医影在线
标题: CT5427:女,70岁,腰痛,清晰明了 [打印本页]
作者: 阿圣 时间: 2006-11-28 04:01
标题: CT5427:女,70岁,腰痛,清晰明了
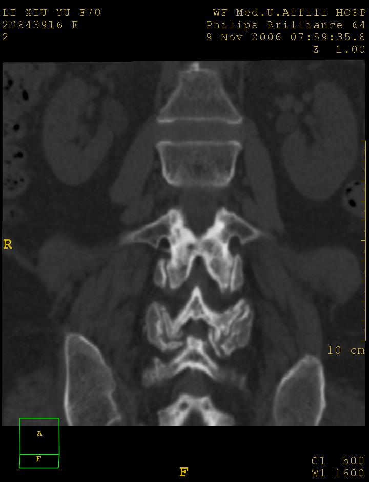
女,70岁,腰痛







[本贴已被 jiajie 于 2006-11-27 21:56:49 修改过]
作者: 大长今 时间: 2006-11-28 04:24
会不会是劳损性,骨关节病啊?
作者: 815989 时间: 2006-11-28 04:30
l4以上向前滑脱
作者: zbf1964724 时间: 2006-11-28 04:44
1腰椎骨质增生,2l4向前滑脱,3腰5-骶一椎间盘退变
作者: wangzhongliang 时间: 2006-11-28 05:00
l4椎体向前滑脱,椎弓裂
作者: yanxuebin5677 时间: 2006-11-28 05:11
l3/4,l4/5,l5/s1椎间盘病变,l4以上向前ι度滑脱并椎小关节交锁、椎弓峡部断裂,椎小关节变性.
作者: dyqct 时间: 2006-11-28 05:42
考虑:1、腰4假性前滑脱(1度,小关节退行性性骨关节病所致);
2、腰5--骶1椎间盘退行性变。
作者: 13081830109 时间: 2006-11-28 05:45
l3/4,l4/5,l5/s1椎间盘病变,l4以上向前ι度滑脱并椎小关节交锁、椎弓峡部断裂,椎小关节变性.
作者: zjzjr 时间: 2006-11-28 07:08
1、腰4椎体1度滑脱。2、腰椎及椎小关节退行性骨关节病。3、腰3-骶1椎间盘病变。
作者: 拾荒者 时间: 2006-11-28 08:19
标题: 回复:ct5427:女,70岁,腰痛,清晰明了
以下是引用dyqct在2006-11-27 21:42:00的发言:[br]考虑:1、腰4假性前滑脱(1度,小关节退行性性骨关节病所致);[br] 2、腰5--骶1椎间盘退行性变。
作者: 卜一 时间: 2006-11-28 12:31
考虑:1、腰4假性前滑脱(1度,小关节退行性性骨关节病所致);
2、腰5--骶1椎间盘退行性变。
支持!
另l5-s1后相对缘增生 上翘,椎间隙变窄。高度可疑:间盘突出,建议行间盘层面ct。
作者: 宝天曼 时间: 2006-11-28 15:03
1 腰椎骨质增生,
2 l4向前滑脱,
3 腰5-骶一椎间盘退变
作者: hhcckk 时间: 2006-11-28 16:31
标题: 回复:ct5427:女,70岁,腰痛,清晰明了



作者: fumaogui 时间: 2006-11-28 17:27
退行性骨关节病并l4前滑脱.
作者: sdllxu 时间: 2006-11-28 17:27
标题: 回复:ct5427:女,70岁,腰痛,清晰明了
以下是引用dyqct在2006-11-27 21:42:00的发言:[br]考虑:1、腰4假性前滑脱(1度,小关节退行性性骨关节病所致);[br] 2、腰5--骶1椎间盘退行性变。
作者: zyx168 时间: 2006-11-28 18:34
1,l4向前滑脱(i度)
2,椎间盘及腰椎退性行变。
作者: zh-gq 时间: 2006-11-28 19:04
腰4锥体1度前滑,腰5锥体及椎小关节还有l5~s1椎间盘退行性改变
作者: YaoYY 时间: 2006-11-28 21:01
腰椎退行病变,腰4椎体向前滑脱,腰5骶1椎间盘变性。
作者: chmb 时间: 2006-11-28 23:27
支持楼上
作者: 皎皎白驹 时间: 2006-11-29 00:36
1:l4向前滑脱,l4-5小关节退性变。没有峡部裂。
2:l3-4,l5-s1椎间盘突出,间盘变性
作者: 余辉 时间: 2006-11-29 00:47
1腰椎骨质增生,2l4向前滑脱(假性,矢状位椎弓峡部连续),3腰5-骶一椎间盘退变,4小关节面综合征
作者: jian-5587 时间: 2006-11-29 03:35
腰4椎体1度向前滑脱.伴椎小关节变性,腰5骶1椎间盘变性,腰椎骨质增生.腰椎退行性变.
作者: zhanglixian1985 时间: 2006-11-29 03:42
标题: 回复:ct5427:女,70岁,腰痛,清晰明了
以下是引用dyqct在2006-11-27 21:42:00的发言:[br]考虑:1、腰4假性前滑脱(1度,小关节退行性性骨关节病所致);[br] 2、腰5--骶1椎间盘退行性变。
作者: 守望可可 时间: 2006-11-30 15:44
标题: 回复:ct5427:女,70岁,腰痛,清晰明了
以下是引用zjzjr在2006-11-27 23:08:00的发言:[br]1、腰4椎体1度滑脱。2、腰椎及椎小关节退行性骨关节病。3、腰3-骶1椎间盘病变。
确实属于清晰、明了的病变,谢谢楼主!
作者: sdqzwyx 时间: 2006-11-30 16:40
1 腰4椎弓崩裂,腰4椎体向前ι度滑脱并椎小关节交锁,腰4/5小关节明显增生硬化,间隙内可见真空征。
2 腰椎间盘不同程度膨出,腰4/5、腰5/骶1椎间盘突出,腰4/5椎间隙变窄,腰5/骶1间盘变性(间隙内可见真空征)。
3 诸椎体缘不同程度骨质增生,腰5、骶1后骨刺明显,腰5椎体后上缘可能有软骨结节(由于没有平扫,不易确定)。
4 椎体前缘可见主动脉壁钙化。
诊断:腰椎退行性骨关节病。
作者: jinguoji 时间: 2006-11-30 17:02
1、腰4椎体1度滑脱。
2、腰椎及椎小关节退行性骨关节病。
3、腰3-骶1椎间盘病变。
作者: shibing 时间: 2015-6-30 09:22
考虑:1、腰4假性前滑脱(1度,小关节退行性性骨关节病所致);[br] 2、腰5--骶1椎间盘退行性变。
| 欢迎光临 医影在线 (http://bbs.radida.com/bbs/) |
Powered by Discuz! X3.2 |