医影在线
标题: CT5485:[原创]肺部占位请讨论 [打印本页]
作者: 815989 时间: 2006-12-4 03:47
标题: CT5485:[原创]肺部占位请讨论
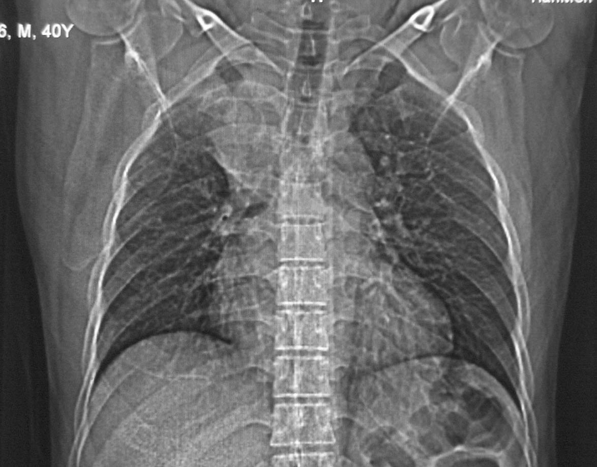
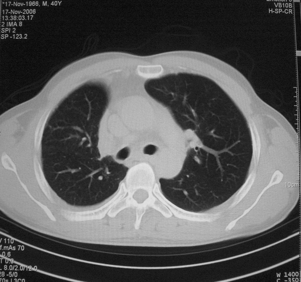
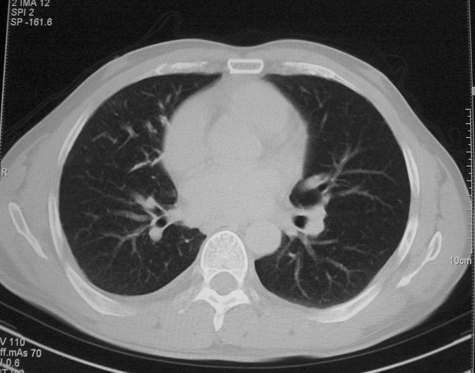
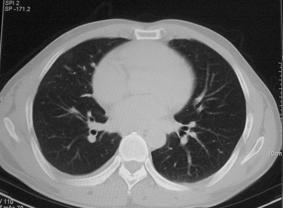
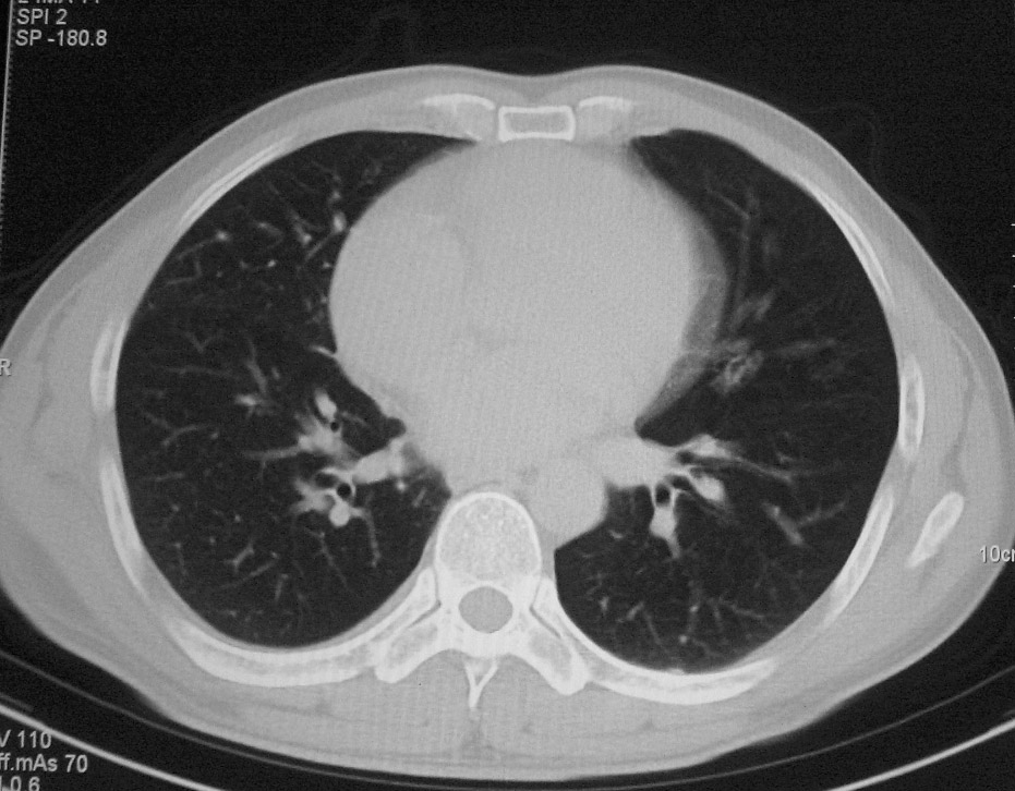
