医影在线
标题: CT5439:颅内囊性病变,请大家讨论 [打印本页]
作者: hhcckk 时间: 2006-11-29 16:27
标题: CT5439:颅内囊性病变,请大家讨论
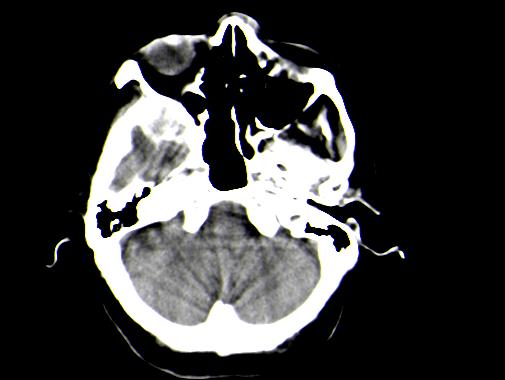
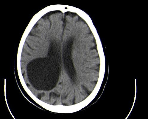
患者男性,67岁,头晕摔倒后来医院就诊,患者诉平时体健,否认有颅内病变史












[本贴已被 jiajie 于 2006-11-29 10:03:56 修改过]
作者: ysxyy 时间: 2006-11-29 17:31
定位:右侧脑室三角区扩大,呈球形,侧脑室颞角扩大,右侧脑室内占位:
定性:蛛网膜囊肿可能性大;
脑萎缩;
作者: w_jianhua 时间: 2006-11-29 17:51
标题: [原创]
1.室管膜囊肿,建议必要时mri,2。双基多发腔梗3.老年性脑萎缩
[本贴已被 w_jianhua 于 2006-11-29 10:01:55 修改过]
作者: dyqct 时间: 2006-11-29 18:02
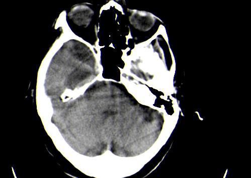
定位:右侧脑室三角区扩大,呈球形,侧脑室颞角扩大。
考虑:1、右侧侧脑室三角区室管膜囊肿?皮样囊肿?
2、脑萎缩。
作者: 郭凯 时间: 2006-11-29 18:19
标题: 回复:ct5439:颅内囊性病变,请大家讨论
定位:右侧脑室三角区扩大,呈球形,侧脑室颞角扩大。考虑:1、右侧侧脑室三角区室管膜囊肿?皮样囊肿? 2、脑萎缩。
作者: zjzjr 时间: 2006-11-29 18:20
1.室管膜囊肿,建议必要时mri.2脑萎缩
作者: 守望可可 时间: 2006-11-29 18:49
考虑:神经上皮囊肿(侧脑室三角区,右侧)
神经上皮囊肿为先天性疾病,可发生在脉络丛、脑室内、脉络膜裂,少数位于脑质内,侧脑室三角区最为常见。按发生部位和囊壁的细胞学类型可有不同的命名。位于脉络丛者为脉络丛囊肿,常两侧同时发生。脑室内者为室管膜囊肿,多位于侧脑室三角区。脉络膜裂囊肿可以是神经上皮囊肿,也可以是蛛网膜囊肿。 囊肿呈脑脊液样低密度,边界清楚整齐。患者多无症状,有症状者多为头痛、癫痫发作。囊壁很薄,ct一般不能显示,囊壁无钙化。囊肿可有占位效应,表现为相应部位的脑室或脉络膜裂较对侧扩大,脑实质受压,一般不引起脑水肿。增强:囊肿及囊壁均无强化。
与蛛网膜囊肿的鉴别:蛛网膜囊肿好发于中颅窝、鞍上、半球、后颅窝、侧裂,脑室内少见,临床表现和影像学与神经上皮囊肿无明显差别。主要靠发病部位鉴别。
作者: zyx168 时间: 2006-11-29 19:29
标题: 回复:ct5439:颅内囊性病变,请大家讨论
以下是引用dyqct在2006-11-29 10:02:00的发言:[br]定位:右侧脑室三角区扩大,呈球形,侧脑室颞角扩大。[br]考虑:1、右侧侧脑室三角区室管膜囊肿?皮样囊肿?[br] 2、脑萎缩。
支持
作者: lushijun 时间: 2006-11-29 19:47
支持7楼意见
作者: wangzhongliang 时间: 2006-11-29 20:00
1、右侧侧脑室三角区室管膜囊肿?皮样囊肿?
