医影在线

标题: CT5470:双肺内结节 [打印本页]

作者: 13081830109    时间: 2006-12-2 00:41
标题: CT5470:双肺内结节
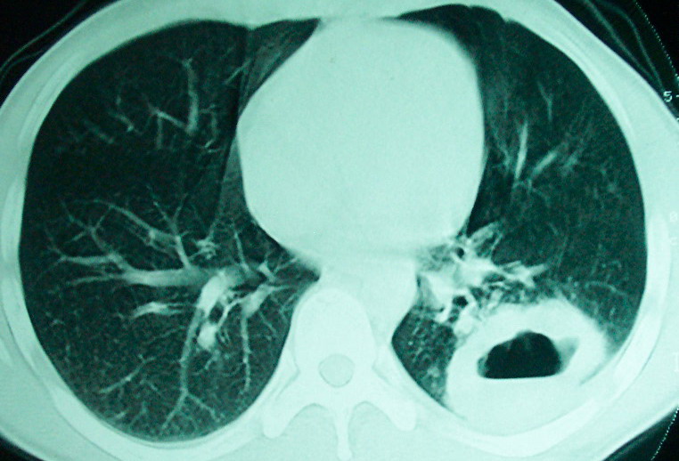
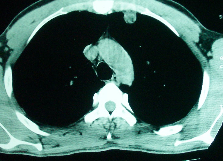
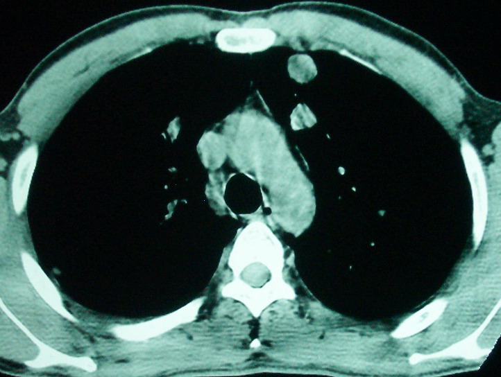
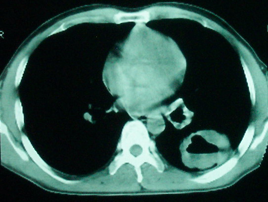
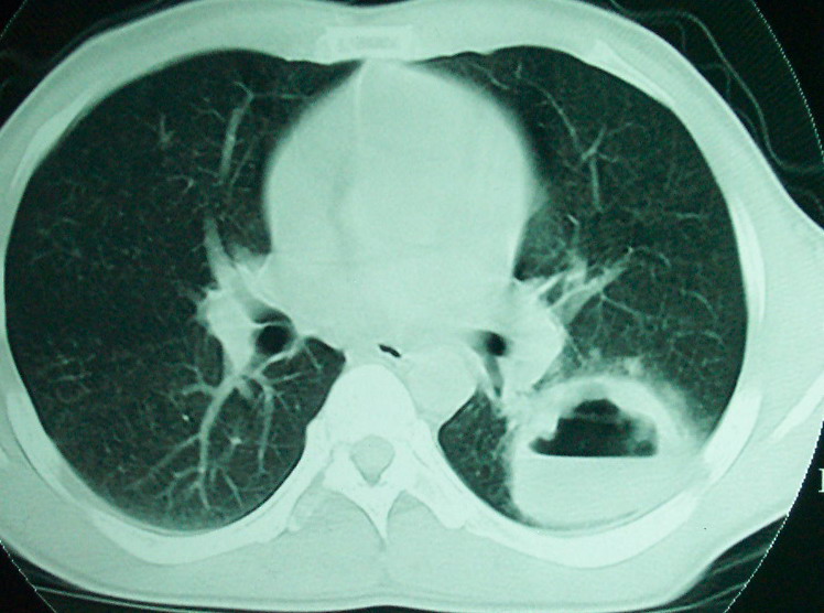
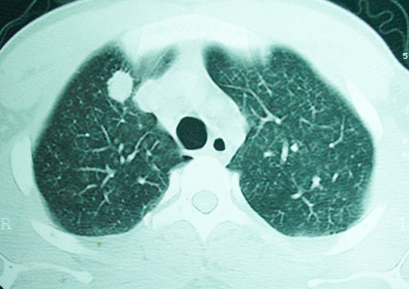