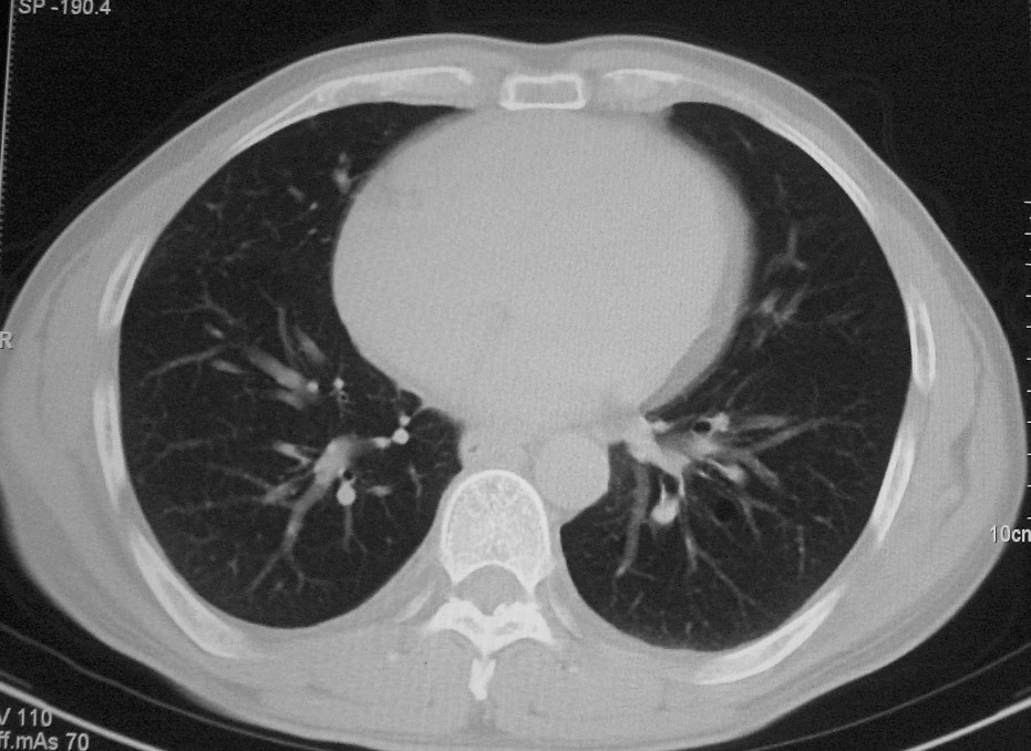
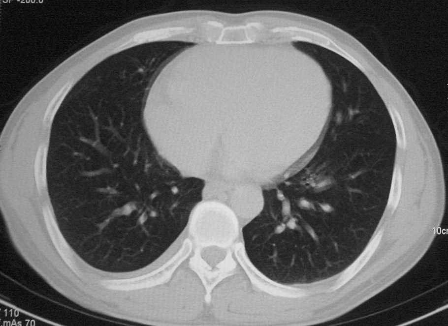
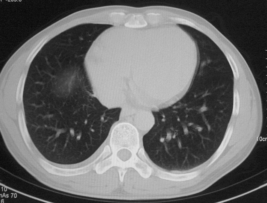
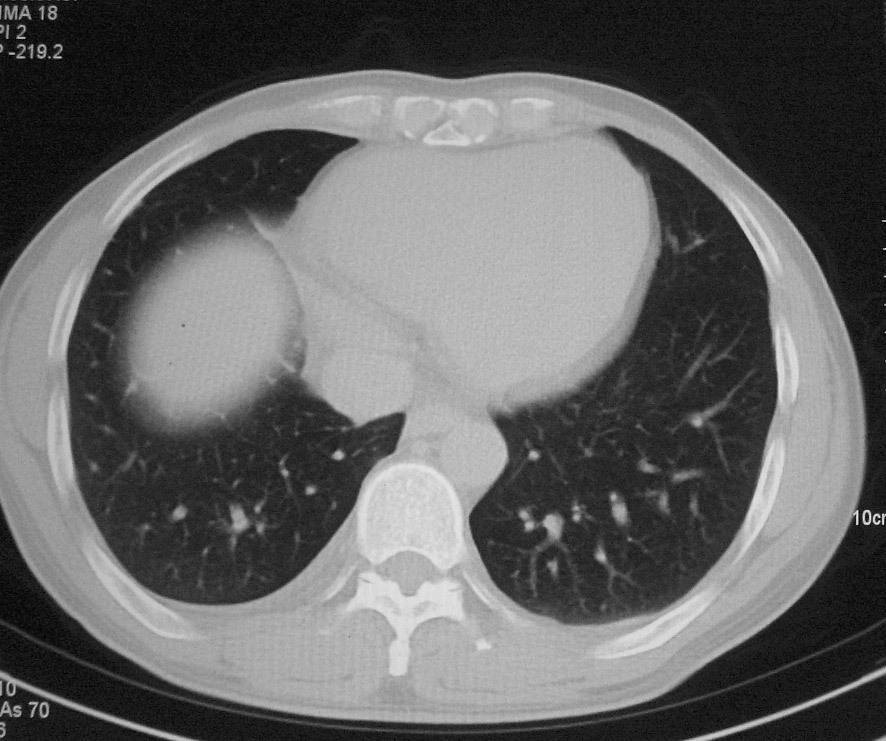
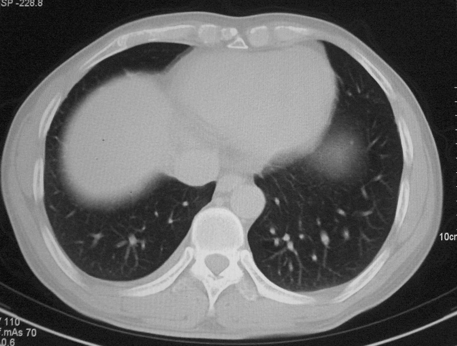
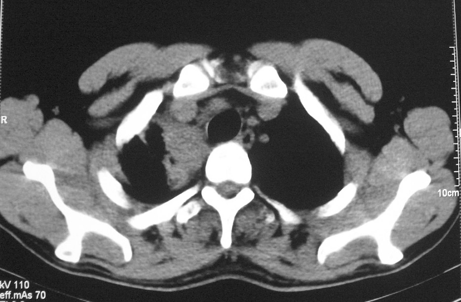
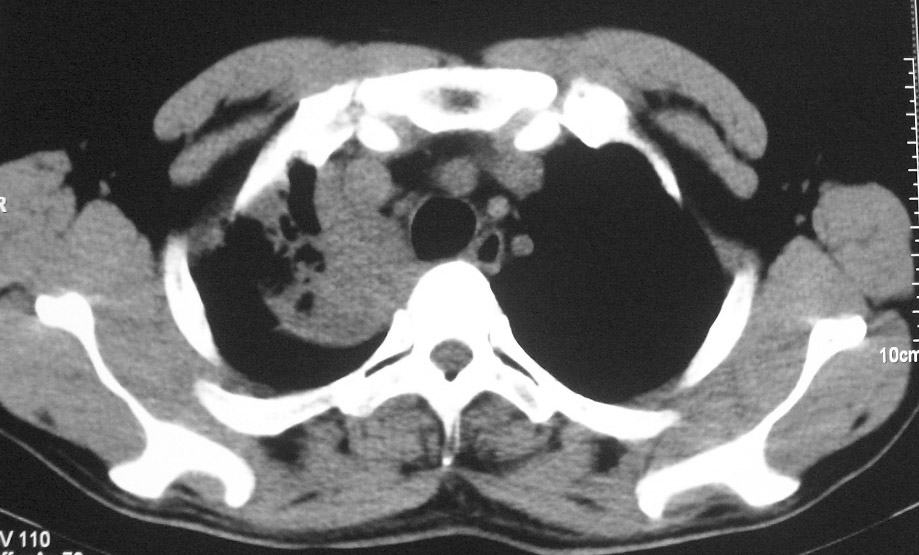
