医影在线
标题: CT5472:颅脑占位,性质? [打印本页]
作者: wywly 时间: 2006-12-2 02:13
标题: CT5472:颅脑占位,性质?
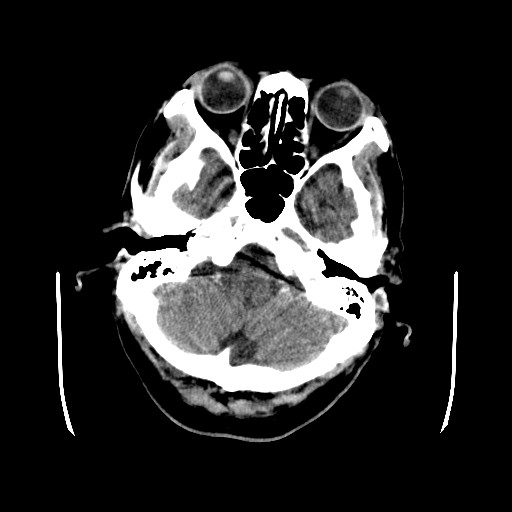
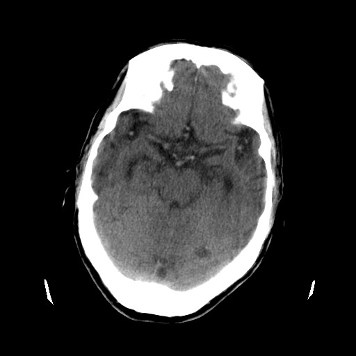
患者,男,70岁,清晨(10小时前)无法自行起床,家人无法唤醒,现昏迷,大小便失禁













[本贴已被 wywly 于 2006-12-1 18:13:48 修改过]
[本贴已被 jiajie 于 2006-12-1 19:11:42 修改过]
作者: lzdyjg 时间: 2006-12-2 02:23
不增强怎么定性啊?
暂时血管畸形并出血。
作者: 余辉 时间: 2006-12-2 02:24
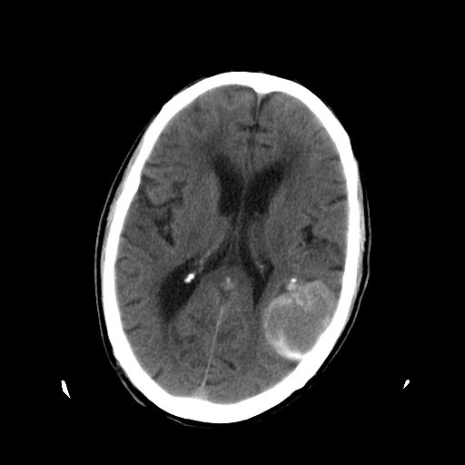
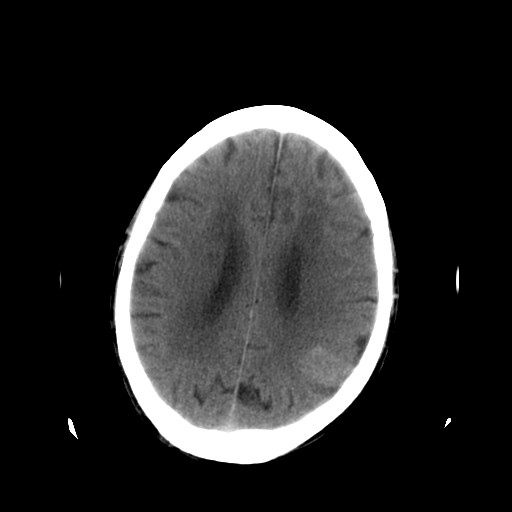
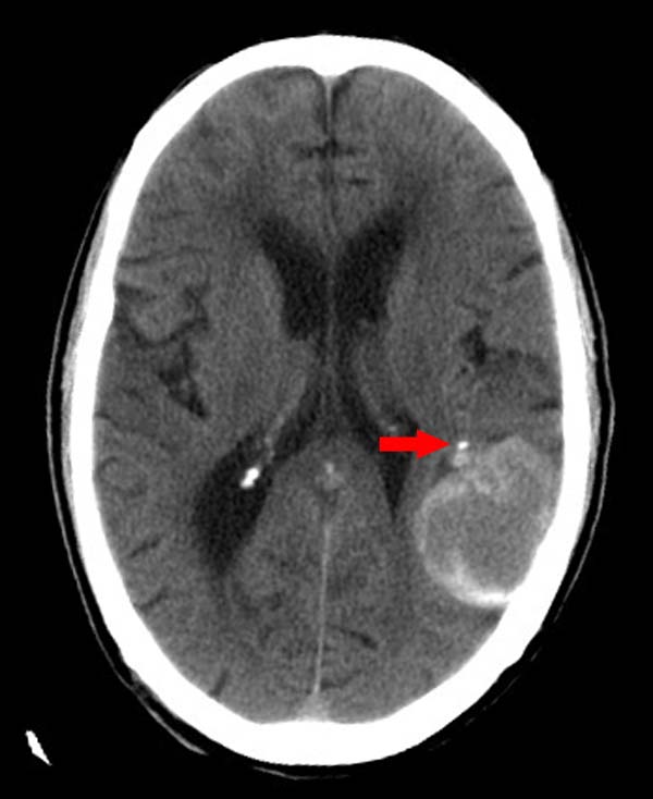
左颞枕叶交界区可见类圆形高密度区,边缘可见环形更高密度影,并夹杂有点状钙化影,占位效应明显,未见明显水肿影,考虑脑膜瘤出血
作者: 尚峰 时间: 2006-12-2 02:27
应该就是单纯的脑出血,过几天复查一下。
作者: sdllxu 时间: 2006-12-2 02:32
标题: 回复:颅脑占位,性质?
以下是引用余辉在2006-12-1 18:24:00的发言:[br]左颞枕叶交界区可见类圆形高密度区,边缘可见环形更高密度影,并夹杂有点状钙化影,占位效应明显,未见明显水肿影,考虑脑膜瘤出血
作者: 阿圣 时间: 2006-12-2 02:34
脑膜瘤可能
作者: wangzhanshuang 时间: 2006-12-2 02:37
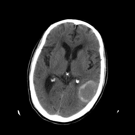