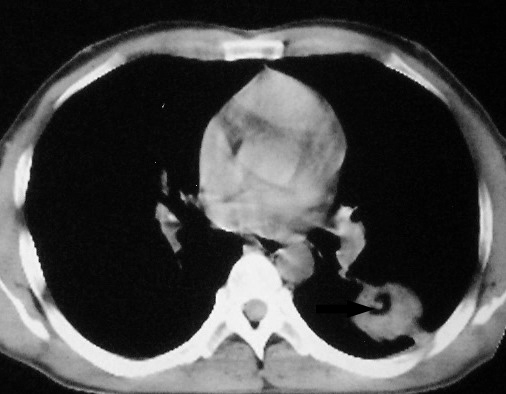
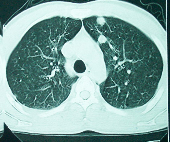
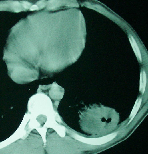
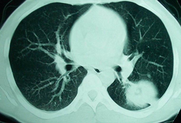
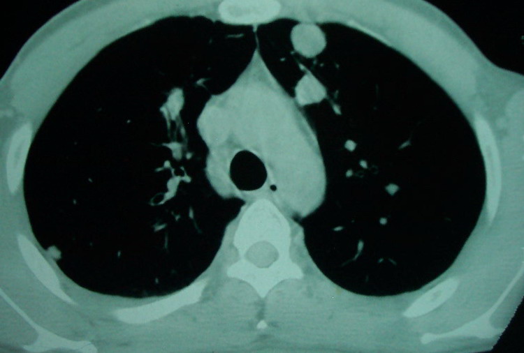
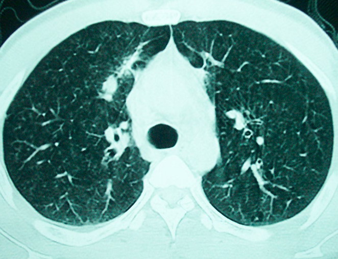
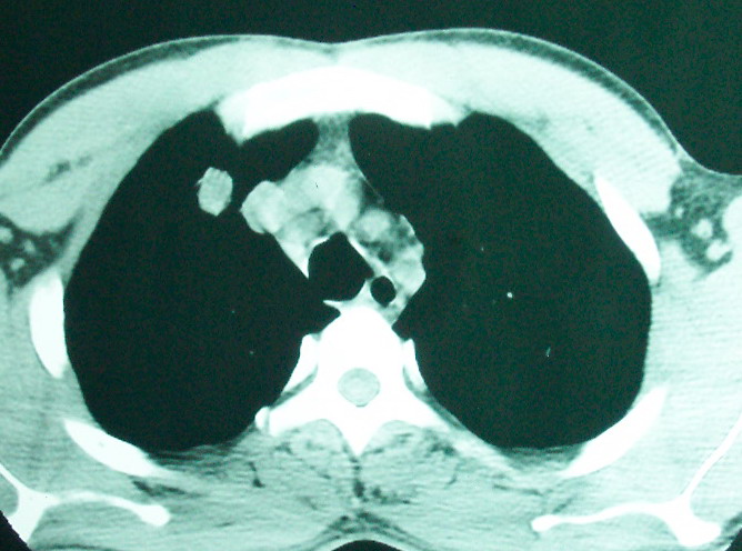
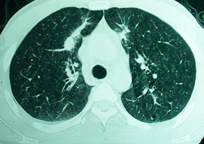
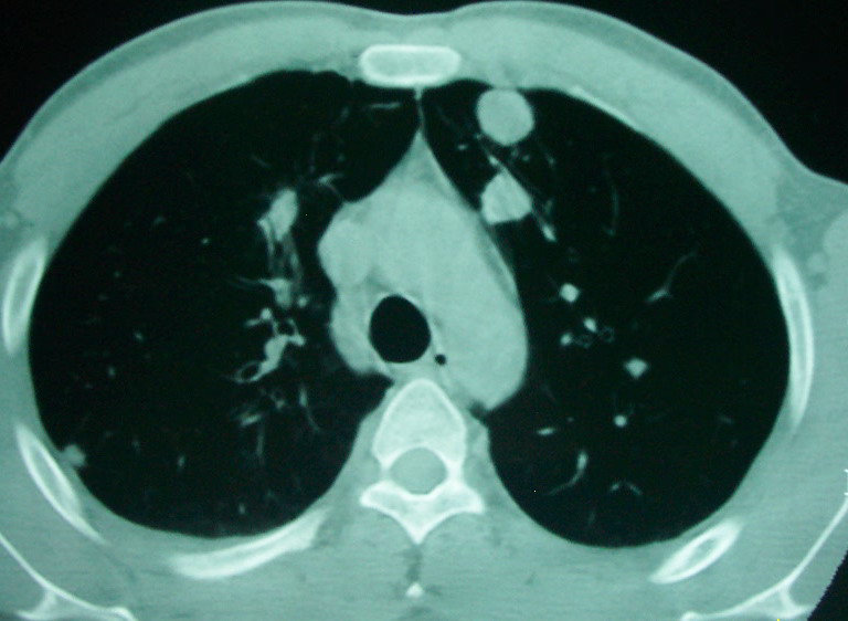