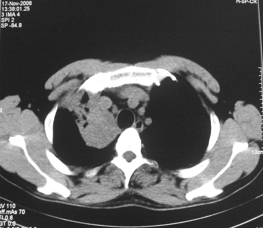
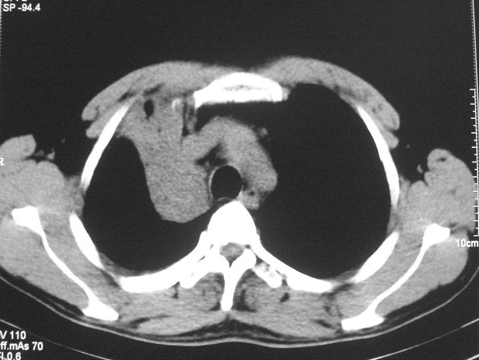
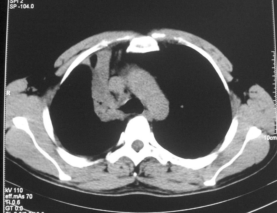
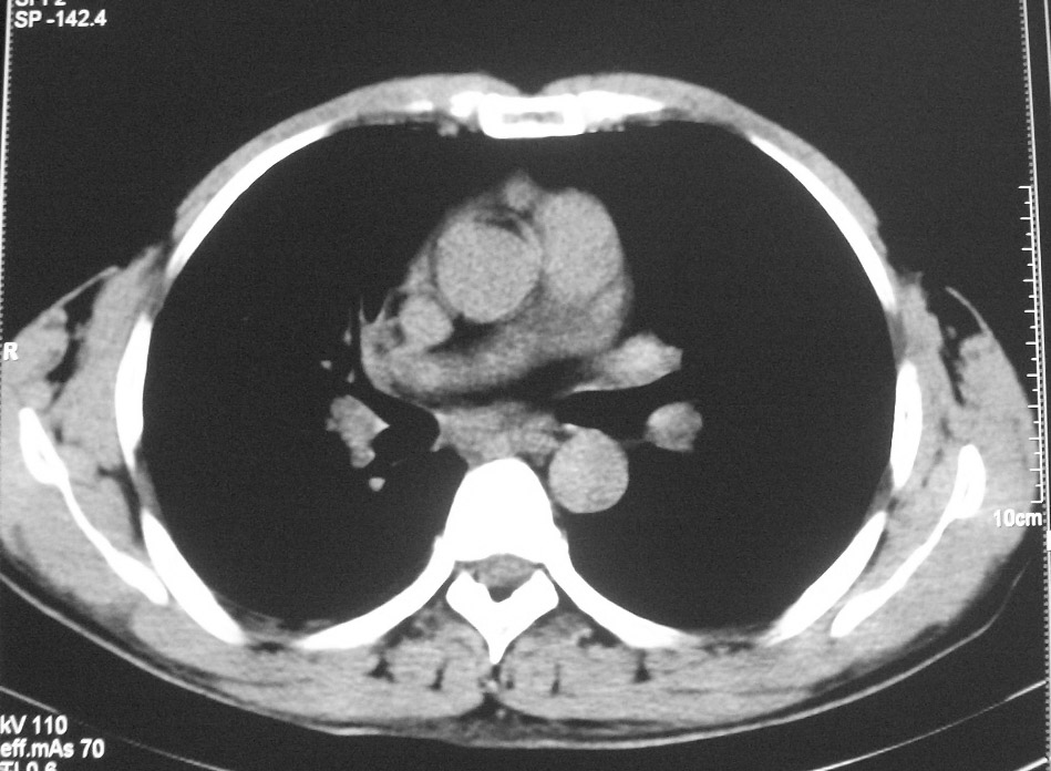
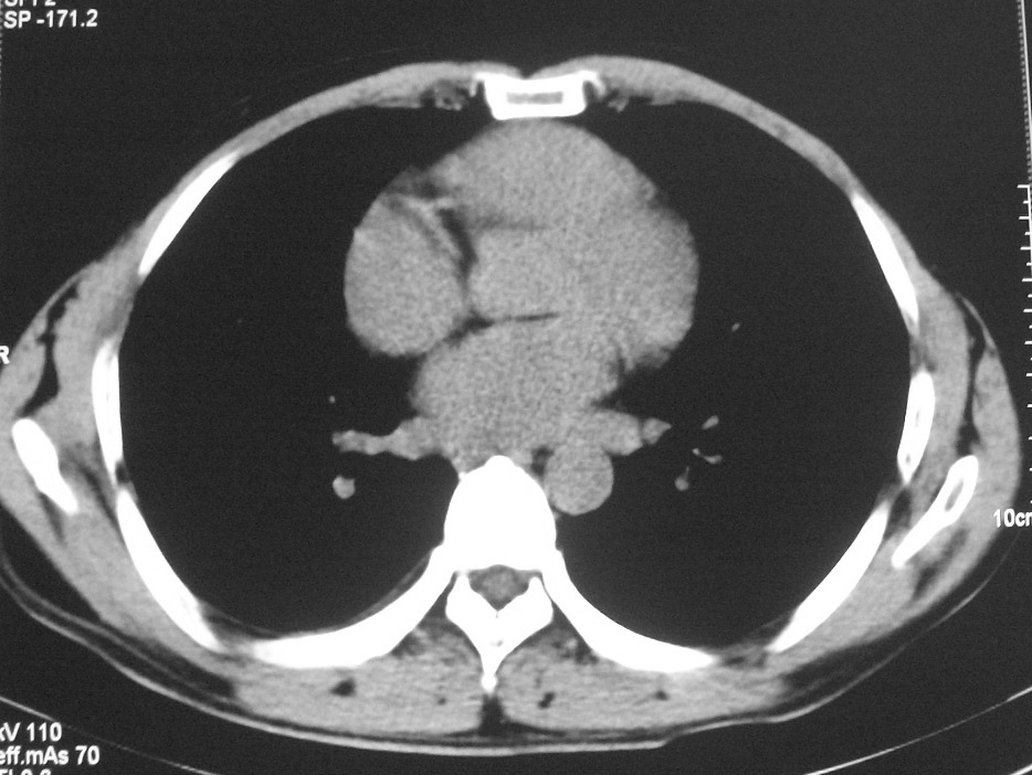
点击可放大图片















































[本贴已被 翁志蓬 于 2006-12-3 20:18:09 修改过]
