医影在线
标题: CT5456:[讨论有请各位老师帮忙。患者、男、18Y,头痛5天入 [打印本页]
作者: 雪狼141    时间: 2006-12-1 04:04
标题: CT5456:[讨论有请各位老师帮忙。患者、男、18Y,头痛5天入










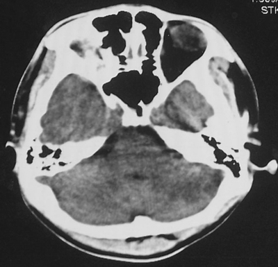
增强后










[本贴已被 jiajie 于 2006-11-30 20:39:56 修改过]
作者: ludj    时间: 2006-12-1 04:42
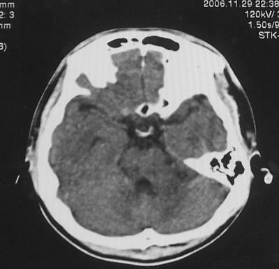
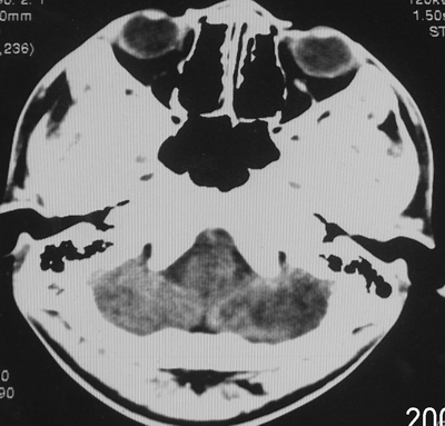
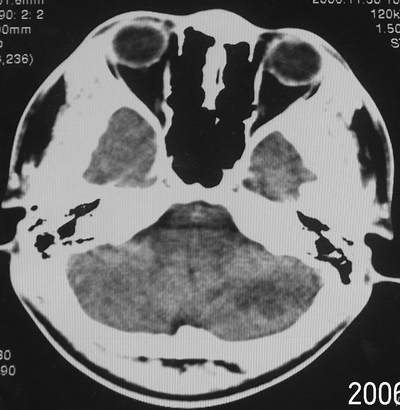
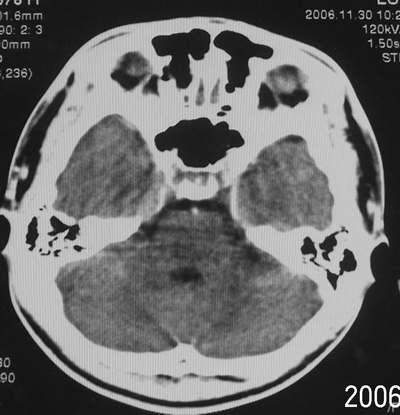
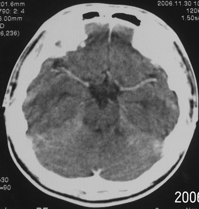
左侧小脑半球及丘脑低密度影,考虑脑梗塞可能.
作者: liuyue    时间: 2006-12-1 05:13
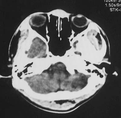
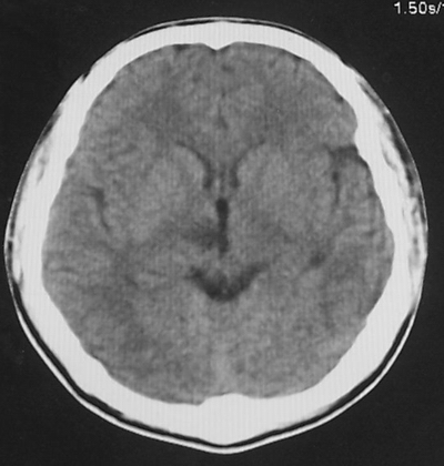
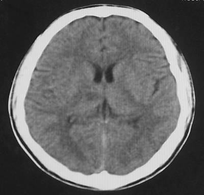
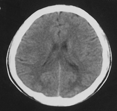
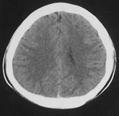
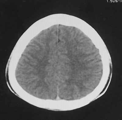
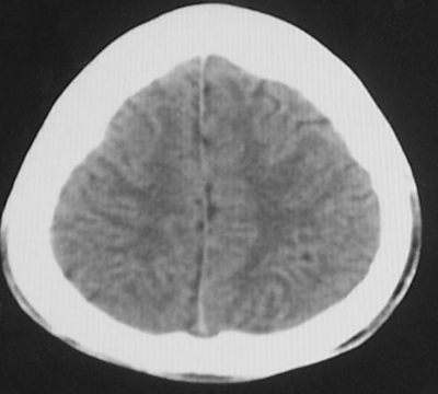
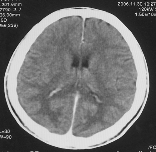
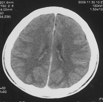
患者、男、18y,头痛5天入院。
左小脑、右丘脑区低密度影,无明显强化及占位表现,男18y,先考虑脑部炎性病变,如脑炎、血行播散性感染等,建议结合临床如脑脊液检验。
作者: 迎客松abc    时间: 2006-12-1 05:41
左侧小脑半球低密度影,占位不明显,但不能排除肿瘤,我诊断胶质瘤,脑炎及脑梗临床不符.
