










































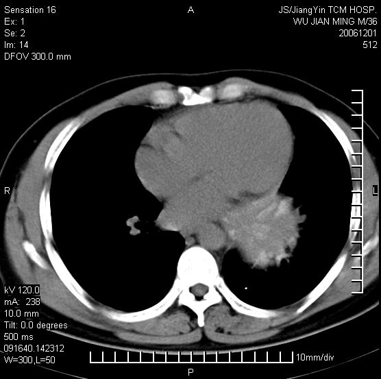
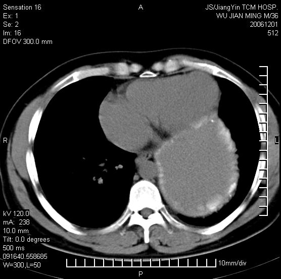
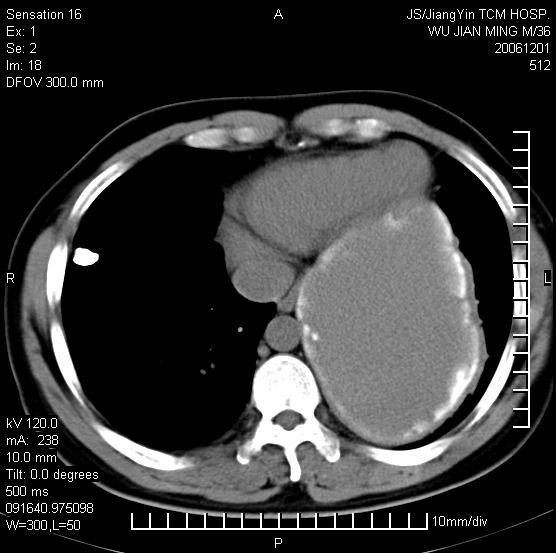
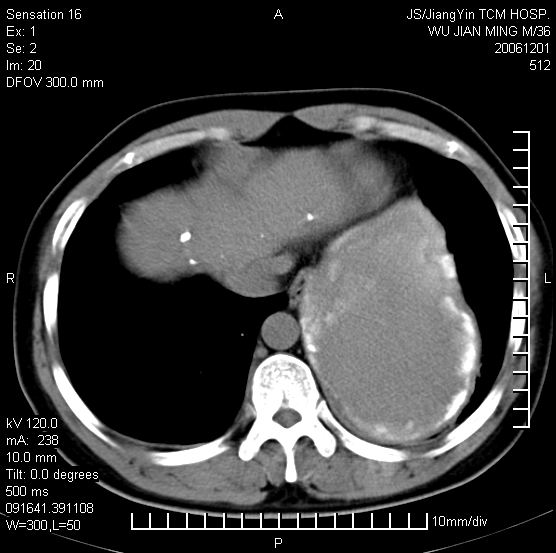
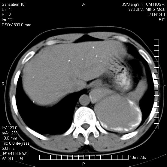
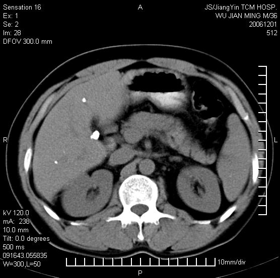
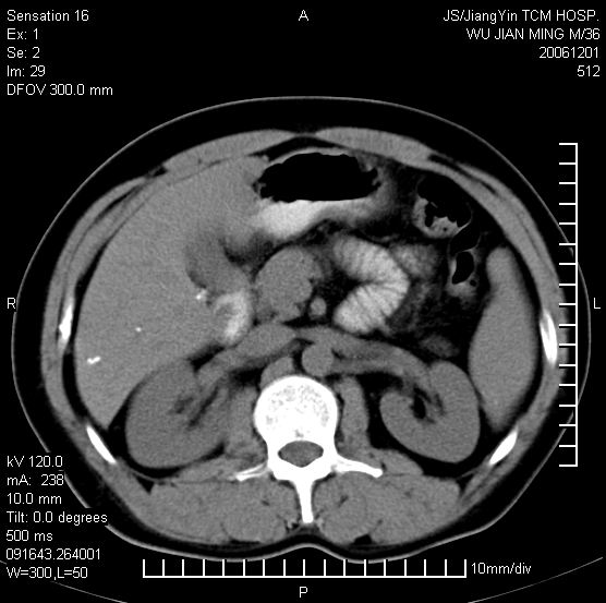
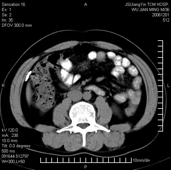
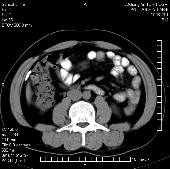
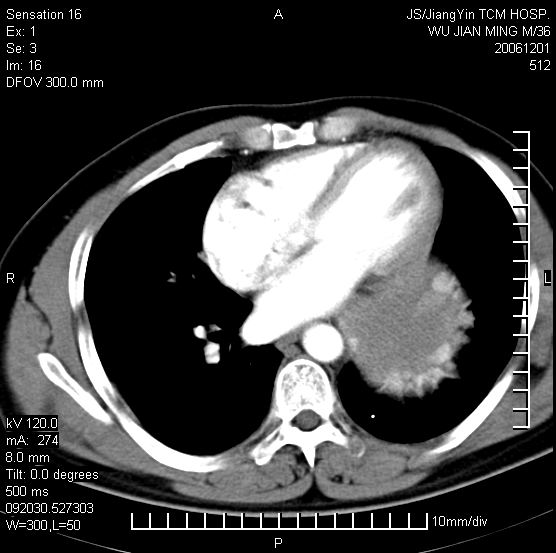
