医影在线
标题: CT5432:上腹隐痛、饱胀、消瘦2-月(尾状叶肝癌)。 [打印本页]
作者: rsyby 时间: 2006-11-28 22:38
标题: CT5432:上腹隐痛、饱胀、消瘦2-月(尾状叶肝癌)。
男,57岁。
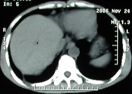
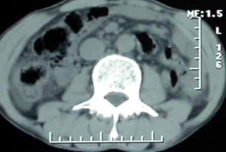
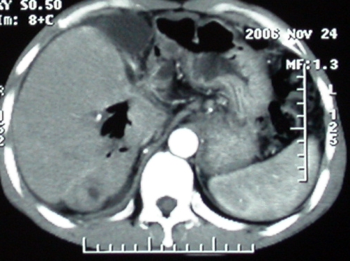
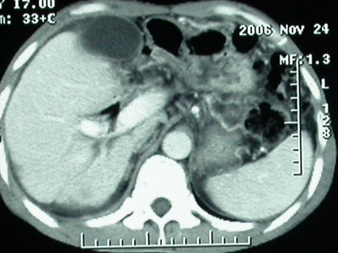
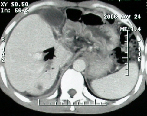
平扫






















[本贴已被 rsyby 于 2006-11-28 17:18:25 修改过]
[本贴已被 jiajie 于 2006-11-28 20:10:44 修改过]
[本贴已被 rsyby 于 2006-12-5 18:59:33 修改过]
作者: rsyby 时间: 2006-11-28 22:41
标题: 上腹隐痛、饱胀、消瘦2-月。
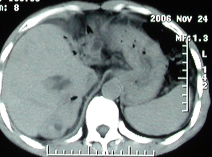
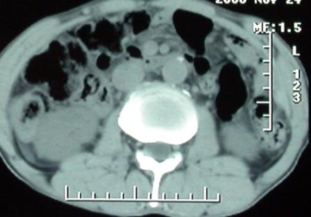
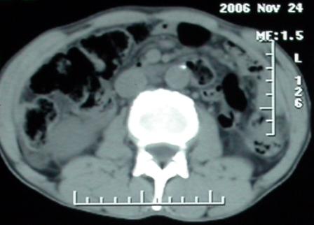
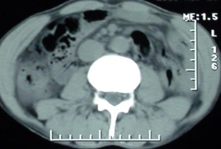
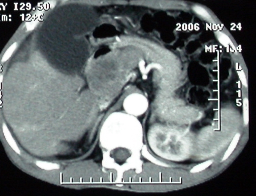
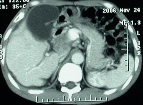
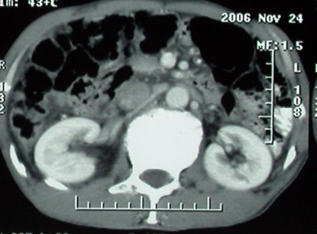
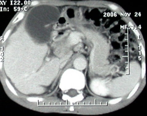
增强ct所见【动脉增强期】




















[本贴已被 rsyby 于 2006-11-28 17:26:42 修改过]
作者: rsyby 时间: 2006-11-28 22:53
标题: 上腹隐痛、饱胀、消瘦2-月。
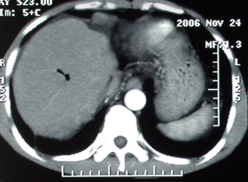
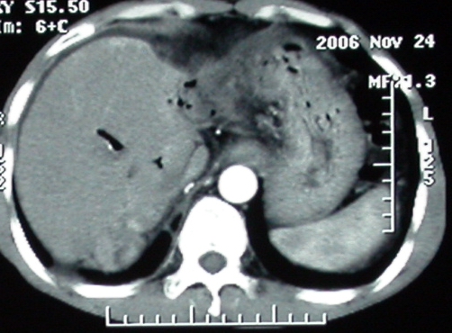
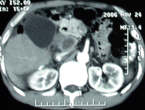
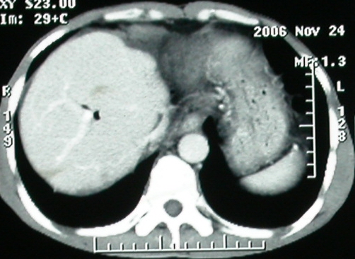
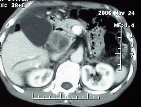
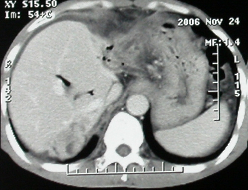
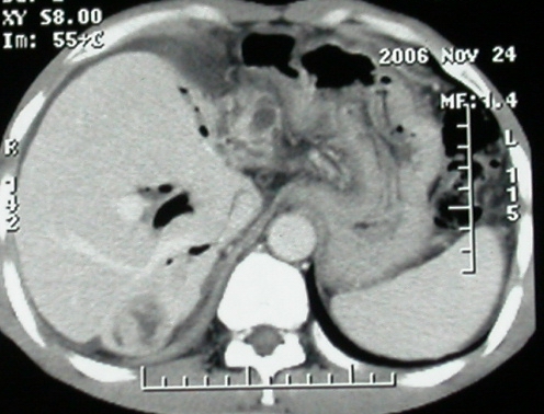
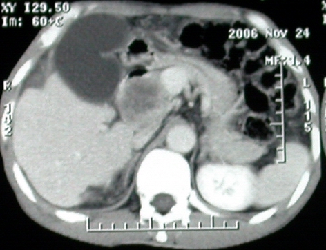
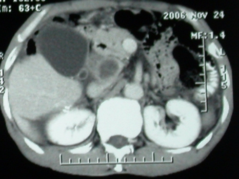
增强ct所见






