2、脑萎缩。
作者: haha215315 时间: 2006-11-29 20:09
1、右侧侧脑室三角区室管膜囊肿?皮样囊肿?2、脑萎缩。
作者: liuxin007 时间: 2006-11-29 20:11
想不出新的意见,只是建议做核磁,还有病灶的ct值是多少?
作者: jinguoji 时间: 2006-11-29 21:37
定位:右侧脑室三角区扩大,呈球形,侧脑室颞角扩大。
考虑:1、右侧侧脑室三角区室管膜囊肿。
2、脑萎缩。
作者: 13081830109 时间: 2006-11-29 22:24
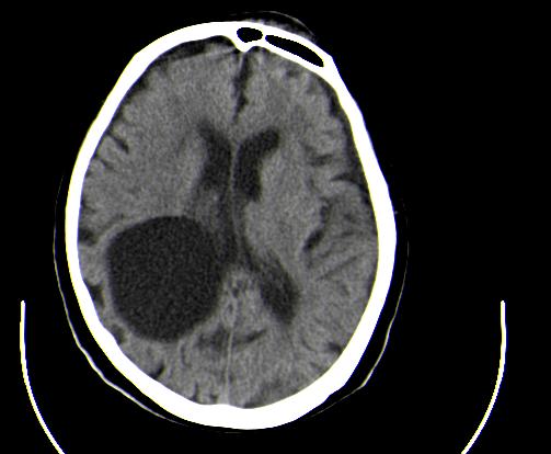
定位:右侧脑室三角区扩大,呈球形,侧脑室颞角扩大。
考虑:1、右侧侧脑室三角区室管膜囊肿?皮样囊肿?
2、脑萎缩(老年性脑改变)。
作者: yemin92007 时间: 2006-11-29 23:06
蛛网膜囊肿可能性大。
作者: 行云有影 时间: 2006-11-29 23:14
标题: 回复:ct5439:颅内囊性病变,请大家讨论
以下是引用守望可可西里在2006-11-29 10:49:00的发言:[br][br] 考虑:神经上皮囊肿(侧脑室三角区,右侧)[br] [br] 神经上皮囊肿为先天性疾病,可发生在脉络丛、脑室内、脉络膜裂,少数位于脑质内,侧脑室三角区最为常见。按发生部位和囊壁的细胞学类型可有不同的命名。位于脉络丛者为脉络丛囊肿,常两侧同时发生。脑室内者为室管膜囊肿,多位于侧脑室三角区。脉络膜裂囊肿可以是神经上皮囊肿,也可以是蛛网膜囊肿。 囊肿呈脑脊液样低密度,边界清楚整齐。患者多无症状,有症状者多为头痛、癫痫发作。囊壁很薄,ct一般不能显示,囊壁无钙化。囊肿可有占位效应,表现为相应部位的脑室或脉络膜裂较对侧扩大,脑实质受压,一般不引起脑水肿。增强:囊肿及囊壁均无强化。[br] 与蛛网膜囊肿的鉴别:蛛网膜囊肿好发于中颅窝、鞍上、半球、后颅窝、侧裂,脑室内少见,临床表现和影像学与神经上皮囊肿无明显差别。主要靠发病部位鉴别。
作者: 同 时间: 2006-11-29 23:43
右侧侧脑室三角区室管膜囊肿首考。
作者: 流星1234 时间: 2006-11-29 23:52
右脑室三角区室管膜囊肿
作者: chmb 时间: 2006-11-30 00:40
谢谢守望可可西里老师的讲解,支持神经上皮囊肿
作者: 齐原 时间: 2006-11-30 01:08
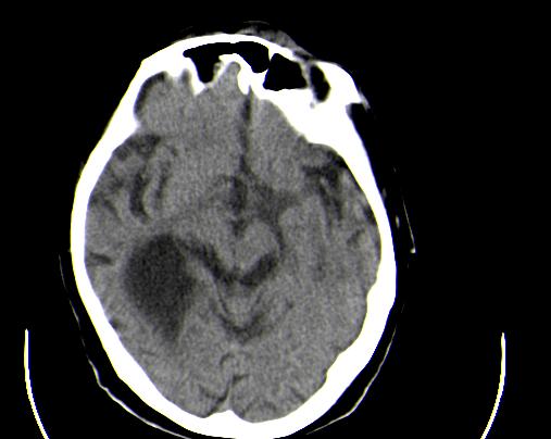
定位:右侧脑室三角区扩大,呈球形,侧脑室颞角扩大。
考虑:1、右侧侧脑室三角区室管膜囊肿?皮样囊肿?