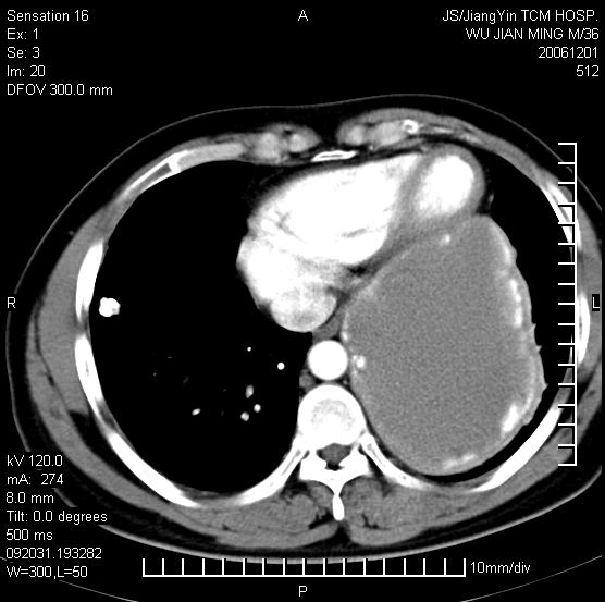
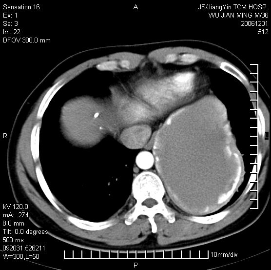
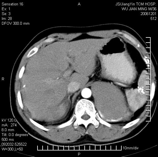
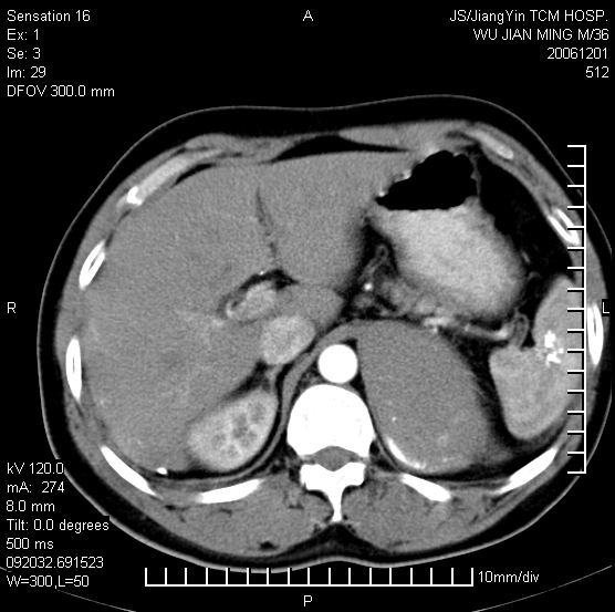
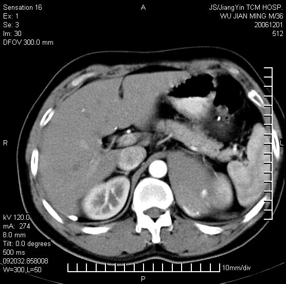
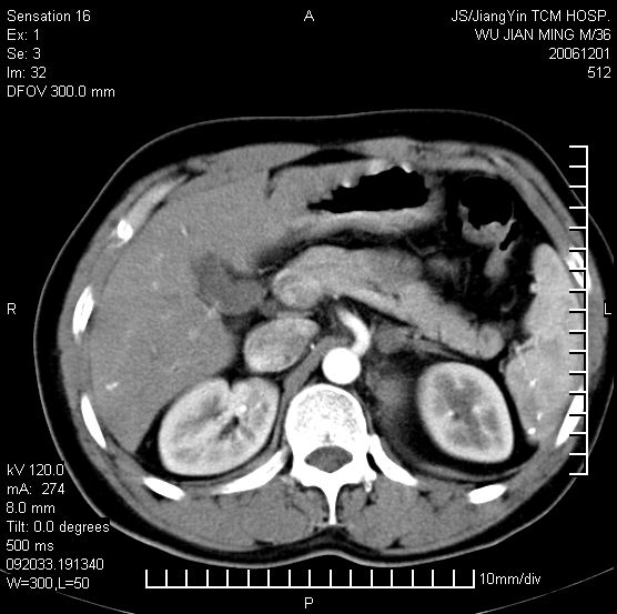
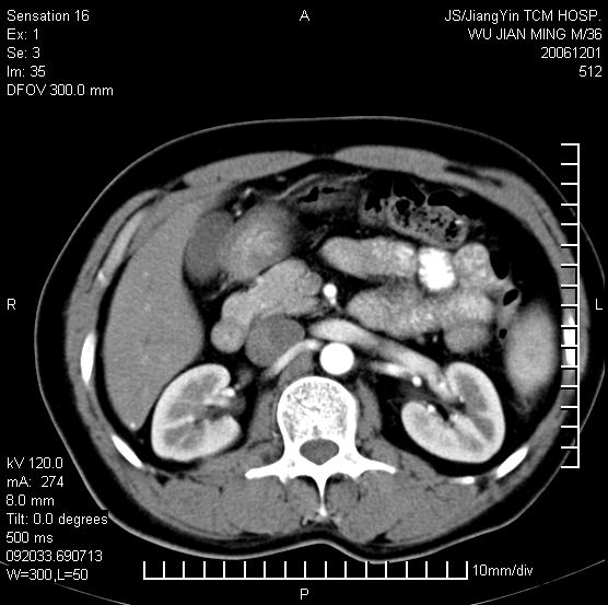
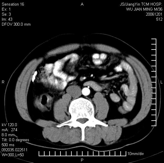
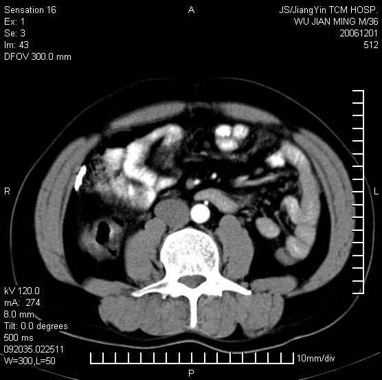
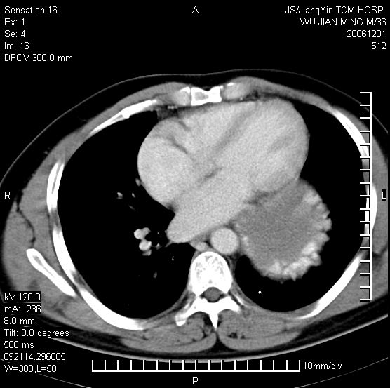
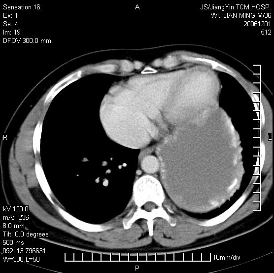