作者: only    时间: 2006-12-1 05:52
没看明白。
mri看看。
作者: 13081830109    时间: 2006-12-1 06:08
左侧小脑半球及右丘脑低密度影,考虑脑梗塞可能.
  有感染史吗?
作者: wuxin7374    时间: 2006-12-1 06:13
外伤有时也可出现脑梗塞,有吗?
作者: 雪狼141    时间: 2006-12-1 06:27
无明显感染及外伤史,体检颈无强直。
作者: 福娃    时间: 2006-12-1 06:34
我看没事啊,请各位指教
作者: 清风照影来    时间: 2006-12-1 06:55
标题: 回复:ct5456:[讨论有请各位老师帮忙。患者、男、18y,头痛5

作者: 守望可可    时间: 2006-12-1 07:00
  单独看左侧小脑半球的不规则形囊性低密度灶,从发病部位、年龄以及无强化、无占位效应的特点可以考虑毛细胞瘤型星形细胞瘤。同样,如果单独看右侧丘脑的近圆形低密度,也可以考虑囊变形星形细胞瘤。只是胶质细胞瘤一般为单发直接浸润、蔓延生长,而不是在脑内同时出现多个病灶,且瘤周没有一点儿水肿,暂时不予以考虑。
  脑炎倒是首先可以考虑,只是临床症状、病史不很符合,建议狼兄仔细了解病史以及其他临床资料。
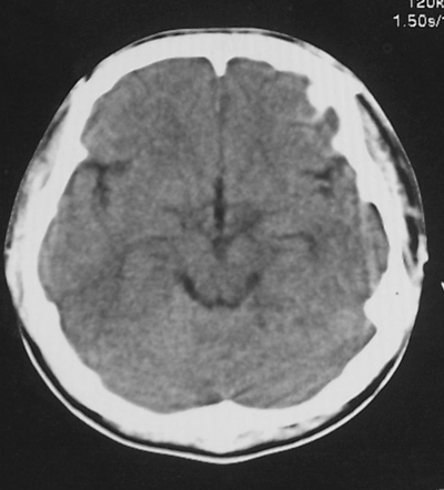
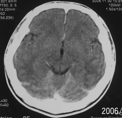
  同时,现在已经进入冬天,一氧化碳中毒也需要考虑进去。不知道增强是什么时间做的,与平扫间隔几天?如果中间时间比较久而且进行吸氧等治疗,则平扫所示右侧颞叶密度比较低、右侧小脑半球以及脑桥也似有片囊状低密度,但在增强却没有发现就可以比较合理的解释了。
作者: zjzjr    时间: 2006-12-1 07:10
考虑感染性病变.
作者: 如醉卧风    时间: 2006-12-1 07:12
标题: 回复:ct5456:[讨论有请各位老师帮忙。患者、男、18y,头痛5
以下是引用liuyue在2006-11-30 21:13:00的发言:[br]患者、男、18y,头痛5天入院。[br]左小脑、右丘脑区低密度影,无明显强化及占位表现,男18y,先考虑脑部炎性病变,如脑炎、血行播散性感染等,建议结合临床如脑脊液检验。
另:脑梗塞不能除外.
作者: 红樱枪    时间: 2006-12-1 07:46
考虑梗塞或中毒。
作者: 宝天曼    时间: 2006-12-1 15:10
左侧小脑半球及右丘脑低密度影,考虑炎症可能性大
最好做mri
作者: 卜一    时间: 2006-12-1 16:30
考虑梗塞或中毒。
支持!