2、脑萎缩
作者: 宝天曼 时间: 2006-11-30 01:39
定位:右侧脑室三角区扩大,呈球形,侧脑室颞角扩大。
考虑:1、右侧侧脑室三角区室管膜囊肿?皮样囊肿?
2、脑萎缩。
3、建议mri检查
作者: 拾荒者 时间: 2006-11-30 02:59
不知局部ct值是多少?,支持侧脑室三角区神经上皮囊肿(nnc)。
作者: 清风照影来 时间: 2006-11-30 02:59
明白了神经上皮囊肿和蛛网膜囊肿的鉴别诊断
作者: zbf1964724 时间: 2006-11-30 03:19
右侧脑室三角区扩大,呈球形,侧脑室颞角扩大,右侧脑室内占位:
考虑:1蛛网膜囊肿可能性大;
2 脑萎缩;
作者: only 时间: 2006-11-30 03:32
神经上皮囊肿
守望可可西里老师,你的资料来源于哪本书。鱼的上面没写这么多呀。是陈的书吗?这本我没有。
作者: sweet918 时间: 2006-11-30 04:28
考虑:1、右侧侧脑室三角区室管膜囊肿?皮样囊肿?
2、脑萎缩。
作者: sdllxu 时间: 2006-11-30 04:33
学习了!
作者: 守望可可 时间: 2006-11-30 16:54
标题: 回复:ct5439:颅内囊性病变,请大家讨论
以下是引用only在2006-11-29 19:32:00的发言:[br]神经上皮囊肿[br]守望可可西里老师,你的资料来源于哪本书。鱼的上面没写这么多呀。是陈的书吗?这本我没有。
尽信书则无书--开个玩笑,呵呵。
网上搜集的,不知道是哪位老师的成果,真的。在另外一个网页看到的,什么网站也没有仔细的刻意研究。图像表现跟这例基本接近,也是侧脑室三角区的低密度囊性病变。三月后复查病灶略有增大,有一位老师这样分析的,我就直接剽窃来了。那个老师分析的比较好,只是那个网站没有人气,没有人回复,很可惜。还是咱们网站好,那么多兄弟姐妹在一起共同学习,水平非常高而且非常温暖。
发个倡议,从我做起,尽我们自己最大的努力,维护、爱护、珍惜我们的网上家园!
作者: yaozhiyong 时间: 2006-12-4 00:22
可以告诉我,右脑室蛛网膜囊肿,这个病得了会有什么临床表现
最好的治疗方法是什么?
小弟在这里多谢拉!!!!
作者: lizhenhua_00 时间: 2006-12-4 02:51
ct值多少,如果是液体则考虑囊肿,如果是脂肪密度,则为脂肪瘤。
作者: yaozhiyong 时间: 2006-12-5 23:54
那该怎么治呢是手术吗
怎么个手术法啊
作者: shibing 时间: 2015-6-30 09:16
1、右侧侧脑室三角区室管膜囊肿?皮样囊肿?
2、脑萎
| 欢迎光临 医影在线 (http://bbs.radida.com/bbs/) |
Powered by Discuz! X3.2 |