作者: ILIKECT 时间: 2006-12-4 04:12
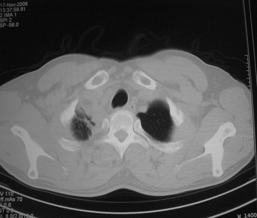
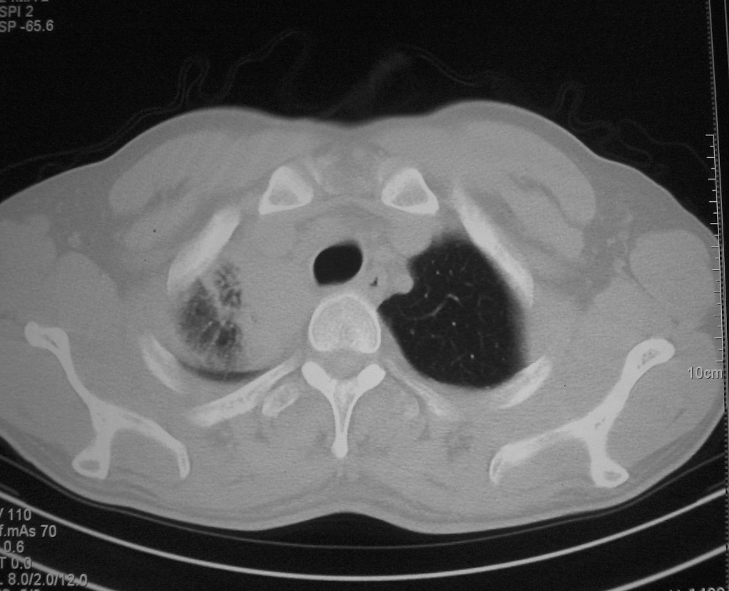
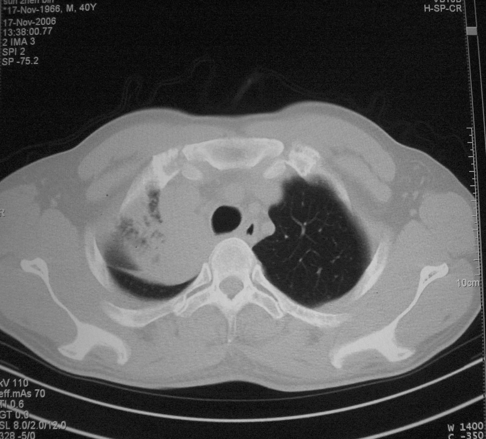
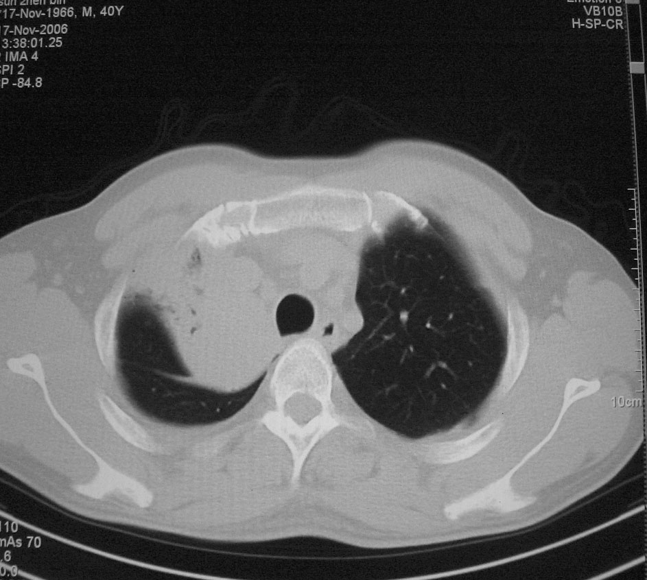
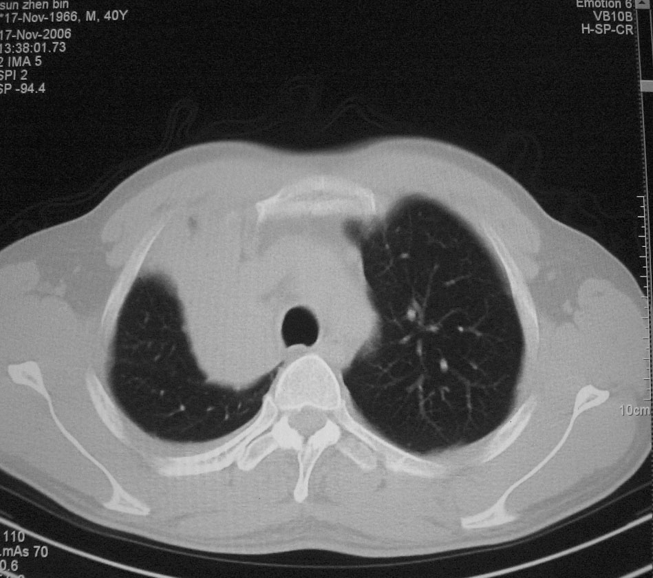
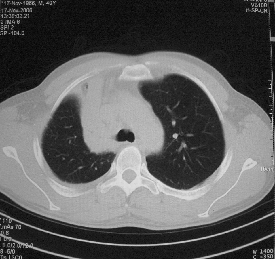