肿快呈以等密度为主的等高密度影,占位效应不是很明显,只是左枕角受压,肿块内侧似有低密度改变.
单纯出血吸收应该从周边开始,
1脑膜瘤
2血管畸形
作者: 聂新建 时间: 2006-12-2 02:59
从影象上看想个脑膜瘤,但病史不好解释.
作者: wangzhongliang 时间: 2006-12-2 03:01
等病情缓下来后做个增强,我考并非单纯的脑出血,可能是因为是肿瘤吧
作者: lon_long 时间: 2006-12-2 03:17
脑膜瘤
作者: yemin92007 时间: 2006-12-2 03:30
目前考虑脑膜瘤合并出血?建议强化扫描或mr检查鉴别性质。
作者: cjyywk 时间: 2006-12-2 03:43
1脑膜瘤.2大脑皮质下动脉硬化性脑病.
作者: 宇宙巨人 时间: 2006-12-2 03:45
脑膜瘤伴出血或伴钙化(因未测ct值).
作者: YaoYY 时间: 2006-12-2 04:34
左侧顶枕部脑膜瘤并出血。
作者: 迎客松abc 时间: 2006-12-2 04:48
左颞枕叶交界区可见类圆形高密度区,边缘可见环形更高密度影,侧脑室后角明显受压而周围未见明显水肿.考虑脑膜瘤伴出血可能性大不排外血管畸形.建议mr进一步检查.
作者: zbx160 时间: 2006-12-2 04:53
请问第六幅图像中左颞枕区圆形低密度影 怎么回事 请解释一下 谢谢
作者: dyqct 时间: 2006-12-2 04:58
标题: 回复:ct5472:颅脑占位,性质?
以下是引用余辉在2006-12-1 18:24:00的发言:[br]左颞枕叶交界区可见类圆形高密度区,边缘可见环形更高密度影,并夹杂有点状钙化影,占位效应明显,未见明显水肿影,考虑脑膜瘤出血
作者: 卜一 时间: 2006-12-2 05:06
左颞枕叶交界区可见类圆形高密度区,边缘可见环形更高密度影,并夹杂有点状钙化影,占位效应明显,未见明显水肿影,考虑脑膜瘤出血
支持!
作者: xcct 时间: 2006-12-2 05:18
标题: 回复:ct5472:颅脑占位,性质?
