医影在线

标题: CT5468:[原创]胸部CT平扫,清讨论 [打印本页]

作者: yaping309    时间: 2006-12-2 00:08
标题: CT5468:[原创]胸部CT平扫,清讨论
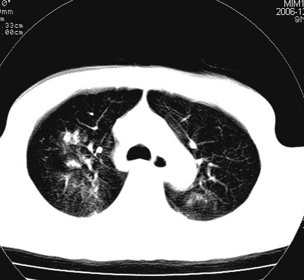
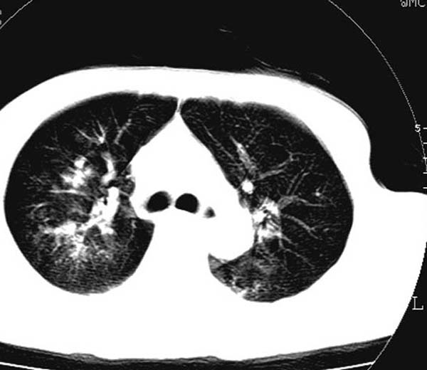
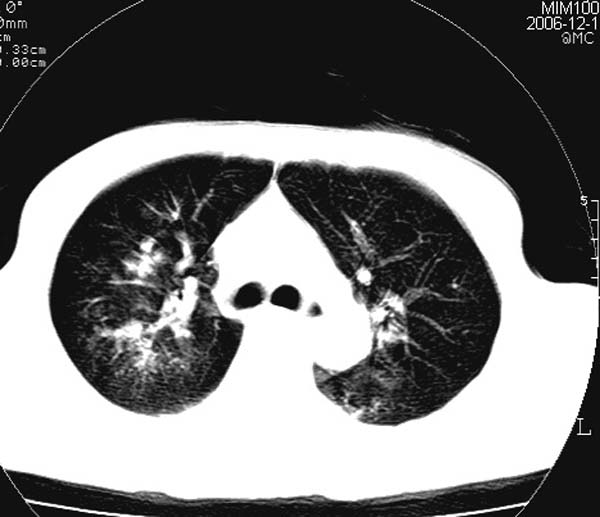
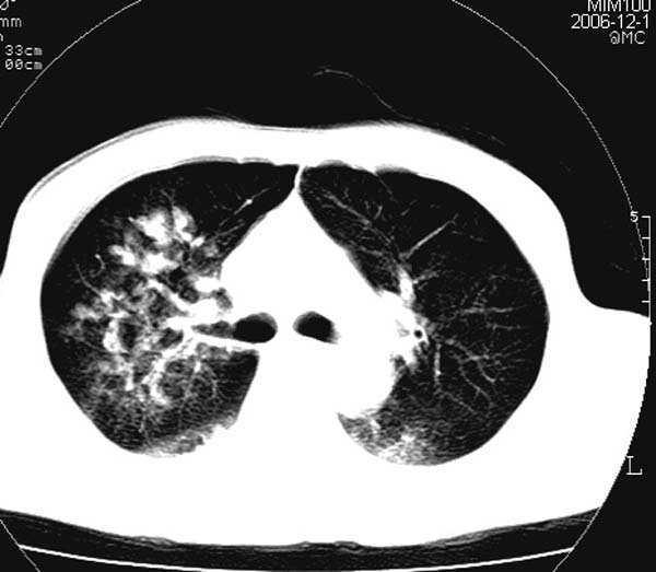
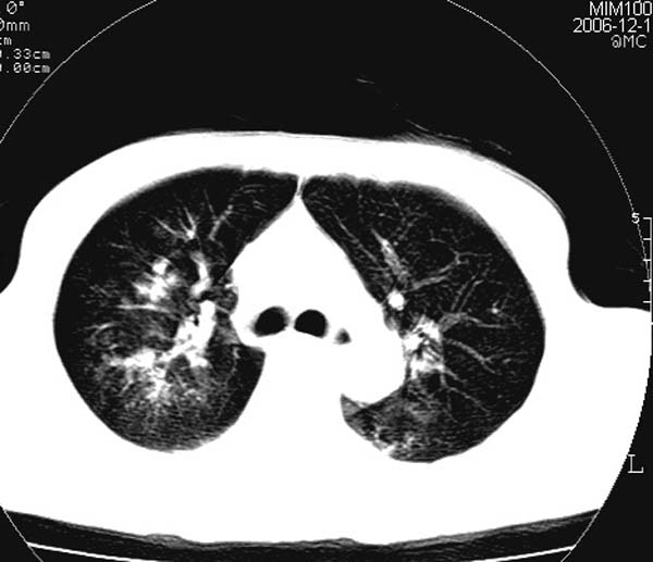
此病人是摔伤后12小时,38岁,无结核病史。谢谢