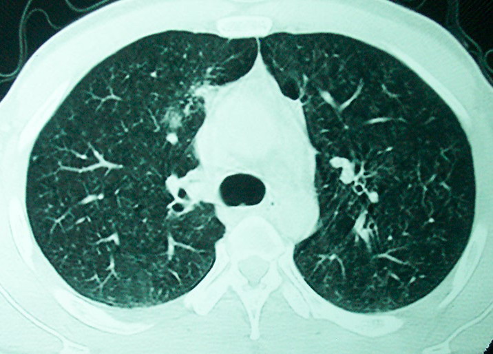
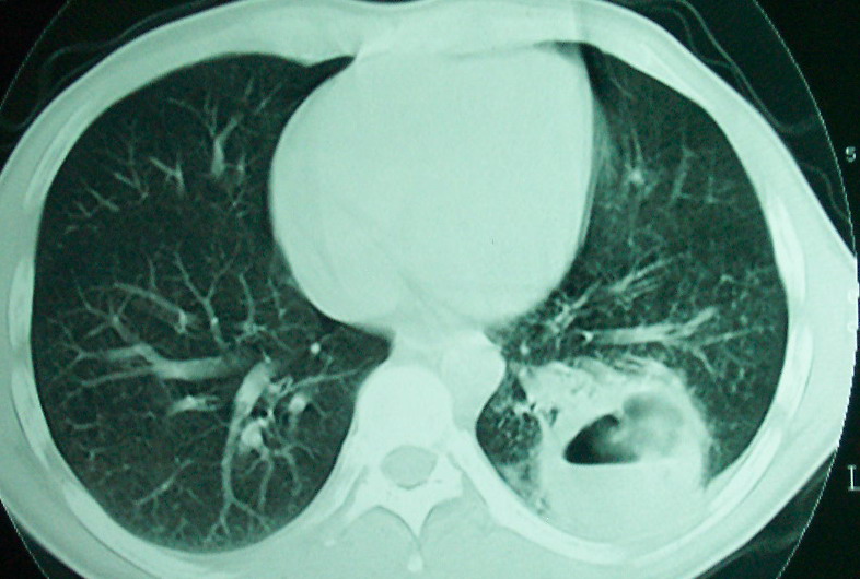
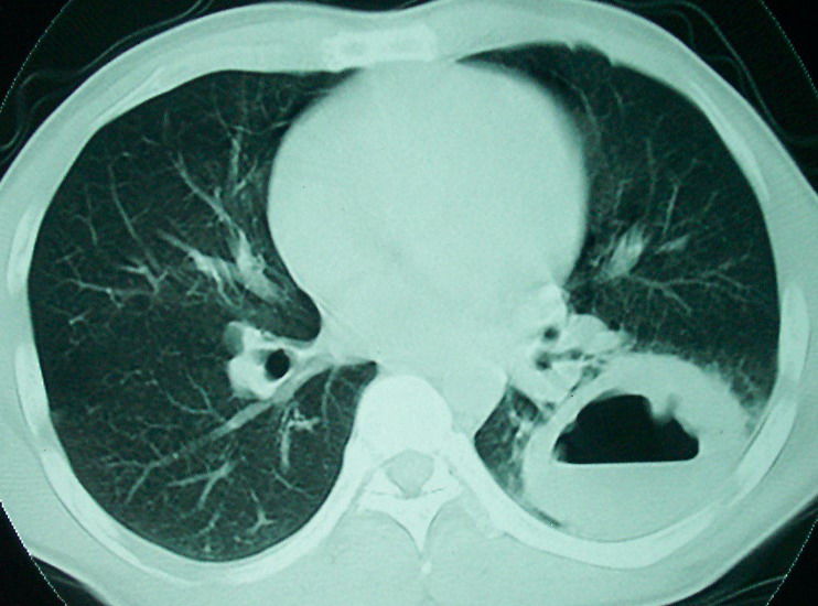
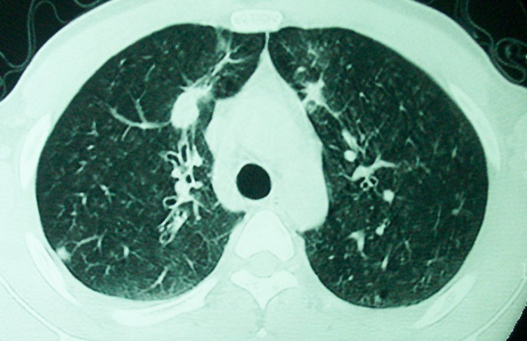
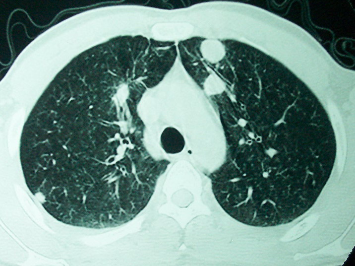
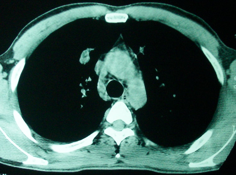
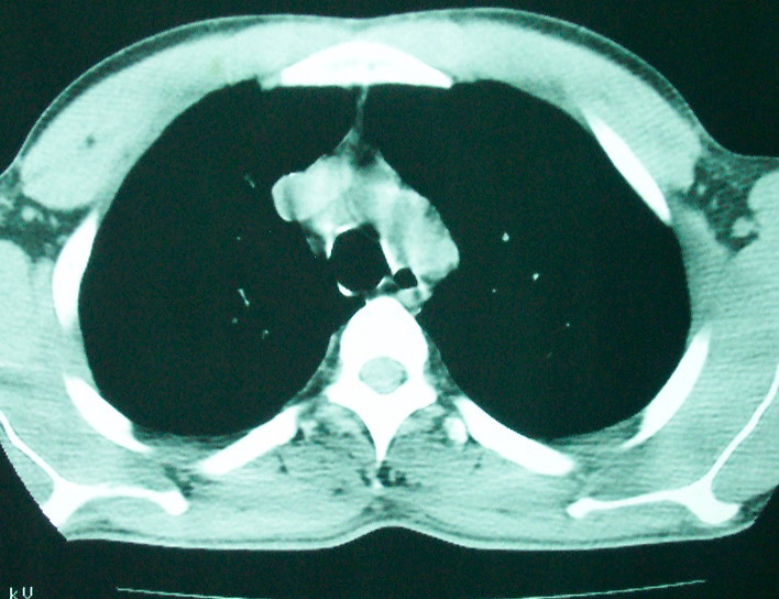
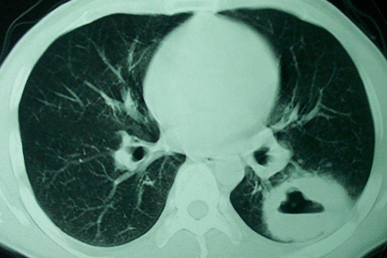
