医影在线

标题: X1271:[求助]胸部 [打印本页]

作者: rf    时间: 2006-12-1 05:02
标题: X1271:[求助]胸部



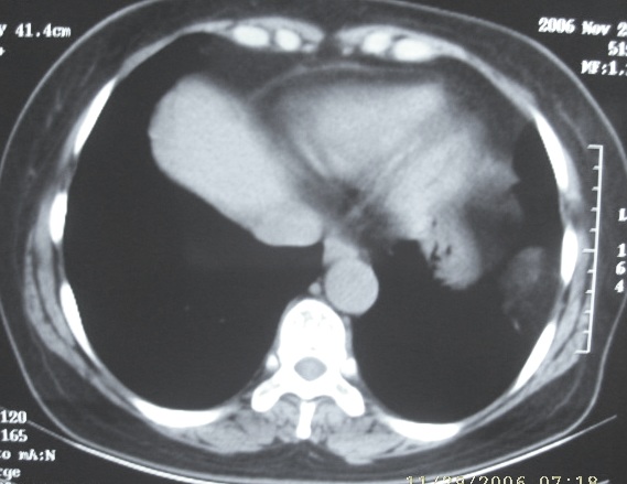
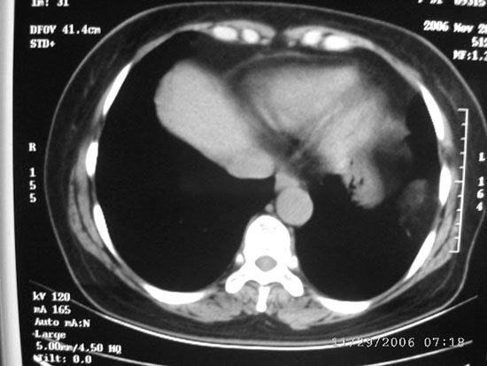
ct值-106


[本贴已被 翁志蓬 于 2006-11-30 22:19:57 修改过]

作者: tsxhfsk    时间: 2006-12-1 05:11
图象质量差,ct图片太少没有临床资料.猜出结果太伟大了
作者: wuxin7374    时间: 2006-12-1 05:35
你用黑白模式拍啊.看不清,哪的ct值,密度都一样吗?脂肪瘤?
作者: xiaoniu    时间: 2006-12-1 05:59
标题: 回复:[求助]胸部
图像处理了一下,还是不很好!我觉得应该是脂肪瘤或者腹腔脂肪组织

作者: 迎客松abc    时间: 2006-12-1 06:34
ct图片少又差,还不如就胸片让人来猜,左胸腔包裹性积液.
作者: wenbei    时间: 2006-12-1 07:06
脂肪组织   或膈疝     
片子虽不好,也得来点临床症状,好让大家猜!
作者: wuxin7374    时间: 2006-12-1 18:13
有可能是大网膜疝,往下扫两层看看.
作者: zyx168    时间: 2006-12-1 19:15
标题: 回复:x1271:[求助]胸部

作者: zhw974247    时间: 2006-12-2 05:02
ct图片少难度太大,我考虑1、左侧包裹性胸腔积液  2、炎性假瘤
作者: 梁彬彬    时间: 2006-12-2 06:46
怎么ct只扫了一层吗?把全部的片都传上来吧!
作者: 如醉卧风    时间: 2006-12-2 06:47
标题: 回复:x1271:[求助]胸部
以下是引用xiaoniu在2006-11-30 21:59:00的发言:[br]图像处理了一下,还是不很好!我觉得应该是脂肪瘤或者腹腔脂肪组织[br][br]

作者: chry3    时间: 2006-12-2 07:04
考虑错构瘤
作者: liuyue    时间: 2006-12-3 00:49
ct图片少难度太大,考虑1、左侧包裹性胸腔积液  2、炎性假瘤
作者: jinguoji    时间: 2006-12-3 06:29
难度太大
作者: shibing    时间: 2012-12-19 07:58
片子虽不好,也得来点临床症状,好让大家猜!
作者: zqzwq    时间: 2012-12-21 09:59
图片少、质量不佳,难度大,考虑错构瘤。




欢迎光临 医影在线 (http://bbs.radida.com/bbs/) Powered by Discuz! X3.2