作者: 晓杰    时间: 2006-12-1 17:23
左侧小脑半球及右丘脑低密度影,考虑  1、脑梗塞灶. 2、占位性病变,建议作mri检查
作者: zyx168    时间: 2006-12-1 17:33
支持右侧丘脑与左侧小脑梗塞,
作者: haha215315    时间: 2006-12-1 17:47
左侧小脑半球及右丘脑低密度影,还是在做个mri较为妥当。
作者: chen123    时间: 2006-12-1 19:03
患者年龄较年青,又是多发,支持感染性病变,
作者: dyqct    时间: 2006-12-1 23:46
标题: 回复:ct5456:[讨论有请各位老师帮忙。患者、男、18y,头痛5
以下是引用守望可可西里在2006-11-30 23:00:00的发言:[br][br]  单独看左侧小脑半球的不规则形囊性低密度灶,从发病部位、年龄以及无强化、无占位效应的特点可以考虑毛细胞瘤型星形细胞瘤。同样,如果单独看右侧丘脑的近圆形低密度,也可以考虑囊变形星形细胞瘤。只是胶质细胞瘤一般为单发直接浸润、蔓延生长,而不是在脑内同时出现多个病灶,且瘤周没有一点儿水肿,暂时不予以考虑。[br]  脑炎倒是首先可以考虑,只是临床症状、病史不很符合,建议狼兄仔细了解病史以及其他临床资料。[br]  同时,现在已经进入冬天,一氧化碳中毒也需要考虑进去。不知道增强是什么时间做的,与平扫间隔几天?如果中间时间比较久而且进行吸氧等治疗,则平扫所示右侧颞叶密度比较低、右侧小脑半球以及脑桥也似有片囊状低密度,但在增强却没有发现就可以比较合理的解释了。
支持!
作者: 拾荒者    时间: 2006-12-2 05:04
以下是引用守望可可西里在2006-11-30 23:00:00的发言:
  单独看左侧小脑半球的不规则形囊性低密度灶,从发病部位、年龄以及无强化、无占位效应的特点可以考虑毛细胞瘤型星形细胞瘤。同样,如果单独看右侧丘脑的近圆形低密度,也可以考虑囊变形星形细胞瘤。只是胶质细胞瘤一般为单发直接浸润、蔓延生长,而不是在脑内同时出现多个病灶,且瘤周没有一点儿水肿,暂时不予以考虑。
  脑炎倒是首先可以考虑,只是临床症状、病史不很符合,建议狼兄仔细了解病史以及其他临床资料。
  同时,现在已经进入冬天,一氧化碳中毒也需要考虑进去。不知道增强是什么时间做的,与平扫间隔几天?如果中间时间比较久而且进行吸氧等治疗,则平扫所示右侧颞叶密度比较低、右侧小脑半球以及脑桥也似有片囊状低密度,但在增强却没有发现就可以比较合理的解释了。 
支持!最好建议mri检查。
作者: marco    时间: 2006-12-2 06:50
支持f11
作者: lizhenhua_00    时间: 2006-12-4 04:05
考虑耳源性脑脓肿.
作者: zh-gq    时间: 2006-12-7 23:25
标题: 回复:ct5456:[讨论有请各位老师帮忙。患者、男、18y,头痛5
以下是引用dyqct在2006-12-1 15:46:00的发言:[br][quote]以下是引用守望可可西里在2006-11-30 23:00:00的发言:[br][br]  单独看左侧小脑半球的不规则形囊性低密度灶,从发病部位、年龄以及无强化、无占位效应的特点可以考虑毛细胞瘤型星形细胞瘤。同样,如果单独看右侧丘脑的近圆形低密度,也可以考虑囊变形星形细胞瘤。只是胶质细胞瘤一般为单发直接浸润、蔓延生长,而不是在脑内同时出现多个病灶,且瘤周没有一点儿水肿,暂时不予以考虑。[br]  脑炎倒是首先可以考虑,只是临床症状、病史不很符合,建议狼兄仔细了解病史以及其他临床资料。[br]  同时,现在已经进入冬天,一氧化碳中毒也需要考虑进去。不知道增强是什么时间做的,与平扫间隔几天?如果中间时间比较久而且进行吸氧等治疗,则平扫所示右侧颞叶密度比较低、右侧小脑半球以及脑桥也似有片囊状低密度,但在增强却没有发现就可以比较合理的解释了。
作者: jinguoji    时间: 2006-12-8 07:29
支持考虑梗塞或中毒。
作者: 雪狼141    时间: 2011-4-19 22:48
谢谢各位老师。
作者: shibing    时间: 2015-7-6 15:23
mri
| 欢迎光临 医影在线 (http://bbs.radida.com/bbs/) | Powered by Discuz! X3.2 |