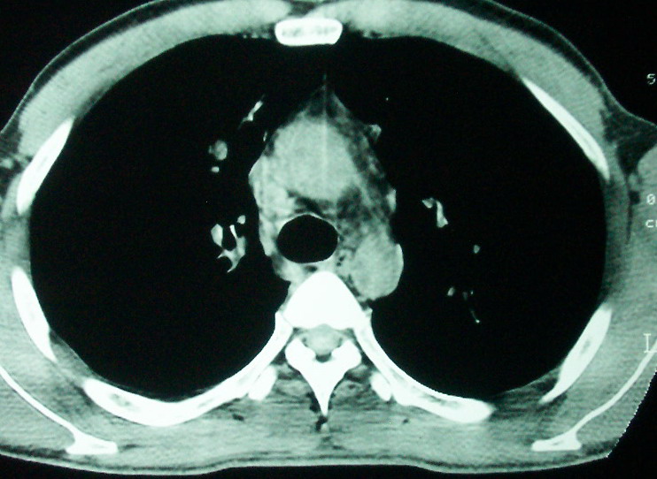
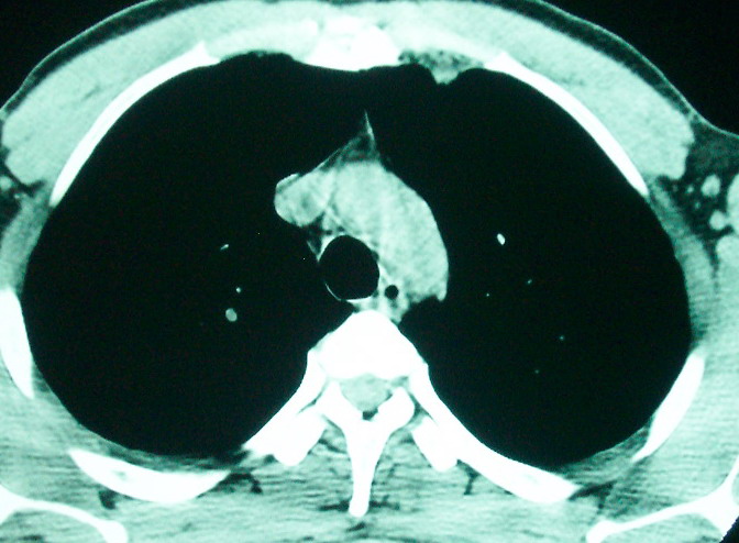
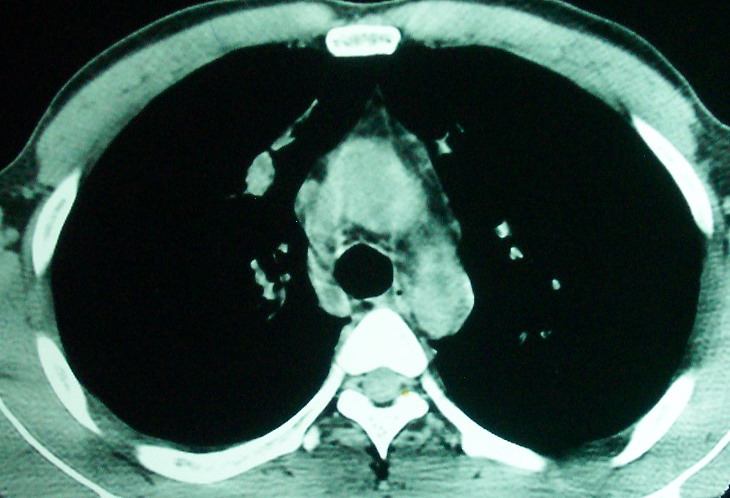
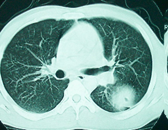
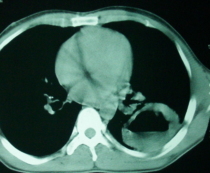
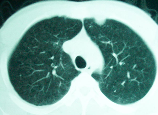
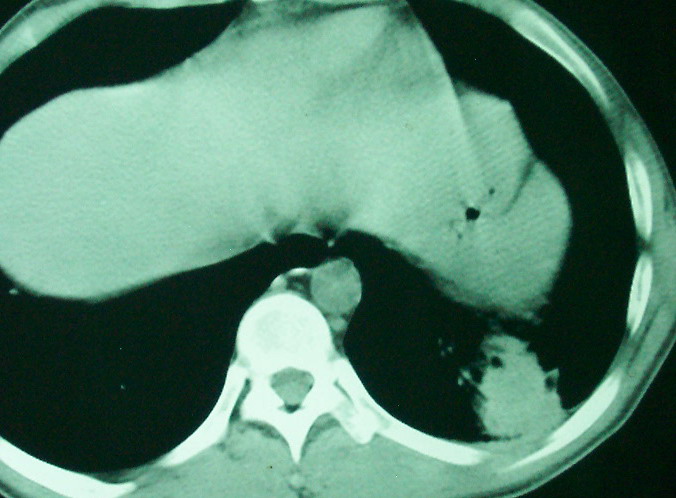
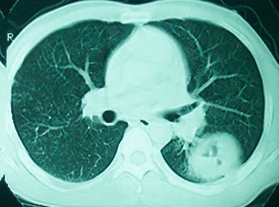
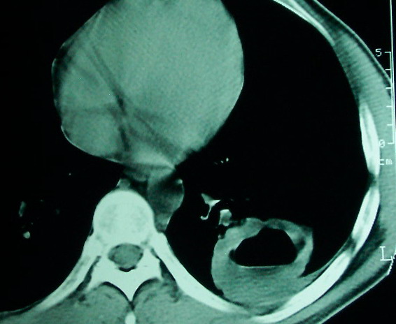
