医影在线
标题: CT5429:[讨论] [打印本页]
作者: anbo5502 时间: 2006-11-28 04:52
标题: CT5429:[讨论]
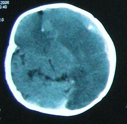
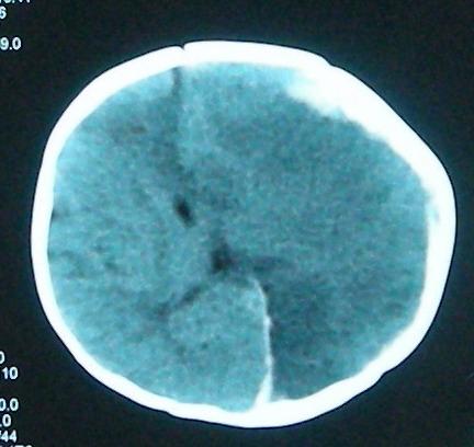
我院的病人,外院的ct。患儿四个月,女。发热3天伴抽搐3次。于11月23日入院。最高体温39.3度,脑膜刺激征(+),今日发现双眼斜视,双手抖动,左侧肌力亢进。患儿足月顺产,生后两个月母乳喂养,后改人工喂养至今。pt 15.9 ,aptt 33.6,fib 287, tt 14,二氧化碳结合力22mmol/l,c-反应蛋白 (-),电解质均正常。肝肾功能,出凝血时间正常。请高手找找出血的原因,可能的诊断。








[本贴已被 jiajie 于 2006-11-27 22:23:05 修改过]
作者: anbo5502 时间: 2006-11-28 04:56
标题: [求助]
帖子做的不好,最后一副应在第二层,请大家包涵。也请大家不要只报出血水肿,帮孩子找找病因吧,谢谢了。wbc10000,n30%,l70%,余均正常,脑脊液;无色透明无血凝块,潘氏试验(-)余均正常。我的第一印象迟发性vk1缺乏症合并病脑。但患儿只有二个月母乳喂养,出凝血时间及肝功能正常不支持。请大家讨论。[emb10]
[本贴已被 anbo5502 于 2006-11-28 11:06:40 修改过]
作者: qian 时间: 2006-11-28 05:11
左侧大脑半球和右侧额叶大片低密度影,脑沟及外侧裂池消失,左侧脑室闭合,考虑脑梗塞伴有水肿。
作者: 13081830109 时间: 2006-11-28 05:50
慢性硬膜下血肿
作者: dyqct 时间: 2006-11-28 05:50
考虑:1、左额颞顶慢性硬膜下血肿(可能为产伤所致);
2、蛛网膜下腔出血;
3、左侧大脑半球及右额叶脑肿胀、梗塞(缺血性脑梗塞为脑疝所致)。
病人预后会很差。
作者: only 时间: 2006-11-28 06:05
这例患者有意思。看了片子之后,给我的感觉无从下手。
困惑:1、单纯的脑栓塞,得多大的栓子,一侧不够,竟然两侧都有。2、既然梗塞了,又出血。
我想的可能诊断1、vtk缺乏?2、发烧39.3度,感染灶在哪里。肺吗?能是脓毒栓子?3、心脏怎么样,能有心内膜炎,栓子脱落?(以可能性的先后顺序,另外楼主给的化验,我看不明白)。
作者: 如醉卧风 时间: 2006-11-28 06:46
脑血管畸形并发缺氧性脑病及出血.
作者: zjzjr 时间: 2006-11-28 07:02
结合临床考虑1、脓毒栓子致左侧大脑半球及右侧额叶梗塞。2、左侧额颞顶部硬膜下血肿形成.3、镰下疝形成。
作者: yzh9939 时间: 2006-11-28 07:11
结合临床与影像表现可符合脑炎改变。
作者: 卜一 时间: 2006-11-28 12:43
左额颞顶慢性硬膜下血肿(可能为产伤所致);蛛网膜下腔出血,已明确,至于左侧大脑半球大片低密度影并脑组织肿胀,考虑:梗塞导致缺血缺氧性改变.至于梗塞原因随诊观察吧!
作者: 宝天曼 时间: 2006-11-28 15:01
结合临床与影像表现考虑脑炎合并蛛网膜下腔出血。
作者: 交流 时间: 2006-11-28 16:17
标题: 回复:ct5429:[讨论]
以下是引用宝天曼在2006-11-28 7:01:00的发言:[br]结合临床与影像表现考虑脑炎合并蛛网膜下腔出血。[br]
作者: chen123 时间: 2006-11-28 16:43
左侧硬膜下血肿,左侧大脑实质肿胀改变,患儿有发热病史,脑炎不除外.