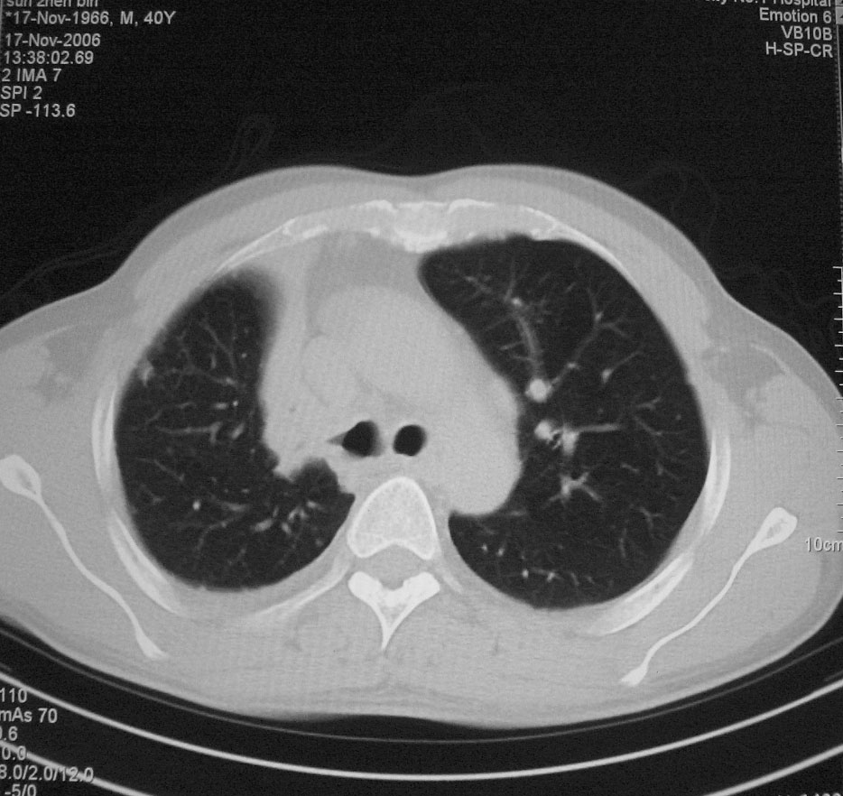
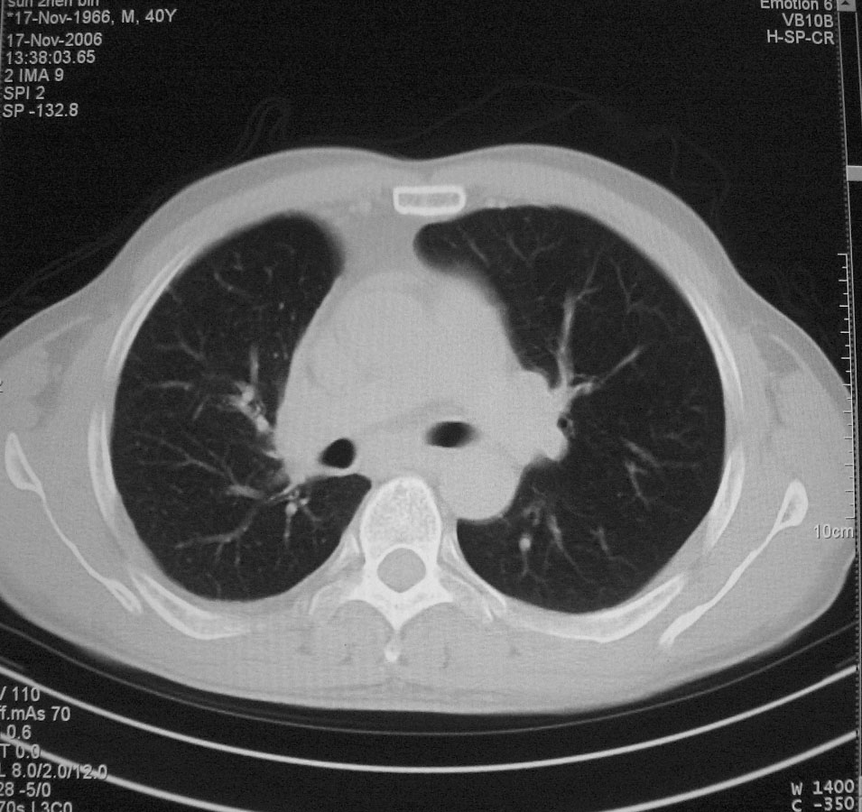
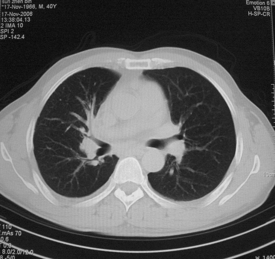
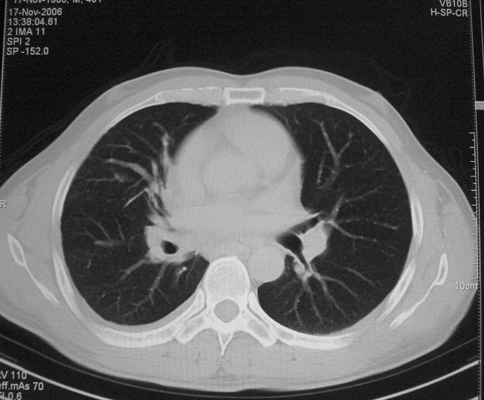
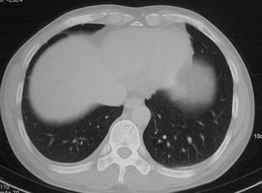
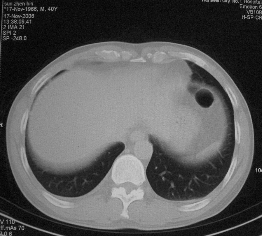
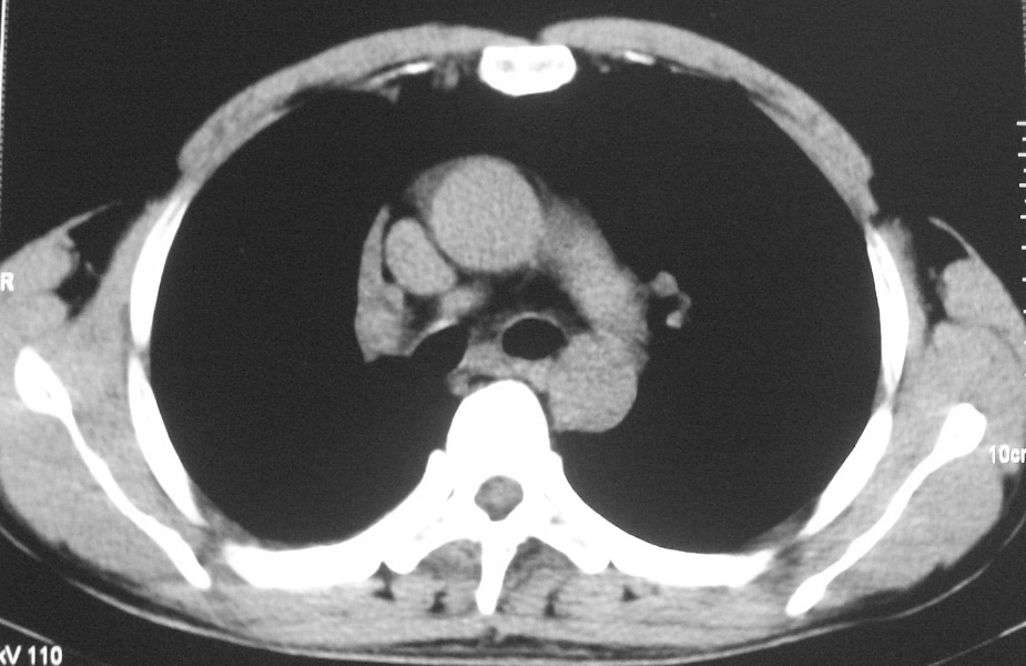