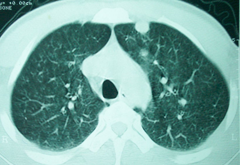
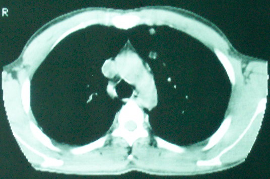
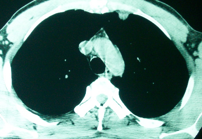
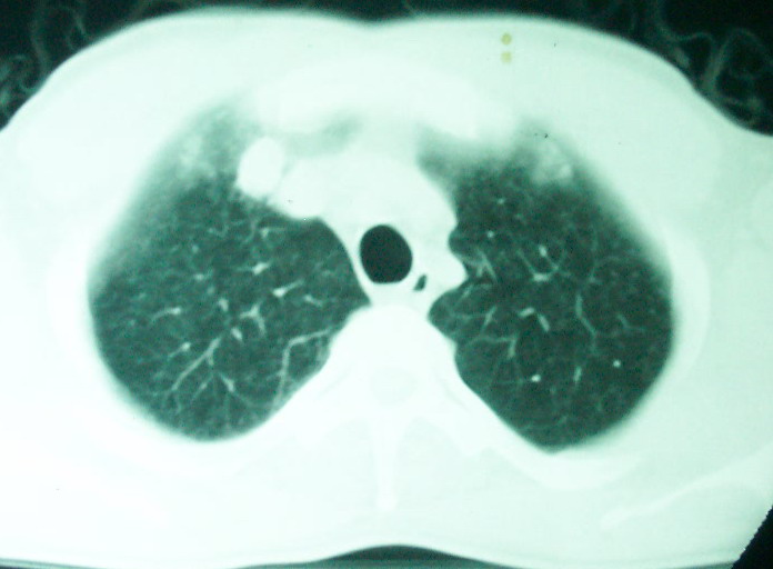
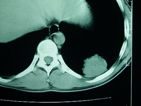
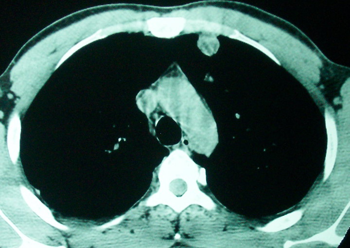
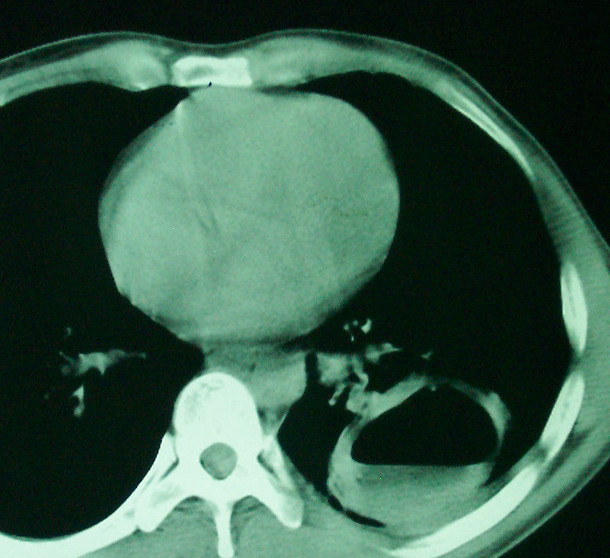
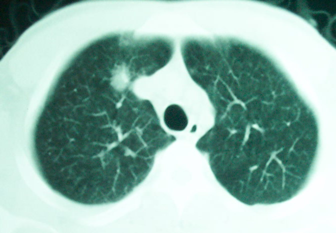