[本贴已被 rsyby 于 2006-11-28 17:34:27 修改过]
作者: rsyby 时间: 2006-11-28 23:05
标题: 上腹隐痛、饱胀、消瘦2-月。
















谢谢诸位!ct片已经更新。补充临床资料如下:
【病例摘要】男,57岁,农民。因反复上腹部隐痛不适、消瘦2-月就诊。2006年10月初自觉剑突下隐痛不适,放射至背心,早餐和午餐进食正常,晚餐进食后上腹饱胀,夜间卧位症状加重,无厌油,无畏寒发热,无眼黄尿黄,无呕吐腹泻,无黑大便,上述症状反复发作,体重逐渐减轻(体重下降约10kg)。2006年11月22日在卫生院做胃镜检查提示“食道前壁静脉曲张”,超声检查提示“肝脏占位”,2006年11月25日在当地县人民医院ct检查提示“右肝后叶上段占位、左肝萎缩、胆囊肿大、(肝门部?)占位”,超声检查提示“胆囊肿大、胆囊内无结石,(肝门部?)占位、其内有血流信号、似有包膜,下腔静脉受压、门静脉增粗(直径1.9cm)、右肝右叶上段占位、左半肝萎缩、肝内外胆管未见明显扩张、脾脏不大,肠间有少量腹水。”其他辅助检查血常规hb130g/l plt 13万 wbc 14000;肝功能ggt akp显著升高,alt ast轻度升高,胆红素正常,alb 36g/l a/g=1;乙肝两对半表面抗体阳性余阴性。
既往史:自述年轻时常有腹痛症状;20岁左右患“急性黄疸型肝炎”;8年前患肺结核,治愈。
[本贴已被 rsyby 于 2006-11-28 17:47:35 修改过]
[本贴已被 rsyby 于 2006-11-28 17:52:38 修改过]
作者: dyqct 时间: 2006-11-28 23:37
为什么没有门脉期和平衡期?是不是有意不给呀!
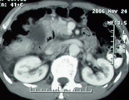
门脉主干及肠系膜上静脉近端明显增粗,尤其前者呈等低混杂密度,增强后周围见轻度环形强化。明显占位效应。肝内外胆管见大量气体影。胆囊明显增大。
考虑:1、门脉栓塞; 2、肝内外胆管积气。
门脉栓塞可由肿瘤、感染、肝硬化、外伤、血高凝状态或肝静脉阻塞引起。
作者: yzh9939 时间: 2006-11-28 23:59
标题: 回复:上腹隐痛、饱胀、消瘦2-月。
定位:占位位于胰头钩突。十二指肠等周边结构受推移。


定性:肿瘤中部不规则坏死,实质部分轻度强化,考虑胰头癌可能性大。
肝七段病变考虑为转移灶,肝胃韧带淋巴结转移。
胆囊增大,边缘模糊,胆囊炎可考虑。胆总管及部分肝内胆管充气,考虑胆管炎。
作者: 卜一 时间: 2006-11-29 00:17
十二指肠壶腹部 胰头混合性恶性肿瘤.并周边侵润.胆管及胆囊扩张.
作者: only 时间: 2006-11-29 00:23
标题: 回复:上腹隐痛、饱胀、消瘦2-月。
又一个没看明白的片子,患者年龄?估计有40岁?
影像表现:胆囊扩张、肝内胆管不扩张,且见肝脏内树枝样气体影;十二指肠后方等密度占位,中心有不规则囊变区。增强实质部分轻度强化。下部腔静脉未强化------有栓子吗?
2、诊断:腹膜后恶性占位恶性纤维组织细胞瘤、纤维肉瘤并腔静脉癌栓;化脓性胆管炎(患者发烧吗?)。
说实在的,我诊断的那两个病,我根本没看见过。开始的时候,我还合计是神经源性肿瘤---神经鞘瘤呢。可是有腔静脉不强化,患者消瘦解释不了呀。肝内气体影怎么来的,是肿块造成不全梗阻后感染吗?还是肠道气体?