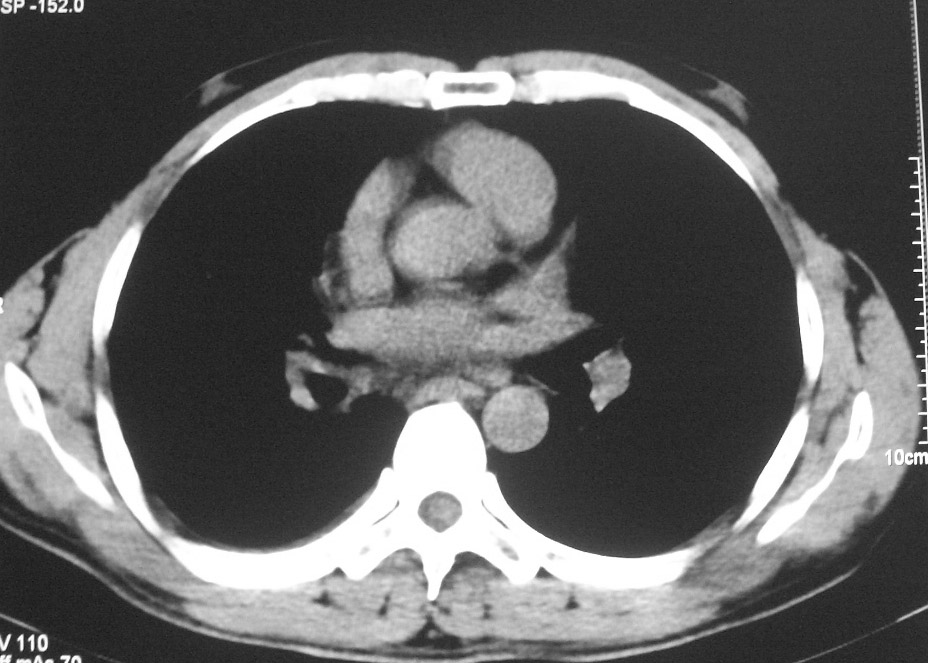
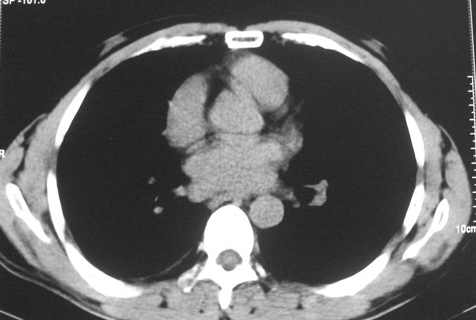
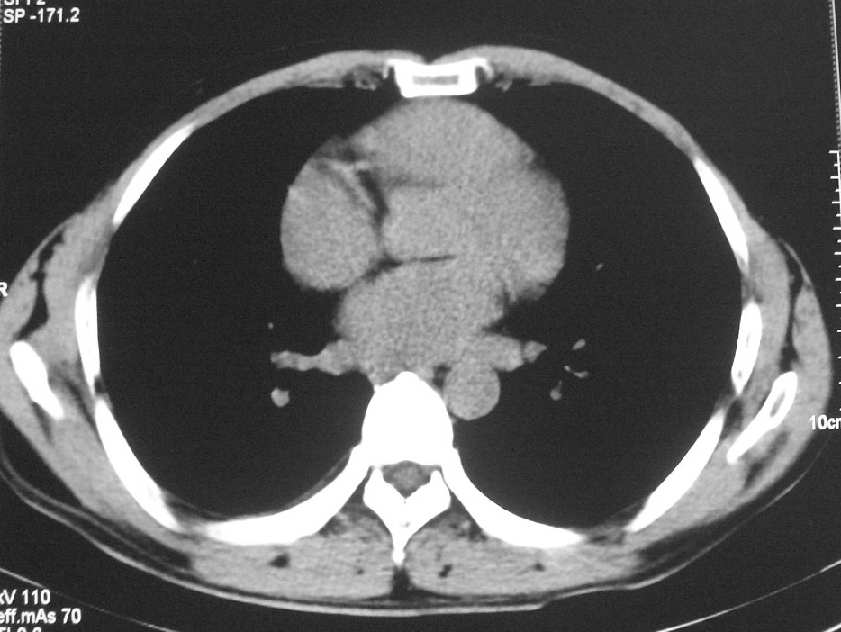
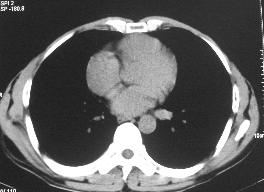
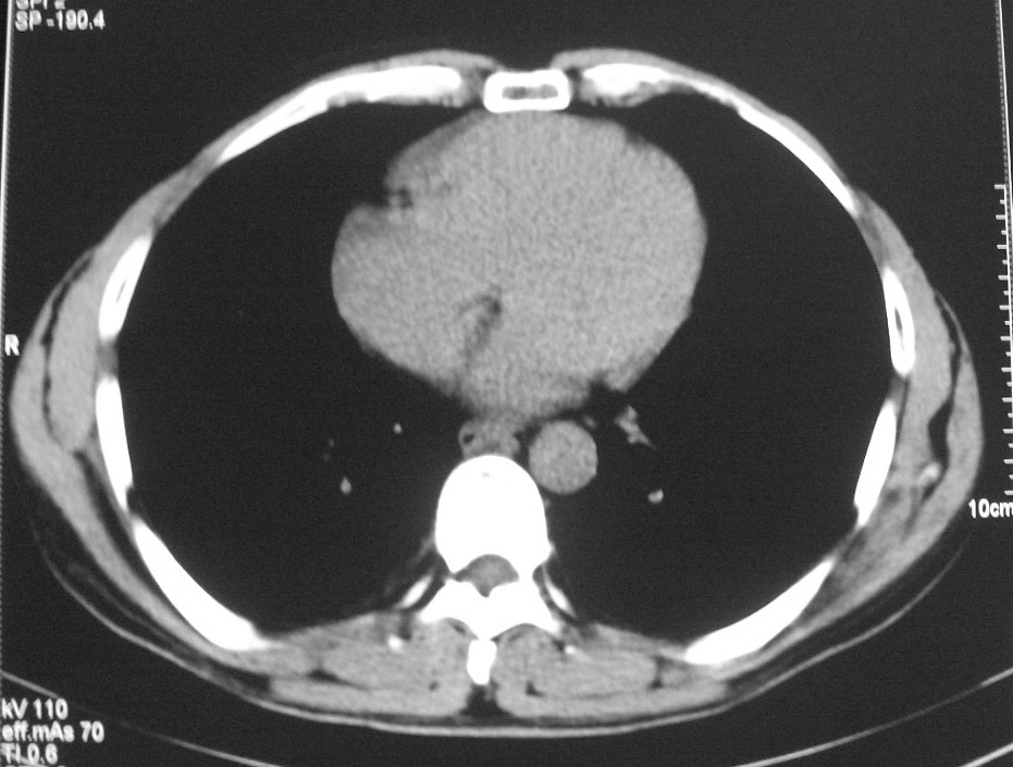
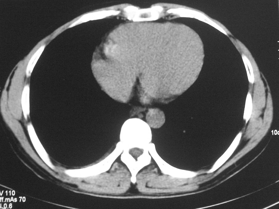
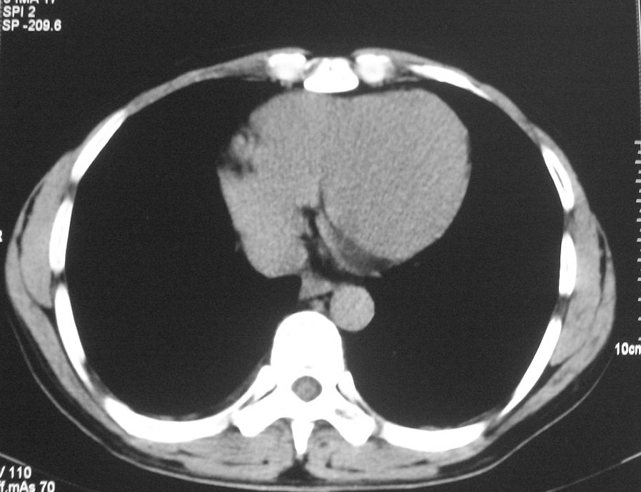
