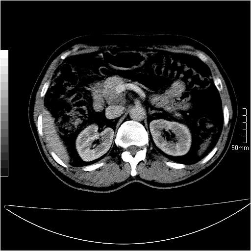
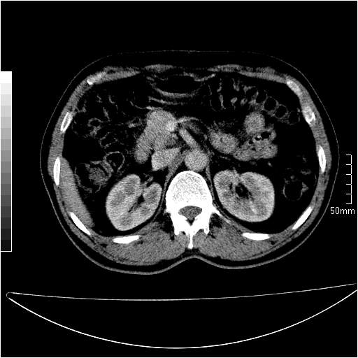
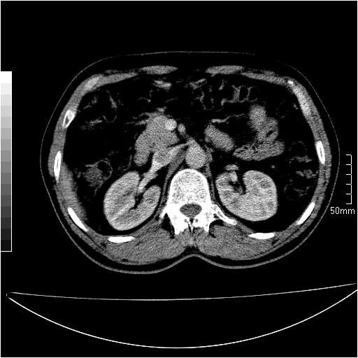
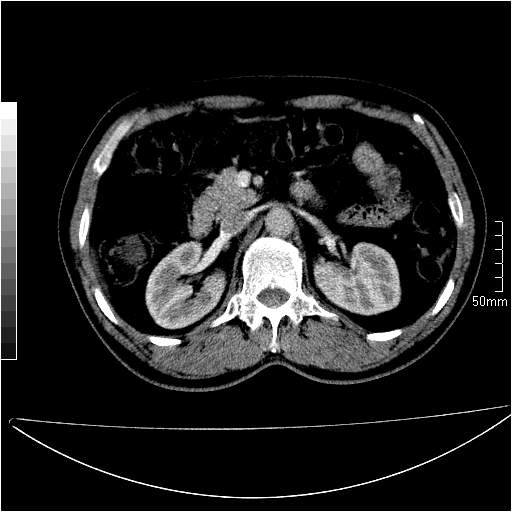
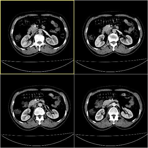
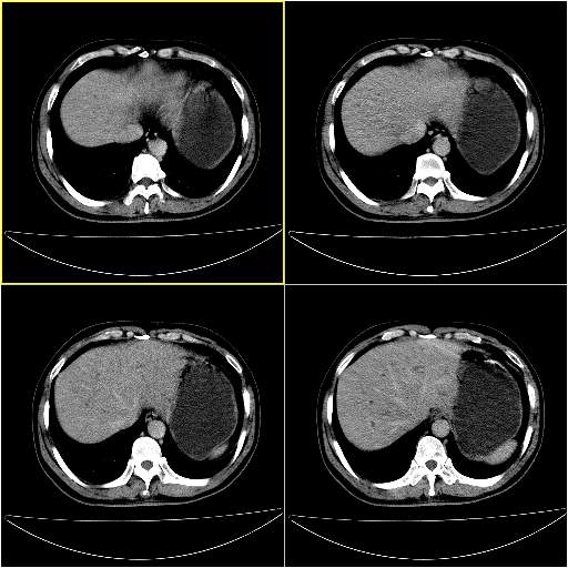
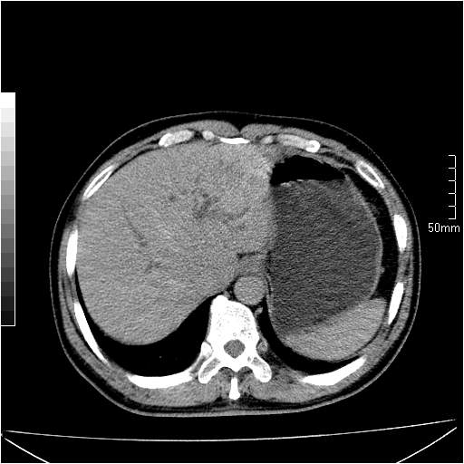
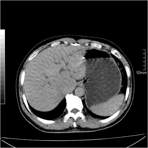
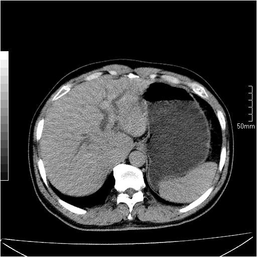
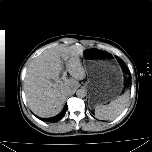
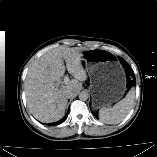
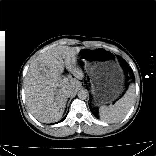
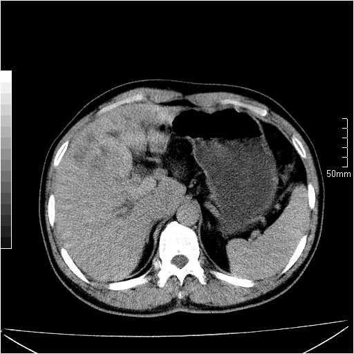
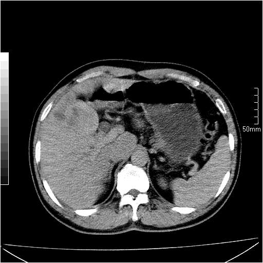
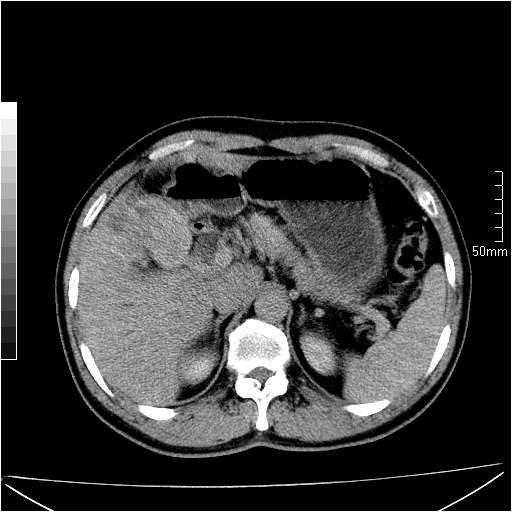
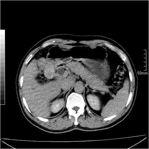
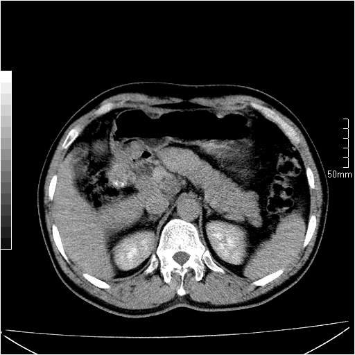
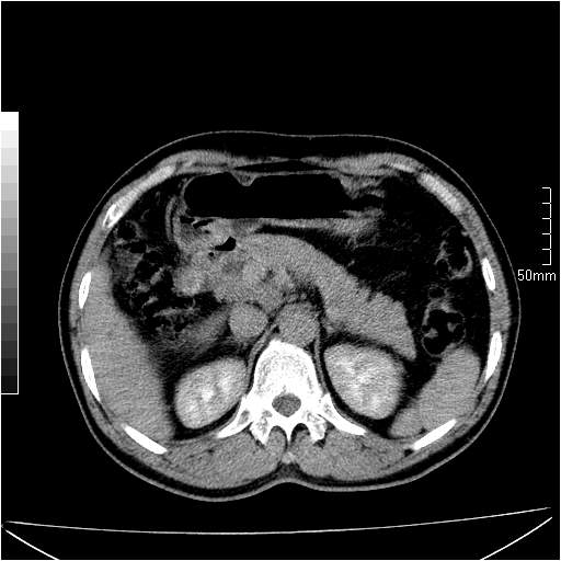
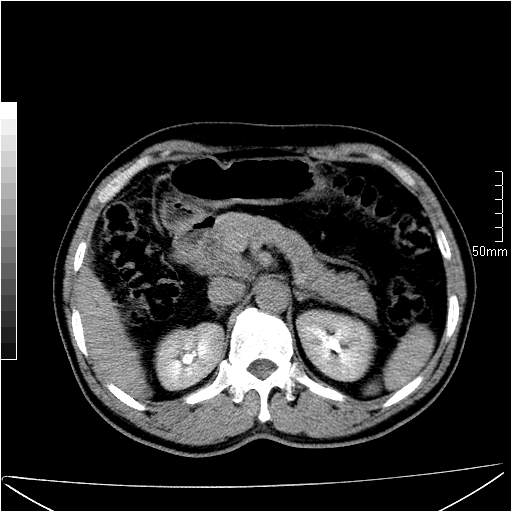