以下是引用迎客松abc在2006-12-1 20:48:00的发言:[br]左颞枕叶交界区可见类圆形高密度区,边缘可见环形更高密度影,侧脑室后角明显受压而周围未见明显水肿.考虑脑膜瘤伴出血可能性大不排外血管畸形.建议mr进一步检查.
ok
作者: yangmin19781209 时间: 2006-12-2 05:53
脑膜瘤。增强
作者: 如醉卧风 时间: 2006-12-2 06:15
标题: 回复:ct5472:颅脑占位,性质?
以下是引用wangzhanshuang在2006-12-1 18:37:00的发言:[br]肿快呈以等密度为主的等高密度影,占位效应不是很明显,只是左枕角受压,肿块内侧似有低密度改变.[br]单纯出血吸收应该从周边开始,[br]1脑膜瘤[br]2血管畸形
另:其他肿瘤也要考虑呀.胶质母细胞瘤?
作者: lmfabc 时间: 2006-12-2 06:17
脑膜瘤可能
作者: marco 时间: 2006-12-2 06:28
肿快呈以等密度为主的等高密度影,占位效应不是很明显,只是左枕角受压,肿块内侧似有低密度改变.
单纯出血吸收应该从周边开始,
1脑膜瘤
2血管畸形
作者: 梁彬彬 时间: 2006-12-2 06:33
增强还是要做的.
作者: 借酒温书 时间: 2006-12-2 06:57
左侧颞枕叶交界区见类圆型等高密度混杂影,边缘可见高密度影环绕,同侧侧脑室后脚受压变形,周边围见明显水肿影. 结论:脑膜瘤首先考虑.
作者: liuyue 时间: 2006-12-2 06:57
脑膜瘤可能性大
作者: jiangjing 时间: 2006-12-2 07:11
肿快呈以等密度为主的等高密度影,占位效应不是很明显,只是左枕角受压,肿块内侧似有低密度改变.
单纯出血吸收应该从周边开始,
1脑膜瘤
2血管畸形
作者: elity69 时间: 2006-12-2 07:38
肿快呈以等密度为主的等高密度影,占位效应不是很明显,只是左枕角受压,肿块内侧似有低密度改变.
单纯出血吸收应该从周边开始,
1脑膜瘤
2血管畸形
作者: fengsx 时间: 2006-12-2 08:04
脑膜瘤并出血
作者: 守望可可 时间: 2006-12-2 08:27
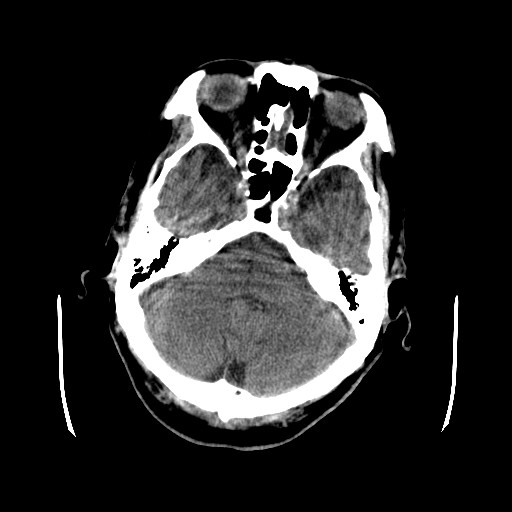
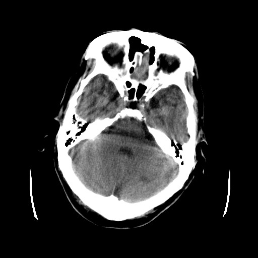
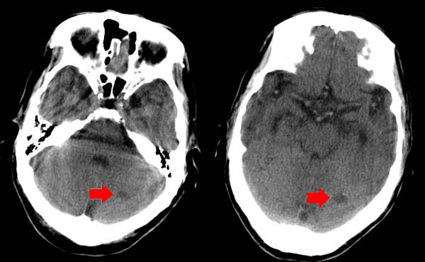
左颞枕叶交界区的类圆形高密度区首先考虑脑膜瘤卒中,病人左侧小脑半球的还有多个囊性低密度,要考虑同时伴有梗塞的可能。
但临床症状为什么那么重?
