

















































以下是引用lpc0ct在2006-11-28 16:12:00的发言:[br]大家图文并貌分析的太全面了,没有可说的,同意 [br] 右肺上叶中心型肺癌伴肺门、纵隔淋巴结转移.[br]
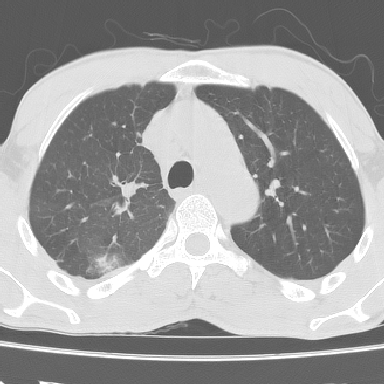
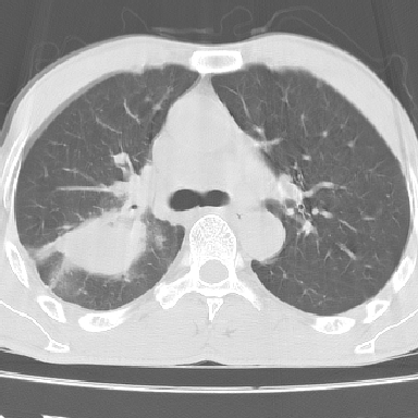
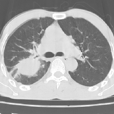
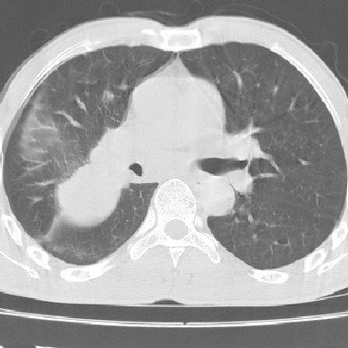
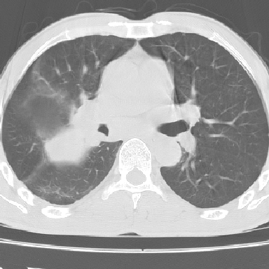
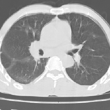
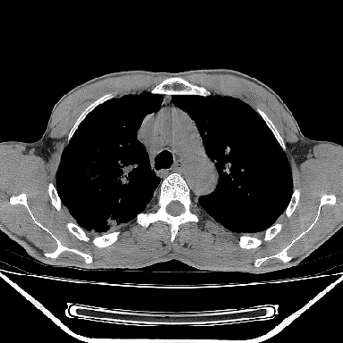
以下是引用dyqct在2006-11-28 16:00:00的发言:[br]右肺上叶中心型肺癌伴肺门、纵隔淋巴结转移。[br][br]
[br]
[br][br][br]
[本贴已被 dyqct 于 2006-11-28 16:01:49 修改过]

| 欢迎光临 医影在线 (http://bbs.radida.com/bbs/) | Powered by Discuz! X3.2 |