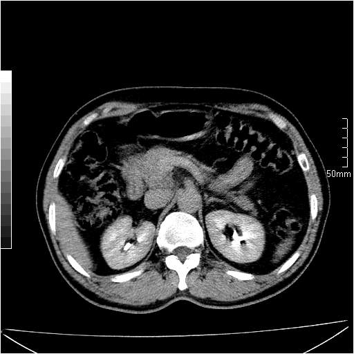
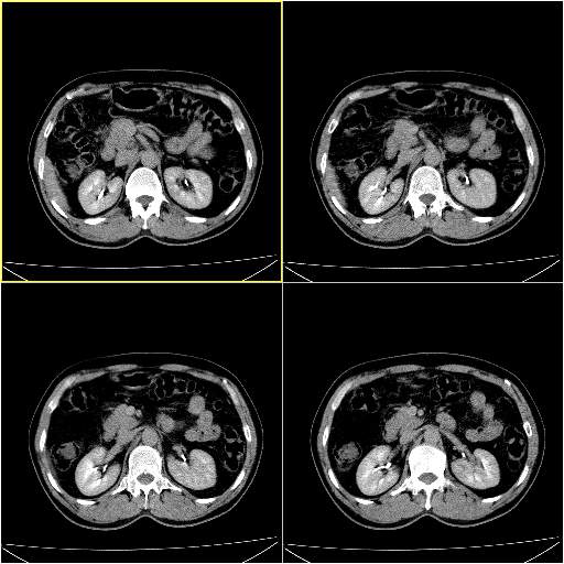
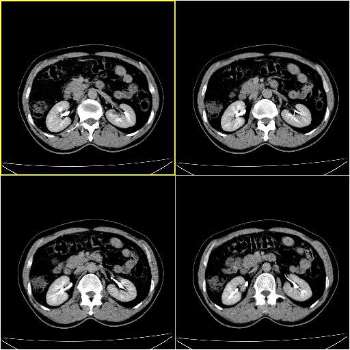
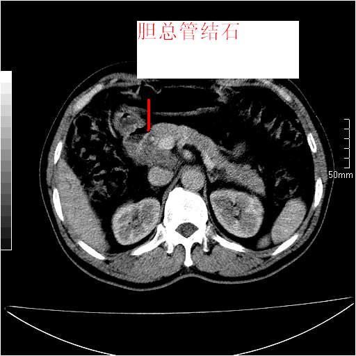
男性,54岁,皮肤黄染,搔痒一周余.b超示肝左叶回声异常.初步诊断1胆总管下段结石2胆囊结石伴慢性胆囊炎请各位战友帮忙看一下肝脏多发低密度如何解释恰当.增强效果不是很好.请大家见谅.






































[本贴已被 jiajie 于 2007-2-12 15:44:29 修改过]
[本贴已被 翁志蓬 于 2007-2-25 21:16:26 修改过]
作者: zjzjr 时间: 2006-11-28 01:00
1、胆总管及肝内胆管扩张,(由于片子质量问题,不太好观察)。2胆囊癌?
作者: 阿圣 时间: 2006-11-28 03:44
支持楼上
作者: 大长今 时间: 2006-11-28 04:33
胆总管及肝内胆管扩张,考虑是结石!但,肝内的低密度区增强不明,可能是肝ca,因为肝ca在增强时呈快进快出.另年胆总管扩张原因,可以考虑一下是不是,胆管ca.再次要考虑肝内的低密度是否为海绵状血管瘤所致!
作者: 清风照影来 时间: 2006-11-28 06:21
标题: 回复:ct5417:[求助]腹部增强

胆总管结石,致肝内外胆管增粗,胆内低密度影建议增强扫描
作者: yzh9939 时间: 2006-11-28 06:58
标题: 回复:ct5417:[求助]腹部增强
首先,胆总管下端结石梗阻伴肝内胆管扩张可确定。
其次,增强动脉期肝静脉显影,肝实质密度不均。——此为右心功能不全引起肝淤血的表现。