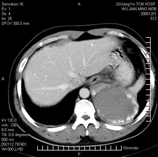
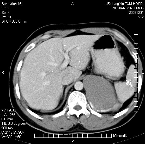
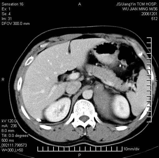
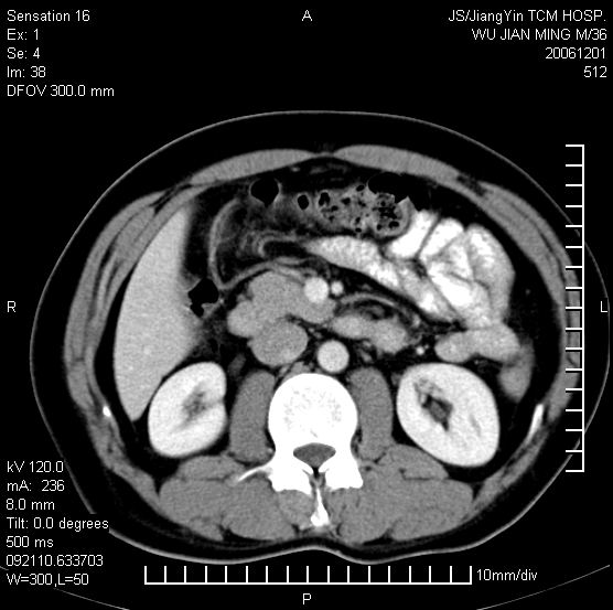
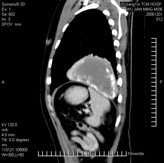
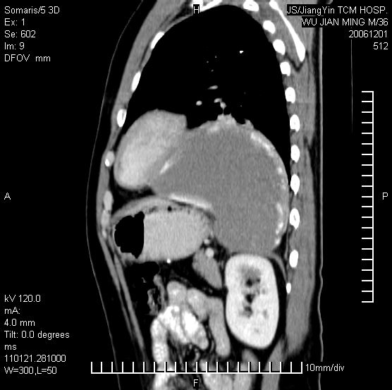
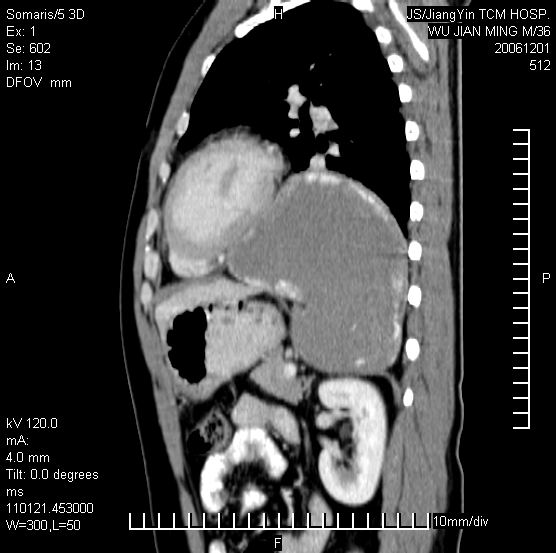
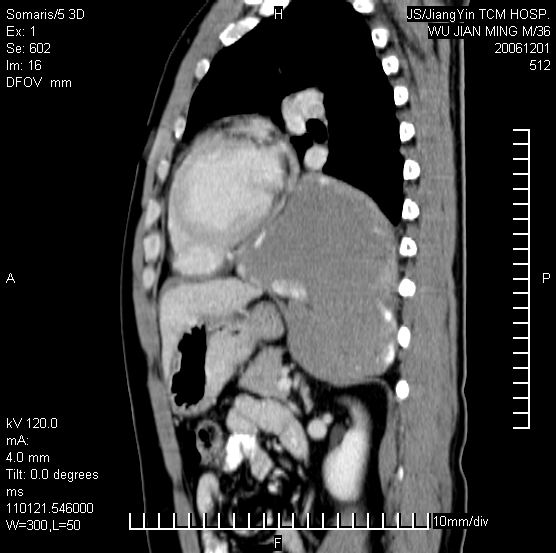
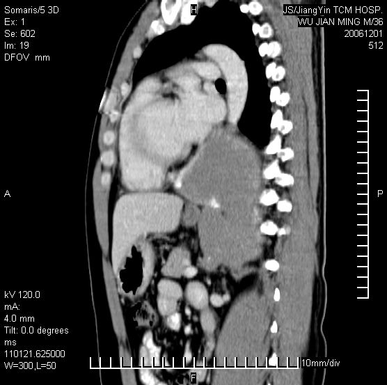
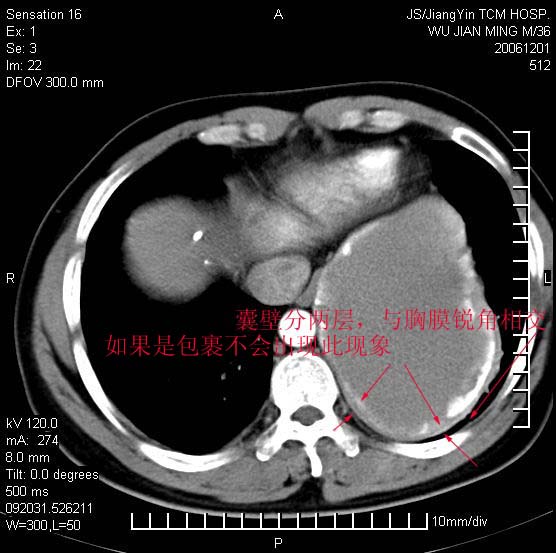
