





























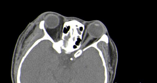
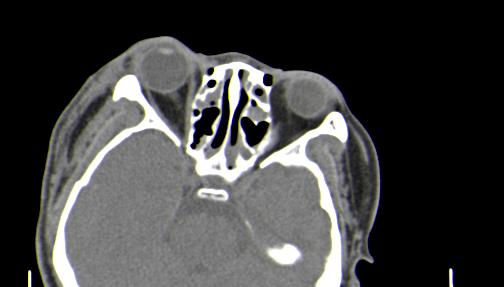
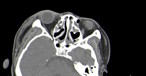
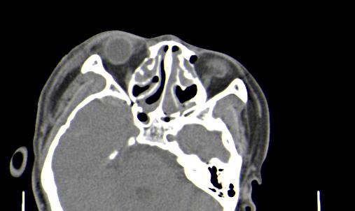
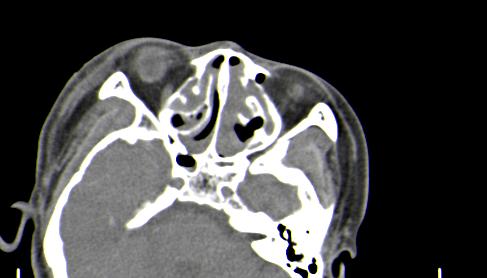
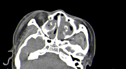
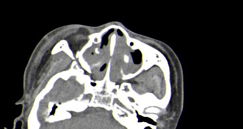
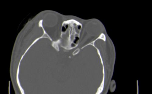
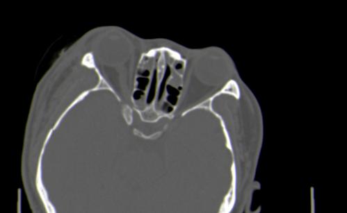
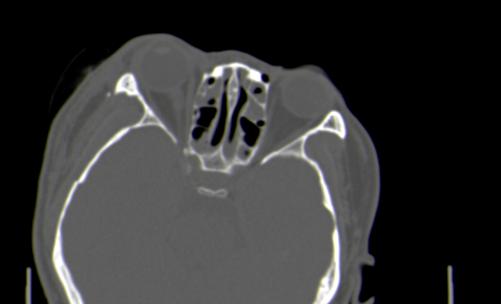
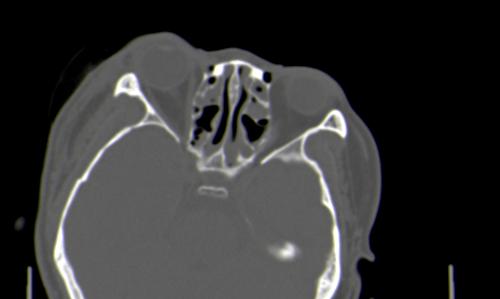
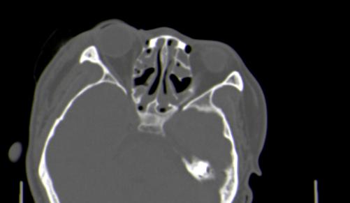
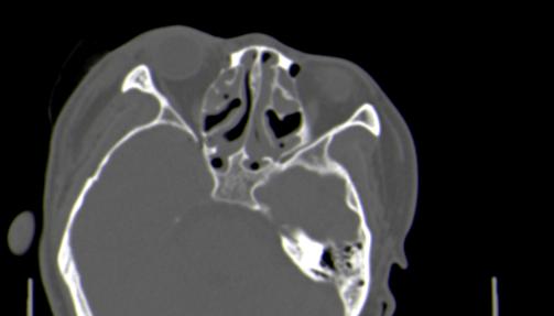
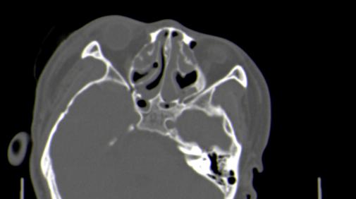
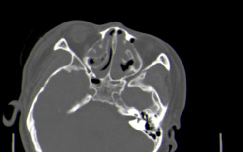
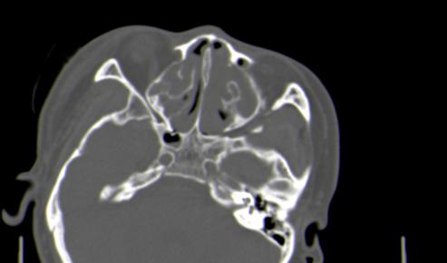
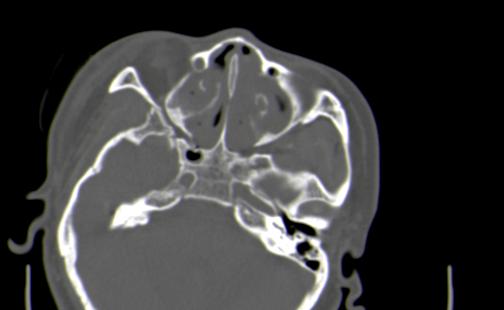
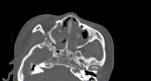
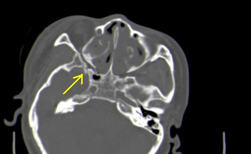
以下是引用皎皎白驹在2006-11-29 8:48:00的发言:[br]影像表现:双侧筛窦和上颌窦、鼻腔内均密度增高,右侧视神经增粗、弯曲,左筛窦顶部筛板及右侧纸板近视神经孔区可见骨折线。[br]结合临床表现考虑:右侧筛窦纸板近视神经孔区骨折致右侧视神经损伤。最好做个眼眶冠状扫描,更明确右侧视神经管是否狭窄。


以下是引用w_jianhua在2006-11-29 10:07:00的发言:[br]影像表现:双侧筛窦和上颌窦、鼻腔内均密度增高,右侧视神经增粗、弯曲,左筛窦顶部筛板及右侧纸板近视神经孔区可见骨折线。[br]结合临床表现考虑:右侧筛窦纸板近视神经孔区骨折致右侧视神经损伤。最好做个眼眶冠状扫描,更明确右侧视神经管是否狭窄。 [br] [br]支持[br]
以下是引用守望可可西里在2006-11-29 9:46:00的发言:[br][quote]以下是引用皎皎白驹在2006-11-29 8:48:00的发言:[br]影像表现:双侧筛窦和上颌窦、鼻腔内均密度增高,右侧视神经增粗、弯曲,左筛窦顶部筛板及右侧纸板近视神经孔区可见骨折线。[br]结合临床表现考虑:右侧筛窦纸板近视神经孔区骨折致右侧视神经损伤。最好做个眼眶冠状扫描,更明确右侧视神经管是否狭窄。
[br]
[br][/quote]| 欢迎光临 医影在线 (http://bbs.radida.com/bbs/) | Powered by Discuz! X3.2 |