[本贴已被 jiajie 于 2006-12-1 19:09:37 修改过]

作者: 守望可可    时间: 2006-12-2 00:17
  原创值得肯定和学习,但最好别搞成三无产品,建议楼主把图片发全、病史等临床资料补起来,谢谢!
  就现有图片,考虑双肺结核。
作者: wshsp    时间: 2006-12-2 00:28
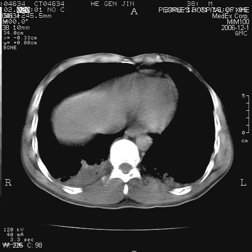
什么资料都没有,照片质量也不好,还没有纵隔窗,怎么讨论?
作者: dyqct    时间: 2006-12-2 00:42
象是浸润型肺结核。
作者: lixi    时间: 2006-12-2 00:43
询问有否矿工史
作者: yaping309    时间: 2006-12-2 00:53
对不起各位,学着发图片,所以没有发全。此病人是摔伤后12小时,38岁,无结核病史。谢谢!
作者: hhcckk    时间: 2006-12-2 01:45
建议一周后复查,如果与外伤有关系的话,一周后应该有明显的好转
作者: 余辉    时间: 2006-12-2 02:03
对不起各位,学着发图片,所以没有发全。此病人是摔伤后12小时,38岁,无结核病史。谢谢!
伤重吗?肺部撕裂伤?
作者: xxcz    时间: 2006-12-2 02:03
是否创伤性湿肺,肺水肿?请各位老师指教
作者: zhaoy_884888    时间: 2006-12-2 04:01
影像必须密切结合临床!此病例首先考虑肺撕裂伤,间质性改变为主,右侧有创伤性湿肺表现。鉴别诊断诸位大虾已经说得非常ok了。
作者: 迎客松abc    时间: 2006-12-2 04:08
此片根本无法看,一幅纵隔窗而没有这幅图像的肺窗.不好发表意见.
作者: 卜一    时间: 2006-12-2 04:26
既然有外伤,不应除外创伤性湿肺.建议短期复查.
作者: ludj    时间: 2006-12-2 05:09
结合病史,考虑肺挫伤可能,双侧少量胸腔积液.建议短期复查.
作者: yangmin19781209    时间: 2006-12-2 05:37
肺挫裂伤是肯定有。原来可能有结核或尘肺
作者: zbx160    时间: 2006-12-2 06:11
影像必须密切结合临床!此病例首先考虑肺撕裂伤,间质性改变为主,右侧有创伤性湿肺表现。鉴别诊断诸位已经说了。
作者: 如醉卧风    时间: 2006-12-2 06:32
标题: 回复:ct5468:[原创]胸部ct平扫,清讨论
以下是引用zhaoy_884888在2006-12-1 20:01:00的发言:[br]影像必须密切结合临床!此病例首先考虑肺撕裂伤,间质性改变为主,右侧有创伤性湿肺表现。鉴别诊断诸位大侠已经说得非常ok了。
临床病史要交代清楚呀,与肺结核鉴别吧.
作者: 宝天曼    时间: 2006-12-2 15:04
是否创伤性湿肺,肺水肿?
建议治疗后复查排除其他兵变
作者: wansheng    时间: 2006-12-2 22:13
此病人,是摔伤所致。首先考率肺挫伤。但未见肺窗,结核待排。
作者: 拾荒者    时间: 2006-12-3 04:10
此病例首先考虑肺撕裂伤,间质性改变为主,右侧有创伤性湿肺表现,可短期治疗复查。
作者: lizhenhua_00    时间: 2006-12-4 03:33
此病例首先考虑肺撕裂伤,
作者: shibing    时间: 2015-7-6 15:17
是否创伤性湿肺,肺水肿?请各位老师指教




欢迎光临 医影在线 (http://bbs.radida.com/bbs/) Powered by Discuz! X3.2