医影在线
标题: CT5430:[求助]帮忙看看 [打印本页]
作者: wmsyy 时间: 2006-11-28 05:38
标题: CT5430:[求助]帮忙看看
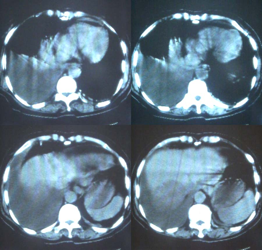
这是一个75岁女性患者,右下腹痛。胸透示,右下肺可见大片状高密度影,右侧胸腔积液。请各位老师帮忙看看腹腔都有什么病变,谢谢!





[本贴已被 jiajie 于 2006-11-27 22:23:17 修改过]
作者: only 时间: 2006-11-28 05:47
右侧中心型肺癌伴大量胸腔积液、肝转移、右肾上腺转移。
作者: wmsyy 时间: 2006-11-28 05:53
腹膜后有淋巴结肿大吗?肝脏是转移瘤吗?
作者: dyqct 时间: 2006-11-28 05:55
考虑:1、肝、右侧肾上腺转移瘤;
2、右侧大量胸腔积液伴下叶肺不张;
3、建议进一步检查胸部找原发灶。
作者: suncl 时间: 2006-11-28 06:31
标题: 回复:ct5430:[求助]帮忙看看
胸腔积液、肝转移、右肾上腺转移。[/quote]


作者: 梁彬彬 时间: 2006-11-28 06:54
肝及右侧肾上腺恶性肿瘤的诊断应该没问题,到底是肝转移到胸腔积液还是胸部肿瘤转移到肝,我应为在平常中肝转移到胸比较多见些,肝不是胸部肺癌转移的首见部位.肺的转移以脑部.骨为常见.
作者: wmsyy 时间: 2006-11-28 06:55
谢谢各位老师!
作者: lnhsdm 时间: 2006-11-28 06:55
考虑:1、肝脏、右侧肾上腺转移
2、右侧大量胸腔积液伴下叶肺不张,待除外右肺癌
3、建议进一步检查胸部 明确诊断
作者: 卜一 时间: 2006-11-28 12:46
考虑:1、肝脏、右侧肾上腺转移
2、右侧大量胸腔积液伴下叶肺不张,待除外右肺癌
3、建议进一步检查胸部 明确诊断
标准
作者: 宝天曼 时间: 2006-11-28 14:57
1右侧中心型肺癌伴大量胸腔积液、
2肝转移.
3右肾上腺转移。
作者: 守望可可 时间: 2006-11-28 15:57
标题: 回复:ct5430:[求助]帮忙看看
以下是引用梁彬彬在2006-11-27 22:54:00的发言:[br]肝及右侧肾上腺恶性肿瘤的诊断应该没问题,到底是肝转移到胸腔积液还是胸部肿瘤转移到肝,我应为在平常中肝转移到胸比较多见些,肝不是胸部肺癌转移的首见部位.肺的转移以脑部.骨为常见.
有理!
首先,我们没有看见胸部大片状影究竟是什么性质,更不可以贸然断定就是肺癌转移至肝脏。
其次,正如梁彬彬老师所言,肺癌的首要转移路径并不是肝。
再者,肝的转移灶一般显示为多发性大小不等的低密度肿瘤结节,也可为单发结节。多在低密度病变内存在更低密度区域,从而显示为同心圆状或等高线状双重轮廓--即牛眼为其特征。本例肝右叶后段的大块状病灶无论形态、密度均不具备转移灶的特点。
倒是反过来推断合理一些,即:肝右叶后段原发性肝癌肝内转移,直接侵犯右膈肌以及胸膜引起大量胸腔积液更为妥当。同理,右肾上腺以及右下肺的病灶均为直接蔓延侵犯。
作者: 交流 时间: 2006-11-28 16:09
各位老师见笑 请问右侧肾上腺为啥考虑为转移灶?
作者: jone-baby 时间: 2006-11-28 17:40
考虑:1、肝脏、右侧肾上腺转移
2、右侧大量胸腔积液伴下叶肺不张,待除外右肺癌
3、建议进一步检查胸部 明确诊断
作者: zh-gq 时间: 2006-11-28 18:33
可可西里 说的很有道理
作者: zyx168 时间: 2006-11-28 19:13
标题: 回复:ct5430:[求助]帮忙看看
以下是引用卜一在2006-11-28 4:46:00的发言:[br][br] 考虑:1、肝脏、右侧肾上腺转移[br] 2、右侧大量胸腔积液伴下叶肺不张,待除外右肺癌[br] 3、建议进一步检查胸部 明确诊断 [br] [br]标准
支持
作者: only 时间: 2006-11-28 22:52
标题: 回复:ct5430:[求助]帮忙看看
今天无聊,上来看看有没有什么新病历。正好看到有的战友提出原发灶的问题?我这里只根据个人观点胡说两句,也是为了大家共同学习。没有其他意思。
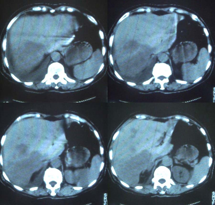
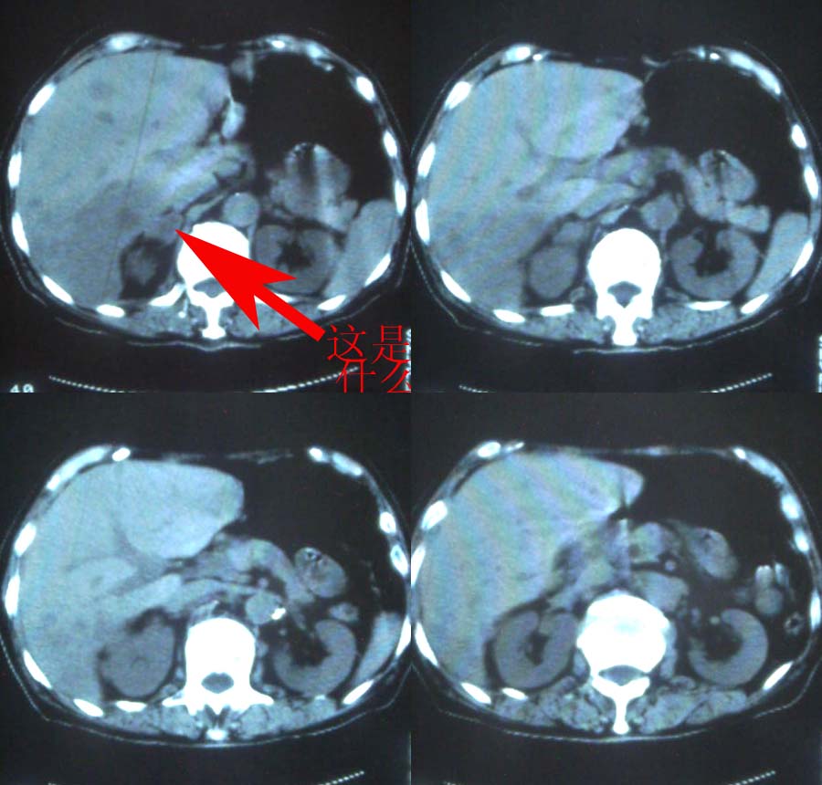
1、分析:(1)女性75岁;(2)单侧大量胸腔积液;(3)右侧肺门区团块影,单纯的压迫性肺不张?肿块?;(4)肝脏内多发结节影,大小不等,多结节型肝癌?肝癌并肝脏内转移?(5)肝脏内结节病灶中心有更低密度区;(6)右侧肾上腺不规则软组织灶;(7)肝脏各叶比例正常,脾脏不大。
2、诊断:肺癌肝脏、肾上腺转移并右侧胸腔积液。应该没问题吧?
关于牛眼征我记得好象是血液供应不上而坏死吧?其并不是肝转移瘤专利。
看看下面是不是牛眼征:

作者: chmb 时间: 2006-11-28 23:45
肝脏和肾上腺转移瘤的诊断没问题,是不是肺癌转移很难说,没看见明确的肿块,胸部的片子太少了。
作者: ygdygd123a 时间: 2006-11-28 23:58
胆囊在哪?
作者: 皎皎白驹 时间: 2006-11-29 00:22
右下叶肝脏及右肾上腺占位,右侧大量胸腔积液伴下叶肺不张,原发部位病灶不能定。也许肝右叶为原发,也未一定。
作者: zhanglixian1985 时间: 2006-11-29 03:35
支持5楼
作者: 拾荒者 时间: 2006-11-29 04:15
标题: 回复:ct5430:[求助]帮忙看看
以下是引用守望可可西里在2006-11-28 7:57:00的发言:[br][quote]以下是引用梁彬彬在2006-11-27 22:54:00的发言:[br]肝及右侧肾上腺恶性肿瘤的诊断应该没问题,到底是肝转移到胸腔积液还是胸部肿瘤转移到肝,我应为在平常中肝转移到胸比较多见些,肝不是胸部肺癌转移的首见部位.肺的转移以脑部.骨为常见.
[br][br] 有理![br] 首先,我们没有看见胸部大片状影究竟是什么性质,更不可以贸然断定就是肺癌转移至肝脏。[br] 其次,正如梁彬彬老师所言,肺癌的首要转移路径并不是肝。[br] 再者,肝的转移灶一般显示为多发性大小不等的低密度肿瘤结节,也可为单发结节。多在低密度病变内存在更低密度区域,从而显示为同心圆状或等高线状双重轮廓--即牛眼为其特征。本例肝右叶后段的大块状病灶无论形态、密度均不具备转移灶的特点。[br] 倒是反过来推断合理一些,即:肝右叶后段原发性肝癌肝内转移,直接侵犯右膈肌以及胸膜引起大量胸腔积液更为妥当。同理,右肾上腺以及右下肺的病灶均为直接蔓延侵犯。[br][/quote]
作者: 余辉 时间: 2006-11-29 04:41
右肾上腺转移瘤
作者: 光线 时间: 2006-11-29 05:00
支持各位。这种质量片子大家都看到这么认真.
作者: sdw662 时间: 2006-11-29 15:39
支持守望可可西里.
作者: jinguoji 时间: 2006-11-30 17:34
1、肝、右侧肾上腺转移瘤.
2、右侧大量胸腔积液伴下叶肺不张,待除外右肺癌.
作者: shibing 时间: 2015-6-30 09:21
1右侧中心型肺癌伴大量胸腔积液、
2肝转移.
3右肾上腺转移。
| 欢迎光临 医影在线 (http://bbs.radida.com/bbs/) |
Powered by Discuz! X3.2 |