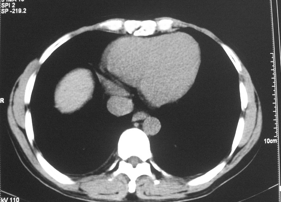
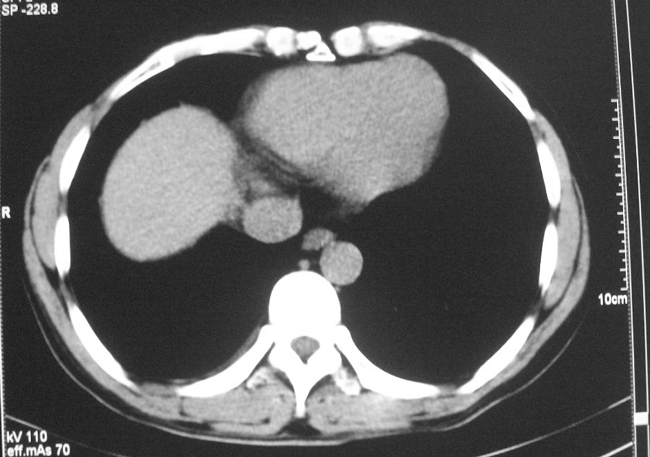
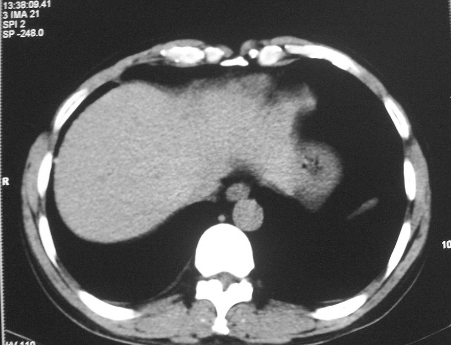
右上肺ca并肺不张,纵隔淋巴结转移
作者: jian-5587 时间: 2006-12-4 04:21
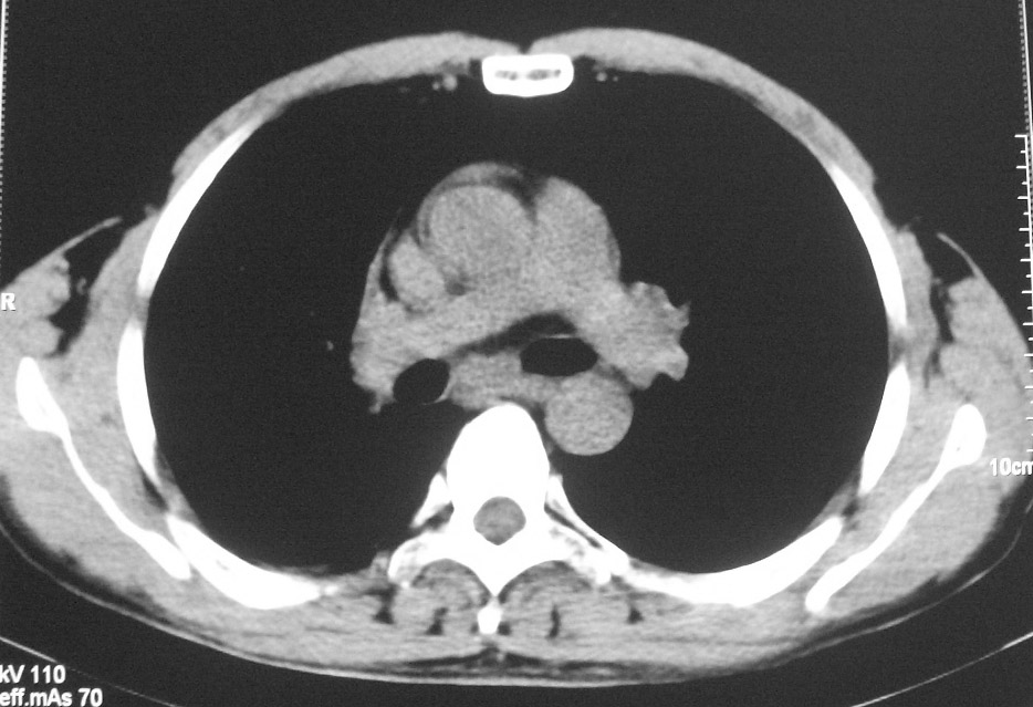
左肺上叶不张,左肺上叶支气管狭窄,呈鼠尾征,左侧胸腔内见少许积液,考虑左肺上叶中心型肺伴左侧胸腔内少许积液可能,不除外结核,建议支气管镜检查.