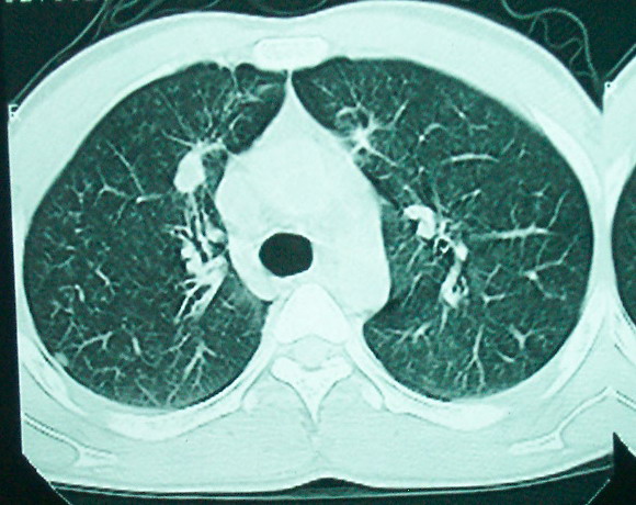
m      37y      发热   咳脓痰月余      ct肺脓肿但住院抗炎治疗后双肺内结节不知该如何解释



























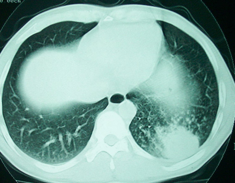
治疗后见左肺下野病灶较前缩小但双肺内结节影似无变化请较各位老师该如何下结论    治疗前wbc14.5 治疗后wbc 11.0



































[本贴已被 jiajie 于 2006-12-1 19:11:05 修改过]

作者: dyqct    时间: 2006-12-2 00:49
前后两次扫描间隔多长时间?