另外,肝八段低密度占位,呈多灶性,考虑肝脓肿或肝癌可能,(图像质量欠佳)建议进一步检查。

[本贴已被 yzh9939 于 2006-11-27 23:01:17 修改过]
作者: 拾荒者 时间: 2006-11-28 07:15
既然做了增强,为什么光提供延时期片子,肝动静脉期肝右叶前下段病灶增强如何?另外胆囊壁增厚,欠规整,内密度不均,与肝右叶病灶分界不清,增强表现怎样?肝内胆管轻度扩张,胆总管扩张,但未见明显结石影,也应提供增强早期图像才好鉴别扩张原因。片子较清,但不够完整,暂考虑1.胆囊癌肝局部浸润,或肝癌胆囊侵犯,2.胆总管下端或胰头钩突部占位。总之本人看不明白,请高手画图指示,先谢了!
作者: 守望可可 时间: 2006-11-28 09:19
标题: 回复:ct5417:[求助]腹部增强



作者: zh-gq 时间: 2006-11-28 20:30
标题: 回复:ct5417:[求助]腹部增强
以下是引用清风照影来在2006-11-27 22:21:00的发言:[br]
[br]胆总管结石,致肝内外胆管增粗,胆内低密度影建议增强扫描
作者: 行云有影 时间: 2006-11-30 17:58
标题: 回复:ct5417:[求助]腹部增强
以下是引用守望可可西里在2006-11-28 1:19:00的发言:[br]
[br]
[br]
[br]
作者: liaoqiang 时间: 2006-11-30 18:22
由于胆囊窝内结构显示不清,肝脏病灶又邻近胆囊窝首先考虑胆囊癌肝受侵犯。而后因肝脏病灶强化有渐进改变,且相邻胆管扩张,故考虑肝胆管细胞癌待排。
作者: zxczxc 时间: 2010-7-17 01:38
左肝胆管细胞癌。
胆总管下端结石。
| 欢迎光临 医影在线 (http://bbs.radida.com/bbs/) |
Powered by Discuz! X3.2 |