作者: 尚峰 时间: 2006-11-29 00:25
片子不全,肝内有问题,门脉应该是癌栓。
作者: 守望可可 时间: 2006-11-29 00:34
标题: 回复:上腹隐痛、饱胀、消瘦2-月。

作者: rsyby 时间: 2006-11-29 01:46
标题: 上腹隐痛、饱胀、消瘦2-月。
谢谢诸位!ct片已经更新。补充临床资料如下:
【病例摘要】男,57岁,农民。因反复上腹部隐痛不适、消瘦2-月就诊。2006年10月初自觉剑突下隐痛不适,放射至背心,早餐和午餐进食正常,晚餐进食后上腹饱胀,夜间卧位症状加重,无厌油,无畏寒发热,无眼黄尿黄,无呕吐腹泻,无黑大便,上述症状反复发作,体重逐渐减轻(体重下降约10kg)。2006年11月22日在卫生院做胃镜检查提示“食道前壁静脉曲张”,超声检查提示“肝脏占位”,2006年11月25日在当地县人民医院ct检查提示“右肝后叶上段占位、左肝萎缩、胆囊肿大、(肝门部?)占位”,超声检查提示“胆囊肿大、胆囊内无结石,(肝门部?)占位、其内有血流信号、似有包膜,下腔静脉受压、门静脉增粗(直径1.9cm)、右肝右叶上段占位、左半肝萎缩、肝内外胆管未见明显扩张、脾脏不大,肠间有少量腹水。”其他辅助检查血常规hb130g/l plt 13万 wbc 14000;肝功能ggt akp显著升高,alt ast轻度升高,胆红素正常,alb 36g/l a/g=1;乙肝两对半表面抗体阳性余阴性。
既往史:自述年轻时常有腹痛症状;20岁左右患“急性黄疸型肝炎”;8年前患肺结核,治愈。
[本贴已被 rsyby 于 2006-11-28 17:53:20 修改过]
作者: only 时间: 2006-11-29 01:54
楼主,把窗宽打小点,我怎么看腹腔好象有渗出呢?在机器上好好看看?不知道怎么了,最近看片子总是好象有人在追我似的。总觉得看的不够细。
作者: LWZ 时间: 2006-11-29 03:06
1
布-加综合症,门腔异常循环。肝硬化。
2
胆系感染,积气,胆汁排泄障碍。
3
门腔间隙占位,恶性?
作者: rsyby 时间: 2006-11-29 03:36
标题: 上腹隐痛、饱胀、消瘦2-月。
结合病史、复习ct,看法如下:
1、胰头部占位:胰管轻度扩张(可疑双管征),主要考虑恶性肿瘤,胰头癌?十二指肠间质瘤?后腹膜肿瘤?
2、门静脉高压症,主要考虑胰头部肿块压迫或者浸润所致肝前性门静脉主干受压;肝功能尚可,脾脏不大,无脾亢;
3、胆囊积液、肝胆管积气、胆道扩张伴有胆道感染;
4、右肝后上段占位(考虑肝胆管结石伴肝组织萎缩?)
5、下腔静脉受压;
6、左半肝缺失,原因不明?
7、有无门静脉癌栓?
8、有无淋巴结肿大?

