医影在线

标题: CT5469:新生儿 [打印本页]

作者: zjzjr    时间: 2006-12-2 00:36
标题: CT5469:新生儿
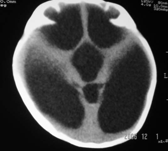
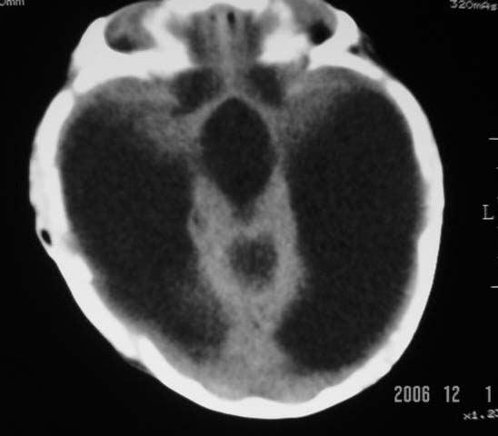
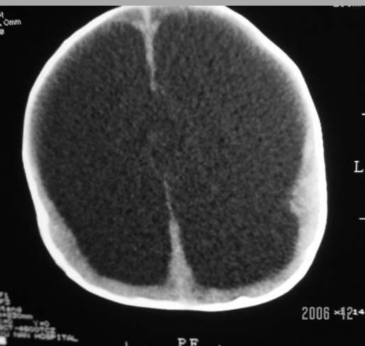
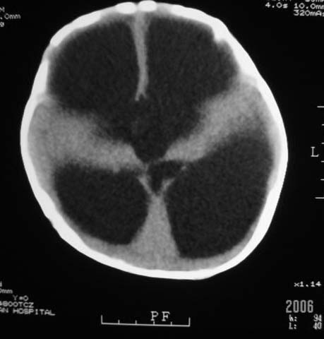
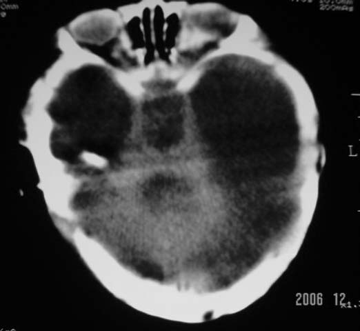
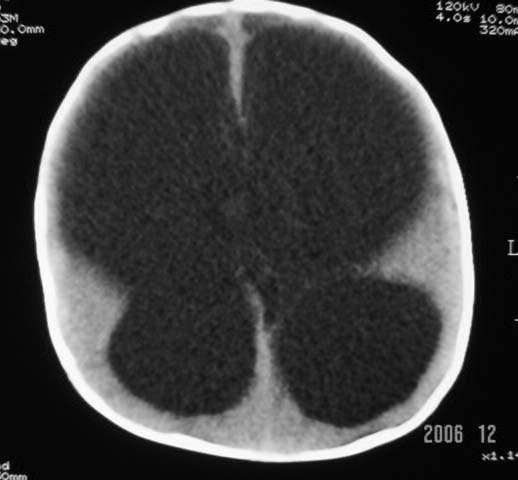
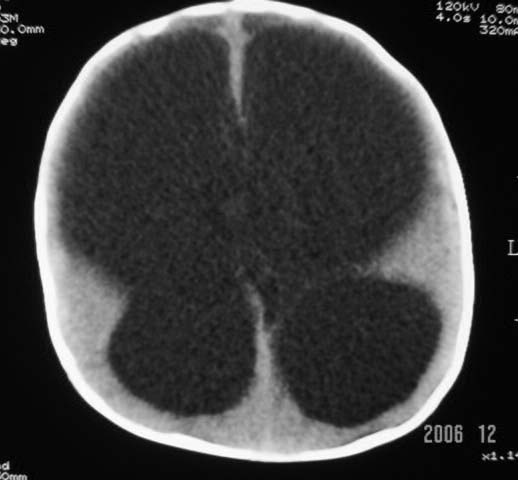
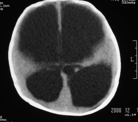
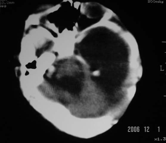
3m,出生时有新生儿吸入性肺炎、hie、化脓性脑膜炎,近一个月发现头围增大(51cm),无恶心呕吐。


