“出血性脑卒中聚发立刻扫描甚或3小时内ct亦可无异常发现。原来认为活动性脑出血多是一次性的,很少持续1 h以上,现在发现起病1 h后出血仍可持续。brott等[1]报道,至少有38%患者的血肿在脑出血后24 h内有扩大,其中多数出现在3~4 h。少数病后2~14 d内病情加重者也系血肿扩大所致。因此,脑出血发病后仍有继续出血现象,血肿扩大多与病情,尤其是早期病情加重有关。”
这个病人做ct时已经10小小时了,按说出血多稳定了,这么少的出血和这么小、少的梗塞怎么会导致病人昏迷?而脑干、脑桥和中脑都没有发现出血或梗塞,也没有明显的颅内高压,真的很奇怪。
“4-5天后血肿周边开始溶解吸收,脑出血病人血肿吸收有一定规律性,0.7-1毫升/天,10天后小血肿已吸收殆尽,不留痕迹。”不知道部分战友为什么用出血吸收来推理它不是单纯的脑出血,因为现在根本还没有开始吸收嘛!但病灶内密度不均匀的确可以区分是不是单纯出血,但这个论据首先就有点跛脚。
作者: 宝天曼 时间: 2006-12-2 14:42
目前考虑脑膜瘤合并出血?
建议强化扫描或mr检查鉴别性质
作者: haha215315 时间: 2006-12-2 17:09
应该就是单纯的脑出血.
作者: zyx168 时间: 2006-12-2 17:50
考虑瘤卒中(脑膜瘤)
作者: chmb 时间: 2006-12-2 19:21
支持脑膜瘤伴出血
作者: 裴德医生 时间: 2006-12-2 22:36
肿瘤出血吧
作者: 玲玲 时间: 2006-12-3 00:04
小脑左侧是不是还有个小病灶???
作者: 同 时间: 2006-12-3 00:44
多考虑脑膜瘤伴出血
作者: mmg94 时间: 2006-12-3 01:07
单纯的脑出血
作者: wangjj555 时间: 2006-12-3 02:11
先考虑脑膜瘤.
作者: 眼睛 时间: 2006-12-3 02:13
标题: 回复:ct5472:颅脑占位,性质?
以下是引用chmb在2006-12-2 11:21:00的发言:[br]支持脑膜瘤伴出血
作者: wqs571018 时间: 2006-12-3 02:20
脑膜瘤伴出血可能性大,但还是应做增强.
作者: 拾荒者 时间: 2006-12-3 02:29
标题: 回复:ct5472:颅脑占位,性质?
以下是引用守望可可西里在2006-12-2 0:27:00的发言:[br][br] 左颞枕叶交界区的类圆形高密度区首先考虑脑膜瘤卒中,病人左侧小脑半球的还有多个囊性低密度,要考虑同时伴有梗塞的可能。[br] [br] 但临床症状为什么那么重?[br] “出血性脑卒中聚发立刻扫描甚或3小时内ct亦可无异常发现。原来认为活动性脑出血多是一次性的,很少持续1 h以上,现在发现起病1 h后出血仍可持续。brott等[1]报道,至少有38%患者的血肿在脑出血后24 h内有扩大,其中多数出现在3~4 h。少数病后2~14 d内病情加重者也系血肿扩大所致。因此,脑出血发病后仍有继续出血现象,血肿扩大多与病情,尤其是早期病情加重有关。”[br] 这个病人做ct时已经10小小时了,按说出血多稳定了,这么少的出血和这么小、少的梗塞怎么会导致病人昏迷?而脑干、脑桥和中脑都没有发现出血或梗塞,也没有明显的颅内高压,真的很奇怪。[br][br] [br] “4-5天后血肿周边开始溶解吸收,脑出血病人血肿吸收有一定规律性,0.7-1毫升/天,10天后小血肿已吸收殆尽,不留痕迹。”不知道部分战友为什么用出血吸收来推理它不是单纯的脑出血,因为现在根本还没有开始吸收嘛!但病灶内密度不均匀的确可以区分是不是单纯出血,但这个论据首先就有点跛脚。
作者: ysxyy 时间: 2006-12-4 05:09
标题: 回复:ct5472:颅脑占位,性质?
患者,男,70岁,清晨(10小时前)无法自行起床,家人无法唤醒,现昏迷,大小便失禁
左小脑梗塞;左顶部脑血管畸形可能;
建议增强扫描助诊;


病人昏迷是否与左顶部病变的血流突然改变(如阻断)引起脑血流动态平衡失衡有关;
作者: zh-gq 时间: 2006-12-7 23:11
脑膜瘤 出血
作者: shibing 时间: 2015-7-6 15:14
脑膜瘤
| 欢迎光临 医影在线 (http://bbs.radida.com/bbs/) |
Powered by Discuz! X3.2 |