作者: zyyths 时间: 2006-12-4 04:24
右肺上叶中央型肺癌并上叶肺不张、纵隔淋巴结肿大
作者: zhoucan076 时间: 2006-12-4 04:54
右肺上叶中央型肺癌并上叶肺不张、纵隔淋巴结肿大
作者: ludj 时间: 2006-12-4 04:54
右上叶支气管后壁明显增厚,支持右肺上叶中央型肺癌伴右上叶肺不张、纵隔淋巴结肿大。
作者: zwx 时间: 2006-12-4 05:09
右肺上叶中央型肺癌并上叶肺不张、纵隔淋巴结肿大
作者: klw 时间: 2006-12-4 05:19
左肺上叶不张,可见软组织肿块,左肺上叶支气管狭窄,呈鼠尾征,左侧胸腔内见少许积液,纵隔内未见肿大淋巴结,建义做个增强或支气管镜
作者: jinguoji 时间: 2006-12-4 05:23
考虑右上肺癌并肺不张,纵隔淋巴结转移
作者: wangzhanshuang 时间: 2006-12-4 05:34
右肺上叶中央型肺癌并上叶肺不张、纵隔淋巴结肿大
作者: 如醉卧风 时间: 2006-12-4 05:35
标题: 回复:ct5485:[原创]肺部占位请讨论
以下是引用jian-5587在2006-12-3 20:21:00的发言:[br]左肺上叶不张,左肺上叶支气管狭窄,呈鼠尾征,左侧胸腔内见少许积液,考虑左肺上叶中心型肺伴左侧胸腔内少许积液可能,不除外结核,建议支气管镜检查.
作者: wxy7406 时间: 2006-12-4 05:44
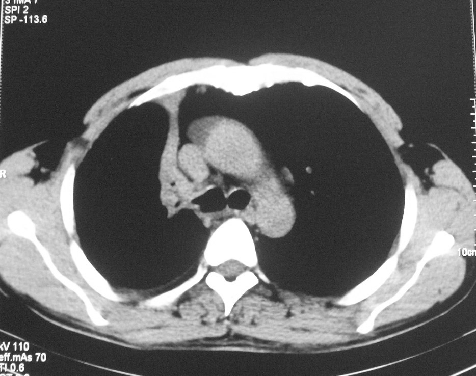
右上叶支气管后壁明显增厚,支持右肺上叶中央型肺癌伴右上叶肺不张、纵隔淋巴结肿大。建议支气管镜检查。
作者: chry3 时间: 2006-12-4 06:03
右肺上沟癌、局部肺段不张,纵隔淋巴结肿大
作者: dyqct 时间: 2006-12-4 06:06
左肺上叶不张,左肺上叶支气管狭窄,呈鼠尾征,左侧胸腔内见少许积液。
考虑:1、左肺上叶中心型肺伴肺不张、左侧少量胸腔积液;
2、可疑纵隔淋巴转移;
3、建议支气管镜检查。
作者: 拾荒者 时间: 2006-12-4 06:07
右肺上叶中央型肺癌并上叶肺不张、纵隔淋巴结肿大 。
作者: mxp 时间: 2006-12-4 06:34
右肺上叶中央型肺癌并上叶肺不张
作者: x-man 时间: 2006-12-4 06:42
标题: 回复:ct5485:[原创]肺部占位请讨论
以下是引用dyqct在2006-12-3 22:06:00的发言:[br]左肺上叶不张,左肺上叶支气管狭窄,呈鼠尾征,左侧胸腔内见少许积液。[br]考虑:1、左肺上叶中心型肺伴肺不张、左侧少量胸腔积液;[br] 2、可疑纵隔淋巴转移;[br] 3、建议支气管镜检查。
作者: ssmmxx 时间: 2006-12-4 07:04
右肺上叶中央型肺癌并上叶肺不张、纵隔淋巴结肿大
作者: 91yytlbm 时间: 2006-12-4 07:08
右上叶支气管肺癌并右上叶阻塞性不张,右侧少量胸腔积液.
作者: thigatiandy 时间: 2006-12-4 08:29
标题: 早穿刺活检
右上肺中央性肺癌伴右侧胸腔少量积液!右上肺胸膜下还有一小病灶,不完全排除结核,但个人支持恶性肿瘤!建议早穿刺活检。
[本贴已被 thigatiandy 于 2006-12-4 0:31:39 修改过]
作者: 宝天曼 时间: 2006-12-4 14:42
右上叶支气管后壁明显增厚,支持右肺上叶中央型肺癌伴右上叶肺不张、纵隔淋巴结肿大。
作者: 陈维松 时间: 2006-12-4 16:02
右上叶支气管开口变窄,纵隔见肿大的淋巴结。支持右上叶中心型肺癌并右上叶不张纵隔淋巴结肿大。
作者: zjzjr 时间: 2006-12-4 16:20
右肺上叶中央型肺癌并上叶肺不张、纵隔淋巴结肿大.右侧少量胸腔积液。
作者: 张诗维 时间: 2006-12-4 16:38
右上肺中心型肺癌并肺不张,纵膈淋巴结肿大。右侧少量胸腔积液。
作者: 卜一 时间: 2006-12-4 16:43
右肺上叶中央型肺癌并上叶肺不张、纵隔淋巴结肿大
作者: 守望可可 时间: 2006-12-4 16:51
标题: 回复:ct5485:[原创]肺部占位请讨论
以下是引用zhoucan076在2006-12-3 20:54:00的发言:[br]右肺上叶中央型肺癌并上叶肺不张、纵隔淋巴结肿大
没有任何玄疑的,支持!
作者: haha215315 时间: 2006-12-4 17:30
右肺上叶中央型肺癌并上叶肺不张。
作者: 清风照影来 时间: 2006-12-4 17:34
标题: 回复:ct5485:[原创]肺部占位请讨论
右肺上叶支气管后壁增厚,呈鼠尾状狭窄,纵隔内未见明显增大的淋巴结影,考虑为中央型肺癌伴右上肺不张
作者: 迎客松abc 时间: 2006-12-4 18:10
右肺上叶中央型肺癌并上叶肺不张、纵隔淋巴结肿大.
作者: chmb 时间: 2006-12-4 18:42
中央型肺癌伴肺不张
作者: 杀手 时间: 2006-12-5 01:44
中心型肺ca可能性大
作者: 恒生之愚 时间: 2006-12-5 02:29
中央型肺癌。
作者: zbf1964724 时间: 2006-12-5 03:24
右肺上叶不张,考虑中央型肺癌。右侧胸膜肥厚
作者: lyue2621 时间: 2006-12-5 03:59
右肺上叶中央型肺癌并阻塞性炎症、阻塞性肺不张……
作者: 晨星剑 时间: 2006-12-5 05:07
请提供病史.
作者: tangtianheng 时间: 2006-12-5 21:08
右上肺癌,肺不张,纵隔淋巴结肿大
作者: shibing 时间: 2015-7-14 15:18
右肺上叶中央型肺癌
| 欢迎光临 医影在线 (http://bbs.radida.com/bbs/) |
Powered by Discuz! X3.2 |