以下是引用dyqct在2006-12-1 21:17:00的发言:[br]左心缘旁及后肋膈窦区见巨大椭圆形混杂密度肿块,周围见大小不等斑片状钙化,内部无强化,周围包膜轻度强化,心脏明显受压变形,即明显占位效应,肿块广基与心包、膈相连。肝、脾内、肝门见多数小结节状钙化影。[br]考虑:1、左心缘旁及后肋膈窦区慢性包裹性胸膜炎(结核性);[br] 2、肝、脾及肝门淋巴结核已钙化。[br]

以下是引用dyqct在2006-12-1 21:17:00的发言:[br]左心缘旁及后肋膈窦区见巨大椭圆形混杂密度肿块,周围见大小不等斑片状钙化,内部无强化,周围包膜轻度强化,心脏明显受压变形,即明显占位效应,肿块广基与心包、膈相连。肝、脾内、肝门见多数小结节状钙化影。[br]考虑:1、左心缘旁及后肋膈窦区慢性包裹性胸膜炎(结核性);[br] 2、肝、脾及肝门淋巴结核已钙化。[br]
以下是引用dyqct在2006-12-1 21:17:00的发言:[br]左心缘旁及后肋膈窦区见巨大椭圆形混杂密度肿块,周围见大小不等斑片状钙化,内部无强化,周围包膜轻度强化,心脏明显受压变形,即明显占位效应,肿块广基与心包、膈相连。肝、脾内、肝门见多数小结节状钙化影。[br]考虑:1、左心缘旁及后肋膈窦区慢性包裹性胸膜炎(结核性);[br] 2、肝、脾及肝门淋巴结核已钙化。[br]


以下是引用zrs在2006-12-2 17:28:00的发言:[br]肺内、肝脾内虽有钙化,但不支持结核性胸胸膜炎包裹,而支持寄生虫感染![br][br]
[br]
以下是引用拾荒者在2006-12-2 22:57:00的发言:[br][quote]以下是引用zrs在2006-12-2 17:28:00的发言:[br]肺内、肝脾内虽有钙化,但不支持结核性胸胸膜炎包裹,而支持寄生虫感染![br][br]
[br]
以下是引用zyx168在2006-12-2 10:10:00的发言:[br][br]肝脾肺内多发钙化灶
| 欢迎光临 医影在线 (http://bbs.radida.com/bbs/) | Powered by Discuz! X3.2 |