应该是急性化脓性肺炎。
作者: hhcckk    时间: 2006-12-2 01:12
血源性肺脓肿,一般由原发感染灶引起脓毒败血症,在肺部形成小脓肿,病变变化快,容易形成肺气囊,脓气胸,主要与转移瘤鉴别,通过临床病史可分
作者: yu8531772    时间: 2006-12-2 01:30
急性肺脓肿!
作者: 13081830109    时间: 2006-12-2 01:37
两次扫描间隔7天,病人现在精神状况很好     希望各位老师给于意见   谢谢
作者: 余辉    时间: 2006-12-2 02:16
结合病史考虑血源性肺脓肿,与转移瘤鉴别
作者: 尚峰    时间: 2006-12-2 02:23
别是鳞癌肺内转移,虽然病人很年轻也要警惕。
作者: wangzhanshuang    时间: 2006-12-2 03:14
标题: 回复:双肺内结节

空洞内可见小结节样密度影考虑合并真菌感染
作者: lon_long    时间: 2006-12-2 03:28
左下叶肺癌,双肺转移
作者: yuanhang_2006    时间: 2006-12-2 04:11
结合临床发热,咳痰考虑为血源性肺脓肿,不过双肺结节又在肺的边缘,还是小心一点,抗炎后复查吧
作者: zbx160    时间: 2006-12-2 04:28
结合病史考虑血源性肺脓肿,建议积极正规抗炎复查 与转移瘤鉴别
作者: 迎客松abc    时间: 2006-12-2 04:33
我看是不是可以两元化来解释,左肺下叶还是肺脓疡,而其余病灶考虑肺癌伴肺内转移,我看右肺上叶尖段病灶可见明显毛刺改变为原发病灶.
作者: 宇宙巨人    时间: 2006-12-2 04:34
1、左下肺鳞癌伴两肺及纵隔淋巴结转移;
2、两上肺支扩伴慢性炎症。
作者: 卜一    时间: 2006-12-2 04:56
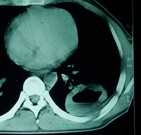
左下肺病灶除了明显的厚壁空洞 气液平外,明显见壁结节,另两肺多发小结节,综合考虑:左下肺周围性肺癌伴肺内转移.
作者: 拾荒者    时间: 2006-12-2 04:56
血源性肺脓肿,一般由原发感染灶引起脓毒败血症,在肺部形成小脓肿,病变变化快,容易形成肺气囊,脓气胸,主要与转移瘤鉴别,继续抗炎治疗复查。
作者: YaoYY    时间: 2006-12-2 04:58
转移瘤吗?