[本贴已被 rsyby 于 2006-11-28 19:44:11 修改过]
作者: 皎皎白驹 时间: 2006-11-29 03:38
ct表现:1,胰腺钩突后方肿块,不均强化,中心密度低,钩突及门静脉前移。2:肝右后叶不均强化灶,突出肝表面,3:胆囊明显增大,肝内胆管及肝总管内积气。4:腹腔内少量积液。
考虑:1:胆囊炎,胆管炎。2:肝癌合并腹腔内转移灶,腹水。
作者: wangzhanshuang 时间: 2006-11-29 03:41
门脉癌栓
血栓不应该有强化
作者: chen123 时间: 2006-11-29 03:46
多考虑十二指肠降段占位,引起的胆管功能紊乱,梗阻,肝右叶后上段病灶有乙肝病史hcc不除外,门静脉癌栓不支持,后面几幅门脉充盈良好.
作者: 宝天曼 时间: 2006-11-29 03:53
十二指肠壶腹部 胰头混合性恶性肿瘤.并周边侵润.胆管及胆囊扩张合并感染
作者: 余辉 时间: 2006-11-29 04:39
胆囊扩张、肝内胆管不扩张,且见肝脏内气体影;十二指肠后方等密度占位,中心有不规则囊变区。增强实质部分强化。下部腔静脉未强化------有栓子吗?
2、诊断:1肝内外胆管积气2神经源性肿瘤?腹膜后其它肿瘤
作者: 拾荒者 时间: 2006-11-29 04:48
一遇大片我就看迷糊了,各位说得都有些道理,但又都不能解释得令人信服。期待最终结果。
作者: 同 时间: 2006-11-29 04:55
标题: 回复:ct5432:上腹隐痛、饱胀、消瘦2-月。
以下是引用yzh9939在2006-11-28 15:59:00的发言:[br]定位:占位位于胰头钩突。十二指肠等周边结构受推移。[br]
[br]
[br]定性:肿瘤中部不规则坏死,实质部分轻度强化,考虑胰头癌可能性大。[br]肝七段病变考虑为转移灶,肝胃韧带淋巴结转移。[br][br]胆囊增大,边缘模糊,胆囊炎可考虑。胆总管及部分肝内胆管充气,考虑胆管炎。
作者: ssmmxx 时间: 2006-11-29 05:03
1.十二指肠壶腹部 胰头混合性恶性肿瘤2.十二指肠间质瘤
作者: tsxhfsk 时间: 2006-11-29 05:25
十二指肠壶腹部,胰头后恶性间质肿瘤.并周边侵润.胆管及胆囊扩张合并感染
作者: 西北狼 时间: 2006-11-29 05:28
楼上分析的很好,支持你的观点.
作者: 如醉卧风 时间: 2006-11-29 06:07
有点晕,如果是胰头癌那胰管没有扩张,肾门以下腔静脉没有显影.肿块纵行与腔静脉关系密切,能否考虑后腹膜肿瘤?
作者: jiazh 时间: 2006-11-29 06:29
标题: 回复:ct5432:上腹隐痛、饱胀、消瘦2-月。
胰头后方肿块,周边强化,胰头受压推移,肝脏右后叶异常强化灶,首先考虑肝癌后腹膜淋巴结转移;2、肝内胆管积气。
作者: fengsx 时间: 2006-11-29 09:04
定位:占位位于十二指肠,周边结构受推移。恶性可能.胆囊增大,边缘模糊,胆囊炎可考虑。胆总管及部分肝内胆管充气,考虑胆管炎。
作者: lizhjie 时间: 2006-11-29 13:46
标题: 回复:ct5432:上腹隐痛、饱胀、消瘦2-月。
以下是引用jiazh在2006-11-28 22:29:00的发言:[br]胰头后方肿块,周边强化,胰头受压推移,肝脏右后叶异常强化灶,首先考虑肝癌后腹膜淋巴结转移;2、肝内胆管积气。
作者: sdw662 时间: 2006-11-29 16:09
十二指肠壶腹部,胰头后恶性间质肿瘤.并周边侵润.胆管及胆囊扩张合并感染
作者: 皎皎白驹 时间: 2006-11-29 17:19
第 16 楼
栓
门脉癌
作者: chmb 时间: 2006-11-29 17:20
十二指肠恶性间质瘤可能性大,侵润壶腹,所以胆总管、肝总管内有气体影。肝内病灶考虑转移瘤,性质与十二指肠的一样,中心囊变坏死,周围实质部分强化。
作者: rsyby 时间: 2006-11-30 01:51
补充一点重要资料:今日查afp大于正常值10倍以上。因此,本病例最大可能应该是肝癌。
作者: rsyby 时间: 2006-12-6 02:51
手术结果:
肝脏尾状叶肝癌(沿肝十二指肠韧带向下韧带内生长,门腔间隙外压增大),大结节性肝硬化,胆囊积脓,胆道感染。术中见肝外胆道2cm直径,肿瘤向前压迫胆管至扁平状态。
作者: shibing 时间: 2015-6-30 09:21
十二指肠壶腹部 胰头混合性恶性肿瘤.并周边侵润.胆管及胆囊扩张.
| 欢迎光临 医影在线 (http://bbs.radida.com/bbs/) |
Powered by Discuz! X3.2 |