[本贴已被 jiajie 于 2006-12-1 19:10:49 修改过]

作者: dyqct    时间: 2006-12-2 00:44
支持重型幕上梗阻性脑积水。
作者: hhcckk    时间: 2006-12-2 01:03
第四脑室有增大,应该是交通性脑积水
作者: 我爱影像    时间: 2006-12-2 01:33
1、重度脑积水;2、积水性无脑畸形。
作者: 余辉    时间: 2006-12-2 02:29
3m,出生时有新生儿吸入性肺炎、hie、化脓性脑膜炎,近一个月发现头围增大(51cm),无恶心呕吐,脑室系统全程扩张,脑皮质变薄,结合病史考虑交通性脑积水
作者: wangzhanshuang    时间: 2006-12-2 02:47
第四脑室有增大,应该是交通性脑积水
作者: 迎客松abc    时间: 2006-12-2 04:12
脑室全部扩大结合化脓性脑膜炎病史考虑重度交通性脑积水.
作者: 卜一    时间: 2006-12-2 04:28
脑室全部扩大结合化脓性脑膜炎病史考虑重度交通性脑积水.支持!
作者: muxinhua    时间: 2006-12-2 04:43
脑室全部扩大结合化脓性脑膜炎病史考虑重度交通性脑积水.支持!
作者: YaoYY    时间: 2006-12-2 05:01
交通性脑积水 。
作者: yangmin19781209    时间: 2006-12-2 06:17
支持楼上
作者: 如醉卧风    时间: 2006-12-2 06:27
重度脑积水.
作者: liuyue    时间: 2006-12-2 06:37
脑室全部扩大结合化脓性脑膜炎病史考虑重度交通性脑积水.支持!
作者: fengdongdong    时间: 2006-12-2 07:33
脑积水
作者: elity69    时间: 2006-12-2 09:08
脑室全部扩大结合化脓性脑膜炎病史考虑重度交通性脑积水
作者: 宝天曼    时间: 2006-12-2 14:54
1、重度脑积水;2、积水性无脑畸形
作者: 守望可可    时间: 2006-12-2 15:47
标题: 回复:ct5469:新生儿
以下是引用hhcckk在2006-12-1 17:03:00的发言:[br]第四脑室有增大,应该是交通性脑积水


  “3m,出生时有新生儿吸入性肺炎、hie、化脓性脑膜炎,近一个月发现头围增大(51cm),无恶心呕吐。”
  结合病史,又无其他临床症状,支持重度交通性脑积水!
作者: haha215315    时间: 2006-12-2 16:52
第四脑室有增大,应该是交通性脑积水.
作者: zyx168    时间: 2006-12-2 17:21
重度交通性脑积水
作者: shenjun18    时间: 2006-12-2 19:21
脑积水
作者: 裴德医生    时间: 2006-12-2 22:39
脑积水
作者: 拾荒者    时间: 2006-12-3 04:05
3m,出生时有新生儿吸入性肺炎、hie、化脓性脑膜炎,近一个月发现头围增大(51cm),无恶心呕吐,脑室系统全程扩张,脑皮质变薄,结合病史考虑重度交通性脑积水。
作者: ysxyy    时间: 2006-12-4 05:26
标题: 回复:ct5469:新生儿
积水性无脑畸形。
我记得翁站长好像发过和这个几乎一样的病例,还有病理, 以及解剖图像,地址忘了;
最新的治疗好像有一种叫作\"中枢神经干细胞移植\",北京那家医院有过偿试,<走进科学>里面看的;
作者: zh-gq    时间: 2006-12-7 23:06
太重了
作者: 清风照影来    时间: 2006-12-7 23:27
交通性脑积水
作者: jinguoji    时间: 2006-12-8 07:26
支持重度交通性脑积水!
作者: shibing    时间: 2015-7-6 15:16
交通性脑积水 。




欢迎光临 医影在线 (http://bbs.radida.com/bbs/) Powered by Discuz! X3.2