作者: wshsp    时间: 2006-12-2 05:17
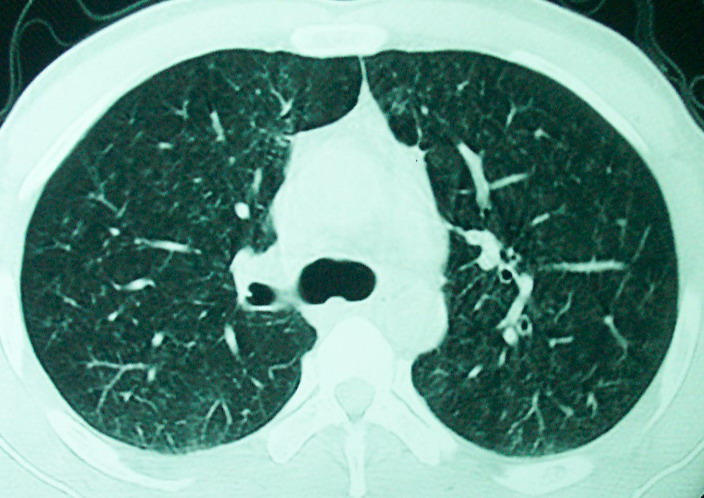
除了肺内多发结节和左肺下叶的浓疡病灶,还应注意满肺散在的小结节影,还有右上肺前段支气管内膜不光整这些细节,结合病史,肺内多发结节应考虑结核性肉芽!
作者: zbf1964724    时间: 2006-12-2 05:53
结合临床发热,咳痰考虑为血源性肺脓肿,多发结节考虑肿块状肺脓肿,跟踪除外转移瘤
作者: yangmin19781209    时间: 2006-12-2 05:57
肺脓肿,结节病
作者: 如醉卧风    时间: 2006-12-2 06:25
1肺结核.2肺脓肿.3与肺肿瘤鉴别吧.
作者: guduchunmeng    时间: 2006-12-2 06:34
抗炎治疗后复查!!!实在不行就强化。我倾向化脓性肺炎。
作者: zgyycds    时间: 2006-12-2 06:53
鳞癌肺肺转移:厚壁空洞,洞壁厚薄不均,内似有壁结节,肺脓肿临床有无提示,血像如何?病灶周围很干净,没有明显渗出,很勉强?
作者: liuyue    时间: 2006-12-2 06:55
结合临床发热,咳痰考虑为血源性肺脓肿,多发结节考虑肿块状肺脓肿,跟踪除外转移瘤
作者: jiangjing    时间: 2006-12-2 07:15
血源性肺脓肿,一般由原发感染灶引起脓毒败血症,在肺部形成小脓肿,病变变化快,容易形成肺气囊,脓气胸,主要与转移瘤鉴别,通过临床病史可分
作者: 守望可可    时间: 2006-12-2 07:41
标题: 回复:ct5470:双肺内结节
以下是引用13081830109在2006-12-1 17:37:00的发言:[br]两次扫描间隔7天,病人现在精神状况很好     希望各位老师给于意见   谢谢


  兄弟,别紧张!
  如果你仔细的同层面对比,你会发现所有的病灶均有比较明显的吸收、缩小。病变的形态,特别是脓肿的形态、壁的厚薄、内壁均有很大的变化,均在往好的方面发展。与临床症状、血像均符合,治疗效果比较显著,就是肺脓肿并双肺的化脓性炎症灶。
  实在不放心,可以短期内再复查,应该变化更明显。
作者: elity69    时间: 2006-12-2 09:12
结合病史考虑血源性肺脓肿,建议积极正规抗炎复查 与转移瘤鉴别
作者: 宝天曼    时间: 2006-12-2 14:53
结合临床发热,咳痰考虑为血源性肺脓肿,不过双肺结节又在肺的边缘,还是小心一点,抗炎后复查吧
作者: haha215315    时间: 2006-12-2 16:59
血象这么高,应是肺脓肿,继续抗炎治疗.
作者: zyx168    时间: 2006-12-2 17:27
考虑血源性肺脓肿
作者: wansheng    时间: 2006-12-2 22:18
血象这么高,应是肺脓肿,继续抗炎治疗.
作者: 裴德医生    时间: 2006-12-2 22:33
有其它部位感染吗?
作者: yuanfang_22    时间: 2006-12-2 23:19
金葡菌感染??
有实验室检查吗?
作者: lizhenhua_00    时间: 2006-12-4 03:53
考虑血源性肺脓肿.
作者: zh-gq    时间: 2006-12-7 23:29
标题: 回复:ct5470:双肺内结节
以下是引用zbx160在2006-12-1 20:28:00的发言:[br]结合病史考虑血源性肺脓肿,建议积极正规抗炎复查 与转移瘤鉴别

作者: jinguoji    时间: 2006-12-8 07:25
结合病史考虑血源性肺脓肿,建议积极正规抗炎复查 与转移瘤鉴别
作者: shibing    时间: 2015-7-6 15:16
结合病史考虑血源性肺脓肿,与转移瘤鉴别




欢迎光临 医影在线 (http://bbs.radida.com/bbs/) Powered by Discuz! X3.2