作者: sdllxu 时间: 2006-11-28 17:21
标题: 回复:ct5429:[讨论]
以下是引用宝天曼在2006-11-28 7:01:00的发言:[br]结合临床与影像表现考虑脑炎合并蛛网膜下腔出血。[br]
作者: hhcckk 时间: 2006-11-28 17:49
小孩颅内出血常见的原因有
1外伤
2vk缺乏
3血友病
3肿瘤
4血管畸形
4高血压
5动脉炎
6原因不明的
病人出凝血时间正常,有发热,我考虑可能是动脉炎引起的
作者: zws38 时间: 2006-11-28 17:58
有个问题dyqct老师,如果是脑梗 ,出生有四个月了,还表现这样的密度,不理解,另外硬外血肿如果是产伤引起,这么久了,也应该吸收了,或是患儿根本不可能平安喂到这么久!个人还是认为有没有可能是迟发k
作者: zh-gq 时间: 2006-11-28 18:45
不知道 对儿科没研究,不过高热应该 考虑炎症,可 还有出血和水肿呀,怎么解释?我看还是一个全身疾病所致,维k缺乏还是有可能的
作者: anbo5502 时间: 2006-11-28 18:54
忘了告诉大家血常规检查,wbc1万,n30%,l70%,我的第一印象是迟发性vk1缺乏症,但是患儿只有二个月母乳喂养,出凝血时间正常,肝功也正常。另发烧而中性不高,有没有病脑的可能?请大家继续讨论。
作者: zh-gq 时间: 2006-11-28 18:56
可是出凝血时 正常又怎么解释呢
作者: zh-gq 时间: 2006-11-28 18:59
呵呵 帖子发慢了 被分开了
作者: zyx168 时间: 2006-11-28 19:00
标题: 回复:ct5429:[讨论]
[quote]以下是引用dyqct在2006-11-27 21:50:00的发言:[br]考虑:1、左额颞顶慢性硬膜下血肿(可能为产伤所致);[br] 2、蛛网膜下腔出血;[br] 3、左侧大脑半球及右额叶脑肿胀、梗塞(缺血性脑梗塞为脑疝所致)。[br]病人预后会很差。[/quo
支持
作者: 守望可可 时间: 2006-11-28 19:25
标题: 回复:ct5429:[讨论]

硬膜下出血、蛛网膜下腔出血(至于病因,可能与外伤有关,慢性出血的可能性比较大。但应该不是产伤所致?)--上矢状窦内血凝块 --静脉回流不畅或受阻--进而形成左侧大面积水肿和梗塞。临床有高热,感染所致 脓栓栓塞血管不排除,但它不好解释为什么会有硬膜下出血。
一点儿浅见,请老师们别见笑。渴盼老师们更多的精彩评论!
作者: sunhuimiao 时间: 2006-11-29 01:35
晚发维生素k缺乏引起
作者: zhanglixian1985 时间: 2006-11-29 03:36
标题: 回复:ct5429:[讨论]
以下是引用dyqct在2006-11-27 21:50:00的发言:[br]考虑:1、左额颞顶慢性硬膜下血肿(可能为产伤所致);[br] 2、蛛网膜下腔出血;[br] 3、左侧大脑半球及右额叶脑肿胀、梗塞(缺血性脑梗塞为脑疝所致)。[br]病人预后会很差。
作者: zwx 时间: 2006-11-29 03:50
支持晚发维生素k缺乏引起
作者: 拾荒者 时间: 2006-11-29 03:59
左侧大脑半球和右侧额叶大片低密度影,脑沟及外侧裂池消失,左侧脑室闭塞,左侧蛛网膜下腔片絮状高密度影,结合病儿高热、脑膜刺激征(+),考虑:炎脑,脑水肿,左侧蛛网膜下腔出血。至于出血原因,应该为高热所致维生素c需要量增加,而补给不足所致维生素c缺乏,抑或是使用抗惊厥药影响维生素k代谢,使凝血发生障碍而出血。当然,一切都是猜测,需要临床进一步检查验证。
作者: ssmmxx 时间: 2006-11-29 04:38
[quote]以下是引用dyqct在2006-11-27 21:50:00的发言:
考虑:1、左额颞顶慢性硬膜下血肿(可能为产伤所致);
2、蛛网膜下腔出血;
3、左侧大脑半球及右额叶脑肿胀、梗塞(缺血性脑梗塞为脑疝所致)。
病人预后会很差。[/quo
支持
作者: 余辉 时间: 2006-11-29 04:49
1两侧都有低密度,增强看一下,看有没有硬膜静脉窦的梗阻2出血嘛,血管内代谢物质的积累可导致血管脆性增加,导致脑表面血管破裂,从而可以引起出血
作者: 同 时间: 2006-11-29 05:06
标题: 回复:ct5429:[讨论]
以下是引用守望可可西里在2006-11-28 11:25:00的发言:[br]
[br][br] 硬膜下出血、蛛网膜下腔出血(至于病因,可能与外伤有关,慢性出血的可能性比较大。但应该不是产伤所致?)--上矢状窦内血凝块 --静脉回流不畅或受阻--进而形成左侧大面积水肿和梗塞。临床有高热,感染所致 脓栓栓塞血管不排除,但它不好解释为什么会有硬膜下出血。[br] 一点儿浅见,请老师们别见笑。渴盼老师们更多的精彩评论![br]
作者: jinguoji 时间: 2006-11-30 17:48
1、左额颞顶慢性硬膜下血肿;
2、蛛网膜下腔出血;
3、左侧大脑半球及右额叶脑肿胀、梗塞(缺血性脑梗塞为脑疝所致)。
作者: shibing 时间: 2015-6-30 09:22
左额颞顶慢性硬膜下血肿(可能为产伤所致);蛛网膜下腔出血,已明确,至于左侧大脑半球大片低密度影并脑组织肿胀,考虑:梗塞导致缺血缺氧性改变.至于梗塞原因随诊观察吧!
| 欢迎光临 医影在线 (http://bbs.radida.com/bbs/) |
Powered by Discuz! X3.2 |